Revision 1

#73966

Store at -20C

CST Logo
Orders:

877-616-CELL (2355)

[email protected]

Support:

877-678-TECH (8324)

3 Trask Lane | Danvers | Massachusetts | 01923 | USA

For Research Use Only. Not for Use in Diagnostic Procedures.

Product Includes Product # Quantity Mol. Wt Isotype/Source
RIP (E8S7U) Rabbit Monoclonal Antibody7327120 µl78 kDaRabbit IgG
Phospho-RIP (Ser166) (D1L3S) Rabbit Monoclonal Antibody6574620 µl78-82 kDaRabbit IgG
RIP3 (E7A7F) Rabbit Monoclonal Antibody1018820 µl46-62 kDaRabbit IgG
Phospho-RIP3 (Ser227) (D6W2T) Rabbit Monoclonal Antibody9365420 µl46-62 kDaRabbit IgG
MLKL (E7V4W) Mouse Monoclonal Antibody2653920 µl54 kDaMouse IgG2b kappa
Phospho-MLKL (Ser358) (D6H3V) Rabbit Monoclonal Antibody9168920 µl54 kDaRabbit IgG
Cleaved Caspase-8 (Asp374) (E6H8S) Rabbit Monoclonal Antibody9813420 µl18, 41, 43 kDaRabbit IgG
Cleaved Caspase-3 (Asp175) (5A1E) Rabbit Monoclonal Antibody966420 µl17, 19 kDaRabbit IgG
Anti-rabbit IgG, HRP-linked Antibody7074100 µlGoat
Anti-mouse IgG, HRP-linked Antibody7076100 µlHorse

Please visit cellsignal.com for individual component applications, species cross-reactivity, dilutions, protocols, and additional product information.

Description

The Apoptosis/Necroptosis Antibody Sampler Kit II provides an economical means of detecting markers for apoptosis and necroptosis. The kit contains enough primary antibody to perform at least two western blot experiments.

Storage

Supplied in 10 mM sodium HEPES (pH 7.5), 150 mM NaCl, 100 µg/mL BSA, 50% glycerol, and less than 0.02% sodium azide. Store at –20°C. Do not aliquot the antibody.

Background

Apoptosis is a regulated physiological process leading to cell death (1,2). Caspases, a family of cysteine acid proteases, are central regulators of apoptosis. Caspases are synthesized as inactive zymogens containing a pro-domain followed by large (p20) and small subunits (p10) that are proteolytically processed in a cascade of caspase activity. Initiator caspases (including 8, 9, 10, and 12) are closely coupled to proapoptotic signals. Once activated, these caspases cleave and activate downstream effector caspases (including 3, 6, and 7), which in turn cleave cytoskeletal and nuclear proteins like PARP, α-fodrin, DFF, and lamin A, and induce apoptosis. Cytochrome c released from mitochondria is coupled to the activation of caspase-9, a key initiator caspase. Apoptosis induced through the extrinsic mechanisms involving death receptors in the tumor necrosis factor receptor superfamily activates caspase-8. Activated caspase-8 cleaves and activates downstream effector caspases, such as caspase-1, -3, -6, and -7. Caspase-3 is a critical executioner of apoptosis, as it is either partially or totally responsible for the proteolytic cleavage of many key proteins, such as the nuclear enzyme poly (ADP-ribose) polymerase (PARP).

Necroptosis, a regulated pathway for necrotic cell death, is triggered by a number of inflammatory signals, including cytokines in the tumor necrosis factor (TNF) family, pathogen sensors such as toll-like receptors (TLRs), and ischemic injury (3,4). Necroptosis is negatively regulated by caspase-8 mediated apoptosis in which the kinase RIP/RIPK1 is cleaved (5). Furthermore, necroptosis is inhibited by a small molecule inhibitor of RIP, necrostatin-1 (Nec-1) (6). Research studies show that necroptosis contributes to a number of pathological conditions, and Nec-1 has been shown to provide neuroprotection in models such as ischemic brain injury (7). RIP is phosphorylated at several sites within the kinase domain that are sensitive to Nec-1, including Ser14, Ser15, Ser161, and Ser166 (8). Phosphorylation drives association with RIP3, which is required for necroptosis (9-11). Mixed lineage kinase domain-like protein (MLKL) is a pseudokinase that was identified as a downstream target of RIP3 in the necroptosis pathway (12). During necroptosis, RIP3 is phosphorylated at Ser227, which recruits MLKL and leads to its phosphorylation at Thr357 and Ser358 (12). Knockdown of MLKL through multiple mechanisms results in inhibition of necroptosis (13). Phosphorylation of MLKL during necroptosis leads to its oligomerization with pore formation that affects membrane integrity (14-17).

Trademarks and Patents

Cell Signaling Technology is a trademark of Cell Signaling Technology, Inc.

All other trademarks are the property of their respective owners. Visit cellsignal.com/trademarks for more information.

Limited Uses

Except as otherwise expressly agreed in a writing signed by a legally authorized representative of CST, the following terms apply to Products provided by CST, its affiliates or its distributors. Any Customer's terms and conditions that are in addition to, or different from, those contained herein, unless separately accepted in writing by a legally authorized representative of CST, are rejected and are of no force or effect.

Products are labeled with For Research Use Only or a similar labeling statement and have not been approved, cleared, or licensed by the FDA or other regulatory foreign or domestic entity, for any purpose. Customer shall not use any Product for any diagnostic or therapeutic purpose, or otherwise in any manner that conflicts with its labeling statement. Products sold or licensed by CST are provided for Customer as the end-user and solely for research and development uses. Any use of Product for diagnostic, prophylactic or therapeutic purposes, or any purchase of Product for resale (alone or as a component) or other commercial purpose, requires a separate license from CST. Customer shall (a) not sell, license, loan, donate or otherwise transfer or make available any Product to any third party, whether alone or in combination with other materials, or use the Products to manufacture any commercial products, (b) not copy, modify, reverse engineer, decompile, disassemble or otherwise attempt to discover the underlying structure or technology of the Products, or use the Products for the purpose of developing any products or services that would compete with CST products or services, (c) not alter or remove from the Products any trademarks, trade names, logos, patent or copyright notices or markings, (d) use the Products solely in accordance with CST Product Terms of Sale and any applicable documentation, and (e) comply with any license, terms of service or similar agreement with respect to any third party products or services used by Customer in connection with the Products.

Orders: 877-616-CELL (2355) [email protected] Support: 877-678-TECH (8324) [email protected] Web: cellsignal.com
For Research Use Only. Not for Use in Diagnostic Procedures.

Revision 1

Cell Signaling Technology Logo
Western blot analysis of extracts from various cell lines using RIP3 (E7A7F) XP® Rabbit mAb (upper) or GAPDH (D16H11) XP® Rabbit mAb #5174 (lower). Absence of signal in HeLa cells is predicted from published reports of epigenetic loss of expression and confirms the specificity of the antibody for RIP3.
undefined Image 1: Apoptosis/Necroptosis Antibody Sampler Kit II
Western blot analysis of extracts from various cell lines using MLKL (E7V4W) Mouse mAb (upper) or GAPDH (D16H11) XP® Rabbit mAb #5174 (lower). Negative expression of MLKL protein in Kelly cells is consistent with the predicted expresssion pattern.
undefined Image 2: Apoptosis/Necroptosis Antibody Sampler Kit II
Western blot analysis of HT-29 cells, untreated (-) or treated with combinations of the following treatments as indicated: Z-VAD (20 μM, added 30 min prior to other compounds; +), human TNF-α (hTNF-α, 20 ng/ml, 7 hr; +), SM-164 (100 nM, 7 hr; +), and necrostatin-1 (Nec-1, 50 μM, 7 hr; +), using Phospho-RIP (Ser166) (D1L3S) Rabbit mAb (upper) or β-Actin (D6A8) Rabbit mAb #8457 (lower).
undefined Image 3: Apoptosis/Necroptosis Antibody Sampler Kit II
Orders: 877-616-CELL (2355) [email protected] Support: 877-678-TECH (8324) [email protected] Web: cellsignal.com
For Research Use Only. Not for Use in Diagnostic Procedures.

Revision 1

Cell Signaling Technology Logo
After the primary antibody is bound to the target protein, a complex with HRP-linked secondary antibody is formed. The LumiGLO® is added and emits light during enzyme catalyzed decomposition.
undefined Image 4: Apoptosis/Necroptosis Antibody Sampler Kit II
After the primary antibody is bound to the target protein, a complex with HRP-linked secondary antibody is formed. The LumiGLO* is added and emits light during enzyme catalyzed decomposition.
undefined Image 5: Apoptosis/Necroptosis Antibody Sampler Kit II
Western blot analysis of extracts from HT-29 and HT-29 RIPK1 knockout (-/-) cells using RIP (E8S7U) XP® Rabbit mAb (upper) or β-Actin (D6A8) Rabbit mAb #8457 (lower). HT-29 RIPK1 knockout cells were kindly provided by Dr. Junying Yuan, Harvard Medical School, Boston, MA.
undefined Image 6: Apoptosis/Necroptosis Antibody Sampler Kit II
Orders: 877-616-CELL (2355) [email protected] Support: 877-678-TECH (8324) [email protected] Web: cellsignal.com
For Research Use Only. Not for Use in Diagnostic Procedures.

Revision 1

Cell Signaling Technology Logo
Western blot analysis of HT-29 cells, untreated (-), or treated with combinations of the following treatments as indicated: Z-VAD (20 μM, added 30 min prior to other compounds; +), human TNF-α (hTNF-α, 20 ng/ml, 7 hr; +), SM-164 (100 nM, 7 hr; +), and necrostatin-1 (Nec-1, 50 μM, 7 hr; +), using Phospho-MLKL (Ser358) (D6H3V) Rabbit mAb (upper), or MLKL (D2I6N) Rabbit mAb #14993 (lower).
undefined Image 7: Apoptosis/Necroptosis Antibody Sampler Kit II
Western blot analysis of HT-29 cells, untreated (-) or treated with a combination of the following treatments as indicated: Z-VAD (20 μM, added 30 min prior to other compounds; +), Human Tumor Necrosis Factor-α #8902 (hTNF-α, 20 ng/ml, 7 hr; +), and SM-164 (100 nM, 7 hr; +), using Phospho-RIP3 (Ser227) (D6W2T) Rabbit mAb. To confirm phospho-specificity, membranes were either untreated (left) or treated with Calf Intestinal Phosphatase (CIP; right).
undefined Image 8: Apoptosis/Necroptosis Antibody Sampler Kit II
Western blot analysis of extracts from C6 (rat), NIH/3T3 (mouse), and Jurkat (human) cells, untreated or treated with staurosporine #9953 (1uM, 3hrs) or etoposide #2200 (25uM, 5hrs) as indicated, using Cleaved Caspase-3 (Asp175) (5A1E) Rabbit mAb.
undefined Image 9: Apoptosis/Necroptosis Antibody Sampler Kit II
Orders: 877-616-CELL (2355) [email protected] Support: 877-678-TECH (8324) [email protected] Web: cellsignal.com
For Research Use Only. Not for Use in Diagnostic Procedures.

Revision 1

Cell Signaling Technology Logo
Western blot analysis of extracts from HCT 116 and CRISPR/Cas9 caspase-8 knockout (KO) HCT 116 cells, untreated (-) or treated with Staurosporine #9953 (1 μM, 4 hr; +), using Cleaved Caspase-8 (Asp374) (E6H8S) Rabbit mAb (upper), Caspase-8 (1C12) Mouse mAb #9746 (middle), or GAPDH (D16H11) XP® Rabbit mAb #5174 (lower).
undefined Image 10: Apoptosis/Necroptosis Antibody Sampler Kit II
Immunoprecipitation of RIP3 protein from THP-1 cell extracts. Lane 1 is 10% input, lane 2 is Rabbit (DA1E) mAb IgG XP® Isotype Control #3900, and lane 3 is RIP3 (E7A7F) XP® Rabbit mAb. Western blot analysis was performed using RIP3 (E7A7F) XP® Rabbit mAb. Mouse Anti-rabbit IgG (Conformation Specific) (L27A9) mAb (HRP Conjugate) #5127 was used as a secondary antibody.
undefined Image 11: Apoptosis/Necroptosis Antibody Sampler Kit II
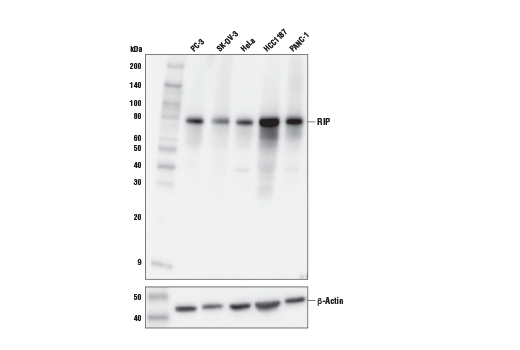
Western blot analysis of extracts from various cell lines using RIP (E8S7U) XP® Rabbit mAb (upper) or β-Actin (D6A8) Rabbit mAb #8457 (lower).
undefined Image 12: Apoptosis/Necroptosis Antibody Sampler Kit II
Orders: 877-616-CELL (2355) [email protected] Support: 877-678-TECH (8324) [email protected] Web: cellsignal.com
For Research Use Only. Not for Use in Diagnostic Procedures.

Revision 1

Cell Signaling Technology Logo
Western blot analysis of HT-29 cells, untreated (-) or treated with a combination of the following treatments as indicated: Z-VAD (20 μM, added 30 min prior to other compounds; +), Human Tumor Necrosis Factor-α #8902 (hTNF-α, 20 ng/ml, 7 hr; +), SM-164 (100 nM, 7 hr; +), and necrostatin-1 (Nec-1, 50 μM, 7 hr; +), using Phospho-RIP3 (Ser227) (D6W2T) Rabbit mAb (upper), RIP3 (E1Z1D) Rabbit mAb #13526 (middle), or β-Actin (D6A8) Rabbit mAb #8457 (lower).
undefined Image 13: Apoptosis/Necroptosis Antibody Sampler Kit II
Immunohistochemical analysis of paraffin-embedded human colon carcinoma (left), hepatocellular carcinoma (middle), or normal thymus (right) using RIP3 (E7A7F) XP® Rabbit mAb (top) or RIP3 Rabbit mAb (bottom). These two antibodies detect independent, unique epitopes on human RIP3 protein. The similar staining patterns obtained with both antibodies help to confirm the specificity of the staining.
undefined Image 14: Apoptosis/Necroptosis Antibody Sampler Kit II
Western blot analysis of Jurkat cells, untreated (-) or treated with Etoposide #2200 (25 μM, 20 hr; +), using RIP (E8S7U) XP® Rabbit mAb (upper) or β-Actin (D6A8) Rabbit mAb (lower).
undefined Image 15: Apoptosis/Necroptosis Antibody Sampler Kit II
Orders: 877-616-CELL (2355) [email protected] Support: 877-678-TECH (8324) [email protected] Web: cellsignal.com
For Research Use Only. Not for Use in Diagnostic Procedures.

Revision 1

Cell Signaling Technology Logo
Western blot analysis of HT-29 cells or HT-29 RIPK1 KO cells, untreated (-) or treated with a combination of the following treatments as indicated: Z-VAD (20 μM, added 30 min prior to other compounds; +), Human Tumor Necrosis Factor-α #8902 (hTNF-α, 20 ng/ml, 7 hr; +), and SM-164 (100 nM, 7 hr; +), using Phospho-RIP3 (Ser227) (D6W2T) Rabbit mAb (upper), RIP3 (E1Z1D) Rabbit mAb #13526 (middle) or β-Actin (D6A8) Rabbit mAb #8457 (lower). HT-29 RIPK1 KO cells were kindly provided by Dr. Junying Yuan, Harvard Medical School, Boston, MA.
undefined Image 16: Apoptosis/Necroptosis Antibody Sampler Kit II
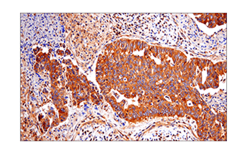
Immunohistochemical analysis of paraffin-embedded human ductal breast carcinoma using RIP3 (E7A7F) XP® Rabbit mAb.
undefined Image 17: Apoptosis/Necroptosis Antibody Sampler Kit II
Immunoprecipitation of RIP from MCF7 cell extracts. Lane 1 is 10% input, lane 2 is Rabbit (DA1E) mAb IgG XP® Isotype Control #3900, and lane 3 is RIP (E8S7U) XP® Rabbit mAb. Western blot analysis was performed using RIP (E8S7U) XP® Rabbit mAb. Anti-rabbit IgG, HRP-linked Antibody #7074 was used as a secondary antibody.
undefined Image 18: Apoptosis/Necroptosis Antibody Sampler Kit II
Orders: 877-616-CELL (2355) [email protected] Support: 877-678-TECH (8324) [email protected] Web: cellsignal.com
For Research Use Only. Not for Use in Diagnostic Procedures.

Revision 1

Cell Signaling Technology Logo
Confocal immunofluorescent analysis of HT-29 cells, untreated (left), pre-treated with Z-VAD (20 μM, 30 min) followed by treatment with SM-164 (100 nM) and Human Tumor Necrosis Factor-α (hTNF-α) #8902 (20 ng/mL, 6 hr; center), or pre-treated with Z-VAD followed by treatment with SM-164 and hTNF-α and post-processed with λ-phosphatase (right), using Phospho-RIPK3 (Ser227) (D6W2T) Rabbit mAb (green). Actin filaments were labeled with DyLight™ 554 Phalloidin #13054 (red). Blue pseudocolor = DRAQ5® #4084 (fluorescent DNA dye).
undefined Image 19: Apoptosis/Necroptosis Antibody Sampler Kit II
Immunohistochemical analysis of paraffin-embedded HT-29 cell pellet (left, high-expressing) or HeLa cell pellet (right, low-expressing) using RIP3 (E7A7F) XP® Rabbit mAb.
undefined Image 20: Apoptosis/Necroptosis Antibody Sampler Kit II
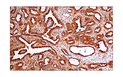
Immunohistochemical analysis of paraffin-embedded human lung adenocarcinoma using RIP (E8S7U) XP® Rabbit mAb.
undefined Image 21: Apoptosis/Necroptosis Antibody Sampler Kit II
Orders: 877-616-CELL (2355) [email protected] Support: 877-678-TECH (8324) [email protected] Web: cellsignal.com
For Research Use Only. Not for Use in Diagnostic Procedures.

Revision 1

Cell Signaling Technology Logo
Immunohistochemical analysis of paraffin-embedded normal human colon using RIP3 (E7A7F) XP® Rabbit mAb.
undefined Image 22: Apoptosis/Necroptosis Antibody Sampler Kit II
Immunohistochemical analysis of paraffin-embedded human ductal breast carcinoma using RIP (E8S7U) XP® Rabbit mAb.
undefined Image 23: Apoptosis/Necroptosis Antibody Sampler Kit II
Immunohistochemical analysis of paraffin-embedded human colon carcinoma using RIP3 (E7A7F) XP® Rabbit mAb (left) compared to concentration-matched Rabbit (DA1E) mAb IgG XP® Isotype Control #3900 (right).
undefined Image 24: Apoptosis/Necroptosis Antibody Sampler Kit II
Orders: 877-616-CELL (2355) [email protected] Support: 877-678-TECH (8324) [email protected] Web: cellsignal.com
For Research Use Only. Not for Use in Diagnostic Procedures.

Revision 1

Cell Signaling Technology Logo
Immunohistochemical analysis of paraffin-embedded human non-Hodgkin lymphoma using RIP (E8S7U) XP® Rabbit mAb.
undefined Image 25: Apoptosis/Necroptosis Antibody Sampler Kit II
Immunohistochemical analysis of paraffin-embedded human esophageal adenocarcinoma using RIP3 (E7A7F) XP® Rabbit mAb.
undefined Image 26: Apoptosis/Necroptosis Antibody Sampler Kit II
Immunohistochemical analysis of paraffin-embedded human ductal gastric adenocarcinoma using RIP (E8S7U) XP® Rabbit mAb.
undefined Image 27: Apoptosis/Necroptosis Antibody Sampler Kit II
Orders: 877-616-CELL (2355) [email protected] Support: 877-678-TECH (8324) [email protected] Web: cellsignal.com
For Research Use Only. Not for Use in Diagnostic Procedures.

Revision 1

Cell Signaling Technology Logo
Immunohistochemical analysis of paraffin-embedded human squamous cell carcinoma of the tonsil using RIP3 (E7A7F) XP® Rabbit mAb.
undefined Image 28: Apoptosis/Necroptosis Antibody Sampler Kit II
Immunohistochemical analysis of paraffin-embedded human colon carcinoma (left), squamous cell lung carcinoma (middle) or esophageal carcinoma (right) using RIP (E8S7U) XP® Rabbit mAb (top) or RIP Rabbit mAb (bottom). These two antibodies detect independent, unique epitopes on human RIP. The similar staining patterns obtained with both antibodies help to confirm the specificity of the staining.
undefined Image 29: Apoptosis/Necroptosis Antibody Sampler Kit II
Immunohistochemical analysis of paraffin-embedded human endometrioid adenocarcinoma using RIP3 (E7A7F) XP® Rabbit mAb.
undefined Image 30: Apoptosis/Necroptosis Antibody Sampler Kit II
Orders: 877-616-CELL (2355) [email protected] Support: 877-678-TECH (8324) [email protected] Web: cellsignal.com
For Research Use Only. Not for Use in Diagnostic Procedures.

Revision 1

Cell Signaling Technology Logo
Immunohistochemical analysis of paraffin-embedded human ovarian carcinoma using RIP (E8S7U) XP® Rabbit mAb (left) compared to concentration-matched Rabbit (DA1E) mAb IgG XP® Isotype Control #3900 (right).
undefined Image 31: Apoptosis/Necroptosis Antibody Sampler Kit II
Confocal immunofluorescent analysis of HT-29 cells (left, positive) or HeLa cells (right, negative) using RIP3 (E7A7F) XP® Rabbit mAb (green). Actin filaments were labeled with DyLight™ 554 Phalloidin #13054 (red). Samples were mounted in ProLong® Gold Antifade Reagent with DAPI #8961 (blue).
undefined Image 32: Apoptosis/Necroptosis Antibody Sampler Kit II
Immunohistochemical analysis of paraffin-embedded human ovarian clear cell carcinoma using RIP (E8S7U) XP® Rabbit mAb.
undefined Image 33: Apoptosis/Necroptosis Antibody Sampler Kit II
Orders: 877-616-CELL (2355) [email protected] Support: 877-678-TECH (8324) [email protected] Web: cellsignal.com
For Research Use Only. Not for Use in Diagnostic Procedures.

Revision 1

Cell Signaling Technology Logo
Flow cytometric analysis of SU-DHL-4 cells (blue, negative) and THP-1 cells (green, positive) using RIP3 (E7A7F) XP® Rabbit mAb (solid lines) or a concentration-matched Rabbit (DA1E) mAb IgG XP® Isotype Control #3900 (dashed lines). Anti-rabbit IgG (H+L), F(ab')2 Fragment (Alexa Fluor® 488 Conjugate) #4412 was used as a secondary antibody.
undefined Image 34: Apoptosis/Necroptosis Antibody Sampler Kit II
Immunohistochemical analysis of paraffin-embedded HT-29 cell pellet (left) or HT-29 RIPK1 knockout (-/-) cell pellet (right) using RIP (E8S7U) XP® Rabbit mAb.
undefined Image 35: Apoptosis/Necroptosis Antibody Sampler Kit II
Confocal immunofluorescent analysis of HT-29 cells, either wild-type (left, positive) or RIPK1 knockout (-/-) (right, negative), using RIP (E8S7U) XP® Rabbit mAb (green). Actin filaments were labeled with DyLight™ 554 Phalloidin #13054 (red). Samples were mounted in ProLong® Gold Antifade Reagent with DAPI #8961 (blue).
undefined Image 36: Apoptosis/Necroptosis Antibody Sampler Kit II
Orders: 877-616-CELL (2355) [email protected] Support: 877-678-TECH (8324) [email protected] Web: cellsignal.com
For Research Use Only. Not for Use in Diagnostic Procedures.

Revision 1

Cell Signaling Technology Logo
Western blot analysis of extracts from 293T cells, mock transfected (-) or transfected with a construct expressing Myc-tagged full-length human MLKL protein (hMLKL-Myc; +), using MLKL (E7V4W) Mouse mAb (upper) or GAPDH (D16H11) XP® Rabbit mAb #5174 (lower).
undefined Image 37: Apoptosis/Necroptosis Antibody Sampler Kit II
Confocal immunofluorescent analysis of ACHN cells (left, positive) and Kelly cells (right, negative) using MLKL (E7V4W) Rabbit mAb (green), DyLight™ 650 Phalloidin #12956 (red), and DAPI #4083 (blue).
undefined Image 38: Apoptosis/Necroptosis Antibody Sampler Kit II
Simple Western™ analysis of lysates (0.1 mg/mL) from HT-29 cells treated with ZVAD (20uM, 7.5 hours) + hTNF-alpha (20ng/mL, 7 hours) + SM-164 (100nM, 7 hours) using Phospho-RIP (Ser166) (D1L3S) Rabbit mAb #65746. The virtual lane view (left) shows the target band (as indicated) at 1:10 and 1:50 dilutions of primary antibody. The corresponding electropherogram view (right) plots chemiluminescence by molecular weight along the capillary at 1:10 (blue line) and 1:50 (green line) dilutions of primary antibody. This experiment was performed under reducing conditions on the Jess™ Simple Western instrument from ProteinSimple, a BioTechne brand, using the 12-230 kDa separation module.
undefined Image 39: Apoptosis/Necroptosis Antibody Sampler Kit II
Orders: 877-616-CELL (2355) [email protected] Support: 877-678-TECH (8324) [email protected] Web: cellsignal.com
For Research Use Only. Not for Use in Diagnostic Procedures.

Revision 1

Cell Signaling Technology Logo
Simple WesternTM analysis of lysates (1.0 mg/mL) from HT-29 + ZVAD + hTNFa + SM-164 cells using Phospho-MLKL (Ser358) (D6H3V) Rabbit mAb #91689.  The virtual lane view (left) shows the target band (as indicated) at 1:50 and 1:250 dilutions of primary antibody.  The corresponding electropherogram view (right) plots chemiluminescence by molecular weight along the capillary at 1:50 (blue line) and 1:250 (green line) dilutions of primary antibody.  This experiment was performed under reducing conditions on the JessTM Simple Western instrument from ProteinSimple, a BioTechne brand, using the 12-230 kDa separation module.
undefined Image 40: Apoptosis/Necroptosis Antibody Sampler Kit II
Immunohistochemical analysis of paraffin-embedded mouse embryo, using Cleaved Caspase-3 (Asp175) (5A1E) Rabbit mAb in the presence of control peptide (left) or Cleaved Caspase-3 (Asp175) Blocking Peptide (#1050) (right).
undefined Image 41: Apoptosis/Necroptosis Antibody Sampler Kit II
Immunohistochemical analysis using Cleaved Caspase-3 (Asp175) (5A1E) Rabbit mAb on SignalSlide® Cleaved Caspase-3 IHC Controls #8104 (paraffin-embedded Jurkat cells, untreated (left) or etoposide-treated (right)).
undefined Image 42: Apoptosis/Necroptosis Antibody Sampler Kit II
Orders: 877-616-CELL (2355) [email protected] Support: 877-678-TECH (8324) [email protected] Web: cellsignal.com
For Research Use Only. Not for Use in Diagnostic Procedures.

Revision 1

Cell Signaling Technology Logo
Immunohistochemical staining of paraffin-embedded mouse embryo, showing cytoplasmic localization in apoptotic cells, using Cleaved Caspase-3 (Asp175) (5A1E) Rabbit mAb.
undefined Image 43: Apoptosis/Necroptosis Antibody Sampler Kit II
Confocal immunofluorescent images of HT-29 cells, untreated (left) or Staurosporine #9953 treated (right) labeled with Cleaved Caspase-3 (Asp175) (5A1E) Rabbit mAb (green). Actin filaments have been labeled with Alexa Fluor® 555 phalloidin #8953 (red). Blue pseudocolor = DRAQ5® #4084 (fluorescent DNA dye).
undefined Image 44: Apoptosis/Necroptosis Antibody Sampler Kit II
Simple Western™ analysis of lysates (0.1 mg/mL) from Jurkat cells treated with Cytochrome C using Cleaved Caspase-3 (Asp175) (5A1E) Rabbit mAb #9664. The virtual lane view (left) shows the target bands (as indicated) at 1:10 and 1:50 dilutions of primary antibody. The corresponding electropherogram view (right) plots chemiluminescence by molecular weight along the capillary at 1:10 (blue line) and 1:50 (green line) dilutions of primary antibody. This experiment was performed under reducing conditions on the Jess™ Simple Western instrument from ProteinSimple, a BioTechne brand, using the 12-230 kDa separation module.
undefined Image 45: Apoptosis/Necroptosis Antibody Sampler Kit II
Orders: 877-616-CELL (2355) [email protected] Support: 877-678-TECH (8324) [email protected] Web: cellsignal.com
For Research Use Only. Not for Use in Diagnostic Procedures.

Revision 1

Cell Signaling Technology Logo
Flow cytometric analysis of Jurkat cells, untreated (blue) or treated with Etoposide #2200 (25 μM, 18 hr; green) using Cleaved Caspase-3 (Asp175) (5A1E) Rabbit mAb (solid lines) or concentration-matched Rabbit (DA1E) mAb IgG XP® Isotype Control #3900 (dashed lines). Anti-rabbit IgG (H+L), F(ab')2 Fragment (Alexa Fluor® 488 Conjugate) #4412 was used as a secondary antibody.
undefined Image 46: Apoptosis/Necroptosis Antibody Sampler Kit II
Immunoprecipitation of Cleaved Caspase-3 from Jurkat cells treated with etoposide (25uM, 5hrs). Lane 1 is 10% input, lane 2 is Rabbit (DA1E) mAb IgG XP® Isotype Control #3900, and lane 3 is Cleaved Caspase-3 (Asp175) (5A1E) Rabbit mAb. Western blot was performed using Cleaved Caspase-3 (Asp175) (5A1E) Rabbit mAb. Anti-rabbit IgG, HRP-linked Antibody #7074 was used as a secondary antibody.
undefined Image 47: Apoptosis/Necroptosis Antibody Sampler Kit II
Western blot analysis of extracts from THP-1 cells, untreated (-) or treated (+) as indicated with: Cycloheximide #2112 (10 μg/mL, 18 hr) followed by Human Tumor Necrosis Factor-α (hTNF-α) #8902 (20 ng/mL, 4 hr) using Cleaved Caspase-8 (Asp374) (E6H8S) Rabbit mAb (upper), Caspase-8 (1C12) Mouse mAb #9746 (middle), or GAPDH (D16H11) XP® Rabbit mAb #5174 (lower).
undefined Image 48: Apoptosis/Necroptosis Antibody Sampler Kit II
Orders: 877-616-CELL (2355) [email protected] Support: 877-678-TECH (8324) [email protected] Web: cellsignal.com
For Research Use Only. Not for Use in Diagnostic Procedures.

Revision 1

Cell Signaling Technology Logo
Western blot analysis of extracts from Jurkat cells, untreated (-) or treated with Etoposide #2200 (1 μM, 18 hr; +), using Cleaved Caspase-8 (Asp374) (E6H8S) Rabbit mAb (upper), Caspase-8 (1C12) Mouse mAb #9746 (middle), or GAPDH (D16H11) XP® Rabbit mAb #5174 (lower).
undefined Image 49: Apoptosis/Necroptosis Antibody Sampler Kit II
Immunoprecipitation of cleaved caspase-8 protein from HeLa cell extracts. Cells were treated with Staurosporine #9953 (10 μM, 3 hr). Lane 1 is 10% input, lane 2 is Rabbit (DA1E) mAb IgG XP® Isotype Control #3900, and lane 3 is Cleaved Caspase-8 (Asp374) (E6H8S) Rabbit mAb. Western blot analysis was performed using Cleaved Caspase-8 (Asp374) (E6H8S) Rabbit mAb. Mouse Anti-rabbit IgG (Conformation Specific) (L27A9) mAb (HRP Conjugate) #5127 was used as a secondary antibody.
undefined Image 50: Apoptosis/Necroptosis Antibody Sampler Kit II
Flow cytometric analysis of serum starved HCT 116 cells, untreated (blue) or treated with Staurosporine #9953 (1 μM, 4 hr; green), using Cleaved Caspase-8 (Asp374) (E6H8S) Rabbit mAb (solid lines) or concentration-matched Rabbit (DA1E) mAb IgG XP® Isotype Control #3900 (dashed lines). Anti-rabbit IgG (H+L), F(ab')₂ Fragment (Alexa Fluor® 488 Conjugate) #4412 was used as a secondary antibody.
undefined Image 51: Apoptosis/Necroptosis Antibody Sampler Kit II
Orders: 877-616-CELL (2355) [email protected] Support: 877-678-TECH (8324) [email protected] Web: cellsignal.com
For Research Use Only. Not for Use in Diagnostic Procedures.

Revision 1

Cell Signaling Technology Logo
Confocal immunofluorescent analysis of HCT 116 cells (left) or CRISPR/Cas9 Casp8 knockout (KO) HCT 116 cells (right), both serum starved and then treated with Staurosporine #9953 (1 μM, 4 hr) using Cleaved Caspase-8 (Asp374) (E6H8S) Rabbit mAb (green), DyLight 650 Phalloidin #12956 (red), and DAPI #4083 (blue).
undefined Image 52: Apoptosis/Necroptosis Antibody Sampler Kit II
Simple Western™ analysis of Jurkat cell lysates (1 mg/mL) treated with Cytochrome C (0.25mg/mL, 45 min) using Cleaved Caspase-8 (Asp374) (E6H8S) Rabbit mAb #98134. The virtual lane view (left) shows the target band (as indicated) at 1:50 and 1:250 dilutions of primary antibody. The corresponding electropherogram view (right) plots chemiluminescence by molecular weight along the capillary at 1:50 (blue line) and 1:250 (green line) dilutions of primary antibody. This experiment was performed under reducing conditions on the Jess™ Simple Western instrument from ProteinSimple, a BioTechne brand, using the 12-230 kDa separation module.
undefined Image 53: Apoptosis/Necroptosis Antibody Sampler Kit II
Orders: 877-616-CELL (2355) [email protected] Support: 877-678-TECH (8324) [email protected] Web: cellsignal.com
For Research Use Only. Not for Use in Diagnostic Procedures.