Revision 1

#94962

Store at -20C

CST Logo
Orders:

877-616-CELL (2355)

[email protected]

Support:

877-678-TECH (8324)

3 Trask Lane | Danvers | Massachusetts | 01923 | USA

For Research Use Only. Not for Use in Diagnostic Procedures.

Applications:
W, IP, IHC-P

Reactivity:
H M R Mk

Sensitivity:
Endogenous

MW (kDa):
155

Source/Isotype:
Rabbit IgG

UniProt ID:
#Q92922

Entrez-Gene Id:
6599

Product Usage Information

Application Dilution
Western Blotting 1:1000
Immunoprecipitation 1:50
Immunohistochemistry (Paraffin) 1:800

Storage

Supplied in 10 mM sodium HEPES (pH 7.5), 150 mM NaCl, 100 µg/ml BSA, 50% glycerol and less than 0.02% sodium azide. Store at –20°C. Do not aliquot the antibody.

Specificity/Sensitivity

Asymmetric Dimethyl-SMARCC1/BAF155 (Arg1064) (D8I3U) Rabbit Monoclonal Antibody recognizes endogenous levels of SMARCC1/BAF155 protein when asymmetrically dimethylated at Arg1064. This antibody does not cross-react with SMARCC1/BAF155 that is symmetrically dimethylated at Arg1064, but does show some cross-reactivity with monomethyl Arg1064.

Source / Purification

Monoclonal antibody is produced by immunizing animals with a synthetic asymmetric dimethylpeptide corresponding to residues surrounding Arg1064 of human SMARCC1/BAF155 protein.

Background

ATP-dependent chromatin remodeling complexes play an essential role in the regulation of nuclear processes such as transcription and DNA replication and repair (1,2). The SWI/SNF chromatin remodeling complex consists of more than 10 subunits and contains a single molecule of either BRM or BRG1 as the ATPase catalytic subunit. The activity of the ATPase subunit disrupts histone-DNA contacts and changes the accessibility of crucial regulatory elements to the chromatin. The additional core and accessory subunits play a scaffolding role to maintain stability and provide surfaces for interaction with various transcription factors and chromatin (2-5). The interactions between SWI/SNF subunits and transcription factors, such as nuclear receptors, p53, Rb, BRCA1, and MyoD, facilitate recruitment of the complex to target genes for regulation of gene activation, cell growth, cell cycle, and differentiation processes (1,6-9).
Asymmetric dimethyation of SMARCC1/BAF155 by CARM1 was found to be associated with genes upregulated by c-Myc and breast cancer progression. Furthermore, asymmetric dimethylated SMARCC1/BAF155 was found to be associated with chromatin independent of SWI/SNF ATPases Brg1 and BRM, suggesting a subcomplex capable of affecting chromatin state (10). Indeed, unmethylated SMARCC1/BAF155 seems to play a role in development as it more closely associates with Brg1 during development, which reduces pluripotency (11).

Species Reactivity

Species reactivity is determined by testing in at least one approved application (e.g., western blot).

Western Blot Buffer

IMPORTANT: For western blots, incubate membrane with diluted primary antibody in 5% w/v BSA, 1X TBS, 0.1% Tween® 20 at 4°C with gentle shaking, overnight.

Applications Key

W: Western Blotting IP: Immunoprecipitation IHC-P: Immunohistochemistry (Paraffin)

Cross-Reactivity Key

H: Human M: Mouse R: Rat Mk: Monkey

Trademarks and Patents

Cell Signaling Technology is a trademark of Cell Signaling Technology, Inc.

SignalStain is a registered trademark of Cell Signaling Technology, Inc.

All other trademarks are the property of their respective owners. Visit cellsignal.com/trademarks for more information.

Limited Uses

Except as otherwise expressly agreed in a writing signed by a legally authorized representative of CST, the following terms apply to Products provided by CST, its affiliates or its distributors. Any Customer's terms and conditions that are in addition to, or different from, those contained herein, unless separately accepted in writing by a legally authorized representative of CST, are rejected and are of no force or effect.

Products are labeled with For Research Use Only or a similar labeling statement and have not been approved, cleared, or licensed by the FDA or other regulatory foreign or domestic entity, for any purpose. Customer shall not use any Product for any diagnostic or therapeutic purpose, or otherwise in any manner that conflicts with its labeling statement. Products sold or licensed by CST are provided for Customer as the end-user and solely for research and development uses. Any use of Product for diagnostic, prophylactic or therapeutic purposes, or any purchase of Product for resale (alone or as a component) or other commercial purpose, requires a separate license from CST. Customer shall (a) not sell, license, loan, donate or otherwise transfer or make available any Product to any third party, whether alone or in combination with other materials, or use the Products to manufacture any commercial products, (b) not copy, modify, reverse engineer, decompile, disassemble or otherwise attempt to discover the underlying structure or technology of the Products, or use the Products for the purpose of developing any products or services that would compete with CST products or services, (c) not alter or remove from the Products any trademarks, trade names, logos, patent or copyright notices or markings, (d) use the Products solely in accordance with CST Product Terms of Sale and any applicable documentation, and (e) comply with any license, terms of service or similar agreement with respect to any third party products or services used by Customer in connection with the Products.

Orders: 877-616-CELL (2355) [email protected] Support: 877-678-TECH (8324) [email protected] Web: cellsignal.com
For Research Use Only. Not for Use in Diagnostic Procedures.

Revision 1

Cell Signaling Technology Logo
Western blot analysis of extracts from various cell lines using Asymmetric Dimethyl-SMARCC1/BAF155 (D8I3U) Rabbit mAb (upper) or α-Actinin (D6F6) XP® Rabbit mAb #6487 (lower).
Western Blotting Image 1: Asymmetric Dimethyl-SMARCC1/BAF155 (Arg1064) (D8I3U) Rabbit Monoclonal Antibody
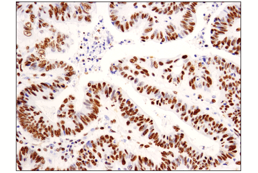
Immunohistochemical analysis of paraffin-embedded human colon carcinoma using Asymmetric Dimethyl-SMARCC1/BAF155 (Arg1064) (D8I3U) Rabbit mAb.
Immunohistochemistry Image 1: Asymmetric Dimethyl-SMARCC1/BAF155 (Arg1064) (D8I3U) Rabbit Monoclonal Antibody
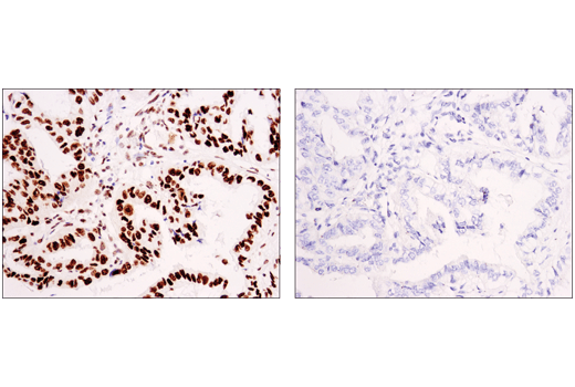
Immunohistochemical analysis of paraffin-embedded human non-small cell lung carcinoma using Asymmetric Dimethyl-SMARCC1/BAF155 (Arg1064) (D8I3U) Rabbit mAb in the presence of non-methyl peptide (left) or asymmetric dimethyl-Arg1064 peptide (right).
Immunohistochemistry Image 2: Asymmetric Dimethyl-SMARCC1/BAF155 (Arg1064) (D8I3U) Rabbit Monoclonal Antibody
Orders: 877-616-CELL (2355) [email protected] Support: 877-678-TECH (8324) [email protected] Web: cellsignal.com
For Research Use Only. Not for Use in Diagnostic Procedures.

Revision 1

Cell Signaling Technology Logo
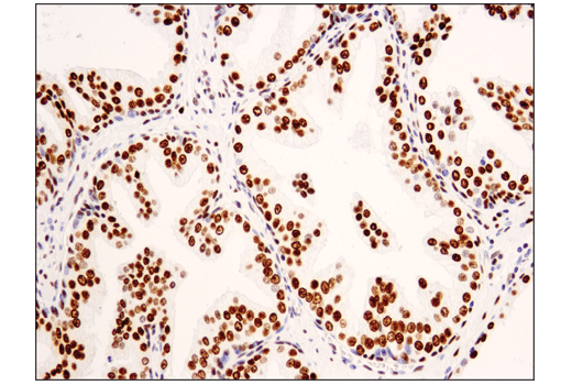
Immunohistochemical analysis of paraffin-embedded human prostate carcinoma using Asymmetric Dimethyl-SMARCC1/BAF155 (Arg1064) (D8I3U) Rabbit mAb.
Immunohistochemistry Image 3: Asymmetric Dimethyl-SMARCC1/BAF155 (Arg1064) (D8I3U) Rabbit Monoclonal Antibody
Immunohistochemical analysis of paraffin-embedded MEF WT cell pellet (left, positive) or MEF CARM1 -/- cell pellet (right, negative) using Asymmetric Dimethyl-SMARCC1/BAF155 (Arg1064) (D8I3U) Rabbit mAb.
Immunohistochemistry Image 4: Asymmetric Dimethyl-SMARCC1/BAF155 (Arg1064) (D8I3U) Rabbit Monoclonal Antibody
Orders: 877-616-CELL (2355) [email protected] Support: 877-678-TECH (8324) [email protected] Web: cellsignal.com
For Research Use Only. Not for Use in Diagnostic Procedures.