Revision 6

#41608

Store at -20C

CST Logo
Orders:

877-616-CELL (2355)

[email protected]

Support:

877-678-TECH (8324)

3 Trask Lane | Danvers | Massachusetts | 01923 | USA

For Research Use Only. Not for Use in Diagnostic Procedures.

Product Includes Product # Quantity Mol. Wt Isotype/Source
beta-Amyloid (D54D2) Rabbit Monoclonal Antibody824320 µl5 kDaRabbit IgG
beta-Amyloid (D3D2N) Mouse Monoclonal Antibody1512620 µl5 kDaMouse IgG1
NeuN (D4G4O) Rabbit Monoclonal Antibody2430720 µl46-55 kDaRabbit IgG
Synaptophysin (7H12) Mouse Monoclonal Antibody (IF Formulated)902020 µlMouse IgG1
PSD95 (D27E11) Rabbit Monoclonal Antibody345020 µl95 kDaRabbit IgG
Cleaved Caspase-3 (Asp175) Antibody966120 µl17, 19 kDaRabbit
Cleaved PARP (Asp214) (D6X6X) Rabbit Monoclonal Antibody9488520 µl89 kDaRabbit IgG
GFAP (E6N9L) Mouse Monoclonal Antibody3400120 µl50 kDaMouse IgG2a
HS1 (D5A9) Rabbit Monoclonal Antibody389220 µl80 kDaRabbit IgG

Please visit cellsignal.com for individual component applications, species cross-reactivity, dilutions, protocols, and additional product information.

Description

The β-Amyloid Mouse Model Neuronal Viability IF Antibody Sampler Kit provides an economical means of detecting proteins to confirm neuronal viability and surrounding astrocytes and microglia in mouse models by immunofluorescence.

Storage

Supplied in 10 mM sodium HEPES (pH 7.5), 150 mM NaCl, 100 µg/ml BSA, 50% glycerol and less than 0.02% sodium azide. Store at –20°C. Do not aliquot the antibody.

Background

Amyloid β (Aβ) precursor protein (APP) is a 100-140 kDa transmembrane glycoprotein that exists as several isoforms. The amino acid sequence of APP contains the amyloid domain, which can be released by a two-step proteolytic cleavage. The extracellular deposition and accumulation of the released Aβ fragments form the main components of amyloid plaques, a major pathological hallmark of Alzheimer’s disease (1). Neuronal nuclei (NeuN, Fox-3, RBFOX3) is a nuclear protein expressed in most post-mitotic neurons of the central and peripheral nervous systems. NeuN is not detected in Purkinje cells, sympathetic ganglion cells, Cajal-Retzius cells, INL retinal cells, inferior olivary, or dentate nucleus neurons (2). Glial fibrillary acidic protein (GFAP) is the main intermediate filament in mature brain astroglial and radial glial cells and GFAP also plays an important role in modulating astroglial motility and shape (3). HS1 is a protein kinase substrate that is expressed only in tissues and cells of hematopoietic origin (4). Previous work identifying markers of specific brain cell types using RNA-seq has shown HS1 to be a useful and specific tool to study microglia (5). Synaptophysin (SYP) is a neuronal synaptic vesicle glycoprotein that occurs in presynaptic vesicles of neurons (6). Postsynaptic Density protein 95 (PSD95) is a member of the membrane-associated guanylate kinase (MAGUK) family of proteins. PSD95 is a scaffolding protein involved in the assembly and function of the postsynaptic density complex (7,8). Caspase-3 (CPP-32, Apoptain, Yama, SCA-1) is a critical executioner of apoptosis, as it is either partially or totally responsible for the proteolytic cleavage of many key proteins, including nuclear enzyme poly (ADP-ribose) polymerase (PARP) (9). PARP, a 116 kDa nuclear poly (ADP-ribose) polymerase, appears to be involved in DNA repair in response to environmental stress (10). PARP helps cells to maintain their viability; cleavage of PARP facilitates cellular disassembly and serves as a marker of cells undergoing apoptosis (11).

Trademarks and Patents

Cell Signaling Technology is a trademark of Cell Signaling Technology, Inc.

All other trademarks are the property of their respective owners. Visit cellsignal.com/trademarks for more information.

Limited Uses

Except as otherwise expressly agreed in a writing signed by a legally authorized representative of CST, the following terms apply to Products provided by CST, its affiliates or its distributors. Any Customer's terms and conditions that are in addition to, or different from, those contained herein, unless separately accepted in writing by a legally authorized representative of CST, are rejected and are of no force or effect.

Products are labeled with For Research Use Only or a similar labeling statement and have not been approved, cleared, or licensed by the FDA or other regulatory foreign or domestic entity, for any purpose. Customer shall not use any Product for any diagnostic or therapeutic purpose, or otherwise in any manner that conflicts with its labeling statement. Products sold or licensed by CST are provided for Customer as the end-user and solely for research and development uses. Any use of Product for diagnostic, prophylactic or therapeutic purposes, or any purchase of Product for resale (alone or as a component) or other commercial purpose, requires a separate license from CST. Customer shall (a) not sell, license, loan, donate or otherwise transfer or make available any Product to any third party, whether alone or in combination with other materials, or use the Products to manufacture any commercial products, (b) not copy, modify, reverse engineer, decompile, disassemble or otherwise attempt to discover the underlying structure or technology of the Products, or use the Products for the purpose of developing any products or services that would compete with CST products or services, (c) not alter or remove from the Products any trademarks, trade names, logos, patent or copyright notices or markings, (d) use the Products solely in accordance with CST Product Terms of Sale and any applicable documentation, and (e) comply with any license, terms of service or similar agreement with respect to any third party products or services used by Customer in connection with the Products.

Orders: 877-616-CELL (2355) [email protected] Support: 877-678-TECH (8324) [email protected] Web: cellsignal.com
For Research Use Only. Not for Use in Diagnostic Procedures.

Revision 6

Cell Signaling Technology Logo
Western blot analysis of human Aβ-37, Aβ-40, and Aβ-42 peptides using β-Amyloid (D3D2N) Mouse mAb.
undefined Image 1: beta-Amyloid Mouse Model Neuronal Viability IF Antibody Sampler Kit
Western blot analysis of extracts from mouse brain, C2C12 cells, and rat brain using NeuN (D4G4O) XP® Rabbit mAb (upper) and β-Actin (D6A8) Rabbit mAb #8457 (lower).
undefined Image 2: beta-Amyloid Mouse Model Neuronal Viability IF Antibody Sampler Kit
Western blot analysis of extracts from various tissues and cell lines using GFAP (E6N9L) Mouse mAb (upper) or β-Actin (D6A8) Rabbit mAb #8457 (lower).
undefined Image 3: beta-Amyloid Mouse Model Neuronal Viability IF Antibody Sampler Kit
Orders: 877-616-CELL (2355) [email protected] Support: 877-678-TECH (8324) [email protected] Web: cellsignal.com
For Research Use Only. Not for Use in Diagnostic Procedures.

Revision 6

Cell Signaling Technology Logo
Western blot analysis of extracts from human cerebellum and rat brain using PSD95 (D27E11) XP® Rabbit mAb.
undefined Image 4: beta-Amyloid Mouse Model Neuronal Viability IF Antibody Sampler Kit
Western blot analysis of cell extracts from Baf3, 32D, and mouse spleen using HS1 (D5A9) XP® Rabbit mAb.
undefined Image 5: beta-Amyloid Mouse Model Neuronal Viability IF Antibody Sampler Kit
Western blot analysis of human Aβ-42, Aβ-40, Aβ-39, Aβ-38, and Aβ-37 peptides (5 ng) using β-Amyloid (D54D2) XP® Rabbit mAb.
undefined Image 6: beta-Amyloid Mouse Model Neuronal Viability IF Antibody Sampler Kit
Orders: 877-616-CELL (2355) [email protected] Support: 877-678-TECH (8324) [email protected] Web: cellsignal.com
For Research Use Only. Not for Use in Diagnostic Procedures.

Revision 6

Cell Signaling Technology Logo
Confocal immunofluorescent analysis of mouse brain (left) and mouse retina (right) using Synaptophysin (7H12) Mouse mAb (IF Formulated) (green) and CNPase (D83E10) Rabbit mAb (Alexa Fluor® 555 Conjugate) (red, left). Blue pseudocolor = DRAQ5® #4084 (fluorescent DNA dye).
undefined Image 7: beta-Amyloid Mouse Model Neuronal Viability IF Antibody Sampler Kit
Western blot analysis of extracts from serum-starved Neuro-2a cells, untreated (-) or treated with Staurosporine #9953 (1 μM, 3 hr), using Cleaved PARP (Asp214) (D6X6X) Rabbit mAb (Rodent Specific) (upper) or β-Actin (D6A8) Rabbit mAb #8457 (lower).
undefined Image 8: beta-Amyloid Mouse Model Neuronal Viability IF Antibody Sampler Kit
Western blot analysis of extracts from HeLa, NIH/3T3 and C6 cells untreated, staurosporine-treated (3hrs, 1 µM in vivo) or cytochrome c-treated (1hr, 0.25 mg/ml in vitro), using Caspase-3 Antibody #9662 (upper) or Cleaved Caspase-3 (Asp175) Antibody (lower).
undefined Image 9: beta-Amyloid Mouse Model Neuronal Viability IF Antibody Sampler Kit
Orders: 877-616-CELL (2355) [email protected] Support: 877-678-TECH (8324) [email protected] Web: cellsignal.com
For Research Use Only. Not for Use in Diagnostic Procedures.

Revision 6

Cell Signaling Technology Logo
Immunohistochemical analysis of paraffin-embedded human Alzheimer's brain using β-Amyloid (D3D2N) Mouse mAb.
undefined Image 10: beta-Amyloid Mouse Model Neuronal Viability IF Antibody Sampler Kit
Simple WesternTM analysis of lysates (0.1 mg/mL) from Mouse Brain cells using NeuN (D4G4O) XP® Rabbit mAb #24307. The virtual lane view (left) shows the target band (as indicated) at 1:10 and 1:50 dilutions of primary antibody. The corresponding electropherogram view (right) plots chemiluminescence by molecular weight along the capillary at 1:10 (blue line) and 1:50 (green line) dilutions of primary antibody. This experiment was performed under reducing conditions on the JessTM Simple Western instrument from ProteinSimple, a BioTechne brand, using the 12-230 kDa separation module.
undefined Image 11: beta-Amyloid Mouse Model Neuronal Viability IF Antibody Sampler Kit
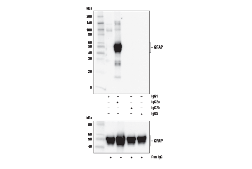
Western blot analysis of extracts from mouse brain using GFAP (E6N9L) Mouse mAb as the primary antibody. Various anti-mouse isotype specific antibodies (upper) and Anti-mouse IgG, HRP-linked Antibody #7076 (lower) were used as secondary antibodies.
undefined Image 12: beta-Amyloid Mouse Model Neuronal Viability IF Antibody Sampler Kit
Orders: 877-616-CELL (2355) [email protected] Support: 877-678-TECH (8324) [email protected] Web: cellsignal.com
For Research Use Only. Not for Use in Diagnostic Procedures.

Revision 6

Cell Signaling Technology Logo
Confocal immunofluorescent analysis of rat cerebellum and retina using PSD95 (D27E11) XP® Rabbit mAb (red) and Neurofilament-L (DA2) Mouse mAb #2835 (green). Blue pseudocolor = DRAQ5® #4084 (fluorescent DNA dye).
undefined Image 13: beta-Amyloid Mouse Model Neuronal Viability IF Antibody Sampler Kit
Immunohistochemical analysis of paraffin-embedded mouse spleen using HS1 (D5A9) XP® Rabbit mAb.
undefined Image 14: beta-Amyloid Mouse Model Neuronal Viability IF Antibody Sampler Kit
Western blot analysis of the indicated amounts of human Aβ-42 (left) and Aβ-40 (right) peptides using β-Amyloid (D54D2) XP® Rabbit mAb.
undefined Image 15: beta-Amyloid Mouse Model Neuronal Viability IF Antibody Sampler Kit
Orders: 877-616-CELL (2355) [email protected] Support: 877-678-TECH (8324) [email protected] Web: cellsignal.com
For Research Use Only. Not for Use in Diagnostic Procedures.

Revision 6

Cell Signaling Technology Logo
Immunohistochemical analysis of paraffin-embedded human tonsil, showing cytoplasmic and perinuclear localization in apoptotic cells (low and high magnification), using Cleaved Caspase-3 (Asp175) Antibody.
undefined Image 16: beta-Amyloid Mouse Model Neuronal Viability IF Antibody Sampler Kit
Confocal immunofluorescent analysis of brain sections from 13-month old wild-type (left) and Tg2576 (center) mice using β-Amyloid (D3D2N) Mouse mAb (green) and β3-Tubulin (D71G9) XP® Rabbit mAb #5568 (red). A detailed view of a cortical β-amyloid plaque is shown on the right. Blue pseudocolor = DRAQ5® #4084 (fluorescent DNA dye).
undefined Image 17: beta-Amyloid Mouse Model Neuronal Viability IF Antibody Sampler Kit
Immunohistochemical analysis of paraffin-embedded mouse cerebellum using NeuN (D4G4O) XP® Rabbit mAb.
undefined Image 18: beta-Amyloid Mouse Model Neuronal Viability IF Antibody Sampler Kit
Orders: 877-616-CELL (2355) [email protected] Support: 877-678-TECH (8324) [email protected] Web: cellsignal.com
For Research Use Only. Not for Use in Diagnostic Procedures.

Revision 6

Cell Signaling Technology Logo
Immunoprecipitation of GFAP protein from mouse brain tissue extracts. Lane 1 is 10% input, lane 2 is Mouse (E5Y6Q) mAb IgG2a Isotype Control #61656, and lane 3 is GFAP (E6N9L) Mouse mAb. Western blot analysis was performed GFAP (E6N9L) Mouse mAb.
undefined Image 19: beta-Amyloid Mouse Model Neuronal Viability IF Antibody Sampler Kit
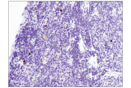
Immunohistochemical analysis of paraffin-embedded LL2 syngeneic tumor using HS1 (D5A9) XP® Rabbit mAb.
undefined Image 20: beta-Amyloid Mouse Model Neuronal Viability IF Antibody Sampler Kit
Western blot analysis of human Aβ-42 peptide (1 ng) and human cerebrospinal fluid (CSF) of an AD patient using β-Amyloid (D54D2) XP® Rabbit mAb.
undefined Image 21: beta-Amyloid Mouse Model Neuronal Viability IF Antibody Sampler Kit
Orders: 877-616-CELL (2355) [email protected] Support: 877-678-TECH (8324) [email protected] Web: cellsignal.com
For Research Use Only. Not for Use in Diagnostic Procedures.

Revision 6

Cell Signaling Technology Logo
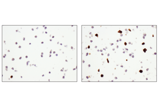
Immunohistochemical analysis using Cleaved caspase-3 (Asp175) antibody on SignalSlide™ Cleaved Caspase-3 IHC controls #8104 (paraffin-embedded Jurkat cells, untreated (left) or etoposide-treated (right)).
undefined Image 22: beta-Amyloid Mouse Model Neuronal Viability IF Antibody Sampler Kit
Immunohistochemical analysis of paraffin-embedded cynomolgus monkey brain using NeuN (D4G4O) XP® Rabbit mAb.
undefined Image 23: beta-Amyloid Mouse Model Neuronal Viability IF Antibody Sampler Kit
Confocal immunofluorescent analysis of mouse Tg2576 brain, which overexpresses mutant human APP695. Sections were labeled with GFAP (E6N9L) Mouse mAb (green, mouse IgG2a), β-Amyloid (D3D2N) Mouse mAb #15126 (red, mouse IgG1), and HS1 (D5A9) XP® Rabbit mAb (Rodent Specific) #3892 (magenta, rabbit IgG). Samples were mounted in ProLong® Gold Antifade Reagent with DAPI #8961 (blue).
undefined Image 24: beta-Amyloid Mouse Model Neuronal Viability IF Antibody Sampler Kit
Orders: 877-616-CELL (2355) [email protected] Support: 877-678-TECH (8324) [email protected] Web: cellsignal.com
For Research Use Only. Not for Use in Diagnostic Procedures.

Revision 6

Cell Signaling Technology Logo
Confocal immunofluorescent analysis of fixed frozen mouse cortex from wild-type (left) or an amyloid mouse model of Alzheimer's disease (right) using HS1 (D5A9) XP® Rabbit mAb (green). After blocking free secondary antibody binding sites with Rabbit (DA1E) mAb IgG XP® Isotype Control #3900, the tissue was then labeled using β-Amyloid (D54D2) XP® Rabbit mAb (Alexa Fluor® 594 Conjugate) #35363 (red) and ProLong® Gold Antifade Reagent with DAPI #8961 (blue).
undefined Image 25: beta-Amyloid Mouse Model Neuronal Viability IF Antibody Sampler Kit
Immunohistochemical analysis of paraffin-embedded mouse embryo, using Cleaved Caspase-3 (Asp175) Antibody preincubated with control peptide (left) or Cleaved Caspase-3 (Asp175) Blocking Peptide #1050 (right).
undefined Image 26: beta-Amyloid Mouse Model Neuronal Viability IF Antibody Sampler Kit
Immunohistochemical analysis of paraffin-embedded mouse colon (myenteric plexus) using NeuN (D4G4O) XP® Rabbit mAb.
undefined Image 27: beta-Amyloid Mouse Model Neuronal Viability IF Antibody Sampler Kit
Orders: 877-616-CELL (2355) [email protected] Support: 877-678-TECH (8324) [email protected] Web: cellsignal.com
For Research Use Only. Not for Use in Diagnostic Procedures.

Revision 6

Cell Signaling Technology Logo
Confocal immunofluorescent analysis of mouse Tg2576 brain which overexpresses mutant human APP695. Sections were first labeled with HS1 (D5A9) XP® Rabbit mAb (green) and APP/β-Amyloid (NAB228) Mouse mAb #2450 (yellow). After blocking free secondary binding sites with Mouse (G3A1) mAb IgG1 Isotype Control #5415, sections were incubated with GFAP (GA5) Mouse mAb (Alexa Fluor® 647 Conjugate) #3657 (red). Nuclei were labeled with Hoechst 33342 #4082 (blue).
undefined Image 28: beta-Amyloid Mouse Model Neuronal Viability IF Antibody Sampler Kit
Confocal immunofluorescent analysis of mouse subicular cortex from an amyloid mouse model of Alzheimer's Disease using β-Amyloid (D54D2) XP® Rabbit mAb #8243 (green) and GFAP (GA5) Mouse mAb #3670 (red). Samples were mounted in ProLong® Gold Antifade Reagent with DAPI #8961 (blue).
undefined Image 29: beta-Amyloid Mouse Model Neuronal Viability IF Antibody Sampler Kit
Immunohistochemical analysis of paraffin-embedded human glioblastoma multiform using NeuN (D4G4O) XP® Rabbit mAb.
undefined Image 30: beta-Amyloid Mouse Model Neuronal Viability IF Antibody Sampler Kit
Orders: 877-616-CELL (2355) [email protected] Support: 877-678-TECH (8324) [email protected] Web: cellsignal.com
For Research Use Only. Not for Use in Diagnostic Procedures.

Revision 6

Cell Signaling Technology Logo
Confocal immunofluorescent analysis of U-251 MG cells (left, positive) or HeLa cells (right, negative) using GFAP (E6N9L) Mouse mAb #34001 (green), DyLight™ 650 Phalloidin #12956 (red), and DAPI #4083 (blue).
undefined Image 31: beta-Amyloid Mouse Model Neuronal Viability IF Antibody Sampler Kit
Confocal immunofluorescent analysis of 32D cells (left) and C2C12 cells (right), using HS1 (D5A9) XP® Rabbit mAb (green). Blue pseudocolor = DRAQ5® #4084 (fluorescent DNA dye).
undefined Image 32: beta-Amyloid Mouse Model Neuronal Viability IF Antibody Sampler Kit
Confocal immunofluorescent images of HT-29 cells, untreated (left) or Staurosporine #9953 treated (right), labeled with Cleaved Caspase-3 (Asp175) Antibody (green). Actin filaments have been labeled with Alexa Fluor® 555 phalloidin #8953 (red). Blue pseudocolor = DRAQ5® (fluorescent DNA dye).
undefined Image 33: beta-Amyloid Mouse Model Neuronal Viability IF Antibody Sampler Kit
Orders: 877-616-CELL (2355) [email protected] Support: 877-678-TECH (8324) [email protected] Web: cellsignal.com
For Research Use Only. Not for Use in Diagnostic Procedures.

Revision 6

Cell Signaling Technology Logo
Confocal immunofluorescent analysis of mouse hippocampus (left), cortex (middle), and cerebellum (right) using NeuN (D4G4O) XP® Rabbit mAb (green). Actin filaments were labeled with DyLight™ 554 Phalloidin #13054 (red). Blue pseudocolor = DRAQ5® #4084 (fluorescent DNA dye).
undefined Image 34: beta-Amyloid Mouse Model Neuronal Viability IF Antibody Sampler Kit
Flow cytometric analysis of NIH/3T3 cells (blue, negative) and 32D clone 3 cells (green, positive) using HS1 (D5A9) XP® Rabbit mAb (solid lines) or concentration-matched Rabbit (DA1E) mAb IgG XP® Isotype Control #3900 (dashed lines). Anti-rabbit IgG (H+L), F(ab')2 Fragment (Alexa Fluor® 488 Conjugate) #4412 was used as a secondary antibody.
undefined Image 35: beta-Amyloid Mouse Model Neuronal Viability IF Antibody Sampler Kit
Flow cytometric analysis of Jurkat cells, untreated (blue) or treated with etoposide #2200 (green), using Cleaved Caspase-3 (Asp175) Antibody compared to a nonspecific negative control antibody (red).
undefined Image 36: beta-Amyloid Mouse Model Neuronal Viability IF Antibody Sampler Kit
Orders: 877-616-CELL (2355) [email protected] Support: 877-678-TECH (8324) [email protected] Web: cellsignal.com
For Research Use Only. Not for Use in Diagnostic Procedures.

Revision 6

Cell Signaling Technology Logo
Simple Western™ analysis of lysates (0.1 mg/mL) from mouse brain using PSD95 (D27E11) XP® Rabbit mAb #3450. The virtual lane view (left) shows the target band (as indicated) at 1:10 and 1:50 dilutions of primary antibody. The corresponding electropherogram view (right) plots chemiluminescence by molecular weight along the capillary at 1:10 (blue line) and 1:50 (green line) dilutions of primary antibody. This experiment was performed under reducing conditions on the Jess™ Simple Western instrument from ProteinSimple, a BioTechne brand, using the 66-440 kDa separation module.
undefined Image 37: beta-Amyloid Mouse Model Neuronal Viability IF Antibody Sampler Kit
Confocal immunofluorescent analysis of human iPSC-derived cortical glutamatergic neurons at 7 days in vitro using PSD95 (D27E11) XP® Rabbit mAb (green), β3-Tubulin (E9F3E) Mouse mAb #45058 (red), and DAPI #4083 (blue). iCell GlutaNeurons were kindly provided by FUJIFILM Cellular Dynamics, Inc.
undefined Image 38: beta-Amyloid Mouse Model Neuronal Viability IF Antibody Sampler Kit
Immunoprecipitation of HS1 protein from We-HI231 cell extracts. Lane 1 is HS1 (D5A9) XP® Rabbit mAb, lane 2 is Rabbit (DA1E) mAb IgG XP® Isotype Control #3900, and lane 3 is 10% input. Western blot analysis was performed using HS1 (D5A9) XP® Rabbit mAb #3892. Anti-rabbit IgG, HRP-linked Antibody #7074 was used as a secondary antibody.
undefined Image 39: beta-Amyloid Mouse Model Neuronal Viability IF Antibody Sampler Kit
Orders: 877-616-CELL (2355) [email protected] Support: 877-678-TECH (8324) [email protected] Web: cellsignal.com
For Research Use Only. Not for Use in Diagnostic Procedures.

Revision 6

Cell Signaling Technology Logo
Western blot analysis of extracts from serum-starved H-4-II-E cells, untreated (-) or treated with Staurosporine #9953 (1 μM, 6 hr; +), using Cleaved PARP (Asp214) (D6X6X) Rabbit mAb (Rodent Specific) (upper) or β-Actin (D6A8) Rabbit mAb #8457 (lower).
undefined Image 40: beta-Amyloid Mouse Model Neuronal Viability IF Antibody Sampler Kit
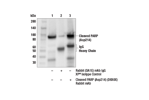
Immunoprecipitation of Cleaved PARP (Asp214) from Neuro-2a cell extracts treated with Staurosporine #9953 (1 μM, 3 hr). Lane 1 is 10% input, lane 2 is Rabbit (DA1E) mAb IgG XP® Isotype Control #3900, and lane 3 is Cleaved PARP (Asp214) (D6X6X) Rabbit mAb (Rodent Specific). Western blot was perform using Cleaved PARP (Asp214) (D6X6X) Rabbit mAb (Rodent Specific). Anti-rabbit IgG, HRP-linked Antibody #7074 was used as a secondary antibody.
undefined Image 41: beta-Amyloid Mouse Model Neuronal Viability IF Antibody Sampler Kit
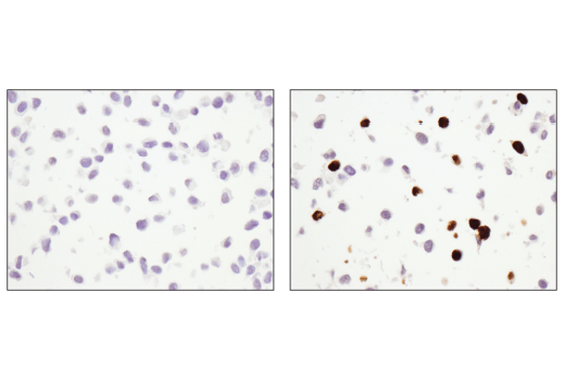
Immunohistochemical analysis of paraffin-embedded 3T3 cell pellet, untreated (left, negative) or treated with Staurosporine #9953 (right, positive), using Cleaved PARP (Asp214)(D6X6X) mAb (Rodent Specific).
undefined Image 42: beta-Amyloid Mouse Model Neuronal Viability IF Antibody Sampler Kit
Orders: 877-616-CELL (2355) [email protected] Support: 877-678-TECH (8324) [email protected] Web: cellsignal.com
For Research Use Only. Not for Use in Diagnostic Procedures.

Revision 6

Cell Signaling Technology Logo
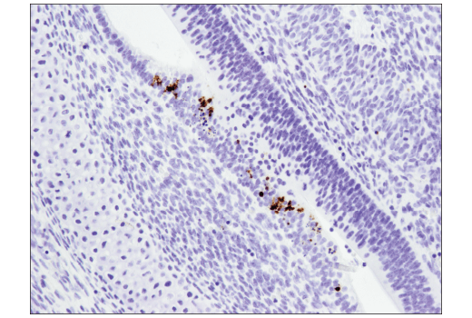
Immunohistochemical analysis of paraffin-embedded E14 rat embryo using Cleaved PARP (Asp214)(D6X6X) mAb (Rodent Specific).
undefined Image 43: beta-Amyloid Mouse Model Neuronal Viability IF Antibody Sampler Kit
Immunohistochemical analysis of paraffin-embedded H-4-II-E cell pellet, untreated (left, negative) or treated with Staurosporine #9953 (right, positive), using Cleaved PARP (Asp214)(D6X6X) mAb (Rodent Specific).
undefined Image 44: beta-Amyloid Mouse Model Neuronal Viability IF Antibody Sampler Kit
Immunohistochemical analysis of paraffin-embedded mouse ovary using Cleaved PARP (Asp214)(D6X6X) mAb (Rodent Specific).
undefined Image 45: beta-Amyloid Mouse Model Neuronal Viability IF Antibody Sampler Kit
Orders: 877-616-CELL (2355) [email protected] Support: 877-678-TECH (8324) [email protected] Web: cellsignal.com
For Research Use Only. Not for Use in Diagnostic Procedures.

Revision 6

Cell Signaling Technology Logo
Immunohistochemical analysis of paraffin-embedded mouse spleen using Cleaved PARP (Asp214)(D6X6X) mAb (Rodent Specific).
undefined Image 46: beta-Amyloid Mouse Model Neuronal Viability IF Antibody Sampler Kit
Confocal immunofluorescent analysis of Neuro-2a cells, untreated (left, negative) or treated with Staurosporine #9953 (1 μM, 3 hr; right, positive), using Cleaved PARP (Asp214) (D6X6X) Rabbit mAb (Rodent Specific) (green). Actin filaments were labeled with DyLight™ 554 Phalloidin #13054 (red). Blue pseudocolor = DRAQ5® #4084 (fluorescent DNA dye).
undefined Image 47: beta-Amyloid Mouse Model Neuronal Viability IF Antibody Sampler Kit
Flow cytometric analysis of serum-starved Neuro-2a cells, untreated (blue) or treated with Staurosporine #9953 (1 μM, 3 hr; green), using Cleaved PARP (Asp214) (D6X6X) Rabbit mAb (Rodent Specific) (solid lines) or concentration-matched Rabbit (DA1E) mAb IgG XP® Isotype Control #3900 (dashed lines). Anti-rabbit IgG (H+L), F(ab')2 Fragment (Alexa Fluor® 488 Conjugate) #4412 was used as a secondary antibody.
undefined Image 48: beta-Amyloid Mouse Model Neuronal Viability IF Antibody Sampler Kit
Orders: 877-616-CELL (2355) [email protected] Support: 877-678-TECH (8324) [email protected] Web: cellsignal.com
For Research Use Only. Not for Use in Diagnostic Procedures.

Revision 6

Cell Signaling Technology Logo
Flow cytometric analysis of serum-starved H-4-II-E cells, untreated (blue) or treated with Staurosporine #9953 (1 μM, 3 hr; green), using Cleaved PARP (Asp214) (D6X6X) Rabbit mAb (Rodent Specific) (solid lines) or concentration-matched Rabbit (DA1E) mAb IgG XP® Isotype Control #3900 (dashed lines). Anti-rabbit IgG (H+L), F(ab')2 Fragment (Alexa Fluor® 488 Conjugate) #4412 was used as a secondary antibody.
undefined Image 49: beta-Amyloid Mouse Model Neuronal Viability IF Antibody Sampler Kit
Confocal immunofluorescent analysis of fixed frozen E14 mouse embryo digit labeled with Cleaved PARP (Asp214) (D6X6X) Rabbit Monoclonal Antibody (green), TUNEL Assay Kit (Fluorescence, 640 nm) #64936 (red), and ProLong Gold Antifade Reagent with DAPI #8961 (blue).
undefined Image 50: beta-Amyloid Mouse Model Neuronal Viability IF Antibody Sampler Kit
Immunoprecipitation of cleaved caspase-3 from Jurkat extracts treated with Etoposide #2200 (25 mM; 5 hr). Lane 1 is 10% input, lane 2 is Rabbit (DA1E) mAb IgG XP® Isotype Control #3900, and lane 3 is Cleaved Caspase-3 (Asp175) Antibody. Western blot analysis was performed using Cleaved Caspase-3 (Asp175) Antibody. Anti-rabbit IgG, HRP-linked Antibody #7074 was used as a secondary antibody.
undefined Image 51: beta-Amyloid Mouse Model Neuronal Viability IF Antibody Sampler Kit
Orders: 877-616-CELL (2355) [email protected] Support: 877-678-TECH (8324) [email protected] Web: cellsignal.com
For Research Use Only. Not for Use in Diagnostic Procedures.

Revision 6

Cell Signaling Technology Logo
Simple Western™ analysis of lysates (0.1 mg/mL) from Jurkat cells treated with Cytochrome C using Cleaved Caspase-3 (Asp175) Antibody #9661. The virtual lane view (left) shows two target bands (as indicated) at 1:10 and 1:50 dilutions of primary antibody. The corresponding electropherogram view (right) plots chemiluminescence by molecular weight along the capillary at 1:10 (blue line) and 1:50 (green line) dilutions of primary antibody. This experiment was performed under reducing conditions on the Jess™ Simple Western instrument from ProteinSimple, a BioTechne brand, using the 12-230 kDa separation module.
undefined Image 52: beta-Amyloid Mouse Model Neuronal Viability IF Antibody Sampler Kit
Orders: 877-616-CELL (2355) [email protected] Support: 877-678-TECH (8324) [email protected] Web: cellsignal.com
For Research Use Only. Not for Use in Diagnostic Procedures.