Revision 6

#19389

Store at -20C

CST Logo
Orders:

877-616-CELL (2355)

[email protected]

Support:

877-678-TECH (8324)

3 Trask Lane | Danvers | Massachusetts | 01923 | USA

For Research Use Only. Not for Use in Diagnostic Procedures.

Applications:
IHC-P, IF-F, IF-IC

Reactivity:
H M

Sensitivity:
Endogenous

MW (kDa):
9, 100-140

Source/Isotype:
Rabbit IgG

UniProt ID:
#P05067

Entrez-Gene Id:
351

Product Usage Information

Application Dilution
Immunohistochemistry (Paraffin) 1:50 - 1:200
Immunofluorescence (Frozen) 1:200 - 1:800
Immunofluorescence (Immunocytochemistry) 1:400 - 1:800

Storage

Supplied in 10 mM sodium HEPES (pH 7.5), 150 mM NaCl, 100 µg/ml BSA, 50% glycerol and less than 0.02% sodium azide. Store at –20°C. Do not aliquot the antibody.

For a carrier free (BSA and azide free) version of this product see product #92779.

Specificity/Sensitivity

APP (E3F3P) Rabbit Monoclonal Antibody recognizes endogenous levels of total APP protein.

Source / Purification

Monoclonal antibody is produced by immunizing animals with a synthetic peptide corresponding to residues near the carboxy terminus of human APP protein.

Background

Amyloid β (Aβ) precursor protein (APP) is a 100-140 kDa transmembrane glycoprotein that exists as several isoforms (1). The amino acid sequence of APP contains the amyloid domain, which can be released by a two-step proteolytic cleavage (1). The extracellular deposition and accumulation of the released Aβ fragments form the main components of amyloid plaques in Alzheimer's disease (1). APP can be phosphorylated at several sites, which may affect the proteolytic processing and secretion of this protein (2-5). Phosphorylation at Thr668 (a position corresponding to the APP695 isoform) by cyclin-dependent kinase is cell-cycle dependent and peaks during G2/M phase (4). APP phosphorylated at Thr668 exists in adult rat brain and correlates with cultured neuronal differentiation (5,6).

Species Reactivity

Species reactivity is determined by testing in at least one approved application (e.g., western blot).

Applications Key

IHC-P: Immunohistochemistry (Paraffin) IF-F: Immunofluorescence (Frozen) IF-IC: Immunofluorescence (Immunocytochemistry)

Cross-Reactivity Key

H: Human M: Mouse

Trademarks and Patents

Cell Signaling Technology is a trademark of Cell Signaling Technology, Inc.

SignalStain is a registered trademark of Cell Signaling Technology, Inc.

All other trademarks are the property of their respective owners. Visit cellsignal.com/trademarks for more information.

Limited Uses

Except as otherwise expressly agreed in a writing signed by a legally authorized representative of CST, the following terms apply to Products provided by CST, its affiliates or its distributors. Any Customer's terms and conditions that are in addition to, or different from, those contained herein, unless separately accepted in writing by a legally authorized representative of CST, are rejected and are of no force or effect.

Products are labeled with For Research Use Only or a similar labeling statement and have not been approved, cleared, or licensed by the FDA or other regulatory foreign or domestic entity, for any purpose. Customer shall not use any Product for any diagnostic or therapeutic purpose, or otherwise in any manner that conflicts with its labeling statement. Products sold or licensed by CST are provided for Customer as the end-user and solely for research and development uses. Any use of Product for diagnostic, prophylactic or therapeutic purposes, or any purchase of Product for resale (alone or as a component) or other commercial purpose, requires a separate license from CST. Customer shall (a) not sell, license, loan, donate or otherwise transfer or make available any Product to any third party, whether alone or in combination with other materials, or use the Products to manufacture any commercial products, (b) not copy, modify, reverse engineer, decompile, disassemble or otherwise attempt to discover the underlying structure or technology of the Products, or use the Products for the purpose of developing any products or services that would compete with CST products or services, (c) not alter or remove from the Products any trademarks, trade names, logos, patent or copyright notices or markings, (d) use the Products solely in accordance with CST Product Terms of Sale and any applicable documentation, and (e) comply with any license, terms of service or similar agreement with respect to any third party products or services used by Customer in connection with the Products.

Orders: 877-616-CELL (2355) [email protected] Support: 877-678-TECH (8324) [email protected] Web: cellsignal.com
For Research Use Only. Not for Use in Diagnostic Procedures.

Revision 6

Cell Signaling Technology Logo
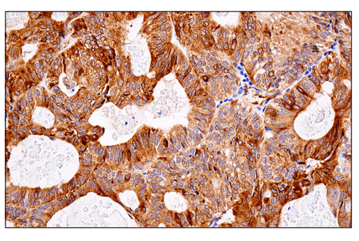
Immunohistochemical analysis of paraffin-embedded human colon carcinoma using APP (E3F3P) Rabbit mAb.
Immunohistochemistry Image 1: APP (E3F3P) Rabbit Monoclonal Antibody
Immunohistochemical analysis of paraffin-embedded human endometrioid adenocarcinoma using APP (E3F3P) Rabbit mAb.
Immunohistochemistry Image 2: APP (E3F3P) Rabbit Monoclonal Antibody
Immunohistochemical analysis of paraffin-embedded normal human brain using APP (E3F3P) Rabbit mAb.
Immunohistochemistry Image 3: APP (E3F3P) Rabbit Monoclonal Antibody
Orders: 877-616-CELL (2355) [email protected] Support: 877-678-TECH (8324) [email protected] Web: cellsignal.com
For Research Use Only. Not for Use in Diagnostic Procedures.

Revision 6

Cell Signaling Technology Logo
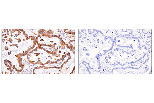
Immunohistochemical analysis of paraffin-embedded human ovarian serous carcinoma using APP (E3F3P) Rabbit mAb (left) compared to concentration-matched Rabbit (DA1E) mAb IgG XP® Isotype Control #3900 (right).
Immunohistochemistry Image 4: APP (E3F3P) Rabbit Monoclonal Antibody
Immunohistochemical analysis of paraffin-embedded A549 cell pellet, control shRNA-treated (left) or APP shRNA-treated (right), using APP (E3F3P) Rabbit mAb.
Immunohistochemistry Image 5: APP (E3F3P) Rabbit Monoclonal Antibody
Immunohistochemical analysis of paraffin-embedded human spleen (left) or adenoid cystic carcinoma of the trachea (right) using APP (E3F3P) Rabbit mAb (top) or APP (E8B3O) XP® Rabbit mAb #29765 (bottom). These two antibodies detect independent, unique epitopes on human APP. The similar staining patterns obtained with both antibodies help to confirm the specificity of the staining.
Immunohistochemistry Image 6: APP (E3F3P) Rabbit Monoclonal Antibody
Orders: 877-616-CELL (2355) [email protected] Support: 877-678-TECH (8324) [email protected] Web: cellsignal.com
For Research Use Only. Not for Use in Diagnostic Procedures.

Revision 6

Cell Signaling Technology Logo
Immunohistochemical analysis of paraffin-embedded mouse brain using APP (E3F3P) Rabbit mAb.
Immunohistochemistry Image 7: APP (E3F3P) Rabbit Monoclonal Antibody
Immunohistochemical analysis of paraffin-embedded mouse lung using APP (E3F3P) Rabbit mAb.
Immunohistochemistry Image 8: APP (E3F3P) Rabbit Monoclonal Antibody
Confocal immunofluorescent analysis of fixed frozen mouse hippocampus from wild-type (left) or an amyloid mouse model of Alzheimer's disease (right) using APP (E3F3P) Rabbit mAb (green) TMEM119 (E4B9S) Mouse mAb #98778 (red), and ProLong® Gold Antifade Reagent with DAPI #8961 (blue).
Immunofluorescence Image 1: APP (E3F3P) Rabbit Monoclonal Antibody
Orders: 877-616-CELL (2355) [email protected] Support: 877-678-TECH (8324) [email protected] Web: cellsignal.com
For Research Use Only. Not for Use in Diagnostic Procedures.

Revision 6

Cell Signaling Technology Logo
Confocal immunofluorescent analysis of control MEF cells (left) or APP1 knockout (KO) MEF cells (right) using APP (E3F3P) Rabbit mAb (green),DyLight™ 554 Phalloidin #13054 (red), and DAPI #4083 (blue).
Immunofluorescence Image 1: APP (E3F3P) Rabbit Monoclonal Antibody
Confocal immunofluorescent analysis of A549 cells expressing either a non-targeting shRNA (left, high-expressing) or shAPP (right, low-expressing) using APP (E3F3P) Rabbit mAb (green), DyLight™ 554 Phalloidin #13054 (red), and DAPI #4083 (blue).
Immunofluorescence Image 2: APP (E3F3P) Rabbit Monoclonal Antibody
Orders: 877-616-CELL (2355) [email protected] Support: 877-678-TECH (8324) [email protected] Web: cellsignal.com
For Research Use Only. Not for Use in Diagnostic Procedures.