Revision 7

#92479

Store at -20C

CST Logo
Orders:

877-616-CELL (2355)

[email protected]

Support:

877-678-TECH (8324)

3 Trask Lane | Danvers | Massachusetts | 01923 | USA

For Research Use Only. Not for Use in Diagnostic Procedures.

Applications:
W, IP, IHC-Bond, IHC-P, FC-FP

Reactivity:
H M R

Sensitivity:
Endogenous

MW (kDa):
64

Source/Isotype:
Rabbit IgG

UniProt ID:
#P08243

Entrez-Gene Id:
440

Product Usage Information

Application Dilution
Western Blotting 1:1000
Immunoprecipitation 1:50
IHC Leica Bond 1:250 - 1:1000
Immunohistochemistry (Paraffin) 1:250 - 1:1000
Flow Cytometry (Fixed/Permeabilized) 1:50 - 1:200

Storage

Supplied in 10 mM sodium HEPES (pH 7.5), 150 mM NaCl, 100 µg/ml BSA, 50% glycerol and less than 0.02% sodium azide. Store at –20°C. Do not aliquot the antibody.

For a carrier free (BSA and azide free) version of this product see product #81128.

Specificity/Sensitivity

Asparagine Synthetase (E6C2C) Rabbit Monoclonal Antibody recognizes endogenous levels of total asparagine synthetase protein.

Source / Purification

Monoclonal antibody is produced by immunizing animals with a synthetic peptide corresponding to residues surrounding Lys467 of human asparagine synthetase protein.

Background

Asparagine synthetase (ASNS) catalyzes the synthesis of asparagine from aspartate and glutamine. Research studies have shown that intracellular asparagine can suppress apoptosis in a large number of human tumors. In addition, ASNS expression levels have been associated with the progression of gliomas and neuroblastomas in patients (1). Furthermore, acute lymphocytic leukemia cells frequently depend upon serum asparagine for their viability, as they lack ASNS (2). Deprivation of asparagine by L-asparaginase has therefore been developed as a therapeutic treatment for acute lymphocytic leukemia (2,3). In subsets of gastric and hepatic cancers, ASNS promoter hypermethylation correlates with low ASNS expression, sensitizing these cancers to the asparaginase treatment (4).

Species Reactivity

Species reactivity is determined by testing in at least one approved application (e.g., western blot).

Western Blot Buffer

IMPORTANT: For western blots, incubate membrane with diluted primary antibody in 5% w/v nonfat dry milk, 1X TBS, 0.1% Tween® 20 at 4°C with gentle shaking, overnight.

Applications Key

W: Western Blotting IP: Immunoprecipitation IHC-Bond: IHC Leica Bond IHC-P: Immunohistochemistry (Paraffin) FC-FP: Flow Cytometry (Fixed/Permeabilized)

Cross-Reactivity Key

H: Human M: Mouse R: Rat

Trademarks and Patents

Cell Signaling Technology is a trademark of Cell Signaling Technology, Inc.

Alexa Fluor is a registered trademark of Life Technologies Corporation.

All other trademarks are the property of their respective owners. Visit cellsignal.com/trademarks for more information.

Limited Uses

Except as otherwise expressly agreed in a writing signed by a legally authorized representative of CST, the following terms apply to Products provided by CST, its affiliates or its distributors. Any Customer's terms and conditions that are in addition to, or different from, those contained herein, unless separately accepted in writing by a legally authorized representative of CST, are rejected and are of no force or effect.

Products are labeled with For Research Use Only or a similar labeling statement and have not been approved, cleared, or licensed by the FDA or other regulatory foreign or domestic entity, for any purpose. Customer shall not use any Product for any diagnostic or therapeutic purpose, or otherwise in any manner that conflicts with its labeling statement. Products sold or licensed by CST are provided for Customer as the end-user and solely for research and development uses. Any use of Product for diagnostic, prophylactic or therapeutic purposes, or any purchase of Product for resale (alone or as a component) or other commercial purpose, requires a separate license from CST. Customer shall (a) not sell, license, loan, donate or otherwise transfer or make available any Product to any third party, whether alone or in combination with other materials, or use the Products to manufacture any commercial products, (b) not copy, modify, reverse engineer, decompile, disassemble or otherwise attempt to discover the underlying structure or technology of the Products, or use the Products for the purpose of developing any products or services that would compete with CST products or services, (c) not alter or remove from the Products any trademarks, trade names, logos, patent or copyright notices or markings, (d) use the Products solely in accordance with CST Product Terms of Sale and any applicable documentation, and (e) comply with any license, terms of service or similar agreement with respect to any third party products or services used by Customer in connection with the Products.

Orders: 877-616-CELL (2355) [email protected] Support: 877-678-TECH (8324) [email protected] Web: cellsignal.com
For Research Use Only. Not for Use in Diagnostic Procedures.

Revision 7

Cell Signaling Technology Logo
Western blot analysis of extracts from K-562 and Loucy cells using Asparagine Synthetase (E6C2C) XP® Rabbit mAb (upper) and GAPDH (D16H11) XP® Rabbit mAb #5174 (lower). The absence of detectable asparagine synthetase in Loucy cells is consistent with published data (5), confirming the specificity of the antibody for asparagine synthetase.
Western Blotting Image 1: Asparagine Synthetase (E6C2C) Rabbit Monoclonal Antibody
Western blot analysis of extracts from HCT 116, TALL-1, and JHH-5 cells using Asparagine Synthetase (E6C2C) XP® Rabbit mAb (upper) and GAPDH (D16H11) XP® Rabbit mAb #5174 (lower). The absence of detectable asparagine synthetase in TALL-1 and JHH-5 cells is consistent with published data (5) and publicly available RNAseq data, respectively, confirming the specificity of the antibody for asparagine synthetase.
Western Blotting Image 2: Asparagine Synthetase (E6C2C) Rabbit Monoclonal Antibody
Immunoprecipitation of asparagine synthetase protein from OVCAR-4 cell extracts. Lane 1 is 10% input, lane 2 is Rabbit (DA1E) mAb IgG XP® Isotype Control #3900, and lane 3 is Asparagine Synthetase (E6C2C) XP® Rabbit mAb. Western blot analysis was performed using Asparagine Synthetase (E6C2C) XP® Rabbit mAb. Mouse Anti-Rabbit IgG (Light-Chain Specific) (D4W3E) mAb (HRP Conjugate) #93702 was used as the secondary antibody.
Immunoprecipitation Image 1: Asparagine Synthetase (E6C2C) Rabbit Monoclonal Antibody
Orders: 877-616-CELL (2355) [email protected] Support: 877-678-TECH (8324) [email protected] Web: cellsignal.com
For Research Use Only. Not for Use in Diagnostic Procedures.

Revision 7

Cell Signaling Technology Logo
Immunohistochemical analysis of paraffin-embedded human oropharyngeal squamous cell carcinoma using Asparagine Synthetase (E6C2C) XP® Rabbit mAb performed on the Leica BOND RX.

Immunohistochemistry Image 1: Asparagine Synthetase (E6C2C) Rabbit Monoclonal Antibody
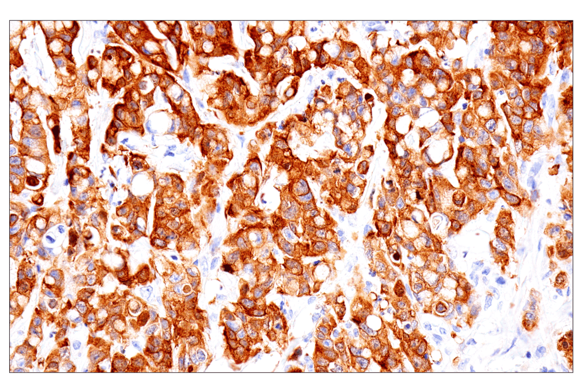
Immunohistochemical analysis of paraffin-embedded human colon adenocarcinoma using Asparagine Synthetase (E6C2C) XP® Rabbit mAb performed on the Leica BOND RX.

Immunohistochemistry Image 2: Asparagine Synthetase (E6C2C) Rabbit Monoclonal Antibody
Immunohistochemical analysis of paraffin-embedded human squamous cell lung carcinoma using Asparagine Synthetase (E6C2C) XP® Rabbit mAb performed on the Leica BOND RX.
Immunohistochemistry Image 3: Asparagine Synthetase (E6C2C) Rabbit Monoclonal Antibody
Orders: 877-616-CELL (2355) [email protected] Support: 877-678-TECH (8324) [email protected] Web: cellsignal.com
For Research Use Only. Not for Use in Diagnostic Procedures.

Revision 7

Cell Signaling Technology Logo
Immunohistochemical analysis of paraffin-embedded human non-small cell lung carcinoma using Asparagine Synthetase (E6C2C) XP® Rabbit mAb.
Immunohistochemistry Image 1: Asparagine Synthetase (E6C2C) Rabbit Monoclonal Antibody
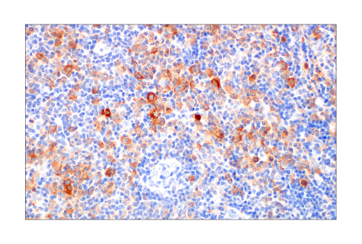
Immunohistochemical analysis of paraffin-embedded human B-cell non-Hodgkin lymphoma using Asparagine Synthetase (E6C2C) XP® Rabbit mAb.
Immunohistochemistry Image 2: Asparagine Synthetase (E6C2C) Rabbit Monoclonal Antibody
Immunohistochemical analysis of paraffin-embedded human colon adenocarcinoma using Asparagine Synthetase (E6C2C) XP® Rabbit mAb.
Immunohistochemistry Image 3: Asparagine Synthetase (E6C2C) Rabbit Monoclonal Antibody
Orders: 877-616-CELL (2355) [email protected] Support: 877-678-TECH (8324) [email protected] Web: cellsignal.com
For Research Use Only. Not for Use in Diagnostic Procedures.

Revision 7

Cell Signaling Technology Logo
Immunohistochemical analysis of paraffin-embedded JHH-5 xenograft using Asparagine Synthetase (E6C2C) XP® Rabbit mAb. Note the presence of signal in the mouse immune cells and lack of signal in the ASNS negative JHH-5 cells.
Immunohistochemistry Image 4: Asparagine Synthetase (E6C2C) Rabbit Monoclonal Antibody
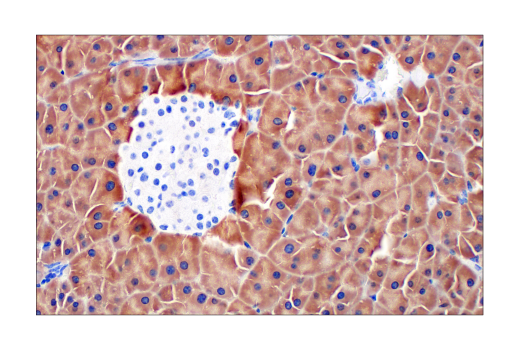
Immunohistochemical analysis of paraffin-embedded mouse pancreas using Asparagine Synthetase (E6C2C) XP® Rabbit mAb.
Immunohistochemistry Image 5: Asparagine Synthetase (E6C2C) Rabbit Monoclonal Antibody
Immunohistochemical analysis of paraffin-embedded mouse spleen using Asparagine Synthetase (E6C2C) XP® Rabbit mAb.
Immunohistochemistry Image 6: Asparagine Synthetase (E6C2C) Rabbit Monoclonal Antibody
Orders: 877-616-CELL (2355) [email protected] Support: 877-678-TECH (8324) [email protected] Web: cellsignal.com
For Research Use Only. Not for Use in Diagnostic Procedures.

Revision 7

Cell Signaling Technology Logo
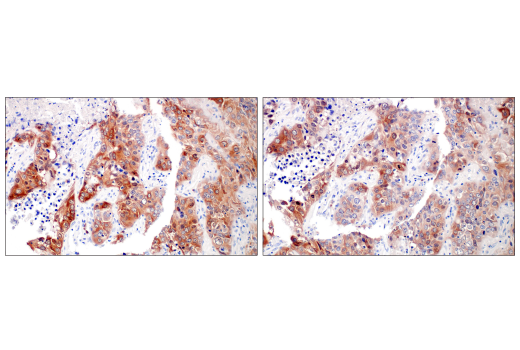
Immunohistochemical analysis of paraffin-embedded human non-small cell lung carcinoma using Asparagine Synthetase (E6C2C) XP® Rabbit mAb (left) or Asparagine Synthetase Rabbit mAb (right). These two antibodies detect independent, unique epitopes on human asparagine synthetase. The similar staining patterns obtained with both antibodies help to confirm the specificity of the staining.
Immunohistochemistry Image 7: Asparagine Synthetase (E6C2C) Rabbit Monoclonal Antibody
Immunohistochemical analysis of paraffin-embedded human pancreas using Asparagine Synthetase (E6C2C) XP® Rabbit mAb (left) compared to concentration-matched Rabbit (DA1E) mAb IgG XP® Isotype Control #3900 (right).
Immunohistochemistry Image 8: Asparagine Synthetase (E6C2C) Rabbit Monoclonal Antibody
Immunohistochemical analysis of paraffin-embedded HCT 116 cell pellet (left, positive) or TALL-1 cell pellet (right, negative) using Asparagine Synthetase (E6C2C) XP® Rabbit mAb.
Immunohistochemistry Image 9: Asparagine Synthetase (E6C2C) Rabbit Monoclonal Antibody
Orders: 877-616-CELL (2355) [email protected] Support: 877-678-TECH (8324) [email protected] Web: cellsignal.com
For Research Use Only. Not for Use in Diagnostic Procedures.

Revision 7

Cell Signaling Technology Logo
Flow cytometric analysis of Loucy cells (blue) and K-562 cells (green) using Asparagine Synthetase (E6C2C) XP® Rabbit mAb (solid lines) or a concentration-matched Rabbit (DA1E) mAb IgG XP® Isotype Control #3900 (dashed lines). Anti-rabbit IgG (H+L), F(ab')2 Fragment (Alexa Fluor® 488 Conjugate) #4412 was used as a secondary antibody.
Flow Cytometry Image 1: Asparagine Synthetase (E6C2C) Rabbit Monoclonal Antibody
Orders: 877-616-CELL (2355) [email protected] Support: 877-678-TECH (8324) [email protected] Web: cellsignal.com
For Research Use Only. Not for Use in Diagnostic Procedures.