Revision 4

#10585

Store at -20C

CST Logo
Orders:

877-616-CELL (2355)

[email protected]

Support:

877-678-TECH (8324)

3 Trask Lane | Danvers | Massachusetts | 01923 | USA

For Research Use Only. Not for Use in Diagnostic Procedures.

Applications:
W, IHC-Bond, IHC-P

Reactivity:
H

Sensitivity:
Endogenous

MW (kDa):
30

Source/Isotype:
Rabbit IgG

UniProt ID:
#P50553

Entrez-Gene Id:
429

Product Usage Information

Application Dilution
Western Blotting 1:1000
IHC Leica Bond 1:400 - 1:1600
Immunohistochemistry (Paraffin) 1:100 - 1:400

Storage

Supplied in 10 mM sodium HEPES (pH 7.5), 150 mM NaCl, 100 µg/mL BSA, 50% glycerol, and less than 0.02% sodium azide. Store at –20°C. Do not aliquot the antibody.

For a carrier free (BSA and azide free) version of this product see product #53049.

Specificity/Sensitivity

ASCL1 (E5S4Q) Rabbit Monoclonal Antibody recognizes endogenous levels of total ASCL1 protein.

Source / Purification

Monoclonal antibody is produced by immunizing animals with a synthetic peptide corresponding to residues surrounding Pro83 of human ASCL1 protein.

Background

Achaete-scute homolog 1 (ASCL1), also known as MASH-1, is a basic helix-loop-helix (BHLH) transcription factor which plays an essential role in the differentiation of neuroendocrine cells and neural tissues (1-3). ASCL1 directly binds the E-box motif (5'-CANNTG-3') on promoters, with dimerization with other BHLH proteins required for efficient DNA binding (4). Acting as a pioneer transcription factor, ASCL1 also accesses closed chromatin, allowing other factors to promote transcription of neuronal genes and activate neural pathways (5). Research studies have shown that knockdown of the ASCL1 gene leads to inhibition of growth and induction of apoptosis in SCLC cells in vitro (6). Additionally, ASCL1 is overexpressed in both classic SCLC as well as NSCLC with neuroendocrine features, suggesting its role in the pathogenesis of those malignancies (7). ASCL1 plays a crucial role in promoting SCLC carcinogenesis by upregulating the expression of DLL3, a nonfunctioning Notch ligand, leading to inhibition of the Notch signaling pathway (8).

Species Reactivity

Species reactivity is determined by testing in at least one approved application (e.g., western blot).

Western Blot Buffer

IMPORTANT: For western blots, incubate membrane with diluted primary antibody in 5% w/v BSA, 1X TBS, 0.1% Tween® 20 at 4°C with gentle shaking, overnight.

Applications Key

W: Western Blotting IHC-Bond: IHC Leica Bond IHC-P: Immunohistochemistry (Paraffin)

Cross-Reactivity Key

H: Human

Trademarks and Patents

Cell Signaling Technology is a trademark of Cell Signaling Technology, Inc.

SignalStain is a registered trademark of Cell Signaling Technology, Inc.

All other trademarks are the property of their respective owners. Visit cellsignal.com/trademarks for more information.

Limited Uses

Except as otherwise expressly agreed in a writing signed by a legally authorized representative of CST, the following terms apply to Products provided by CST, its affiliates or its distributors. Any Customer's terms and conditions that are in addition to, or different from, those contained herein, unless separately accepted in writing by a legally authorized representative of CST, are rejected and are of no force or effect.

Products are labeled with For Research Use Only or a similar labeling statement and have not been approved, cleared, or licensed by the FDA or other regulatory foreign or domestic entity, for any purpose. Customer shall not use any Product for any diagnostic or therapeutic purpose, or otherwise in any manner that conflicts with its labeling statement. Products sold or licensed by CST are provided for Customer as the end-user and solely for research and development uses. Any use of Product for diagnostic, prophylactic or therapeutic purposes, or any purchase of Product for resale (alone or as a component) or other commercial purpose, requires a separate license from CST. Customer shall (a) not sell, license, loan, donate or otherwise transfer or make available any Product to any third party, whether alone or in combination with other materials, or use the Products to manufacture any commercial products, (b) not copy, modify, reverse engineer, decompile, disassemble or otherwise attempt to discover the underlying structure or technology of the Products, or use the Products for the purpose of developing any products or services that would compete with CST products or services, (c) not alter or remove from the Products any trademarks, trade names, logos, patent or copyright notices or markings, (d) use the Products solely in accordance with CST Product Terms of Sale and any applicable documentation, and (e) comply with any license, terms of service or similar agreement with respect to any third party products or services used by Customer in connection with the Products.

Orders: 877-616-CELL (2355) [email protected] Support: 877-678-TECH (8324) [email protected] Web: cellsignal.com
For Research Use Only. Not for Use in Diagnostic Procedures.

Revision 4

Cell Signaling Technology Logo
Western blot analysis of extracts from various cell lines using ASCL1 (E5S4Q) XP® Rabbit mAb (upper) or GAPDH (D16H11) XP® Rabbit mAb #5174 (lower). Negative expression of ASCL1 protein in U-2 OS and SK-MEL-28 cells is consistent with the predicted expression pattern.
Western Blotting Image 1: ASCL1 (E5S4Q) Rabbit Monoclonal Antibody
Immunohistochemical analysis of paraffin-embedded human small cell lung carcinoma using ASCL1 (E5S4Q) XP® Rabbit mAb performed on the Leica® BOND™ Rx.  
Immunohistochemistry Image 1: ASCL1 (E5S4Q) Rabbit Monoclonal Antibody
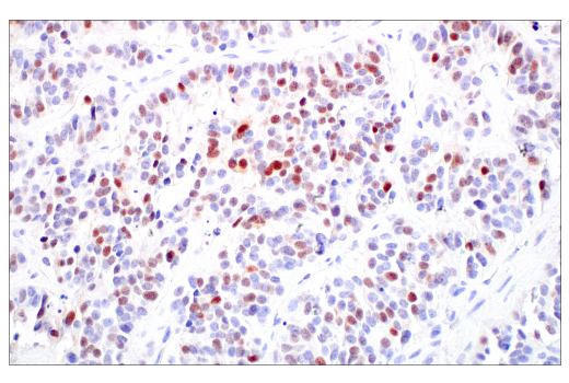
Immunohistochemical analysis of paraffin-embedded human small cell lung carcinoma using ASCL1 (E5S4Q) XP® Rabbit mAb.
Immunohistochemistry Image 1: ASCL1 (E5S4Q) Rabbit Monoclonal Antibody
Orders: 877-616-CELL (2355) [email protected] Support: 877-678-TECH (8324) [email protected] Web: cellsignal.com
For Research Use Only. Not for Use in Diagnostic Procedures.

Revision 4

Cell Signaling Technology Logo
Immunohistochemical analysis of paraffin-embedded human pancreatic neuroendocrine carcinoma using ASCL1 (E5S4Q) XP® Rabbit mAb.
Immunohistochemistry Image 2: ASCL1 (E5S4Q) Rabbit Monoclonal Antibody
Immunohistochemical analysis of paraffin-embedded human neuroendocrine carcinoma of the gallbladder using ASCL1 (E5S4Q) XP® Rabbit mAb.
Immunohistochemistry Image 3: ASCL1 (E5S4Q) Rabbit Monoclonal Antibody
Immunohistochemical analysis of paraffin-embedded human metastatic neuroendocrine carcinoma of the lung (two regions of interest) using ASCL1 (E5S4Q) XP® Rabbit mAb.
Immunohistochemistry Image 4: ASCL1 (E5S4Q) Rabbit Monoclonal Antibody
Orders: 877-616-CELL (2355) [email protected] Support: 877-678-TECH (8324) [email protected] Web: cellsignal.com
For Research Use Only. Not for Use in Diagnostic Procedures.

Revision 4

Cell Signaling Technology Logo
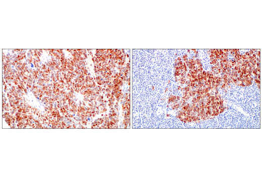
Immunohistochemical analysis of paraffin-embedded human small cell lung carcinoma using ASCL1 (E5S4Q) XP® Rabbit mAb (left) compared to concentration-matched Rabbit (DA1E) mAb IgG XP® Isotype Control #3900 (right). 
Immunohistochemistry Image 5: ASCL1 (E5S4Q) Rabbit Monoclonal Antibody
Immunohistochemical analysis of paraffin-embedded NCI-H146 cell pellet (left, positive) or SK-MEL-28 cell pellet (right, negative) using ASCL1 (E5S4Q) XP® Rabbit mAb.
Immunohistochemistry Image 6: ASCL1 (E5S4Q) Rabbit Monoclonal Antibody
Orders: 877-616-CELL (2355) [email protected] Support: 877-678-TECH (8324) [email protected] Web: cellsignal.com
For Research Use Only. Not for Use in Diagnostic Procedures.