Revision 6

#70720

Store at -20C

CST Logo
Orders:

877-616-CELL (2355)

[email protected]

Support:

877-678-TECH (8324)

3 Trask Lane | Danvers | Massachusetts | 01923 | USA

For Research Use Only. Not for Use in Diagnostic Procedures.

Applications:
W, IP, IHC-P, IF-IC, FC-FP

Reactivity:
H M R

Sensitivity:
Endogenous

MW (kDa):
47

Source/Isotype:
Rabbit IgG

UniProt ID:
#P00966

Entrez-Gene Id:
445

Product Usage Information

Application Dilution
Western Blotting 1:1000
Immunoprecipitation 1:100
Immunohistochemistry (Paraffin) 1:250
Immunofluorescence (Immunocytochemistry) 1:1600
Flow Cytometry (Fixed/Permeabilized) 1:50 - 1:200

Storage

Supplied in 10 mM sodium HEPES (pH 7.5), 150 mM NaCl, 100 µg/ml BSA, 50% glycerol and less than 0.02% sodium azide. Store at –20°C. Do not aliquot the antibody.

For a carrier free (BSA and azide free) version of this product see product #54846.

Specificity/Sensitivity

ASS1 (D4O4B) Rabbit Monoclonal Antibody recognizes endogenous levels of total ASS1 protein.

Source / Purification

Monoclonal antibody is produced by immunizing animals with a synthetic peptide corresponding to residues surrounding Glu401 of human ASS1 protein.

Background

Argininosuccinate synthetase (ASS1) catalyzes the formation of argininosuccinate from citrulline and aspartate, the rate-limiting step in the urea cycle that is responsible for the synthesis of arginine and the clearance of nitrogenous waste (1). ASS1 is ubiquitously and differentially expressed in different cell types and tissues. Mutations in ASS1 are associated with citrullinemia type I, an autosomal recessive disease characterized primarily by elevated serum and urine citrulline levels in human patients (2, 3).

Loss of ASS1 expression is one of the common metabolic alterations observed in many cancers, and it is a prognostic biomarker of reduced metastasis-free survival. ASS1 deficiency leads to the dependence of extracellular arginine for survival, proliferation, and cell growth. Ariginine starvation induces autophagy and apoptosis in ASS1 deficient cells and this has been exploited as a therapeutic intervention for the tumors with loss of ASS1 expression (4, 5). Pegylated arginine deiminase (ADI-PEG20), an enzyme that degrades arginine into citrulline, causes significant growth inhibition in tumors that have lost ASS1 expression, such as hepatocellular carcinoma, breast cancer, and sarcoma (6-8).

Species Reactivity

Species reactivity is determined by testing in at least one approved application (e.g., western blot).

Western Blot Buffer

IMPORTANT: For western blots, incubate membrane with diluted primary antibody in 5% w/v BSA, 1X TBS, 0.1% Tween® 20 at 4°C with gentle shaking, overnight.

Applications Key

W: Western Blotting IP: Immunoprecipitation IHC-P: Immunohistochemistry (Paraffin) IF-IC: Immunofluorescence (Immunocytochemistry) FC-FP: Flow Cytometry (Fixed/Permeabilized)

Cross-Reactivity Key

H: Human M: Mouse R: Rat

Trademarks and Patents

Cell Signaling Technology is a trademark of Cell Signaling Technology, Inc.

SignalStain is a registered trademark of Cell Signaling Technology, Inc.

All other trademarks are the property of their respective owners. Visit cellsignal.com/trademarks for more information.

Limited Uses

Except as otherwise expressly agreed in a writing signed by a legally authorized representative of CST, the following terms apply to Products provided by CST, its affiliates or its distributors. Any Customer's terms and conditions that are in addition to, or different from, those contained herein, unless separately accepted in writing by a legally authorized representative of CST, are rejected and are of no force or effect.

Products are labeled with For Research Use Only or a similar labeling statement and have not been approved, cleared, or licensed by the FDA or other regulatory foreign or domestic entity, for any purpose. Customer shall not use any Product for any diagnostic or therapeutic purpose, or otherwise in any manner that conflicts with its labeling statement. Products sold or licensed by CST are provided for Customer as the end-user and solely for research and development uses. Any use of Product for diagnostic, prophylactic or therapeutic purposes, or any purchase of Product for resale (alone or as a component) or other commercial purpose, requires a separate license from CST. Customer shall (a) not sell, license, loan, donate or otherwise transfer or make available any Product to any third party, whether alone or in combination with other materials, or use the Products to manufacture any commercial products, (b) not copy, modify, reverse engineer, decompile, disassemble or otherwise attempt to discover the underlying structure or technology of the Products, or use the Products for the purpose of developing any products or services that would compete with CST products or services, (c) not alter or remove from the Products any trademarks, trade names, logos, patent or copyright notices or markings, (d) use the Products solely in accordance with CST Product Terms of Sale and any applicable documentation, and (e) comply with any license, terms of service or similar agreement with respect to any third party products or services used by Customer in connection with the Products.

Orders: 877-616-CELL (2355) [email protected] Support: 877-678-TECH (8324) [email protected] Web: cellsignal.com
For Research Use Only. Not for Use in Diagnostic Procedures.

Revision 6

Cell Signaling Technology Logo
Western blot analysis of extracts from various cell lines using ASS1 (D4O4B) XP® Rabbit mAb (upper) or β-Actin (D6A8) Rabbit mAb #8457 (lower).
Western Blotting Image 1: ASS1 (D4O4B) Rabbit Monoclonal Antibody
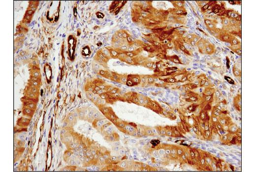
Immunohistochemical analysis of paraffin-embedded human colon carcinoma using ASS1 (D4O4B) XP® Rabbit mAb.
Immunohistochemistry Image 1: ASS1 (D4O4B) Rabbit Monoclonal Antibody
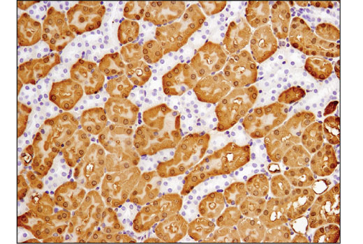
Immunohistochemical analysis of paraffin-embedded mouse kidney using ASS1 (D4O4B) XP® Rabbit mAb.
Immunohistochemistry Image 2: ASS1 (D4O4B) Rabbit Monoclonal Antibody
Orders: 877-616-CELL (2355) [email protected] Support: 877-678-TECH (8324) [email protected] Web: cellsignal.com
For Research Use Only. Not for Use in Diagnostic Procedures.

Revision 6

Cell Signaling Technology Logo
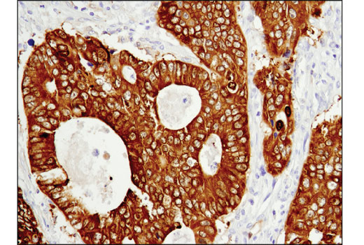
Immunohistochemical analysis of paraffin-embedded human ovarian carcinoma using ASS1 (D4O4B) XP® Rabbit mAb.
Immunohistochemistry Image 3: ASS1 (D4O4B) Rabbit Monoclonal Antibody
Immunohistochemical analysis of paraffin-embedded HSG cell pellet (left, high-expressing) or HT-1080 cell pellet (right, low-expressing) using ASS1 (D4O4B) XP® Rabbit mAb.
Immunohistochemistry Image 4: ASS1 (D4O4B) Rabbit Monoclonal Antibody
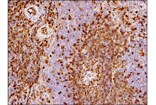
Immunohistochemical analysis of paraffin-embedded mouse spleen using ASS1 (D4O4B) XP® Rabbit mAb.
Immunohistochemistry Image 5: ASS1 (D4O4B) Rabbit Monoclonal Antibody
Orders: 877-616-CELL (2355) [email protected] Support: 877-678-TECH (8324) [email protected] Web: cellsignal.com
For Research Use Only. Not for Use in Diagnostic Procedures.

Revision 6

Cell Signaling Technology Logo
Confocal immunofluorescent analysis of DLD-1 cells (left, high-expressing) and HT-1080 cells (right, low-expressing) using ASS1 (D4O4B) XP® Rabbit mAb (green). Blue pseudocolor = DRAQ5® #4084 (fluorescent DNA dye).
Immunofluorescence Image 1: ASS1 (D4O4B) Rabbit Monoclonal Antibody
Flow cytometric analysis of SU-DHL-4 cells (blue, negative) and Jurkat cells (green, positive) using ASS1 (D4O4B) XP® Rabbit mAb (solid lines) or concentration-matched Rabbit (DA1E) mAb IgG XP® Isotype Control #3900 (dashed lines). Anti-rabbit IgG (H+L), F(ab')2 Fragment (Alexa Fluor® 488 Conjugate) #4412 was used as a secondary antibody.
Flow Cytometry Image 1: ASS1 (D4O4B) Rabbit Monoclonal Antibody
Orders: 877-616-CELL (2355) [email protected] Support: 877-678-TECH (8324) [email protected] Web: cellsignal.com
For Research Use Only. Not for Use in Diagnostic Procedures.