Revision 1

#47677

Store at -20C

CST Logo
Orders:

877-616-CELL (2355)

[email protected]

Support:

877-678-TECH (8324)

3 Trask Lane | Danvers | Massachusetts | 01923 | USA

For Research Use Only. Not for Use in Diagnostic Procedures.

Applications:
W, IHC-P

Reactivity:
H M

Sensitivity:
Endogenous

MW (kDa):
78

Source/Isotype:
Rabbit IgG

UniProt ID:
#O60285

Entrez-Gene Id:
9891

Product Usage Information

Application Dilution
Western Blotting 1:1000
Immunohistochemistry (Paraffin) 1:125 - 1:500

Storage

Supplied in 10 mM sodium HEPES (pH 7.5), 150 mM NaCl, 100 µg/mL BSA, 50% glycerol, and less than 0.02% sodium azide. Store at –20°C. Do not aliquot the antibody.

Specificity/Sensitivity

ARK5 (E4T2A) Rabbit Monoclonal Antibody recognizes endogenous levels of total ARK5 protein. Non-specific staining was observed in mouse testis by immunohistochemistry.

Source / Purification

Monoclonal antibody is produced by immunizing animals with recombinant protein specific to the carboxy terminus of human ARK5 protein.

Background

AMP-activated protein kinases (AMPKs) constitute a serine/threonine protein kinase family, which is highly conserved from yeast to plants and animals and plays a key role in the regulation of energy homeostasis (1). AMPKα1, AMPKα2, MELK, and SNARK are the catalytic subunits in the family (2). Recently, AMPK-related protein kinase ARK5 was identified, which shares 84% similarity with the sequence of the catalytic domain of SNARK (2). In vitro, Akt phosphorylates ARK5 at Ser600. This phosphorylation activates ARK5, resulting in increased phosphorylation of the SAMS peptide, an AMPK consensus substrate (2). In vivo experiments showed that Akt-activated ARK5 is critical for the survival of cells under glucose starvation (2). Furthermore, studies also linked ARK5 to tumor invasion (3,4). Overexpressed ARK5 leads to a higher tumor growth rate (3). For example, the overexpression of ARK5 in pancreatic tumor cell line PANC-1 significantly elevates its metastasis in the liver (4).

Species Reactivity

Species reactivity is determined by testing in at least one approved application (e.g., western blot).

Western Blot Buffer

IMPORTANT: For western blots, incubate membrane with diluted primary antibody in 5% w/v BSA, 1X TBS, 0.1% Tween® 20 at 4°C with gentle shaking, overnight.

Applications Key

W: Western Blotting IHC-P: Immunohistochemistry (Paraffin)

Cross-Reactivity Key

H: Human M: Mouse

Trademarks and Patents

Cell Signaling Technology is a trademark of Cell Signaling Technology, Inc.

All other trademarks are the property of their respective owners. Visit cellsignal.com/trademarks for more information.

Limited Uses

Except as otherwise expressly agreed in a writing signed by a legally authorized representative of CST, the following terms apply to Products provided by CST, its affiliates or its distributors. Any Customer's terms and conditions that are in addition to, or different from, those contained herein, unless separately accepted in writing by a legally authorized representative of CST, are rejected and are of no force or effect.

Products are labeled with For Research Use Only or a similar labeling statement and have not been approved, cleared, or licensed by the FDA or other regulatory foreign or domestic entity, for any purpose. Customer shall not use any Product for any diagnostic or therapeutic purpose, or otherwise in any manner that conflicts with its labeling statement. Products sold or licensed by CST are provided for Customer as the end-user and solely for research and development uses. Any use of Product for diagnostic, prophylactic or therapeutic purposes, or any purchase of Product for resale (alone or as a component) or other commercial purpose, requires a separate license from CST. Customer shall (a) not sell, license, loan, donate or otherwise transfer or make available any Product to any third party, whether alone or in combination with other materials, or use the Products to manufacture any commercial products, (b) not copy, modify, reverse engineer, decompile, disassemble or otherwise attempt to discover the underlying structure or technology of the Products, or use the Products for the purpose of developing any products or services that would compete with CST products or services, (c) not alter or remove from the Products any trademarks, trade names, logos, patent or copyright notices or markings, (d) use the Products solely in accordance with CST Product Terms of Sale and any applicable documentation, and (e) comply with any license, terms of service or similar agreement with respect to any third party products or services used by Customer in connection with the Products.

Orders: 877-616-CELL (2355) [email protected] Support: 877-678-TECH (8324) [email protected] Web: cellsignal.com
For Research Use Only. Not for Use in Diagnostic Procedures.

Revision 1

Cell Signaling Technology Logo
Western blot analysis of extracts from various cell lines using ARK5 (E4T2A) Rabbit mAb (upper) or β-Actin (D6A8) Rabbit mAb #8457 (lower). The lower to negative expression of ARK5 in VCaP cells is consistent with the predicted expression pattern.
Western Blotting Image 1: ARK5 (E4T2A) Rabbit Monoclonal Antibody
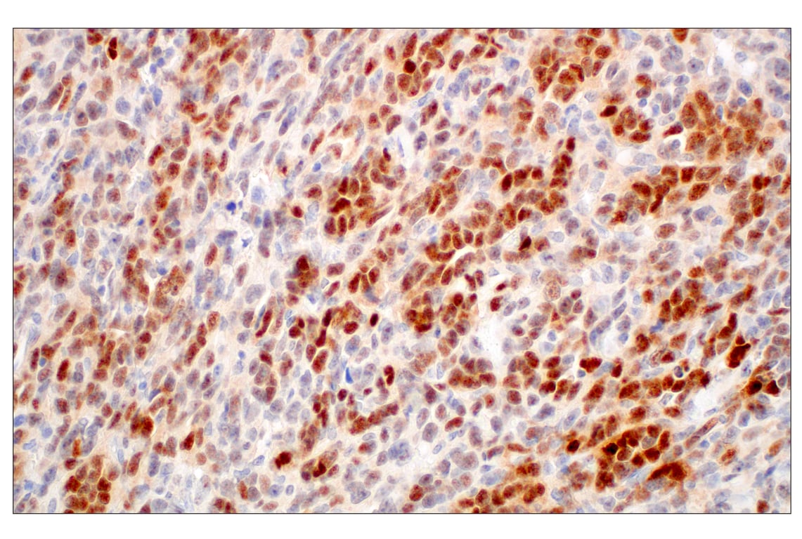
Immunohistochemical analysis of paraffin-embedded human serous papillary carcinoma of the ovary using ARK5 (E4T2A) Rabbit mAb.
Immunohistochemistry Image 1: ARK5 (E4T2A) Rabbit Monoclonal Antibody
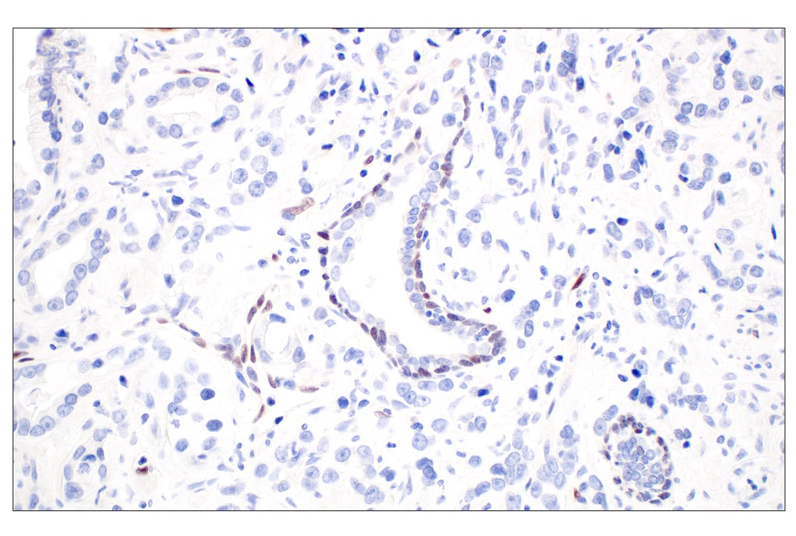
Immunohistochemical analysis of paraffin-embedded human squamous cell carcinoma of the cervix using ARK5 (E4T2A) Rabbit mAb.
Immunohistochemistry Image 2: ARK5 (E4T2A) Rabbit Monoclonal Antibody
Orders: 877-616-CELL (2355) [email protected] Support: 877-678-TECH (8324) [email protected] Web: cellsignal.com
For Research Use Only. Not for Use in Diagnostic Procedures.

Revision 1

Cell Signaling Technology Logo

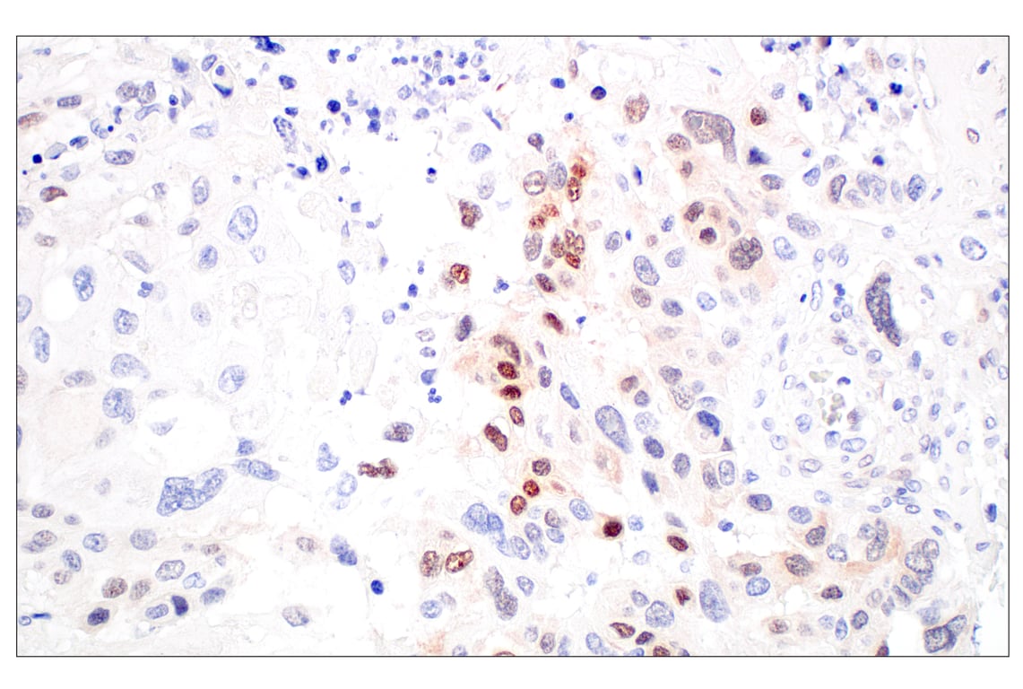
Immunohistochemical analysis of paraffin-embedded human renal cell carcinoma using ARK5 (E4T2A) Rabbit mAb.

Immunohistochemistry Image 3: ARK5 (E4T2A) Rabbit Monoclonal Antibody
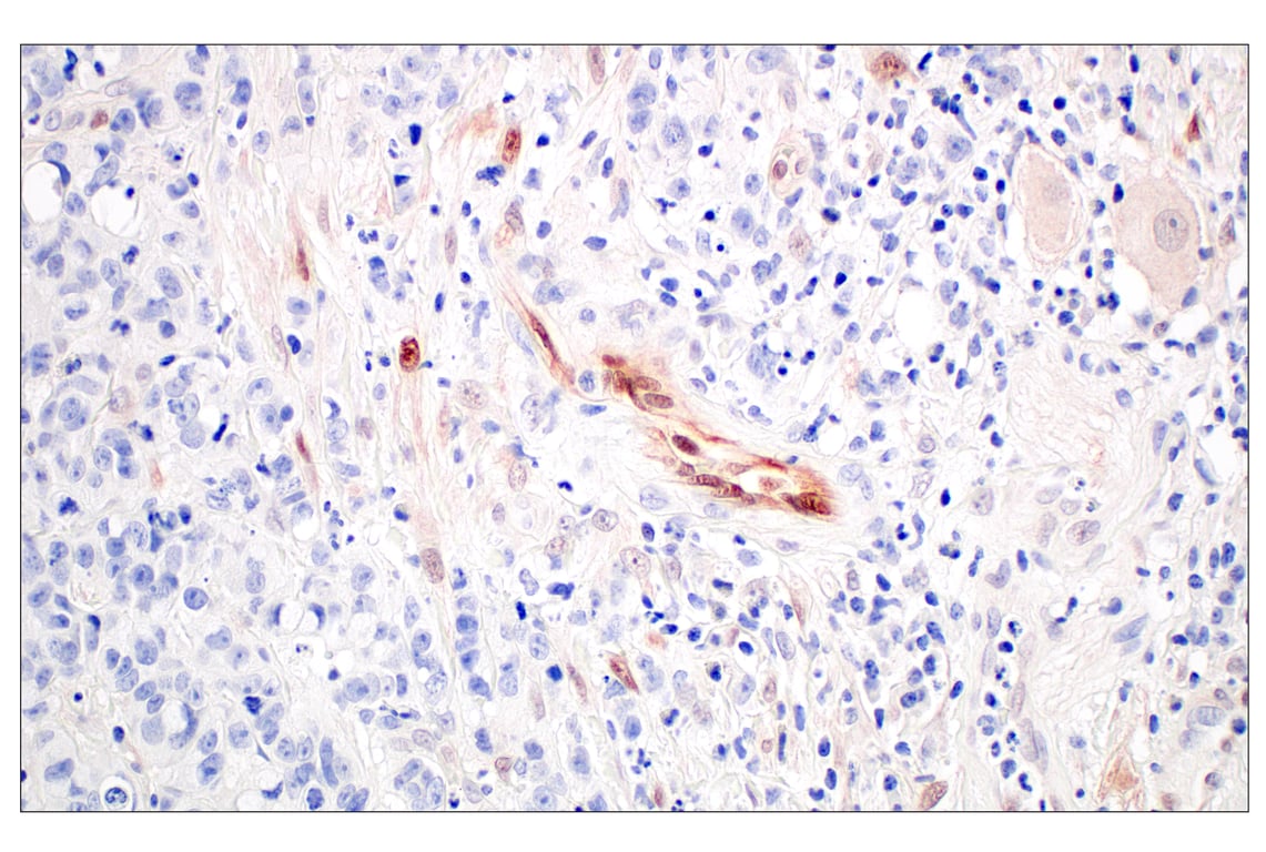
Immunohistochemical analysis of paraffin-embedded human colon adenocarcinoma using ARK5 (E4T2A) Rabbit mAb.
Immunohistochemistry Image 4: ARK5 (E4T2A) Rabbit Monoclonal Antibody

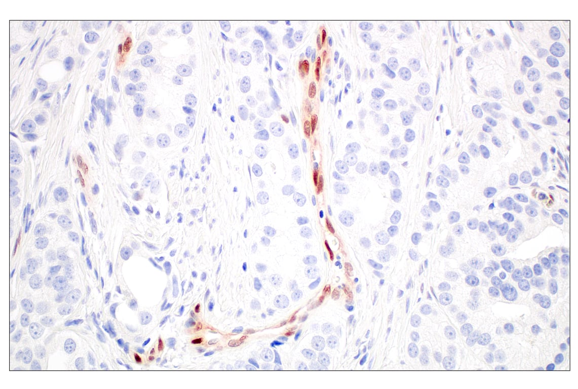
Immunohistochemical analysis of paraffin-embedded human colon adenocarcinoma using ARK5 (E4T2A) Rabbit mAb.

Immunohistochemistry Image 5: ARK5 (E4T2A) Rabbit Monoclonal Antibody
Orders: 877-616-CELL (2355) [email protected] Support: 877-678-TECH (8324) [email protected] Web: cellsignal.com
For Research Use Only. Not for Use in Diagnostic Procedures.

Revision 1

Cell Signaling Technology Logo
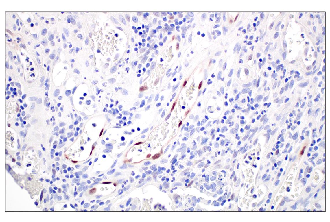
Immunohistochemical analysis of paraffin-embedded human prostate adenocarcinoma using ARK5 (E4T2A) Rabbit mAb.
Immunohistochemistry Image 6: ARK5 (E4T2A) Rabbit Monoclonal Antibody
Immunohistochemical analysis of paraffin-embedded human squamous cell lung carcinoma using ARK5 (E4T2A) Rabbit mAb.
Immunohistochemistry Image 7: ARK5 (E4T2A) Rabbit Monoclonal Antibody
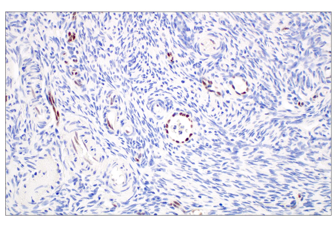
Immunohistochemical analysis of paraffin-embedded normal human ovary using ARK5 (E4T2A) Rabbit mAb.
Immunohistochemistry Image 8: ARK5 (E4T2A) Rabbit Monoclonal Antibody
Orders: 877-616-CELL (2355) [email protected] Support: 877-678-TECH (8324) [email protected] Web: cellsignal.com
For Research Use Only. Not for Use in Diagnostic Procedures.

Revision 1

Cell Signaling Technology Logo
Immunohistochemical analysis of paraffin-embedded human prostate adenocarcinoma using ARK5 (E4T2A) Rabbit mAb.
Immunohistochemistry Image 9: ARK5 (E4T2A) Rabbit Monoclonal Antibody
Immunohistochemical analysis of paraffin-embedded 4T1 mammary tumor using ARK5 (E4T2A) Rabbit mAb.
Immunohistochemistry Image 10: ARK5 (E4T2A) Rabbit Monoclonal Antibody

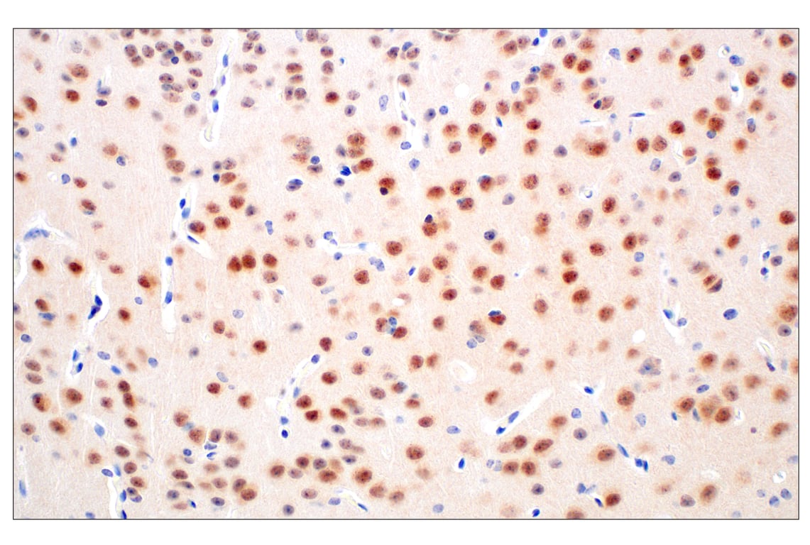
Immunohistochemical analysis of paraffin-embedded mouse brain using ARK5 (E4T2A) Rabbit mAb.

Immunohistochemistry Image 11: ARK5 (E4T2A) Rabbit Monoclonal Antibody
Orders: 877-616-CELL (2355) [email protected] Support: 877-678-TECH (8324) [email protected] Web: cellsignal.com
For Research Use Only. Not for Use in Diagnostic Procedures.

Revision 1

Cell Signaling Technology Logo
Immunohistochemical analysis of paraffin-embedded mouse ovary using ARK5 (E4T2A) Rabbit mAb.
Immunohistochemistry Image 12: ARK5 (E4T2A) Rabbit Monoclonal Antibody
Immunohistochemical analysis of paraffin-embedded human urothelial carcinoma using ARK5 (E4T2A) Rabbit mAb (left) compared to concentration-matched Rabbit (DA1E) mAb IgG XP® Isotype Control #3900 (right).
Immunohistochemistry Image 13: ARK5 (E4T2A) Rabbit Monoclonal Antibody
Immunohistochemical analysis of paraffin-embedded OVCAR-8 cell pellet (left, positive) or VCaP cell pellet (right, negative) using ARK5 (E4T2A) Rabbit mAb.
Immunohistochemistry Image 14: ARK5 (E4T2A) Rabbit Monoclonal Antibody
Orders: 877-616-CELL (2355) [email protected] Support: 877-678-TECH (8324) [email protected] Web: cellsignal.com
For Research Use Only. Not for Use in Diagnostic Procedures.