Revision 9

#59678

Store at -20C

CST Logo
Orders:

877-616-CELL (2355)

[email protected]

Support:

877-678-TECH (8324)

3 Trask Lane | Danvers | Massachusetts | 01923 | USA

For Research Use Only. Not for Use in Diagnostic Procedures.

Applications:
W, W-S, IP, IHC-P, IF-F, IF-IC

Reactivity:
H M R

Sensitivity:
Endogenous

MW (kDa):
28

Source/Isotype:
Rabbit IgG

UniProt ID:
#P55087

Entrez-Gene Id:
361

Product Usage Information

Application Dilution
Western Blotting 1:1000
Simple Western™ 1:50 - 1:250
Immunoprecipitation 1:100
Immunohistochemistry (Paraffin) 1:50 - 1:200
Immunofluorescence (Frozen) 1:800 - 1:3200
Immunofluorescence (Immunocytochemistry) 1:1600

Storage

Supplied in 10 mM sodium HEPES (pH 7.5), 150 mM NaCl, 100 µg/ml BSA, 50% glycerol and less than 0.02% sodium azide. Store at –20°C. Do not aliquot the antibody.

For a carrier free (BSA and azide free) version of this product see product #39374.

Specificity/Sensitivity

AQP4 (D1F8E) Rabbit Monoclonal Antibody recognizes endogenous levels of total AQP4.

Source / Purification

Monoclonal antibody is produced by immunizing animals with recombinant protein specific to the carboxy terminus of human AQP4 protein.

Background

Aquaporins (AQPs) are integral membrane proteins that serve as channels to transfer water and small solutes across the membrane. There are 13 isoforms of AQP that are expressed in different types of cells and tissues (1,2). AQP1 is found in blood vessels, kidney, eye, and ear. AQP2 is found in the kidney, and it has been shown that the lack of AQP2 results in diabetes (1,3). AQP4 is present in the brain, where it is enriched in astrocytes (1,2,4). AQP5 is found in the salivary and lacrimal gland, AQP6 in intracellular vesicles in the kidney, AQP7 in adipocytes, AQP8 in kidney, testis, and liver, AQP9 is present in liver and leukocytes, and AQP10-11 in the intestine (1,3,4). AQPs are essential for the function of cells and organs. It has been shown that AQP1 and AQP4 regulate water homeostasis in astrocytes, preventing cerebral edema caused by solute imbalance (5). Several studies have shown the involvement of AQPs in the development of inflammatory processes, including innate and adaptive cell immunity (6,7).

AQP4 is expressed in brain cells, including neurons, but enriched in astrocytes, as well as in the peripheral nervous system (4,7). AQP4 influences synaptic plasticity and the lack of this protein in the brain may cause memory and learning impairment via glutamate transporter 1 (GLT1) in Alzheimer's disease (8,9,10). It's suggested that AQP4 could play a role in the clearance of β-amyloid, and it may influence the transport of potassium and calcium in Alzheimer's disease (8,9). In Parkinson's disease, the lack of AQP4 results in an increased susceptibility of neurons from the substantia nigra and the ventral tegmental area for MPTP (11).

Species Reactivity

Species reactivity is determined by testing in at least one approved application (e.g., western blot).

Western Blot Buffer

IMPORTANT: For western blots, incubate membrane with diluted primary antibody in 5% w/v BSA, 1X TBS, 0.1% Tween® 20 at 4°C with gentle shaking, overnight.

Applications Key

W: Western Blotting W-S: Simple Western™ IP: Immunoprecipitation IHC-P: Immunohistochemistry (Paraffin) IF-F: Immunofluorescence (Frozen) IF-IC: Immunofluorescence (Immunocytochemistry)

Cross-Reactivity Key

H: Human M: Mouse R: Rat

Trademarks and Patents

Cell Signaling Technology is a trademark of Cell Signaling Technology, Inc.

SignalStain is a registered trademark of Cell Signaling Technology, Inc.

All other trademarks are the property of their respective owners. Visit cellsignal.com/trademarks for more information.

Limited Uses

Except as otherwise expressly agreed in a writing signed by a legally authorized representative of CST, the following terms apply to Products provided by CST, its affiliates or its distributors. Any Customer's terms and conditions that are in addition to, or different from, those contained herein, unless separately accepted in writing by a legally authorized representative of CST, are rejected and are of no force or effect.

Products are labeled with For Research Use Only or a similar labeling statement and have not been approved, cleared, or licensed by the FDA or other regulatory foreign or domestic entity, for any purpose. Customer shall not use any Product for any diagnostic or therapeutic purpose, or otherwise in any manner that conflicts with its labeling statement. Products sold or licensed by CST are provided for Customer as the end-user and solely for research and development uses. Any use of Product for diagnostic, prophylactic or therapeutic purposes, or any purchase of Product for resale (alone or as a component) or other commercial purpose, requires a separate license from CST. Customer shall (a) not sell, license, loan, donate or otherwise transfer or make available any Product to any third party, whether alone or in combination with other materials, or use the Products to manufacture any commercial products, (b) not copy, modify, reverse engineer, decompile, disassemble or otherwise attempt to discover the underlying structure or technology of the Products, or use the Products for the purpose of developing any products or services that would compete with CST products or services, (c) not alter or remove from the Products any trademarks, trade names, logos, patent or copyright notices or markings, (d) use the Products solely in accordance with CST Product Terms of Sale and any applicable documentation, and (e) comply with any license, terms of service or similar agreement with respect to any third party products or services used by Customer in connection with the Products.

Orders: 877-616-CELL (2355) [email protected] Support: 877-678-TECH (8324) [email protected] Web: cellsignal.com
For Research Use Only. Not for Use in Diagnostic Procedures.

Revision 9

Cell Signaling Technology Logo
Western blot analysis of mouse, rat, and human brain extracts using AQP4 (D1F8E) XP® Rabbit mAb (upper) and β-actin (D6A8) Rabbit mAb #8457 (lower).
Western Blotting Image 1: AQP4 (D1F8E) Rabbit Monoclonal Antibody
Simple WesternTM analysis of lysates (0.1 mg/ml) from Mouse brain lysates using AQP4 (D1F8E) XP® Rabbit mAb #59678. The virtual lane view (left) shows the target band (as indicated) at 1:50 and 1:250 dilutions of primary antibody. The corresponding electropherogram view (right) plots chemiluminescence by molecular weight along the capillary at 1:50 (blue line) and 1:250 (green line) dilutions of primary antibody. This experiment was performed under reducing conditions on the JessTM Simple Western instrument from ProteinSimple, a BioTechne brand, using the 12-230kDa.
Western Blotting Image 1: AQP4 (D1F8E) Rabbit Monoclonal Antibody
Immunoprecipitation of AQP4 from human cortex extracts. Lane 1 is human cortex lysate immunoprecipitation, lane 2 is Rabbit (DA1E) mAb IgG XP® Isotype Control #3900, lanes 3 and 4 represent 1:50 and 1:100 dilutions of the immunoprecipitation of human cortex lysates. Western blot analysis was performed using AQP4 (D1F8E) XP® Rabbit mAb.
Immunoprecipitation Image 1: AQP4 (D1F8E) Rabbit Monoclonal Antibody
Orders: 877-616-CELL (2355) [email protected] Support: 877-678-TECH (8324) [email protected] Web: cellsignal.com
For Research Use Only. Not for Use in Diagnostic Procedures.

Revision 9

Cell Signaling Technology Logo
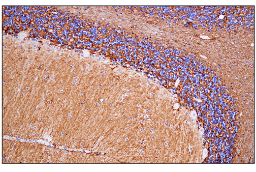
Immunohistochemical analysis of paraffin-embedded human cerebellum using AQP4 (D1F8E) XP® Rabbit mAb.
Immunohistochemistry Image 1: AQP4 (D1F8E) Rabbit Monoclonal Antibody
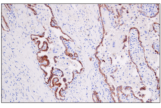
Immunohistochemical analysis of paraffin-embedded human squamous cell lung carcinoma using AQP4 (D1F8E) XP® Rabbit mAb.
Immunohistochemistry Image 2: AQP4 (D1F8E) Rabbit Monoclonal Antibody
Immunohistochemical analysis of paraffin-embedded mouse brain near third ventricle using AQP4 (D1F8E) XP® Rabbit mAb (left) compared to concentration matched Rabbit (DA1E) mAb IgG XP® Isotype Control #3900 (right).
Immunohistochemistry Image 3: AQP4 (D1F8E) Rabbit Monoclonal Antibody
Orders: 877-616-CELL (2355) [email protected] Support: 877-678-TECH (8324) [email protected] Web: cellsignal.com
For Research Use Only. Not for Use in Diagnostic Procedures.

Revision 9

Cell Signaling Technology Logo
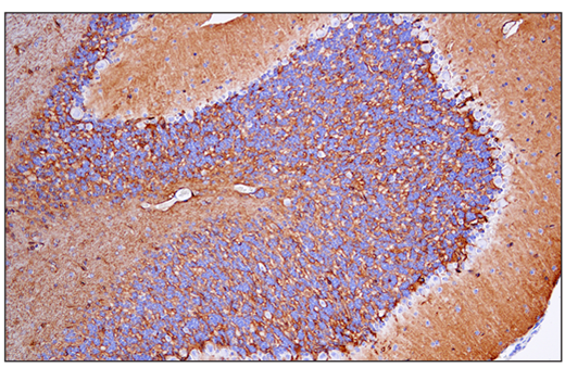
Immunohistochemical analysis of paraffin-embedded mouse cerebellum using AQP4 (D1F8E) XP® Rabbit mAb.
Immunohistochemistry Image 4: AQP4 (D1F8E) Rabbit Monoclonal Antibody
Immunohistochemical analysis of paraffin-embedded mouse kidney (left, positive) and mouse prostate (right, negative) using AQP4 (D1F8E) XP® Rabbit mAb.
Immunohistochemistry Image 5: AQP4 (D1F8E) Rabbit Monoclonal Antibody
Confocal immunofluorescent analysis of mouse retina (left) and mouse brain (right) using AQP4 (D1F8E) XP® Rabbit mAb (green) and GFAP (GA5) Mouse mAb #3670 (red). Samples were mounted in ProLong® Gold Antifade Reagent with DAPI #8961 (blue).
Immunofluorescence Image 1: AQP4 (D1F8E) Rabbit Monoclonal Antibody
Orders: 877-616-CELL (2355) [email protected] Support: 877-678-TECH (8324) [email protected] Web: cellsignal.com
For Research Use Only. Not for Use in Diagnostic Procedures.

Revision 9

Cell Signaling Technology Logo
Confocal immunofluorescent analysis of mouse kidney using AQP4 (D1F8E) XP® Rabbit mAb (green). Actin filaments were labeled with DyLight™ 554 Phalloidin #13054 (red). Samples were mounted in ProLong® Gold Antifade Reagent with DAPI #8961 (blue).
Immunofluorescence Image 2: AQP4 (D1F8E) Rabbit Monoclonal Antibody
Confocal immunofluorescent analysis of mouse colon using AQP4 (D1F8E) XP® Rabbit mAb (green). Actin filaments were labeled with DyLight™ 554 Phalloidin #13054 (red). Samples were mounted in ProLong® Gold Antifade Reagent with DAPI #8961 (blue).
Immunofluorescence Image 3: AQP4 (D1F8E) Rabbit Monoclonal Antibody
Confocal immunofluorescent analysis of fixed frozen mouse hippocampus from wild-type (left) or an amyloid mouse model of Alzheimer's disease (right) using AQP4 (D1F8E) XP® Rabbit mAb (green). Sections were mounted in ProLong® Gold Antifade Reagent with DAPI #8961 (blue).
Immunofluorescence Image 4: AQP4 (D1F8E) Rabbit Monoclonal Antibody
Orders: 877-616-CELL (2355) [email protected] Support: 877-678-TECH (8324) [email protected] Web: cellsignal.com
For Research Use Only. Not for Use in Diagnostic Procedures.

Revision 9

Cell Signaling Technology Logo
Confocal immunofluorescent analysis of human iPSC-derived astrocyte cells at 7 days in vitro using AQP4 (D1F8E) XP® Rabbit mAb (green), GFAP (GA5) Mouse mAb #3670 (red), and DAPI #4083 (blue). iCell Astrocytes 2.0 were kindly provided by FUJIFILM Cellular Dynamics, Inc.
Immunofluorescence Image 1: AQP4 (D1F8E) Rabbit Monoclonal Antibody
Orders: 877-616-CELL (2355) [email protected] Support: 877-678-TECH (8324) [email protected] Web: cellsignal.com
For Research Use Only. Not for Use in Diagnostic Procedures.