Revision 3

#29691

Store at -20C

CST Logo
Orders:

877-616-CELL (2355)

[email protected]

Support:

877-678-TECH (8324)

3 Trask Lane | Danvers | Massachusetts | 01923 | USA

For Research Use Only. Not for Use in Diagnostic Procedures.

Applications:
W, IF-F, ELISA

Reactivity:
H

Sensitivity:
Endogenous

MW (kDa):
6

Source/Isotype:
Rabbit IgG

UniProt ID:
#P05067

Entrez-Gene Id:
351

Product Usage Information

This product is the carrier free version of product #32098. All data were generated using the same antibody clone in the standard formulation which contains BSA and glycerol.

This formulation is ideal for use with technologies requiring specialized or custom antibody labeling, including fluorophores, metals, lanthanides, and oligonucleotides. It is not recommended for ChIP, ChIP-seq, CUT&RUN or CUT&Tag assays. If you require a carrier free formulation for chromatin profiling, please contact us. Optimal dilutions/concentrations should be determined by the end user.

BSA and Azide Free antibodies are quality control tested by size exclusion chromatography (SEC) to determine antibody integrity.

Formulation

Supplied in 1X PBS (10 mM Na2HPO4, 3 mM KCl, 2 mM KH2PO4, and 140 mM NaCl (pH 7.8)). BSA and Azide Free.

For standard formulation of this product see product #32098

Storage

Store at -20°C. This product will freeze at -20°C so it is recommended to aliquot into single-use vials to avoid multiple freeze/thaw cycles. A slight precipitate may be present and can be dissolved by gently vortexing. This will not interfere with antibody performance.

Specificity/Sensitivity

beta-Amyloid (1-43) (E8C2D) Rabbit Monoclonal Antibody (BSA and Azide Free) recognizes endogenous levels of total human Aβ-43 protein. This product detects transgenically expressed human APP in mouse models. This antibody weakly cross-reacts with human Aβ-42 protein.

Species predicted to react based on 100% sequence homology

Mouse

Source / Purification

Monoclonal antibody is produced by immunizing animals with a synthetic peptide corresponding to residues near the carboxy of human β-Amyloid (1-43) protein.

Background

Amyloid β (Aβ) precursor protein (APP) is a 100-140 kDa transmembrane glycoprotein that exists as several isoforms (1). The amino acid sequence of APP contains the amyloid domain, which can be released by a two-step proteolytic cleavage (1). The extracellular deposition and accumulation of the released Aβ fragments form the main components of amyloid plaques in Alzheimer's disease (1). APP can be phosphorylated at several sites, which may affect the proteolytic processing and secretion of this protein (2-5). Phosphorylation at Thr668 (a position corresponding to the APP695 isoform) by cyclin-dependent kinase is cell-cycle dependent and peaks during G2/M phase (4). APP phosphorylated at Thr668 exists in adult rat brain and correlates with cultured neuronal differentiation (5,6).
Aβ43 has been suggested as a biomarker in early onset of Alzheimer's disease, where patients have lower levels of Aβ43 in cerebrospinal fluid (7,8,9). Several studies have shown that Aβ toxicity of Aβ43 is as high as Aβ42 or Aβ40 in different models of Alzheimer's disease, including mouse models and human disease. (10).

Species Reactivity

Species reactivity is determined by testing in at least one approved application (e.g., western blot).

Applications Key

W: Western Blotting IF-F: Immunofluorescence (Frozen) ELISA: ELISA

Cross-Reactivity Key

H: Human

Trademarks and Patents

Cell Signaling Technology is a trademark of Cell Signaling Technology, Inc.

All other trademarks are the property of their respective owners. Visit cellsignal.com/trademarks for more information.

Limited Uses

Except as otherwise expressly agreed in a writing signed by a legally authorized representative of CST, the following terms apply to Products provided by CST, its affiliates or its distributors. Any Customer's terms and conditions that are in addition to, or different from, those contained herein, unless separately accepted in writing by a legally authorized representative of CST, are rejected and are of no force or effect.

Products are labeled with For Research Use Only or a similar labeling statement and have not been approved, cleared, or licensed by the FDA or other regulatory foreign or domestic entity, for any purpose. Customer shall not use any Product for any diagnostic or therapeutic purpose, or otherwise in any manner that conflicts with its labeling statement. Products sold or licensed by CST are provided for Customer as the end-user and solely for research and development uses. Any use of Product for diagnostic, prophylactic or therapeutic purposes, or any purchase of Product for resale (alone or as a component) or other commercial purpose, requires a separate license from CST. Customer shall (a) not sell, license, loan, donate or otherwise transfer or make available any Product to any third party, whether alone or in combination with other materials, or use the Products to manufacture any commercial products, (b) not copy, modify, reverse engineer, decompile, disassemble or otherwise attempt to discover the underlying structure or technology of the Products, or use the Products for the purpose of developing any products or services that would compete with CST products or services, (c) not alter or remove from the Products any trademarks, trade names, logos, patent or copyright notices or markings, (d) use the Products solely in accordance with CST Product Terms of Sale and any applicable documentation, and (e) comply with any license, terms of service or similar agreement with respect to any third party products or services used by Customer in connection with the Products.

Orders: 877-616-CELL (2355) [email protected] Support: 877-678-TECH (8324) [email protected] Web: cellsignal.com
For Research Use Only. Not for Use in Diagnostic Procedures.

Revision 3

Cell Signaling Technology Logo
Western blot analysis with the indicated amounts of human β-amyloid (1-43) protein using β-Amyloid (1-43) (E8C2D) Rabbit mAb. Data were generated using the standard formulation of this product.
Western Blotting Image 1: beta-Amyloid (1-43) (E8C2D) Rabbit Monoclonal Antibody (BSA and Azide Free)
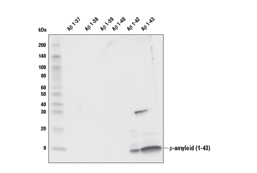
Western blot analysis of human Aβ-37, Aβ-38, Aβ-39, Aβ-40, Aβ-42 and Aβ-43 peptides (10 ng) using β-Amyloid (1-43) (E8C2D) Rabbit mAb. Note the slight cross-reactivity with Aβ-42. Data were generated using the standard formulation of this product.
Western Blotting Image 2: beta-Amyloid (1-43) (E8C2D) Rabbit Monoclonal Antibody (BSA and Azide Free)
Confocal immunofluorescent analysis of brain from an amyloid mouse model of Alzheimer's disease using β-Amyloid (1-43) (E8C2D) Rabbit mAb (green). After blocking free secondary antibody binding sites with Rabbit (DA1E) mAb IgG XP® Isotype Control #3900, the tissue was then labeled using GFAP (GA5) Mouse mAb (Alexa Fluor® 555 Conjugate) #3656 (red pseudocolor) and β-Amyloid (D54D2) XP® Rabbit mAb (Alexa Fluor® 647 Conjugate) #42284 (yellow pseudocolor). Samples were mounted in ProLong® Gold Antifade Reagent with DAPI #8961 (blue). Data were generated using the standard formulation of this product.
Immunofluorescence Image 1: beta-Amyloid (1-43) (E8C2D) Rabbit Monoclonal Antibody (BSA and Azide Free)
Orders: 877-616-CELL (2355) [email protected] Support: 877-678-TECH (8324) [email protected] Web: cellsignal.com
For Research Use Only. Not for Use in Diagnostic Procedures.

Revision 3

Cell Signaling Technology Logo
Data using β-Amyloid (1-43) Matched Antibody Pair #28945 are shown. The two antibodies function as a capture-target-detection sandwich (#29691 and #37372, respectively) to detect human Aβ-43 and to a lesser degree Aβ-42 but not Aβ-40, Aβ-39, Aβ-38, Aβ-37, and pE3 peptides, as shown in the figure.
ELISA Image 1: beta-Amyloid (1-43) (E8C2D) Rabbit Monoclonal Antibody (BSA and Azide Free)
Orders: 877-616-CELL (2355) [email protected] Support: 877-678-TECH (8324) [email protected] Web: cellsignal.com
For Research Use Only. Not for Use in Diagnostic Procedures.