Revision 1

#47833

Store at -20C

ATM Substrates Antibody Sampler Kit

1 Kit

(8 x 20 microliters)

CST Logo
Orders:

877-616-CELL (2355)

[email protected]

Support:

877-678-TECH (8324)

3 Trask Lane | Danvers | Massachusetts | 01923 | USA

For Research Use Only. Not for Use in Diagnostic Procedures.

Product Includes Product # Quantity Mol. Wt Isotype/Source
Phospho-Chk2 (Thr68) (E8Q1A) Rabbit Monoclonal Antibody8226320 µl62 kDaRabbit IgG
Chk2 (D9C6) Rabbit Monoclonal Antibody633420 µl62 kDaRabbit IgG
Phospho-p53 (Ser15) (E9Y4U) Rabbit Monoclonal Antibody8253020 µl53 kDaRabbit IgG
p53 (7F5) Rabbit Monoclonal Antibody252720 µl53 kDaRabbit IgG
Rad50 (E3I8K) Rabbit Monoclonal Antibody8622520 µl153 kDaRabbit IgG
Phospho-p95/NBS1 (Ser343) Antibody300120 µl95 kDaRabbit
p95/NBS1 (E8M3Q) Rabbit Monoclonal Antibody8123420 µl95 kDaRabbit IgG
Anti-rabbit IgG, HRP-linked Antibody7074100 µlGoat
Phospho-Rad50 (Ser635) (F5H8B) Rabbit Monoclonal Antibody9921520 µl153 kDaRabbit IgG

Please visit cellsignal.com for individual component applications, species cross-reactivity, dilutions, protocols, and additional product information.

Description

The ATM Substrates Antibody Sampler Kit provides an economical means to evaluate the signaling of ATM to downstream substrates. The kit contains enough primary and secondary antibodies to perform two Western blot experiments per primary antibody.

Storage

Supplied in 10 mM sodium HEPES (pH 7.5), 150 mM NaCl, 100 µg/mL BSA, 50% glycerol, and less than 0.02% sodium azide. Store at –20°C. Do not aliquot the antibody.

Background

ATM (ataxia telangiectasia mutated kinase) is a serine/threonine protein kinase best known for its role in DNA repair signaling in response to DNA double-strand breaks (DSBs). When DSBs occur, the MRE11:RAD50:NBS1 (MRN) sensor complex recruits ATM to sites of DNA damage. ATM then signals to numerous effector proteins, leading to cellular responses including regulation of DNA repair, cell cycle progression, apoptosis, senescence, gene transcription. Along with ATR, DNA-PKcs, SMG1 and mTOR, ATM is a member of the PI3K-like protein kinase (PIKK) family. PIKK family members typically function in response to various types of cellular stress. Substrates of ATM are numerous, and include CHK2, AKT, p53, BRCA1 and DNA-PK (reviewed in 1,3). Inactive ATM exists as a homodimer. In response to DSBs, ATM undergoes autophosphorylation in trans at Ser1981, which leads to dissociation of the complex to become an active monomer (2). Functional DNA repair pathways are important in cellular homeostasis, and defects in these pathways cause genomic instability, which can lead to tumorigenesis (3). Inactivation of ATM results in ataxia telangiectasia (AT), a neurodegenerative disease characterized by predisposition to cancer (4).

Trademarks and Patents

Cell Signaling Technology is a trademark of Cell Signaling Technology, Inc.

U.S. Patent No. 5,675,063.

All other trademarks are the property of their respective owners. Visit cellsignal.com/trademarks for more information.

Limited Uses

Except as otherwise expressly agreed in a writing signed by a legally authorized representative of CST, the following terms apply to Products provided by CST, its affiliates or its distributors. Any Customer's terms and conditions that are in addition to, or different from, those contained herein, unless separately accepted in writing by a legally authorized representative of CST, are rejected and are of no force or effect.

Products are labeled with For Research Use Only or a similar labeling statement and have not been approved, cleared, or licensed by the FDA or other regulatory foreign or domestic entity, for any purpose. Customer shall not use any Product for any diagnostic or therapeutic purpose, or otherwise in any manner that conflicts with its labeling statement. Products sold or licensed by CST are provided for Customer as the end-user and solely for research and development uses. Any use of Product for diagnostic, prophylactic or therapeutic purposes, or any purchase of Product for resale (alone or as a component) or other commercial purpose, requires a separate license from CST. Customer shall (a) not sell, license, loan, donate or otherwise transfer or make available any Product to any third party, whether alone or in combination with other materials, or use the Products to manufacture any commercial products, (b) not copy, modify, reverse engineer, decompile, disassemble or otherwise attempt to discover the underlying structure or technology of the Products, or use the Products for the purpose of developing any products or services that would compete with CST products or services, (c) not alter or remove from the Products any trademarks, trade names, logos, patent or copyright notices or markings, (d) use the Products solely in accordance with CST Product Terms of Sale and any applicable documentation, and (e) comply with any license, terms of service or similar agreement with respect to any third party products or services used by Customer in connection with the Products.

Orders: 877-616-CELL (2355) [email protected] Support: 877-678-TECH (8324) [email protected] Web: cellsignal.com
For Research Use Only. Not for Use in Diagnostic Procedures.

Revision 1

Cell Signaling Technology Logo
Western blot analysis of extracts from 293 and COS cells, using p53 (7F5) Rabbit mAb.
undefined Image 1: ATM Substrates Antibody Sampler Kit
Western blot analysis of extracts from 293 cells, untreated or UV-treated (100 mJ/cm2, 1 hr), using Phospho-p95/NBS1 (Ser343) Antibody (upper) or p95/NBS1 (E8M3Q) XP® Rabbit mAb #81234 (lower).
undefined Image 2: ATM Substrates Antibody Sampler Kit
Western blot analysis of extracts from control HeLa cells (lane 1) or HeLa cells with a targeted mutation in the gene encoding Chk2 (lane 2) using Chk2 (D9C6) Rabbit mAb (upper) or β-Actin (D6A8) Rabbit mAb #8457 (lower). The change in Chk2 molecular weight in the mutated HeLa cells confirms the specificity of the antibody for Chk2.
undefined Image 3: ATM Substrates Antibody Sampler Kit
Orders: 877-616-CELL (2355) [email protected] Support: 877-678-TECH (8324) [email protected] Web: cellsignal.com
For Research Use Only. Not for Use in Diagnostic Procedures.

Revision 1

Cell Signaling Technology Logo
After the primary antibody is bound to the target protein, a complex with HRP-linked secondary antibody is formed. The LumiGLO® is added and emits light during enzyme catalyzed decomposition.
undefined Image 4: ATM Substrates Antibody Sampler Kit
Immunohistochemical analysis of paraffin-embedded human esophageal carcinoma using p95/NBS1 (E8M3Q) XP® Rabbit mAb.
undefined Image 5: ATM Substrates Antibody Sampler Kit
Immunoprecipitation of p95/NBS1 protein from 293T cell extracts. Lane 1 is 10% input, lane 2 is Rabbit (DA1E) mAb IgG XP® Isotype Control #3900, and lane 3 is p95/NBS1 (E8M3Q) XP® Rabbit mAb. Western blot analysis was performed using p95/NBS1 (E8M3Q) XP® Rabbit mAb. Anti-rabbit IgG, HRP-linked Antibody #7074 was used as the secondary antibody. 
undefined Image 6: ATM Substrates Antibody Sampler Kit
Orders: 877-616-CELL (2355) [email protected] Support: 877-678-TECH (8324) [email protected] Web: cellsignal.com
For Research Use Only. Not for Use in Diagnostic Procedures.

Revision 1

Cell Signaling Technology Logo
Western blot analysis of extracts from various human cell lines using p95/NBS1 (E8M3Q) XP® Rabbit mAb (upper) or GAPDH (D16H11) XP® Rabbit mAb #5174 (lower). Negative expression of p95/NBS1 protein in GM07166 cells is consistent with the predicted expression pattern.
undefined Image 7: ATM Substrates Antibody Sampler Kit
Western blot analysis of extracts from HCT 116 cells, untreated (-) or treated with neocarzinostatin (0.5 µg/mL, 1 hr; +), using Phospho-Chk2 (Thr68) (E8Q1A) Rabbit mAb (upper), Chk2 (D9C6) XP® Rabbit mAb #6334 (middle), or β-Actin (D6A8) Rabbit mAb #8457 (lower).
undefined Image 8: ATM Substrates Antibody Sampler Kit
Western blot analysis of extracts from A549 cells, mock treated (-) or treated with Doxorubicin #5927 (0.5 μM, 24 hr; +), using Phospho-p53 (Ser15) (E9Y4U) Rabbit mAb (upper), p53 (7F5) Rabbit mAb #2527 (middle), or GAPDH (D16H11) XP® Rabbit mAb #5174 (lower). Prior to blocking, membranes were either untreated (-) or treated with Calf Intestinal Phosphatase (CIP) (250 units/ml, 2 hr; +) at 37ºC.
undefined Image 9: ATM Substrates Antibody Sampler Kit
Orders: 877-616-CELL (2355) [email protected] Support: 877-678-TECH (8324) [email protected] Web: cellsignal.com
For Research Use Only. Not for Use in Diagnostic Procedures.

Revision 1

Cell Signaling Technology Logo
Western blot analysis of extracts from various cell lines using Rad50 (E3I8K) Rabbit mAb (upper) or GAPDH (D16H11) XP® Rabbit mAb #5174 (lower). Low expression of Rad50 protein in LS 180 and SK-MEL-30 cells is consistent with the predicted expression pattern.
undefined Image 10: ATM Substrates Antibody Sampler Kit
Western blot analysis of extracts from 293, ACHN, and C6 cells, untreated (-) or treated with UV (100 mJ, 4 hr, 4 hr, and 2 hr respectively; +), using Phospho-Rad50 (Ser635) (F5H8B) Rabbit mAb (upper), Rad50 Antibody #3427 (middle), or GAPDH (D16H11) XP® Rabbit mAb #5174 (lower). Phosphorylation of Rad50 protein at Ser635 is induced by UV treatment as expected.
undefined Image 11: ATM Substrates Antibody Sampler Kit
Flow cytometric analysis of MCF7 cells treated with neocarzinostatin (0.5 µg/mL, 1 hr), and then treated post-fixation with λ phosphatase (blue) or untreated (green), using Phospho-Rad50 (Ser635) (F5H8B) Rabbit mAb (solid lines) or concentration-matched Rabbit (DA1E) mAb IgG XP® Isotype Control #3900 (dashed lines). Anti-rabbit IgG (H+L), F(ab')2 Fragment (Alexa Fluor® 488 Conjugate) #4412 was used as a secondary antibody.
undefined Image 12: ATM Substrates Antibody Sampler Kit
Orders: 877-616-CELL (2355) [email protected] Support: 877-678-TECH (8324) [email protected] Web: cellsignal.com
For Research Use Only. Not for Use in Diagnostic Procedures.

Revision 1

Cell Signaling Technology Logo
Immunohistochemical analysis of paraffin-embedded human breast carcinoma, using p53 (7F5) Rabbit mAb.
undefined Image 13: ATM Substrates Antibody Sampler Kit
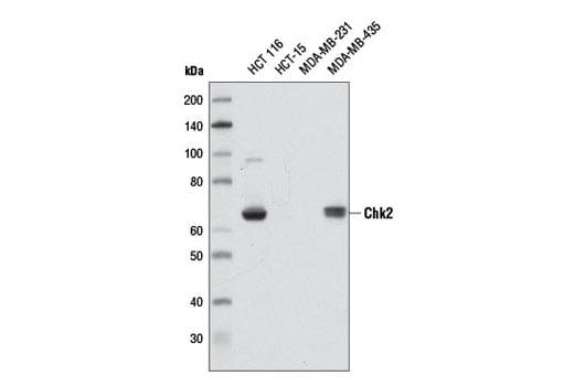
Western blot analysis of extracts from various cell lines using Chk2 (D9C6) Rabbit mAb.
undefined Image 14: ATM Substrates Antibody Sampler Kit
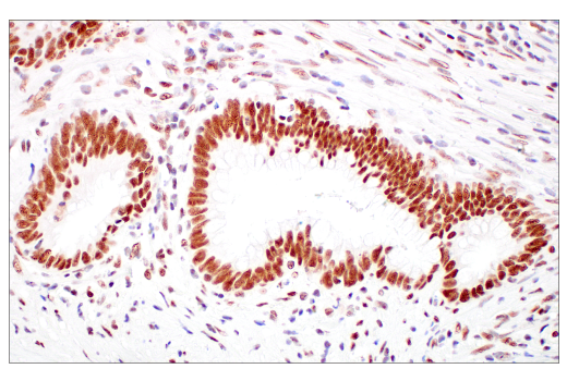
Immunohistochemical analysis of paraffin-embedded human urothelial carcinoma using p95/NBS1 (E8M3Q) XP® Rabbit mAb.
undefined Image 15: ATM Substrates Antibody Sampler Kit
Orders: 877-616-CELL (2355) [email protected] Support: 877-678-TECH (8324) [email protected] Web: cellsignal.com
For Research Use Only. Not for Use in Diagnostic Procedures.

Revision 1

Cell Signaling Technology Logo
Immunohistochemical analysis of paraffin-embedded HeLa cell pellets, untreated (left) or UV-treated (right), using Phospho-Chk2 (Thr68) (E8Q1A) Rabbit mAb.
undefined Image 16: ATM Substrates Antibody Sampler Kit
Immunoprecipitation of phospho-p53 (Ser15) protein from A549 cell extracts treated with Doxorubicin #5927 (0.5 μM, 24 hr). Lane 1 is 10% input, lane 2 is Rabbit (DA1E) mAb IgG XP® Isotype Control #3900, and lane 3 is Phospho-p53 (Ser15) (E9Y4U) Rabbit mAb. Western blot analysis was performed using Phospho-p53 (Ser15) (E9Y4U) Rabbit mAb. Mouse Anti-Rabbit IgG (Light-Chain Specific) (D4W3E) mAb (HRP Conjugate) #93702 was used as a secondary antibody.
undefined Image 17: ATM Substrates Antibody Sampler Kit
Western blot analysis of extracts from 293T cells, mock transfected (-) or transfected with a construct expressing Myc/DDK-tagged full-length human Rad50 (hRad50-Myc/DDK; +), using Rad50 (E3I8K) Rabbit mAb (upper), Myc-Tag (71D10) Rabbit mAb #2278 (middle), or GAPDH (D16H11) XP® Rabbit mAb #5174 (lower).
undefined Image 18: ATM Substrates Antibody Sampler Kit
Orders: 877-616-CELL (2355) [email protected] Support: 877-678-TECH (8324) [email protected] Web: cellsignal.com
For Research Use Only. Not for Use in Diagnostic Procedures.

Revision 1

Cell Signaling Technology Logo
Western blot analysis of extracts from MCF7, 293T, and HCT 116 cells, untreated (-) or treated with Neocarzinostatin (0.5 μg/mL, 1 hr; +), using Phospho-Rad50 (Ser635) (F5H8B) Rabbit mAb (upper), Rad50 (E3I8K) Rabbit mAb #86225 (middle), or GAPDH (D16H11) XP® Rabbit mAb #5174 (lower). Phosphorylation of Rad50 protein at Ser635 is induced by neocarzinostatin treatment as expected.
undefined Image 19: ATM Substrates Antibody Sampler Kit
Immunohistochemical analysis of paraffin-embedded human colon carcinoma, using p53 (7F5) Rabbit mAb.
undefined Image 20: ATM Substrates Antibody Sampler Kit
Immunoprecipitation of Chk2 from 293 cell extracts using Chk2 (D9C6) Rabbit mAb (lane 2). Western blot detection was performed using the same antibody. Lane 1 is 10% input.
undefined Image 21: ATM Substrates Antibody Sampler Kit
Orders: 877-616-CELL (2355) [email protected] Support: 877-678-TECH (8324) [email protected] Web: cellsignal.com
For Research Use Only. Not for Use in Diagnostic Procedures.

Revision 1

Cell Signaling Technology Logo
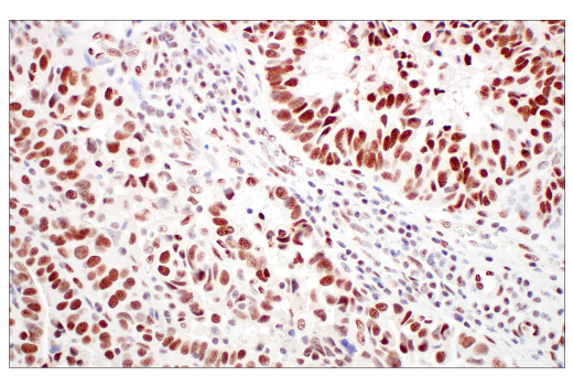
Immunohistochemical analysis of paraffin-embedded human ductal breast carcinoma using p95/NBS1 (E8M3Q) XP® Rabbit mAb.
undefined Image 22: ATM Substrates Antibody Sampler Kit
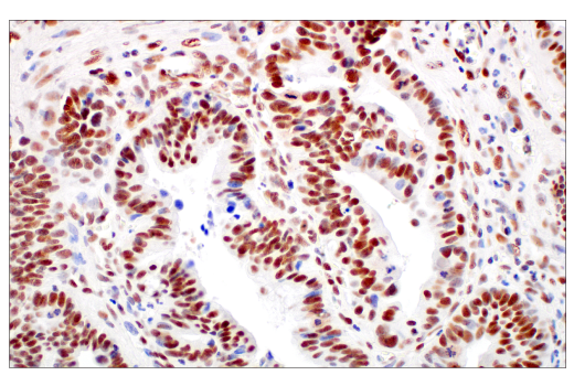
Immunohistochemical analysis of paraffin-embedded human colon carcinoma using Phospho-Chk2 (Thr68) (E8Q1A) Rabbit mAb.
undefined Image 23: ATM Substrates Antibody Sampler Kit
Confocal immunofluorescent analysis of A549 cells (p53-positive), untreated (first column), treated with Doxorubicin #5927 (0.5 µM, 24 hr; second column), or treated with Doxorubicin and post-processed with λ-phosphatase (third column). Saos-2 cells (p53-negative) were treated with Doxorubicin to verify specificity for p53 (fourth column). Cells were labeled with Phospho-p53 (Ser15) (E9Y4U) Rabbit mAb (green) and DyLight™ 554 Phalloidin #13054 (red) before mounting in ProLong® Gold Antifade Reagent with DAPI #8961 (blue).
undefined Image 24: ATM Substrates Antibody Sampler Kit
Orders: 877-616-CELL (2355) [email protected] Support: 877-678-TECH (8324) [email protected] Web: cellsignal.com
For Research Use Only. Not for Use in Diagnostic Procedures.

Revision 1

Cell Signaling Technology Logo
Immunohistochemical analysis of paraffin-embedded HT-29 (left) and SaOs-2 (right) cells, using p53 (7F5) Rabbit mAb. Note the lack of staining in p53-negative SaOs-2 cells.
undefined Image 25: ATM Substrates Antibody Sampler Kit
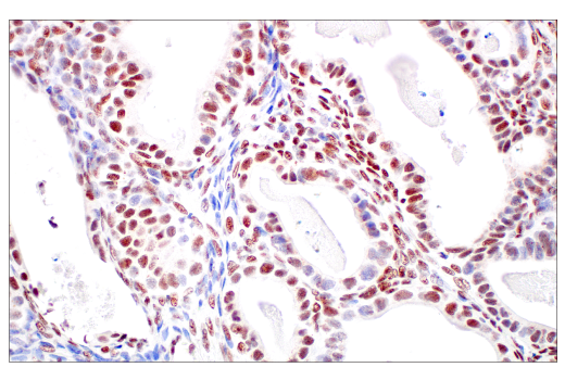
Immunohistochemical analysis of paraffin-embedded human colon adenocarcinoma using p95/NBS1 (E8M3Q) XP® Rabbit mAb.
undefined Image 26: ATM Substrates Antibody Sampler Kit
Immunohistochemical analysis of paraffin-embedded human ductal breast carcinoma using Phospho-Chk2 (Thr68) (E8Q1A) Rabbit mAb (left) compared to concentration-matched Rabbit (DA1E) mAb IgG XP® Isotype Control #3900 (right).
undefined Image 27: ATM Substrates Antibody Sampler Kit
Orders: 877-616-CELL (2355) [email protected] Support: 877-678-TECH (8324) [email protected] Web: cellsignal.com
For Research Use Only. Not for Use in Diagnostic Procedures.

Revision 1

Cell Signaling Technology Logo
Confocal Immunofluorescent analysis of HT-29 cells using p53 (7F5) Rabbit mAb (green). Actin filaments have been labeled with DY-554 phalloidin (red).
undefined Image 28: ATM Substrates Antibody Sampler Kit
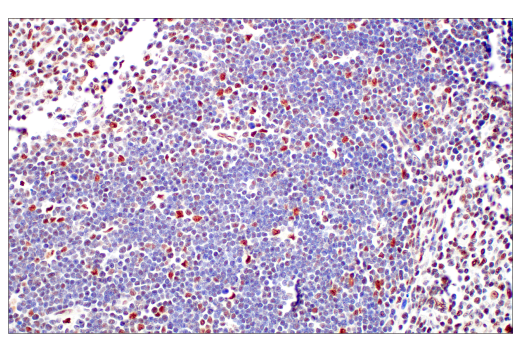
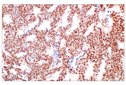
Immunohistochemical analysis of paraffin-embedded human B-cell non-Hodgkin lymphoma using p95/NBS1 (E8M3Q) XP® Rabbit mAb.
undefined Image 29: ATM Substrates Antibody Sampler Kit
Immunohistochemical analysis of paraffin-embedded human serous papillary carcinoma of the ovary using Phospho-Chk2 (Thr68) (E8Q1A) Rabbit mAb.
undefined Image 30: ATM Substrates Antibody Sampler Kit
Orders: 877-616-CELL (2355) [email protected] Support: 877-678-TECH (8324) [email protected] Web: cellsignal.com
For Research Use Only. Not for Use in Diagnostic Procedures.

Revision 1

Cell Signaling Technology Logo
Flow cytometric analysis of HT-29 cells using p53 (7F5) Rabbit mAb (solid line) compared to concentration-matched Rabbit (DA1E) mAb IgG XP® Isotype Control #3900 (dashed line). Anti-rabbit IgG (H+L), F(ab')2 Fragment (Alexa Fluor® 488 Conjugate) #4412 was used as a secondary antibody.
undefined Image 31: ATM Substrates Antibody Sampler Kit
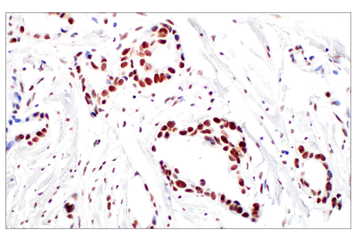
Immunohistochemical analysis of paraffin-embedded human endometrioid adenocarcinoma using p95/NBS1 (E8M3Q) XP® Rabbit mAb.
undefined Image 32: ATM Substrates Antibody Sampler Kit
Immunohistochemical analysis of paraffin-embedded human ovarian clear cell carcinoma, untreated (left) or lambda phosphatase-treated (right), using Phospho-Chk2 (Thr68) (E8Q1A) Rabbit mAb.
undefined Image 33: ATM Substrates Antibody Sampler Kit
Orders: 877-616-CELL (2355) [email protected] Support: 877-678-TECH (8324) [email protected] Web: cellsignal.com
For Research Use Only. Not for Use in Diagnostic Procedures.

Revision 1

Cell Signaling Technology Logo
Immunohistochemical analysis of paraffin-embedded human T-cell lymphoma using p95/NBS1 (E8M3Q) XP® Rabbit mAb.
undefined Image 34: ATM Substrates Antibody Sampler Kit
Flow cytometric analysis of HeLa cells, untreated (blue) or treated with UV (100 mJ/cm2, 2 hr recovery; green), using Phospho-Chk2 (Thr68) (E8Q1A) Rabbit mAb (solid lines) or a concentration-matched Rabbit (DA1E) mAb IgG XP® Isotype Control #3900 (dashed lines). Anti-rabbit IgG (H+L), F(ab')2 Fragment (Alexa Fluor® 488 Conjugate) #4412 was used as a secondary antibody.
undefined Image 35: ATM Substrates Antibody Sampler Kit
Chromatin immunoprecipitations were performed with cross-linked chromatin from HCT116 cells treated with UV (100 J/m2 followed by a 3 hour recovery) and either p53 (7F5) Rabbit mAb or Normal Rabbit IgG #2729 using SimpleChIP® Enzymatic Chromatin IP Kit (Magnetic Beads) #9003. The enriched DNA was quantified by real-time PCR using SimpleChIP® Human CDKN1A Promoter Primers #6449, human MDM2 intron 2 primers, and SimpleChIP® Human α Satellite Repeat Primers #4486. The amount of immunoprecipitated DNA in each sample is represented as signal relative to the total amount of input chromatin, which is equivalent to one.
undefined Image 36: ATM Substrates Antibody Sampler Kit
Orders: 877-616-CELL (2355) [email protected] Support: 877-678-TECH (8324) [email protected] Web: cellsignal.com
For Research Use Only. Not for Use in Diagnostic Procedures.

Revision 1

Cell Signaling Technology Logo
Immunohistochemical analysis of paraffin-embedded human prostate adenocarcinoma using p95/NBS1 (E8M3Q) XP® Rabbit mAb.
undefined Image 37: ATM Substrates Antibody Sampler Kit
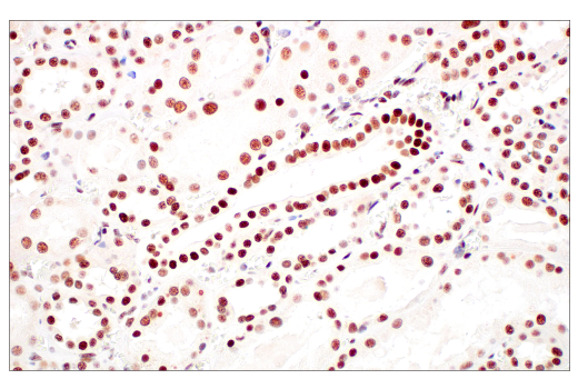
Immunohistochemical analysis of paraffin-embedded normal human kidney using p95/NBS1 (E8M3Q) XP® Rabbit mAb.
undefined Image 38: ATM Substrates Antibody Sampler Kit
Immunohistochemical analysis of paraffin-embedded normal human thymus using p95/NBS1 (E8M3Q) XP® Rabbit mAb.
undefined Image 39: ATM Substrates Antibody Sampler Kit
Orders: 877-616-CELL (2355) [email protected] Support: 877-678-TECH (8324) [email protected] Web: cellsignal.com
For Research Use Only. Not for Use in Diagnostic Procedures.

Revision 1

Cell Signaling Technology Logo
Immunohistochemical analysis of paraffin-embedded human non-small cell lung carcinoma using p95/NBS1 (E8M3Q) XP® Rabbit mAb (left) compared to concentration-matched Rabbit (DA1E) mAb IgG XP® Isotype Control #3900 (right). 
undefined Image 40: ATM Substrates Antibody Sampler Kit
Immunohistochemical analysis of paraffin-embedded SK-MEL-28 cell pellet (left, positive) or GM07166 cell pellet (right, negative) using p95/NBS1 (E8M3Q) XP® Rabbit mAb.
undefined Image 41: ATM Substrates Antibody Sampler Kit
Simple Western™ analysis of lysates (1 mg/mL) from COS-7 cells using p53 (7F5) Rabbit mAb #2527. The virtual lane view (left) shows the target band (as indicated) at 1:10 and 1:50 dilutions of primary antibody. The corresponding electropherogram view (right) plots chemiluminescence by molecular weight along the capillary at 1:10 (blue line) and 1:50 (green line) dilutions of primary antibody. This experiment was performed under reducing conditions on the Jess™ ​​​​​​​ Simple Western instrument from ProteinSimple, a BioTechne brand, using the 12-230 kDa separation module.
undefined Image 42: ATM Substrates Antibody Sampler Kit
Orders: 877-616-CELL (2355) [email protected] Support: 877-678-TECH (8324) [email protected] Web: cellsignal.com
For Research Use Only. Not for Use in Diagnostic Procedures.

Revision 1

Cell Signaling Technology Logo
Simple WesternTM analysis of lysates (0.1 mg/mL) from HCT116 cells using Chk2 (D9C6) Rabbit mAb #6334. The virtual lane view (left) shows the target band (as indicated) at 1:10 and 1:50 dilutions of primary antibody. The corresponding electropherogram view (right) plots chemiluminescence by molecular weight along the capillary at 1:10 (blue line) and 1:50 (green line) dilutions of primary antibody. This experiment was performed under reducing conditions on the JessTM Simple Western instrument from ProteinSimple, a BioTechne brand, using the 12-230 kDa separation module.
undefined Image 43: ATM Substrates Antibody Sampler Kit
Chromatin immunoprecipitations were performed with cross-linked chromatin from HCT116 cells treated with UV (100 J/m2 followed by a 3 hour recovery) and either Phospho-p53 (Ser15) (E9Y4U) Rabbit mAb or Normal Rabbit IgG #2729 using SimpleChIP® Plus Enzymatic Chromatin IP Kit (Magnetic Beads) #9005. The enriched DNA was quantified by real-time PCR using SimpleChIP® Human CDKN1A Promoter Primers #6449 and SimpleChIP® Human α Satellite Repeat Primers #4486. The amount of immunoprecipitated DNA in each sample is represented as signal relative to the total amount of input chromatin, which is equivalent to one.
undefined Image 44: ATM Substrates Antibody Sampler Kit
Flow cytometric analysis of HT-29 cells, untreated (blue) or treated with UV (100 mJ/cm2, 2 hr recovery; green) using Phospho-p53 (Ser15) (E9Y4U) Rabbit mAb (solid lines) or concentration-matched Rabbit (DA1E) mAb IgG XP® Isotype Control #3900 (dashed lines). Anti-rabbit IgG (H+L), F(ab')2 Fragment (Alexa Fluor® 488 Conjugate) #4412 was used as a secondary antibody.
undefined Image 45: ATM Substrates Antibody Sampler Kit
Orders: 877-616-CELL (2355) [email protected] Support: 877-678-TECH (8324) [email protected] Web: cellsignal.com
For Research Use Only. Not for Use in Diagnostic Procedures.

Revision 1

Cell Signaling Technology Logo
Immunoprecipitation of Rad50 protein from PANC-1 cell extracts. Lane 1 is 10% input, lane 2 is Rabbit (DA1E) mAb IgG XP® Isotype Control #3900, and lane 3 is Rad50 (E3I8K) Rabbit mAb. Western blot analysis was performed using Rad50 (E3I8K) Rabbit mAb. Anti-rabbit IgG, HRP-linked Antibody #7074 was used as a secondary antibody.
undefined Image 46: ATM Substrates Antibody Sampler Kit
Simple Western™ analysis of lysates (0.1 mg/mL) from 293T cells using Rad50 (E3I8K) Rabbit mAb #86225. The virtual lane view (left) shows the target band (as indicated) at 1:50 and 1:250 dilutions of primary antibody. The corresponding electropherogram view (right) plots chemiluminescence by molecular weight along the capillary at 1:50 (blue line) and 1:250 (green line) dilutions of primary antibody. This experiment was performed under reducing conditions on the Jess™ Simple Western instrument from ProteinSimple, a BioTechne brand, using the 66-440 kDa separation module.
undefined Image 47: ATM Substrates Antibody Sampler Kit
Immunoprecipitation of phospho-Rad50 (Ser635) protein from 293 cell extracts. Cells were treated with UV (100 mJ, 4 hr). Lane 1 is 10% input, lane 2 is Rabbit (DA1E) mAb IgG XP® Isotype Control #3900, and lane 3 is Phospho-Rad50 (Ser635) (F5H8B) Rabbit mAb. Western blot analysis was performed using Phospho-Rad50 (Ser635) (F5H8B) Rabbit mAb. Anti-rabbit IgG, HRP-linked Antibody #7074 was used as a secondary antibody.
undefined Image 48: ATM Substrates Antibody Sampler Kit
Orders: 877-616-CELL (2355) [email protected] Support: 877-678-TECH (8324) [email protected] Web: cellsignal.com
For Research Use Only. Not for Use in Diagnostic Procedures.

Revision 1

Cell Signaling Technology Logo
Simple WesternTM analysis of lysates (0.1 mg/mL) from 293 + UV cells using Phospho-Rad50 (Ser635) (F5H8B) Rabbit mAb #99215. The virtual lane view (left) shows the target band (as indicated) at 1:50 and 1:250 dilutions of primary antibody. The corresponding electropherogram view (right) plots chemiluminescence by molecular weight along the capillary at 1:50 (blue line) and 1:250 (green line) dilutions of primary antibody. This experiment was performed under reducing conditions on the JessTM Simple Western instrument from ProteinSimple, a BioTechne brand, using the 12-230 kDa separation module.
undefined Image 49: ATM Substrates Antibody Sampler Kit
Flow cytometric analysis of untreated MCF7 cells (blue) and MCF7 cells treated with neocarzinostatin (0.5 µg/mL, 1 hr; green) using Phospho-Rad50 (Ser635) (F5H8B) Rabbit mAb (solid lines) or concentration-matched Rabbit (DA1E) mAb IgG XP® Isotype Control #3900 (dashed lines). Anti-rabbit IgG (H+L), F(ab')2 Fragment (Alexa Fluor® 488 Conjugate) #4412 was used as a secondary antibody.
undefined Image 50: ATM Substrates Antibody Sampler Kit
Orders: 877-616-CELL (2355) [email protected] Support: 877-678-TECH (8324) [email protected] Web: cellsignal.com
For Research Use Only. Not for Use in Diagnostic Procedures.