Revision 1

#4832

Store at -20C

CST Logo
Orders:

877-616-CELL (2355)

[email protected]

Support:

877-678-TECH (8324)

3 Trask Lane | Danvers | Massachusetts | 01923 | USA

For Research Use Only. Not for Use in Diagnostic Procedures.

Applications:
W, IHC-P

Reactivity:
H M

Sensitivity:
Endogenous

MW (kDa):
90 to 95

Source/Isotype:
Rabbit

UniProt ID:
#O14492

Entrez-Gene Id:
10603

Product Usage Information

Application Dilution
Western Blotting 1:1000
Immunohistochemistry (Paraffin) 1:50

Storage

Supplied in 10 mM sodium HEPES (pH 7.5), 150 mM NaCl, 100 µg/ml BSA and 50% glycerol. Store at –20°C. Do not aliquot the antibody.

Specificity/Sensitivity

APS Antibody detects endogenous levels of total APS. This antibody does not cross-react with other adaptor/docking proteins.

Source / Purification

Polyclonal antibodies are produced by immunizing animals with a synthetic peptide corresponding to residues near the amino-terminus of human APS. Antibodies are purified by protein A and peptide affinity chromatography.

Background

APS is an SH2 and PH domain-containing adaptor protein closely related to Lnk and SH2-B (1). APS was identified as a substrate for many receptor tyrosine kinases including TrkA, insulin receptor, c-Kit and PDGF receptor (2). Tyrosine phosphorylation of APS provides docking sites for downstrean signaling components, mediating diverse signaling pathways. APS plays quite different roles in RTK signaling. Overexpression of APS has been shown to inhibit PDGF-induced mitogenicity, which may result from APS/c-Cbl-mediated PDGF receptor degradation (3). However, APS promotes enhanced mitogenicity in response to insulin stimulation (4). The striking difference in APS-mediated signaling between the different RTKs could lie in the mode of interaction with the respective receptor.

Species Reactivity

Species reactivity is determined by testing in at least one approved application (e.g., western blot).

Western Blot Buffer

IMPORTANT: For western blots, incubate membrane with diluted primary antibody in 5% w/v BSA, 1X TBS, 0.1% Tween® 20 at 4°C with gentle shaking, overnight.

Applications Key

W: Western Blotting IHC-P: Immunohistochemistry (Paraffin)

Cross-Reactivity Key

H: Human M: Mouse

Trademarks and Patents

Cell Signaling Technology is a trademark of Cell Signaling Technology, Inc.

All other trademarks are the property of their respective owners. Visit cellsignal.com/trademarks for more information.

Limited Uses

Except as otherwise expressly agreed in a writing signed by a legally authorized representative of CST, the following terms apply to Products provided by CST, its affiliates or its distributors. Any Customer's terms and conditions that are in addition to, or different from, those contained herein, unless separately accepted in writing by a legally authorized representative of CST, are rejected and are of no force or effect.

Products are labeled with For Research Use Only or a similar labeling statement and have not been approved, cleared, or licensed by the FDA or other regulatory foreign or domestic entity, for any purpose. Customer shall not use any Product for any diagnostic or therapeutic purpose, or otherwise in any manner that conflicts with its labeling statement. Products sold or licensed by CST are provided for Customer as the end-user and solely for research and development uses. Any use of Product for diagnostic, prophylactic or therapeutic purposes, or any purchase of Product for resale (alone or as a component) or other commercial purpose, requires a separate license from CST. Customer shall (a) not sell, license, loan, donate or otherwise transfer or make available any Product to any third party, whether alone or in combination with other materials, or use the Products to manufacture any commercial products, (b) not copy, modify, reverse engineer, decompile, disassemble or otherwise attempt to discover the underlying structure or technology of the Products, or use the Products for the purpose of developing any products or services that would compete with CST products or services, (c) not alter or remove from the Products any trademarks, trade names, logos, patent or copyright notices or markings, (d) use the Products solely in accordance with CST Product Terms of Sale and any applicable documentation, and (e) comply with any license, terms of service or similar agreement with respect to any third party products or services used by Customer in connection with the Products.

Orders: 877-616-CELL (2355) [email protected] Support: 877-678-TECH (8324) [email protected] Web: cellsignal.com
For Research Use Only. Not for Use in Diagnostic Procedures.

Revision 1

Cell Signaling Technology Logo
Western blot analysis of extracts from various cell lines, using APS Antibody.
Western Blotting Image 1: APS Antibody
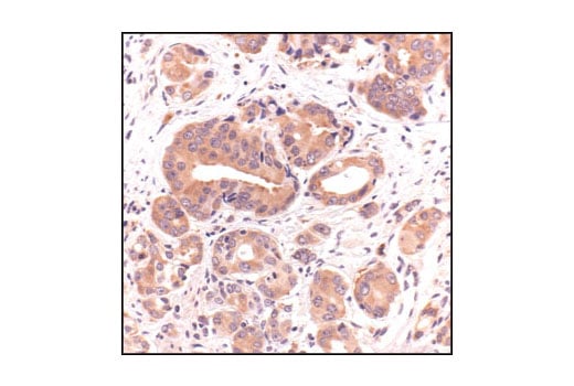
Immunohistochemical analysis of paraffin-embedded human breast carcinoma, using APS Antibody.
Immunohistochemistry Image 1: APS Antibody
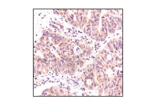
Immunohistochemical analysis of paraffin-embedded human lung carcinoma, using APS Antibody.
Immunohistochemistry Image 2: APS Antibody
Orders: 877-616-CELL (2355) [email protected] Support: 877-678-TECH (8324) [email protected] Web: cellsignal.com
For Research Use Only. Not for Use in Diagnostic Procedures.

Revision 1

Cell Signaling Technology Logo
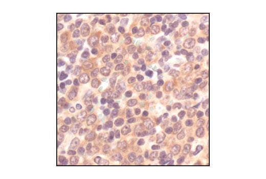
Immunohistochemical analysis of paraffin-embedded human non-Hodgkin's lymphoma, using APS Antibody.
Immunohistochemistry Image 3: APS Antibody
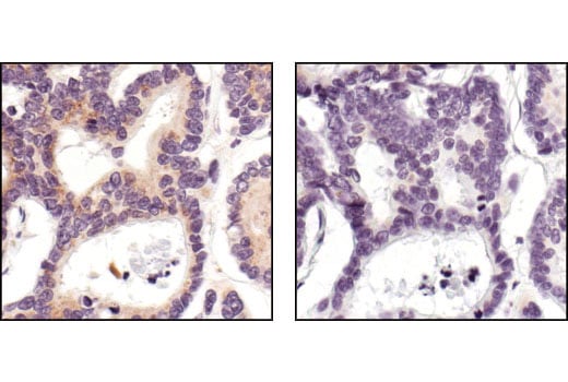
Immunohistochemical analysis of paraffin-embedded human colon carcinoma, using APS Antibody in the presence of control peptide (left) or antigen specific peptide (right).
Immunohistochemistry Image 4: APS Antibody
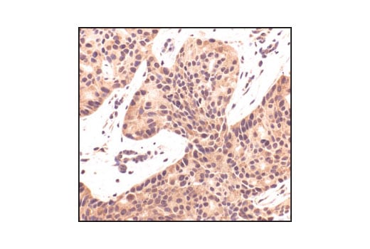
Immunohistochemical analysis of paraffin-embedded human prostate carcinoma, showing cytoplasmic localization using APS Antibody.
Immunohistochemistry Image 5: APS Antibody
Orders: 877-616-CELL (2355) [email protected] Support: 877-678-TECH (8324) [email protected] Web: cellsignal.com
For Research Use Only. Not for Use in Diagnostic Procedures.