Revision 4

#3505

Store at -20C

CST Logo
Orders:

877-616-CELL (2355)

[email protected]

Support:

877-678-TECH (8324)

3 Trask Lane | Danvers | Massachusetts | 01923 | USA

For Research Use Only. Not for Use in Diagnostic Procedures.

Applications:
W, IP, IHC-P, IF-IC, eCLIP

Reactivity:
H M R Mk

Sensitivity:
Endogenous

MW (kDa):
71

Source/Isotype:
Rabbit IgG

UniProt ID:
#P11940

Entrez-Gene Id:
26986

Product Usage Information

Application Dilution
Western Blotting 1:1000
Immunoprecipitation 1:25
Immunohistochemistry (Paraffin) 1:1000
Immunofluorescence (Immunocytochemistry) 1:400
eCLIP 1:200
For more information about the RBP-eCLIP service please visit Eclipsebio.

Storage

Supplied in 10 mM sodium HEPES (pH 7.5), 150 mM NaCl, 100 µg/ml BSA, 50% glycerol and less than 0.02% sodium azide. Store at –20°C. Do not aliquot the antibody.

For a carrier free (BSA and azide free) version of this product see product #19351.

Specificity/Sensitivity

Asymmetric-Methyl-PABP1 (Arg455/Arg460) (C60A10) Rabbit Monoclonal Antibody detects endogenous levels of PABP1 only when methylated on Arg455 or Arg460.

Species predicted to react based on 100% sequence homology

Chicken, Horse

Source / Purification

Monoclonal antibody is produced by immunizing animals with a synthetic peptide corresponding to the sequence of human PABP1 in which Arg455 and Arg460 are methylated.

Background

Poly(A)-binding protein 1 (PABP1) associates with the 3' poly(A) tail of mRNA and also eIF4F (1,2). eIF4F is a complex whose functions include the recognition of the mRNA 5' cap structure (eIF4E), delivery of an RNA helicase to the 5' region (eIF4A), bridging of the mRNA and the ribosome (eIF4G), and circularization of the mRNA via interaction between eIF4G and the poly(A) binding protein (PABP). PABP1 has been shown to have multiple functions, including translation initiation, mRNA stabilization, and mRNA turnover (3,4). Phosphorylation of PABP has been shown to enhance RNA binding in eukaryotes, and PABP1 has been shown to shuttle between the nucleus and cytoplasm (5,6). PABP1 is methylated on Arg455 and Arg460 by the CARM1 protein methyltransferase (7,8); however, the function of this methylation has yet to be determined.

Species Reactivity

Species reactivity is determined by testing in at least one approved application (e.g., western blot).

Western Blot Buffer

IMPORTANT: For western blots, incubate membrane with diluted primary antibody in 5% w/v BSA, 1X TBS, 0.1% Tween® 20 at 4°C with gentle shaking, overnight.

Applications Key

W: Western Blotting IP: Immunoprecipitation IHC-P: Immunohistochemistry (Paraffin) IF-IC: Immunofluorescence (Immunocytochemistry) eCLIP: eCLIP

Cross-Reactivity Key

H: Human M: Mouse R: Rat Mk: Monkey

Trademarks and Patents

Cell Signaling Technology is a trademark of Cell Signaling Technology, Inc.

U.S. Patent No. 7,429,487, foreign equivalents, and child patents deriving therefrom.

All other trademarks are the property of their respective owners. Visit cellsignal.com/trademarks for more information.

Limited Uses

Except as otherwise expressly agreed in a writing signed by a legally authorized representative of CST, the following terms apply to Products provided by CST, its affiliates or its distributors. Any Customer's terms and conditions that are in addition to, or different from, those contained herein, unless separately accepted in writing by a legally authorized representative of CST, are rejected and are of no force or effect.

Products are labeled with For Research Use Only or a similar labeling statement and have not been approved, cleared, or licensed by the FDA or other regulatory foreign or domestic entity, for any purpose. Customer shall not use any Product for any diagnostic or therapeutic purpose, or otherwise in any manner that conflicts with its labeling statement. Products sold or licensed by CST are provided for Customer as the end-user and solely for research and development uses. Any use of Product for diagnostic, prophylactic or therapeutic purposes, or any purchase of Product for resale (alone or as a component) or other commercial purpose, requires a separate license from CST. Customer shall (a) not sell, license, loan, donate or otherwise transfer or make available any Product to any third party, whether alone or in combination with other materials, or use the Products to manufacture any commercial products, (b) not copy, modify, reverse engineer, decompile, disassemble or otherwise attempt to discover the underlying structure or technology of the Products, or use the Products for the purpose of developing any products or services that would compete with CST products or services, (c) not alter or remove from the Products any trademarks, trade names, logos, patent or copyright notices or markings, (d) use the Products solely in accordance with CST Product Terms of Sale and any applicable documentation, and (e) comply with any license, terms of service or similar agreement with respect to any third party products or services used by Customer in connection with the Products.

Orders: 877-616-CELL (2355) [email protected] Support: 877-678-TECH (8324) [email protected] Web: cellsignal.com
For Research Use Only. Not for Use in Diagnostic Procedures.

Revision 4

Cell Signaling Technology Logo
Western blot analysis of extracts from various cell lines using Methyl-PABP1 (Arg455/Arg460) (C60A10) Rabbit mAb. As expected, PABP1 methylation is decreased in CARM1 knockout (-/-) mouse embryo fibroblasts (MEFs).
Western Blotting Image 1: Asymmetric-Methyl-PABP1 (Arg455/Arg460) (C60A10) Rabbit Monoclonal Antibody
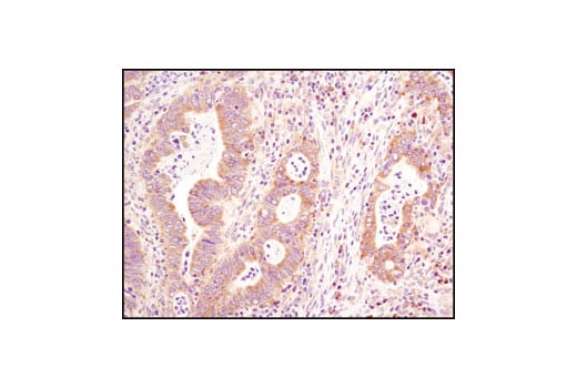
Immunohistochemical analysis of paraffin-embedded human colon carcinoma using Methyl-PABP1 (Arg455/Arg460) (C60A10) Rabbit mAb.
Immunohistochemistry Image 1: Asymmetric-Methyl-PABP1 (Arg455/Arg460) (C60A10) Rabbit Monoclonal Antibody
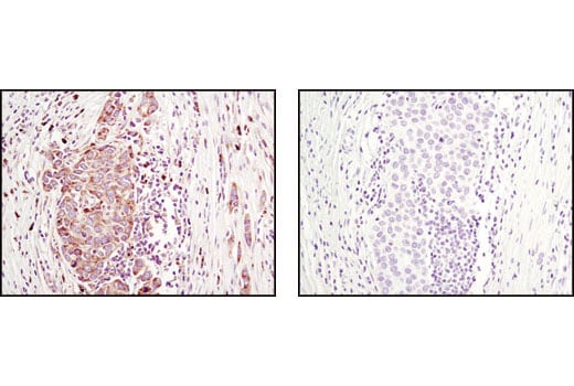
Immunohistochemical analysis of paraffin-embedded human breast carcinoma using Methyl-PABP1 (Arg455/Arg/460) (C60A10) Rabbit mAb in the presence of doubly unmethylated PABP1 control peptide (left) or antigen-specific peptide (right).
Immunohistochemistry Image 2: Asymmetric-Methyl-PABP1 (Arg455/Arg460) (C60A10) Rabbit Monoclonal Antibody
Orders: 877-616-CELL (2355) [email protected] Support: 877-678-TECH (8324) [email protected] Web: cellsignal.com
For Research Use Only. Not for Use in Diagnostic Procedures.

Revision 4

Cell Signaling Technology Logo
Confocal immunofluorescent analysis of HeLa cells using Methyl-PAPBP1 (Arg 455/Arg460) (C60A10) Rabbit mAb (green). Actin filaments have been labled with DY-554 phalloidin (red). Blue Pseduocolor = DRAQ5™ (fluorescent DNA dye).
Immunofluorescence Image 1: Asymmetric-Methyl-PABP1 (Arg455/Arg460) (C60A10) Rabbit Monoclonal Antibody
Enhanced cross-linking and immunoprecipitation (eCLIP) was performed with RNA from K-562 cells and Asymmetric-Methyl-PABP1 (Arg455/Arg460) (C60A10) Rabbit mAb using a protocol based on the RBP-eCLIP method from EclipseBio. The figure shows binding across the GRINA transcript. Data is kindly provided by the laboratory of Dr. Gene Yeo and used with permission.
eCLIP Image 1: Asymmetric-Methyl-PABP1 (Arg455/Arg460) (C60A10) Rabbit Monoclonal Antibody
Orders: 877-616-CELL (2355) [email protected] Support: 877-678-TECH (8324) [email protected] Web: cellsignal.com
For Research Use Only. Not for Use in Diagnostic Procedures.