Revision 1

#76486

Store at -20C

CST Logo
Orders:

877-616-CELL (2355)

[email protected]

Support:

877-678-TECH (8324)

3 Trask Lane | Danvers | Massachusetts | 01923 | USA

For Research Use Only. Not for Use in Diagnostic Procedures.

Applications:
W, IHC-P, IF-F

Reactivity:
H

Sensitivity:
Endogenous

MW (kDa):
4

Source/Isotype:
Rabbit IgG

UniProt ID:
#P05067

Entrez-Gene Id:
351

Product Usage Information

This product is the carrier free version of product #14975. All data were generated using the same antibody clone in the standard formulation which contains BSA and glycerol.

This formulation is ideal for use with technologies requiring specialized or custom antibody labeling, including fluorophores, metals, lanthanides, and oligonucleotides. It is not recommended for ChIP, ChIP-seq, CUT&RUN or CUT&Tag assays. If you require a carrier free formulation for chromatin profiling, please contact us. Optimal dilutions/concentrations should be determined by the end user.

BSA and Azide Free antibodies are quality control tested by size exclusion chromatography (SEC) to determine antibody integrity.

Formulation

Supplied in 1X PBS (10 mM Na2HPO4, 3 mM KCl, 2 mM KH2PO4, and 140 mM NaCl (pH 7.8)). BSA and Azide Free.

For standard formulation of this product see product #14975

Storage

Store at -20°C. This product will freeze at -20°C so it is recommended to aliquot into single-use vials to avoid multiple freeze/thaw cycles. A slight precipitate may be present and can be dissolved by gently vortexing. This will not interfere with antibody performance.

Specificity/Sensitivity

beta-Amyloid (pE3 Peptide) (D5N5H) Rabbit Monoclonal Antibody (BSA and Azide Free) recognizes recombinant pE3 form of β-amyloid peptides. This antibody does not cross-react with the non-pyroglutamate (E3) form of β-amyloid peptides.

Source / Purification

Monoclonal antibodies are produced by immunizing animals with a synthetic peptide corresponding to residues near the amino terminus of β-amyloid (pE3) peptide.

Background

Amyloid β (Aβ) precursor protein (APP) is a 100-140 kDa transmembrane glycoprotein that exists as several isoforms (1). The amino acid sequence of APP contains the amyloid domain, which can be released by a two-step proteolytic cleavage (1). The extracellular deposition and accumulation of the released Aβ fragments form the main components of amyloid plaques in Alzheimer's disease (1). APP can be phosphorylated at several sites, which may affect the proteolytic processing and secretion of this protein (2-5). Phosphorylation at Thr668 (a position corresponding to the APP695 isoform) by cyclin-dependent kinase is cell-cycle dependent and peaks during G2/M phase (4). APP phosphorylated at Thr668 exists in adult rat brain and correlates with cultured neuronal differentiation (5,6).
Aβ peptides can be further modified by amino-terminal truncation that exposes a free glutamate residue to the enzyme glutaminyl cyclase, which catalyzes the formation of an amino-terminal pyroglutamate (pE) (7,8). Aβ (pE3) peptides exhibit increased stability relative to non-modified peptides due to an enhanced resistance to peptidase-mediated degradation (9) and a higher propensity to form β-sheets and aggregate (10). Antibodies targeting Aβ (pE3) peptides may be plaque-specific as there is no evidence for circulating Aβ (pE3) peptides (11).

Species Reactivity

Species reactivity is determined by testing in at least one approved application (e.g., western blot).

Applications Key

W: Western Blotting IHC-P: Immunohistochemistry (Paraffin) IF-F: Immunofluorescence (Frozen)

Cross-Reactivity Key

H: Human

Trademarks and Patents

Cell Signaling Technology is a trademark of Cell Signaling Technology, Inc.

SignalStain is a registered trademark of Cell Signaling Technology, Inc.

All other trademarks are the property of their respective owners. Visit cellsignal.com/trademarks for more information.

Limited Uses

Except as otherwise expressly agreed in a writing signed by a legally authorized representative of CST, the following terms apply to Products provided by CST, its affiliates or its distributors. Any Customer's terms and conditions that are in addition to, or different from, those contained herein, unless separately accepted in writing by a legally authorized representative of CST, are rejected and are of no force or effect.

Products are labeled with For Research Use Only or a similar labeling statement and have not been approved, cleared, or licensed by the FDA or other regulatory foreign or domestic entity, for any purpose. Customer shall not use any Product for any diagnostic or therapeutic purpose, or otherwise in any manner that conflicts with its labeling statement. Products sold or licensed by CST are provided for Customer as the end-user and solely for research and development uses. Any use of Product for diagnostic, prophylactic or therapeutic purposes, or any purchase of Product for resale (alone or as a component) or other commercial purpose, requires a separate license from CST. Customer shall (a) not sell, license, loan, donate or otherwise transfer or make available any Product to any third party, whether alone or in combination with other materials, or use the Products to manufacture any commercial products, (b) not copy, modify, reverse engineer, decompile, disassemble or otherwise attempt to discover the underlying structure or technology of the Products, or use the Products for the purpose of developing any products or services that would compete with CST products or services, (c) not alter or remove from the Products any trademarks, trade names, logos, patent or copyright notices or markings, (d) use the Products solely in accordance with CST Product Terms of Sale and any applicable documentation, and (e) comply with any license, terms of service or similar agreement with respect to any third party products or services used by Customer in connection with the Products.

Orders: 877-616-CELL (2355) [email protected] Support: 877-678-TECH (8324) [email protected] Web: cellsignal.com
For Research Use Only. Not for Use in Diagnostic Procedures.

Revision 1

Cell Signaling Technology Logo
β-Amyloid (pE3 Peptide) (D5N5H) Rabbit mAb specificity is demonstrated using peptide dot blot. β-Amyloid (pE3 Peptide) (D5N5H) Rabbit mAb binds to pre-coated β-amyloid (pE3) peptide but not to β-amyloid (E3) peptide or scrambled β-amyloid (pE3) peptide. Data were generated using the standard formulation of this product.
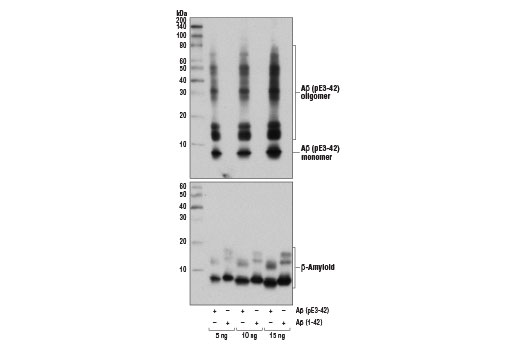
Western Blotting Image 1: beta-Amyloid (pE3 Peptide) (D5N5H) Rabbit Monoclonal Antibody (BSA and Azide Free)
Western blot analysis of the indicated amounts of human Aβ (pE3-42) and Aβ (1-42) peptides using β-Amyloid (pE3 Peptide) (D5N5H) Rabbit mAb (upper) and β-Amyloid (1-42) (D3E10) Rabbit mAb #12843 (lower). Data were generated using the standard formulation of this product.
Western Blotting Image 2: beta-Amyloid (pE3 Peptide) (D5N5H) Rabbit Monoclonal Antibody (BSA and Azide Free)
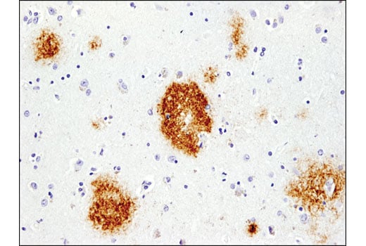
Immunohistochemical analysis of paraffin-embedded human Alzheimer's brain using β-Amyloid (pE3 Peptide) (D5N5H) Rabbit mAb. Data were generated using the standard formulation of this product.
Immunohistochemistry Image 1: beta-Amyloid (pE3 Peptide) (D5N5H) Rabbit Monoclonal Antibody (BSA and Azide Free)
Orders: 877-616-CELL (2355) [email protected] Support: 877-678-TECH (8324) [email protected] Web: cellsignal.com
For Research Use Only. Not for Use in Diagnostic Procedures.

Revision 1

Cell Signaling Technology Logo
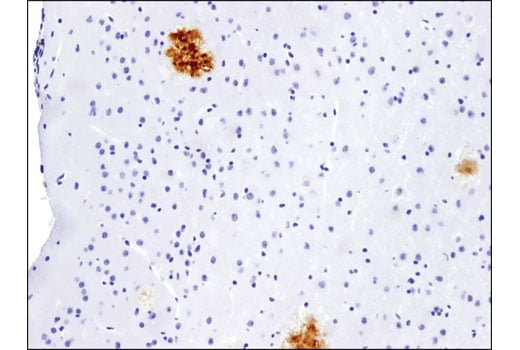
Immunohistochemical analysis of paraffin-embedded Tg2576 mouse model of Alzheimer's brain using β-Amyloid (pE3 Peptide) (D5N5H) Rabbit mAb. Data were generated using the standard formulation of this product.
Immunohistochemistry Image 2: beta-Amyloid (pE3 Peptide) (D5N5H) Rabbit Monoclonal Antibody (BSA and Azide Free)
Confocal immunofluorescent analysis of wild-type (left) and Tg2576 mouse model of Alzheimer's brain (right) using β-Amyloid (pE3 Peptide) (D5N5H) Rabbit mAb (green) and β3-Tubulin (TU-20) Mouse mAb #4466 (red). Blue pseudocolor = DRAQ5® #4084 (fluorescent DNA dye). Data were generated using the standard formulation of this product.
Immunofluorescence Image 1: beta-Amyloid (pE3 Peptide) (D5N5H) Rabbit Monoclonal Antibody (BSA and Azide Free)
Orders: 877-616-CELL (2355) [email protected] Support: 877-678-TECH (8324) [email protected] Web: cellsignal.com
For Research Use Only. Not for Use in Diagnostic Procedures.