Revision 8

#93668

Store at -20C

CST Logo
Orders:

877-616-CELL (2355)

[email protected]

Support:

877-678-TECH (8324)

3 Trask Lane | Danvers | Massachusetts | 01923 | USA

For Research Use Only. Not for Use in Diagnostic Procedures.

Applications:
W, W-S, IHC-Bond, IHC-P, IF-F, IF-IC, FC-FP

Reactivity:
H M R

Sensitivity:
Endogenous

MW (kDa):
40

Source/Isotype:
Rabbit IgG

UniProt ID:
#P05089

Entrez-Gene Id:
383

Product Usage Information

Application Dilution
Western Blotting 1:1000
Simple Western™ 1:10 - 1:50
IHC Leica Bond 1:200 - 1:800
Immunohistochemistry (Paraffin) 1:50 - 1:200
Immunofluorescence (Frozen) 1:50 - 1:200
Immunofluorescence (Immunocytochemistry) 1:50 - 1:200
Flow Cytometry (Fixed/Permeabilized) 1:50

Storage

Supplied in 10 mM sodium HEPES (pH 7.5), 150 mM NaCl, 100 µg/ml BSA, 50% glycerol and less than 0.02% sodium azide. Store at –20°C. Do not aliquot the antibody.

For a carrier free (BSA and azide free) version of this product see product #89872.

Specificity/Sensitivity

Arginase-1 (D4E3M™) Rabbit Monoclonal Antibody recognizes endogenous levels of total arginase-1 protein. This antibody does not cross-react with arginase-2.

Source / Purification

Monoclonal antibody is produced by immunizing animals with a synthetic peptide corresponding to residues surrounding Val47 of human arginase-1 protein.

Background

L-arginine plays a critical role in regulating the immune system (1-3). In inflammation, cancer, and certain other pathological conditions, myeloid cell differentiation is inhibited leading to a heterogeneous population of immature myeloid cells, known as myeloid-derived suppressor cells (MDSCs). MDSCs are recruited to sites of cancer-associated inflammation and express high levels of arginase-1 (4). Arginase-1 catalyzes the final step of the urea cycle converting L-arginine to L-ornithine and urea (5). Thus, MDSCs increase the catabolism of L-arginine resulting in L-arginine depletion in the inflammatory microenvironment of cancer (4,6). The reduced availability of L-arginine suppresses T cell proliferation and function and thus contributes to tumor progression (4,6). Arginase-1 is of great interest to researchers looking for a therapeutic target to inhibit the function of MDSCs in the context of cancer immunotherapy (7). In addition, research studies have demonstrated that arginase-1 distinguishes primary hepatocellular carcinoma (HCC) from metastatic tumors in the liver, indicating its value as a potential biomarker in the diagnosis of HCC (8,9).

Species Reactivity

Species reactivity is determined by testing in at least one approved application (e.g., western blot).

Western Blot Buffer

IMPORTANT: For western blots, incubate membrane with diluted primary antibody in 5% w/v nonfat dry milk, 1X TBS, 0.1% Tween® 20 at 4°C with gentle shaking, overnight.

Applications Key

W: Western Blotting W-S: Simple Western™ IHC-Bond: IHC Leica Bond IHC-P: Immunohistochemistry (Paraffin) IF-F: Immunofluorescence (Frozen) IF-IC: Immunofluorescence (Immunocytochemistry) FC-FP: Flow Cytometry (Fixed/Permeabilized)

Cross-Reactivity Key

H: Human M: Mouse R: Rat

Trademarks and Patents

Cell Signaling Technology is a trademark of Cell Signaling Technology, Inc.

SignalStain is a registered trademark of Cell Signaling Technology, Inc.

All other trademarks are the property of their respective owners. Visit cellsignal.com/trademarks for more information.

Limited Uses

Except as otherwise expressly agreed in a writing signed by a legally authorized representative of CST, the following terms apply to Products provided by CST, its affiliates or its distributors. Any Customer's terms and conditions that are in addition to, or different from, those contained herein, unless separately accepted in writing by a legally authorized representative of CST, are rejected and are of no force or effect.

Products are labeled with For Research Use Only or a similar labeling statement and have not been approved, cleared, or licensed by the FDA or other regulatory foreign or domestic entity, for any purpose. Customer shall not use any Product for any diagnostic or therapeutic purpose, or otherwise in any manner that conflicts with its labeling statement. Products sold or licensed by CST are provided for Customer as the end-user and solely for research and development uses. Any use of Product for diagnostic, prophylactic or therapeutic purposes, or any purchase of Product for resale (alone or as a component) or other commercial purpose, requires a separate license from CST. Customer shall (a) not sell, license, loan, donate or otherwise transfer or make available any Product to any third party, whether alone or in combination with other materials, or use the Products to manufacture any commercial products, (b) not copy, modify, reverse engineer, decompile, disassemble or otherwise attempt to discover the underlying structure or technology of the Products, or use the Products for the purpose of developing any products or services that would compete with CST products or services, (c) not alter or remove from the Products any trademarks, trade names, logos, patent or copyright notices or markings, (d) use the Products solely in accordance with CST Product Terms of Sale and any applicable documentation, and (e) comply with any license, terms of service or similar agreement with respect to any third party products or services used by Customer in connection with the Products.

Orders: 877-616-CELL (2355) [email protected] Support: 877-678-TECH (8324) [email protected] Web: cellsignal.com
For Research Use Only. Not for Use in Diagnostic Procedures.

Revision 8

Cell Signaling Technology Logo
Western blot analysis of extracts from mouse and rat liver using Arginase-1 (D4E3M™) XP® Rabbit mAb.
Western Blotting Image 1: Arginase-1 (D4E3M<sup>™</sup>) Rabbit Monoclonal Antibody
Western blot analysis of extracts from mouse liver and mouse small intestine using Arginase-1 (D4E3M™) XP® Rabbit mAb (upper) or β-Actin (D6A8) Rabbit mAb #8457 (lower).
Western Blotting Image 2: Arginase-1 (D4E3M<sup>™</sup>) Rabbit Monoclonal Antibody
Simple Western™ analysis of extracts (0.1 mg/mL) from mouse liver tissue using Arginase-1 (D4E3M™) XP® Rabbit mAb #93668. The virtual lane view (left) shows the target band (as indicated) at 1:10 and 1:50 dilutions of primary antibody. The corresponding electropherogram view (right) plots chemiluminescence by molecular weight along the capillary at 1:10 (blue line) and 1:50 (green line) dilutions of primary antibody. This experiment was performed under reducing conditions on the Jess™ Simple Western instrument from ProteinSimple, a BioTechne brand, using the 12-230 kDa separation module.
Western Blotting Image 1: Arginase-1 (D4E3M<sup>™</sup>) Rabbit Monoclonal Antibody
Orders: 877-616-CELL (2355) [email protected] Support: 877-678-TECH (8324) [email protected] Web: cellsignal.com
For Research Use Only. Not for Use in Diagnostic Procedures.

Revision 8

Cell Signaling Technology Logo
Immunohistochemical analysis of paraffin-embedded human colon adenocarcinoma using Arginase-1 (D4E3M™) XP® Rabbit mAb performed on the Leica® BOND™ Rx.
Immunohistochemistry Image 1: Arginase-1 (D4E3M<sup>™</sup>) Rabbit Monoclonal Antibody
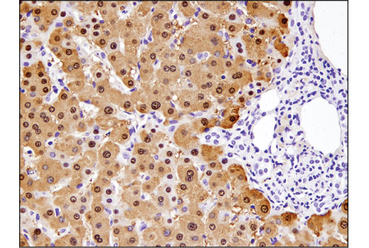
Immunohistochemical analysis of paraffin-embedded human hepatocellular carcinoma using Arginase-1 (D4E3M™) XP® Rabbit mAb.
Immunohistochemistry Image 1: Arginase-1 (D4E3M<sup>™</sup>) Rabbit Monoclonal Antibody
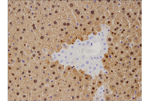
Immunohistochemical analysis of paraffin-embedded normal human liver using Arginase-1 (D4E3M™) XP® Rabbit mAb.
Immunohistochemistry Image 2: Arginase-1 (D4E3M<sup>™</sup>) Rabbit Monoclonal Antibody
Orders: 877-616-CELL (2355) [email protected] Support: 877-678-TECH (8324) [email protected] Web: cellsignal.com
For Research Use Only. Not for Use in Diagnostic Procedures.

Revision 8

Cell Signaling Technology Logo
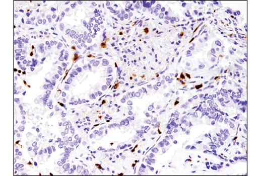
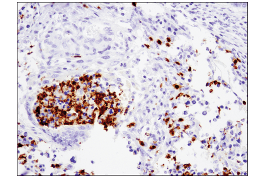
Immunohistochemical analysis of paraffin-embedded human lung carcinoma using Arginase-1 (D4E3M™) XP® Rabbit mAb.
Immunohistochemistry Image 3: Arginase-1 (D4E3M<sup>™</sup>) Rabbit Monoclonal Antibody
Immunohistochemical analysis of paraffin-embedded mouse liver using Arginase-1 (D4E3M™) XP® Rabbit mAb.
Immunohistochemistry Image 4: Arginase-1 (D4E3M<sup>™</sup>) Rabbit Monoclonal Antibody
Confocal immunofluorescent analysis of mouse liver (positive; left) or small intestine (negative; right) using Arginase-1 (D4E3M™) XP® Rabbit mAb (green). Blue pseudocolor = DRAQ5 #4084 (fluorescent DNA dye).
Immunofluorescence Image 1: Arginase-1 (D4E3M<sup>™</sup>) Rabbit Monoclonal Antibody
Orders: 877-616-CELL (2355) [email protected] Support: 877-678-TECH (8324) [email protected] Web: cellsignal.com
For Research Use Only. Not for Use in Diagnostic Procedures.

Revision 8

Cell Signaling Technology Logo
Confocal immunofluorescent analysis of mouse primary bone marrow-derived macrophages (BMDMs) using Arginase-1 (D4E3M™) XP® Rabbit mAb (green). BMDMs were differentiated with M-CSF (20 ng/ml, 7 days) and activated with either IL-4/cAMP (20 ng/ml, 0.5 mM, 24 hours; left) or LPS/IFNγ (50 ng/ml, 20 ng/ml, 24 hours; right). Red = Propidium Iodide (PI)/RNase Staining Solution #4087.
Immunofluorescence Image 1: Arginase-1 (D4E3M<sup>™</sup>) Rabbit Monoclonal Antibody
Flow cytometric analysis of human whole blood using Arginase-1 (D4E3M™) XP® Rabbit mAb (solid line) compared to concentration-matched Rabbit (DA1E) mAb IgG XP® Isotype Control #3900 (dashed line). Anti-rabbit IgG (H+L), F(ab')2 Fragment (Alexa Fluor® 488 Conjugate) #4412 was used as a secondary antibody. Analysis was performed on cells in the granulocyte gate.
Flow Cytometry Image 1: Arginase-1 (D4E3M<sup>™</sup>) Rabbit Monoclonal Antibody
Flow cytometric analysis of mouse bone marrow-derived macrophage cells, untreated (blue) or treated with hIL-4 (20 ng/mL, 48 hr; green), using Arginase-1 (D4E3M™) XP® Rabbit mAb (solid lines) or a concentration-matched Rabbit (DA1E) mAb IgG XP® Isotype Control #3900 (dashed lines). Anti-rabbit IgG (H+L), F(ab')2 fragment (Alexa Fluor® 488 conjugate) #4412 was used as a secondary antibody.
Flow Cytometry Image 2: Arginase-1 (D4E3M<sup>™</sup>) Rabbit Monoclonal Antibody
Orders: 877-616-CELL (2355) [email protected] Support: 877-678-TECH (8324) [email protected] Web: cellsignal.com
For Research Use Only. Not for Use in Diagnostic Procedures.