Revision 4

#2439

Store at -20C

CST Logo
Orders:

877-616-CELL (2355)

[email protected]

Support:

877-678-TECH (8324)

3 Trask Lane | Danvers | Massachusetts | 01923 | USA

For Research Use Only. Not for Use in Diagnostic Procedures.

Applications:
W, IP, IHC-P, IF-IC

Reactivity:
M

Sensitivity:
Endogenous

MW (kDa):
54

Source/Isotype:
Rabbit IgG

UniProt ID:
#Q96AD5

Entrez-Gene Id:
57104

Product Usage Information

Application Dilution
Western Blotting 1:1000
Immunoprecipitation 1:50
Immunohistochemistry (Paraffin) 1:50
Immunofluorescence (Immunocytochemistry) 1:400

Storage

Supplied in 10 mM sodium HEPES (pH 7.5), 150 mM NaCl, 100 µg/ml BSA, 50% glycerol and less than 0.02% sodium azide. Store at –20°C. Do not aliquot the antibody.

For a carrier free (BSA and azide free) version of this product see product #89633.

Specificity/Sensitivity

ATGL (30A4) Rabbit Monoclonal Antibody detects endogenous levels of total ATGL protein.

Source / Purification

Monoclonal antibody is produced by immunizing animals with a synthetic peptide corresponding to residues surrounding Pro469 of mouse ATGL.

Background

Triglycerides form an important energy store in many living organisms. Adipose tissue serves as the primary storage depot for triglycerides in mammals. Lipolytic enzymes mobilize triglycerides during periods of starvation to provide organisms with necessary energy. Hormone-sensitive lipase (HSL), the first identified lipolytic enzyme, hydrolyzes triglycerides in mammalian adipose tissues (1-3). Additional lipolytic enzymes, including adipose triglyceride lipase (ATGL), have also been discovered. The primary function of ATGL is to catalyze the hydrolysis of the first ester bond of lipid molecules. This enzyme may provide diglyceride substrates for HSL hydrolysis. ATGL is abundantly expressed in murine white and brown adipose tissue, and is highly substrate specific (4). ATGL was independently identified as desnutrin (5) and the TG-hydrolace inducible phospholipase-A2-ζ (6).

Species Reactivity

Species reactivity is determined by testing in at least one approved application (e.g., western blot).

Western Blot Buffer

IMPORTANT: For western blots, incubate membrane with diluted primary antibody in 5% w/v BSA, 1X TBS, 0.1% Tween® 20 at 4°C with gentle shaking, overnight.

Applications Key

W: Western Blotting IP: Immunoprecipitation IHC-P: Immunohistochemistry (Paraffin) IF-IC: Immunofluorescence (Immunocytochemistry)

Cross-Reactivity Key

M: Mouse

Trademarks and Patents

Cell Signaling Technology is a trademark of Cell Signaling Technology, Inc.

All other trademarks are the property of their respective owners. Visit cellsignal.com/trademarks for more information.

Limited Uses

Except as otherwise expressly agreed in a writing signed by a legally authorized representative of CST, the following terms apply to Products provided by CST, its affiliates or its distributors. Any Customer's terms and conditions that are in addition to, or different from, those contained herein, unless separately accepted in writing by a legally authorized representative of CST, are rejected and are of no force or effect.

Products are labeled with For Research Use Only or a similar labeling statement and have not been approved, cleared, or licensed by the FDA or other regulatory foreign or domestic entity, for any purpose. Customer shall not use any Product for any diagnostic or therapeutic purpose, or otherwise in any manner that conflicts with its labeling statement. Products sold or licensed by CST are provided for Customer as the end-user and solely for research and development uses. Any use of Product for diagnostic, prophylactic or therapeutic purposes, or any purchase of Product for resale (alone or as a component) or other commercial purpose, requires a separate license from CST. Customer shall (a) not sell, license, loan, donate or otherwise transfer or make available any Product to any third party, whether alone or in combination with other materials, or use the Products to manufacture any commercial products, (b) not copy, modify, reverse engineer, decompile, disassemble or otherwise attempt to discover the underlying structure or technology of the Products, or use the Products for the purpose of developing any products or services that would compete with CST products or services, (c) not alter or remove from the Products any trademarks, trade names, logos, patent or copyright notices or markings, (d) use the Products solely in accordance with CST Product Terms of Sale and any applicable documentation, and (e) comply with any license, terms of service or similar agreement with respect to any third party products or services used by Customer in connection with the Products.

Orders: 877-616-CELL (2355) [email protected] Support: 877-678-TECH (8324) [email protected] Web: cellsignal.com
For Research Use Only. Not for Use in Diagnostic Procedures.

Revision 4

Cell Signaling Technology Logo
Western blot analysis of extracts from NIH/3T3 and differentiated NIH/3T3-L1 cells, using ATGL (30A4) Rabbit mAb.
Western Blotting Image 1: ATGL (30A4) Rabbit Monoclonal Antibody
Immunohistochemical analysis of NIH/3T3-L1 cells undifferentiated (left) or differentiated (right), showing induced staining of adipocytes, using ATGL (30A4) Rabbit mAb.
Immunohistochemistry Image 1: ATGL (30A4) Rabbit Monoclonal Antibody
Immunohistochemical analysis of paraffin-embedded mouse brown fat, using ATGL (30A4) Rabbit mAb.
Immunohistochemistry Image 2: ATGL (30A4) Rabbit Monoclonal Antibody
Orders: 877-616-CELL (2355) [email protected] Support: 877-678-TECH (8324) [email protected] Web: cellsignal.com
For Research Use Only. Not for Use in Diagnostic Procedures.

Revision 4

Cell Signaling Technology Logo
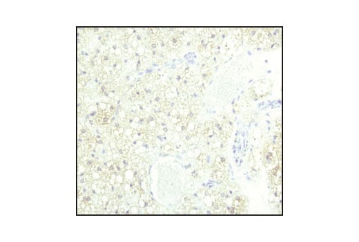
Immunohistochemical analysis of paraffin-embedded mouse lung, showing staining specific to adipocytes, using ATGL (30A4) Rabbit mAb.
Immunohistochemistry Image 3: ATGL (30A4) Rabbit Monoclonal Antibody
Confocal immunofluorescent analysis of 3T3-L1 cells, using ATGL (30A4) Rabbit mAb (red) showing cytoplasmic localization in differentiated cells. Lipid droplets have been labeled with BODIPY 493/503 (green). Blue pseudocolor = DRAQ5™ (fluorescent DNA dye).
Immunofluorescence Image 1: ATGL (30A4) Rabbit Monoclonal Antibody
Orders: 877-616-CELL (2355) [email protected] Support: 877-678-TECH (8324) [email protected] Web: cellsignal.com
For Research Use Only. Not for Use in Diagnostic Procedures.