Revision 7

#8057

Store at -20C

CST Logo
Orders:

877-616-CELL (2355)

[email protected]

Support:

877-678-TECH (8324)

3 Trask Lane | Danvers | Massachusetts | 01923 | USA

For Research Use Only. Not for Use in Diagnostic Procedures.

Applications:
W, IP, IHC-P, IF-IC, FC-FP

Reactivity:
H Mk

Sensitivity:
Endogenous

MW (kDa):
49, 75

Source/Isotype:
Rabbit

UniProt ID:
#Q15758

Entrez-Gene Id:
6510

Product Usage Information

Application Dilution
Western Blotting 1:1000
Immunoprecipitation 1:50
Immunohistochemistry (Paraffin) 1:200 - 1:800
Immunofluorescence (Immunocytochemistry) 1:400 - 1:1600
Flow Cytometry (Fixed/Permeabilized) 1:200 - 1:800

Storage

Supplied in 10 mM sodium HEPES (pH 7.5), 150 mM NaCl, 100 µg/ml BSA, 50% glycerol and less than 0.02% sodium azide. Store at –20°C. Do not aliquot the antibody.

For a carrier free (BSA and azide free) version of this product see product #69974.

Specificity/Sensitivity

ASCT2 (D7C12) Rabbit Monoclonal Antibody recognizes endogenous levels of total ASCT2 protein.

Source / Purification

Monoclonal antibody is produced by immunizing animals with a synthetic peptide corresponding to residues near the amino terminus of human ASCT2 protein.

Background

Sodium-dependent neutral amino acid transporter type 2 (ASCT2 or SLC1A5) is a neutral amino acid transporter that regulates the uptake of essential amino acids in conjunction with the SLC7A5 bilateral transporter (1,2). ASCT2 appears to be the major glutamine transporter in hepatoma cells and is thought to provide essential amino acids needed for tumor growth (3). Additional evidence suggests that ASCT2 plays a role in activating mTORC1 signaling and is required to suppress autophagy (4,5). Cell surface ASCT2 serves as a receptor for several mammalian interference retroviruses associated with cases of infectious immunodeficiency; variation in a small region of an extracellular loop (ECL2) may be responsible for species-specific differences in receptor function (6).

Species Reactivity

Species reactivity is determined by testing in at least one approved application (e.g., western blot).

Western Blot Buffer

IMPORTANT: For western blots, incubate membrane with diluted primary antibody in 5% w/v nonfat dry milk, 1X TBS, 0.1% Tween® 20 at 4°C with gentle shaking, overnight.

Applications Key

W: Western Blotting IP: Immunoprecipitation IHC-P: Immunohistochemistry (Paraffin) IF-IC: Immunofluorescence (Immunocytochemistry) FC-FP: Flow Cytometry (Fixed/Permeabilized)

Cross-Reactivity Key

H: Human Mk: Monkey

Trademarks and Patents

Cell Signaling Technology is a trademark of Cell Signaling Technology, Inc.

SignalStain is a registered trademark of Cell Signaling Technology, Inc.

All other trademarks are the property of their respective owners. Visit cellsignal.com/trademarks for more information.

Limited Uses

Except as otherwise expressly agreed in a writing signed by a legally authorized representative of CST, the following terms apply to Products provided by CST, its affiliates or its distributors. Any Customer's terms and conditions that are in addition to, or different from, those contained herein, unless separately accepted in writing by a legally authorized representative of CST, are rejected and are of no force or effect.

Products are labeled with For Research Use Only or a similar labeling statement and have not been approved, cleared, or licensed by the FDA or other regulatory foreign or domestic entity, for any purpose. Customer shall not use any Product for any diagnostic or therapeutic purpose, or otherwise in any manner that conflicts with its labeling statement. Products sold or licensed by CST are provided for Customer as the end-user and solely for research and development uses. Any use of Product for diagnostic, prophylactic or therapeutic purposes, or any purchase of Product for resale (alone or as a component) or other commercial purpose, requires a separate license from CST. Customer shall (a) not sell, license, loan, donate or otherwise transfer or make available any Product to any third party, whether alone or in combination with other materials, or use the Products to manufacture any commercial products, (b) not copy, modify, reverse engineer, decompile, disassemble or otherwise attempt to discover the underlying structure or technology of the Products, or use the Products for the purpose of developing any products or services that would compete with CST products or services, (c) not alter or remove from the Products any trademarks, trade names, logos, patent or copyright notices or markings, (d) use the Products solely in accordance with CST Product Terms of Sale and any applicable documentation, and (e) comply with any license, terms of service or similar agreement with respect to any third party products or services used by Customer in connection with the Products.

Orders: 877-616-CELL (2355) [email protected] Support: 877-678-TECH (8324) [email protected] Web: cellsignal.com
For Research Use Only. Not for Use in Diagnostic Procedures.

Revision 7

Cell Signaling Technology Logo
Western blot analysis of extracts from HT-29 cells, untreated or treated with peptide N-glycosidase F (PNGase F), and untreated SW620 cells using ASCT2 (D7C12) Rabbit mAb.
Western Blotting Image 1: ASCT2 (D7C12) Rabbit Monoclonal Antibody
Immunohistochemical analysis of paraffin-embedded SW480 cell pellet (left, high-expressing) or SK-MEL-5 cell pellet (right, low-expressing) using ASCT2 (D7C12) Rabbit mAb.
Immunohistochemistry Image 1: ASCT2 (D7C12) Rabbit Monoclonal Antibody
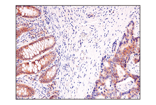
Immunohistochemical analysis of paraffin-embedded human colon carcinoma using ASCT2 (D7C12) Rabbit mAb.
Immunohistochemistry Image 2: ASCT2 (D7C12) Rabbit Monoclonal Antibody
Orders: 877-616-CELL (2355) [email protected] Support: 877-678-TECH (8324) [email protected] Web: cellsignal.com
For Research Use Only. Not for Use in Diagnostic Procedures.

Revision 7

Cell Signaling Technology Logo
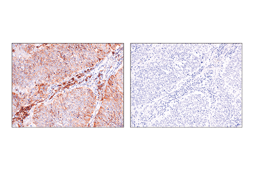
Immunohistochemical analysis of paraffin-embedded human lung adenocarcinoma using ASCT2 (D7C12) Rabbit mAb (left) compared to concentration matched Rabbit (DA1E) mAb IgG XP® Isotype Control #3900 (right).
Immunohistochemistry Image 3: ASCT2 (D7C12) Rabbit Monoclonal Antibody
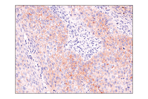
Immunohistochemical analysis of paraffin-embedded human squamous cell lung carcinoma using ASCT2 (D7C12) Rabbit mAb.
Immunohistochemistry Image 4: ASCT2 (D7C12) Rabbit Monoclonal Antibody
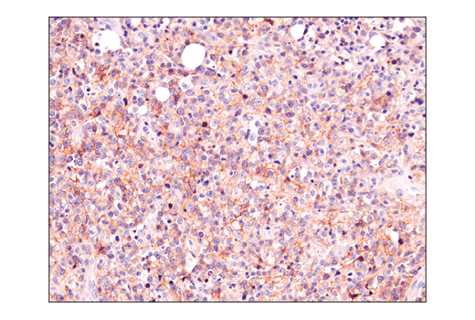
Immunohistochemical analysis of paraffin-embedded human non-Hodgkin's lymphoma using ASCT2 (D7C12) Rabbit mAb.
Immunohistochemistry Image 5: ASCT2 (D7C12) Rabbit Monoclonal Antibody
Orders: 877-616-CELL (2355) [email protected] Support: 877-678-TECH (8324) [email protected] Web: cellsignal.com
For Research Use Only. Not for Use in Diagnostic Procedures.

Revision 7

Cell Signaling Technology Logo
Immunohistochemical analysis of paraffin-embedded human serous papillary carcinoma of the ovary using ASCT2 (D7C12) Rabbit mAb.
Immunohistochemistry Image 6: ASCT2 (D7C12) Rabbit Monoclonal Antibody
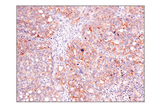
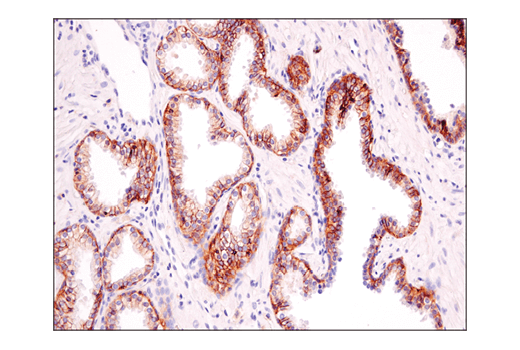
Immunohistochemical analysis of paraffin-embedded human prostate carcinoma using ASCT2 (D7C12) Rabbit mAb.
Immunohistochemistry Image 7: ASCT2 (D7C12) Rabbit Monoclonal Antibody
Confocal immunofluorescent analysis of HT-29 cells using ASCT2 (D7C12) Rabbit mAb (green). Blue pseudocolor = DRAQ5® #4084 (fluorescent DNA dye).
Immunofluorescence Image 1: ASCT2 (D7C12) Rabbit Monoclonal Antibody
Orders: 877-616-CELL (2355) [email protected] Support: 877-678-TECH (8324) [email protected] Web: cellsignal.com
For Research Use Only. Not for Use in Diagnostic Procedures.

Revision 7

Cell Signaling Technology Logo
Flow cytometric analysis of fixed and permeabilized HT-29 cells using ASCT2 (D7C12) Rabbit mAb (blue) compared to concentration matched Rabbit (DA1E) mAb IgG XP® Isotype Control #3900 (red).
Flow Cytometry Image 1: ASCT2 (D7C12) Rabbit Monoclonal Antibody
Orders: 877-616-CELL (2355) [email protected] Support: 877-678-TECH (8324) [email protected] Web: cellsignal.com
For Research Use Only. Not for Use in Diagnostic Procedures.