Revision 3

#10321

Store at -20C

CST Logo
Orders:

877-616-CELL (2355)

[email protected]

Support:

877-678-TECH (8324)

3 Trask Lane | Danvers | Massachusetts | 01923 | USA

For Research Use Only. Not for Use in Diagnostic Procedures.

Applications:
W, IP, IHC-P

Reactivity:
H M R Mk

Sensitivity:
Endogenous

MW (kDa):
280

Source/Isotype:
Rabbit IgG

UniProt ID:
#P46100

Entrez-Gene Id:
546

Product Usage Information

Application Dilution
Western Blotting 1:1000
Immunoprecipitation 1:100
Immunohistochemistry (Paraffin) 1:150 - 1:600

Storage

Supplied in 10 mM sodium HEPES (pH 7.5), 150 mM NaCl, 100 µg/ml BSA, 50% glycerol and less than 0.02% sodium azide. Store at –20°C. Do not aliquot the antibody.

For a carrier free (BSA and azide free) version of this product see product #67615.

Specificity/Sensitivity

ATRX (E5X7O) Rabbit Monoclonal Antibody recognizes endogenous levels of total ATRX protein.

Source / Purification

Monoclonal antibody is produced by immunizing animals with recombinant protein specific to the carboxy terminus of human ATRX protein.

Background

α-thalassemia/mental retardation X-linked (ATRX) is a transcriptional regulator and helicase that belongs to the SNF2 family of chromatin remodeling proteins (1,2). Together with its binding partner death-associated protein 6 (Daxx), ATRX acts as histone chaperone to deposit histone variant H3.3 at repetitive DNA sequences such as telomeric, pericentric, and ribosomal gene repeats (3-6). ATRX is involved in many nuclear functions that ensure proper sister chromatid cohesion during mitosis and chromosome alignment during meiosis (7,8). The ATRX transcriptional regulator also plays a role in the maintenance of telomere integrity and the regulation of gene expression during mammalian development by influencing DNA methylation patterns at high DNA repeat sequences (9,10). Mutations in the corresponding ATRX gene results in ATR-X syndrome, an X-linked disorder characterized by intellectual disabilities, craniofacial abnormalities, and mild α-thalassemia (11,12). Research studies indicate that the loss of ATRX protein occurs in numerous cancers, including pancreatic neuroendocrine tumors (PanNETs) and pediatric glioblastoma, where telomere maintenance occurs independently of telomerase (13-16).

Species Reactivity

Species reactivity is determined by testing in at least one approved application (e.g., western blot).

Western Blot Buffer

IMPORTANT: For western blots, incubate membrane with diluted primary antibody in 5% w/v BSA, 1X TBS, 0.1% Tween® 20 at 4°C with gentle shaking, overnight.

Applications Key

W: Western Blotting IP: Immunoprecipitation IHC-P: Immunohistochemistry (Paraffin)

Cross-Reactivity Key

H: Human M: Mouse R: Rat Mk: Monkey

Trademarks and Patents

Cell Signaling Technology is a trademark of Cell Signaling Technology, Inc.

SignalStain is a registered trademark of Cell Signaling Technology, Inc.

All other trademarks are the property of their respective owners. Visit cellsignal.com/trademarks for more information.

Limited Uses

Except as otherwise expressly agreed in a writing signed by a legally authorized representative of CST, the following terms apply to Products provided by CST, its affiliates or its distributors. Any Customer's terms and conditions that are in addition to, or different from, those contained herein, unless separately accepted in writing by a legally authorized representative of CST, are rejected and are of no force or effect.

Products are labeled with For Research Use Only or a similar labeling statement and have not been approved, cleared, or licensed by the FDA or other regulatory foreign or domestic entity, for any purpose. Customer shall not use any Product for any diagnostic or therapeutic purpose, or otherwise in any manner that conflicts with its labeling statement. Products sold or licensed by CST are provided for Customer as the end-user and solely for research and development uses. Any use of Product for diagnostic, prophylactic or therapeutic purposes, or any purchase of Product for resale (alone or as a component) or other commercial purpose, requires a separate license from CST. Customer shall (a) not sell, license, loan, donate or otherwise transfer or make available any Product to any third party, whether alone or in combination with other materials, or use the Products to manufacture any commercial products, (b) not copy, modify, reverse engineer, decompile, disassemble or otherwise attempt to discover the underlying structure or technology of the Products, or use the Products for the purpose of developing any products or services that would compete with CST products or services, (c) not alter or remove from the Products any trademarks, trade names, logos, patent or copyright notices or markings, (d) use the Products solely in accordance with CST Product Terms of Sale and any applicable documentation, and (e) comply with any license, terms of service or similar agreement with respect to any third party products or services used by Customer in connection with the Products.

Orders: 877-616-CELL (2355) [email protected] Support: 877-678-TECH (8324) [email protected] Web: cellsignal.com
For Research Use Only. Not for Use in Diagnostic Procedures.

Revision 3

Cell Signaling Technology Logo
Western blot analysis of extracts from various cell lines using ATRX (E5X7O) Rabbit mAb (upper) or α-Actinin (D6F6) XP® Rabbit mAb #6487 (lower). As expected, U-2 OS cells are negative for ATRX expression.
Western Blotting Image 1: ATRX (E5X7O) Rabbit Monoclonal Antibody
Immunoprecipitation of ATRX protein from SH-SY5Y cell extracts. Lane 1 is 10% input, lane 2 is Rabbit (DA1E) mAb IgG XP® Isotype Control #3900, and lane 3 is ATRX (E5X7O) Rabbit mAb. Western blot analysis was performed using ATRX (E5X7O) Rabbit mAb. Anti-rabbit IgG, HRP-linked Antibody #7074 was used as a secondary antibody.
Immunoprecipitation Image 1: ATRX (E5X7O) Rabbit Monoclonal Antibody
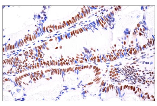
Immunohistochemical analysis of paraffin-embedded mouse colon using ATRX (E5X7O) Rabbit mAb.
Immunohistochemistry Image 1: ATRX (E5X7O) Rabbit Monoclonal Antibody
Orders: 877-616-CELL (2355) [email protected] Support: 877-678-TECH (8324) [email protected] Web: cellsignal.com
For Research Use Only. Not for Use in Diagnostic Procedures.

Revision 3

Cell Signaling Technology Logo
Immunohistochemical analysis of paraffin-embedded human colon carcinoma using ATRX (E5X7O) Rabbit mAb.
Immunohistochemistry Image 2: ATRX (E5X7O) Rabbit Monoclonal Antibody
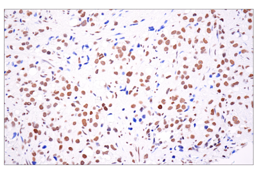
Immunohistochemical analysis of paraffin-embedded human esophageal carcinoma using ATRX (E5X7O) Rabbit mAb.
Immunohistochemistry Image 3: ATRX (E5X7O) Rabbit Monoclonal Antibody
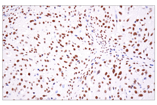
Immunohistochemical analysis of paraffin-embedded 4T1 syngeneic mammary tumor using ATRX (E5X7O) Rabbit mAb.
Immunohistochemistry Image 4: ATRX (E5X7O) Rabbit Monoclonal Antibody
Orders: 877-616-CELL (2355) [email protected] Support: 877-678-TECH (8324) [email protected] Web: cellsignal.com
For Research Use Only. Not for Use in Diagnostic Procedures.

Revision 3

Cell Signaling Technology Logo
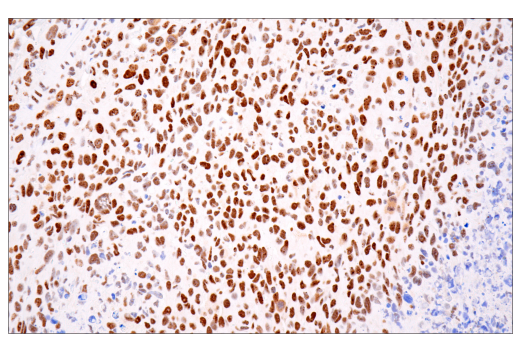
Immunohistochemical analysis of paraffin-embedded human ovarian carcinoma using ATRX (E5X7O) Rabbit mAb.
Immunohistochemistry Image 5: ATRX (E5X7O) Rabbit Monoclonal Antibody
Immunohistochemical analysis of paraffin-embedded normal human parathyroid using ATRX (E5X7O) Rabbit mAb.
Immunohistochemistry Image 6: ATRX (E5X7O) Rabbit Monoclonal Antibody
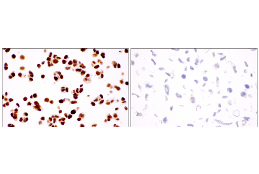
Immunohistochemical analysis of paraffin-embedded SH-SY5Y cell pellet (left, positive) or Saos-2 cell pellet (right, negative) using ATRX (E5X7O) Rabbit mAb.
Immunohistochemistry Image 7: ATRX (E5X7O) Rabbit Monoclonal Antibody
Orders: 877-616-CELL (2355) [email protected] Support: 877-678-TECH (8324) [email protected] Web: cellsignal.com
For Research Use Only. Not for Use in Diagnostic Procedures.

Revision 3

Cell Signaling Technology Logo
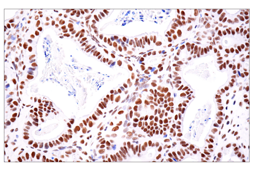
Immunohistochemical analysis of paraffin-embedded human prostate carcinoma using ATRX (E5X7O) Rabbit mAb.
Immunohistochemistry Image 8: ATRX (E5X7O) Rabbit Monoclonal Antibody
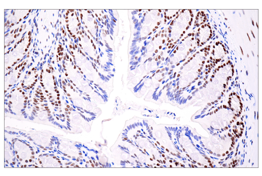
Immunohistochemical analysis of paraffin-embedded human gastric carcinoma using ATRX (E5X7O) Rabbit mAb.
Immunohistochemistry Image 9: ATRX (E5X7O) Rabbit Monoclonal Antibody
Immunohistochemical analysis of paraffin-embedded normal human uterus using ATRX (E5X7O) Rabbit mAb (left) compared to concentration-matched Rabbit (DA1E) mAb IgG XP® Isotype Control #3900 (right).
Immunohistochemistry Image 10: ATRX (E5X7O) Rabbit Monoclonal Antibody
Orders: 877-616-CELL (2355) [email protected] Support: 877-678-TECH (8324) [email protected] Web: cellsignal.com
For Research Use Only. Not for Use in Diagnostic Procedures.