Revision 4

#77622

Store at -20C

CST Logo
Orders:

877-616-CELL (2355)

[email protected]

Support:

877-678-TECH (8324)

3 Trask Lane | Danvers | Massachusetts | 01923 | USA

For Research Use Only. Not for Use in Diagnostic Procedures.

Applications:
W, IP, IHC-P

Reactivity:
H M R Mk

Sensitivity:
Endogenous

MW (kDa):
86

Source/Isotype:
Mouse IgG2a kappa

UniProt ID:
#P15056

Entrez-Gene Id:
673

Product Usage Information

Application Dilution
Western Blotting 1:1000
Immunoprecipitation 1:200
Immunohistochemistry (Paraffin) 1:100 - 1:400

Storage

Supplied in 10 mM sodium HEPES (pH 7.5), 150 mM NaCl, 100 µg/mL BSA, 50% glycerol, and less than 0.02% sodium azide. Store at –20°C. Do not aliquot the antibody.

For a carrier free (BSA and azide free) version of this product see product #60407.

Specificity/Sensitivity

B-Raf (E3T5C) Mouse Monoclonal Antibody recognizes endogenous levels of total B-Raf protein.

Source / Purification

Monoclonal antibody is produced by immunizing animals with a synthetic peptide corresponding to residues surrounding Gln356 of human B-Raf protein.

Background

A-Raf, B-Raf, and c-Raf (Raf-1) are the main effectors recruited by GTP-bound Ras to activate the MEK-MAP kinase pathway (1). Activation of c-Raf is the best understood and involves phosphorylation at multiple activating sites, including Ser338, Tyr341, Thr491, Ser494, Ser497, and Ser499 (2). p21-activated kinase (PAK) has been shown to phosphorylate c-Raf at Ser338, and the Src family phosphorylates Tyr341 to induce c-Raf activity (3,4). Ser338 of c-Raf corresponds to similar sites in A-Raf (Ser299) and B-Raf (Ser446), although this site is constitutively phosphorylated in B-Raf (5). Inhibitory 14-3-3 binding sites on c-Raf (Ser259 and Ser621) can be phosphorylated by Akt and AMPK, respectively (6,7). While A-Raf, B-Raf, and c-Raf are similar in sequence and function, differential regulation has been observed (8). Of particular interest, B-Raf contains three consensus Akt phosphorylation sites (Ser365, Ser429, and Thr440) and lacks a site equivalent to Tyr341 of c-Raf (8,9). Research studies have shown that the B-Raf mutation V600E results in elevated kinase activity and is commonly found in malignant melanoma (10). Six residues of c-Raf (Ser29, Ser43, Ser289, Ser296, Ser301, and Ser642) become hyperphosphorylated in a manner consistent with c-Raf inactivation. The hyperphosphorylation of these six sites is dependent on downstream MEK signaling and renders c-Raf unresponsive to subsequent activation events (11).

Species Reactivity

Species reactivity is determined by testing in at least one approved application (e.g., western blot).

Western Blot Buffer

IMPORTANT: For western blots, incubate membrane with diluted primary antibody in 5% w/v nonfat dry milk, 1X TBS, 0.1% Tween® 20 at 4°C with gentle shaking, overnight.

Applications Key

W: Western Blotting IP: Immunoprecipitation IHC-P: Immunohistochemistry (Paraffin)

Cross-Reactivity Key

H: Human M: Mouse R: Rat Mk: Monkey

Trademarks and Patents

Cell Signaling Technology is a trademark of Cell Signaling Technology, Inc.

SignalStain is a registered trademark of Cell Signaling Technology, Inc.

All other trademarks are the property of their respective owners. Visit cellsignal.com/trademarks for more information.

Limited Uses

Except as otherwise expressly agreed in a writing signed by a legally authorized representative of CST, the following terms apply to Products provided by CST, its affiliates or its distributors. Any Customer's terms and conditions that are in addition to, or different from, those contained herein, unless separately accepted in writing by a legally authorized representative of CST, are rejected and are of no force or effect.

Products are labeled with For Research Use Only or a similar labeling statement and have not been approved, cleared, or licensed by the FDA or other regulatory foreign or domestic entity, for any purpose. Customer shall not use any Product for any diagnostic or therapeutic purpose, or otherwise in any manner that conflicts with its labeling statement. Products sold or licensed by CST are provided for Customer as the end-user and solely for research and development uses. Any use of Product for diagnostic, prophylactic or therapeutic purposes, or any purchase of Product for resale (alone or as a component) or other commercial purpose, requires a separate license from CST. Customer shall (a) not sell, license, loan, donate or otherwise transfer or make available any Product to any third party, whether alone or in combination with other materials, or use the Products to manufacture any commercial products, (b) not copy, modify, reverse engineer, decompile, disassemble or otherwise attempt to discover the underlying structure or technology of the Products, or use the Products for the purpose of developing any products or services that would compete with CST products or services, (c) not alter or remove from the Products any trademarks, trade names, logos, patent or copyright notices or markings, (d) use the Products solely in accordance with CST Product Terms of Sale and any applicable documentation, and (e) comply with any license, terms of service or similar agreement with respect to any third party products or services used by Customer in connection with the Products.

Orders: 877-616-CELL (2355) [email protected] Support: 877-678-TECH (8324) [email protected] Web: cellsignal.com
For Research Use Only. Not for Use in Diagnostic Procedures.

Revision 4

Cell Signaling Technology Logo
Western blot analysis of extracts from SK-MEL-28 cells, untreated (-) or treated with 17-AAG #8132 (1 μM, 24 hr; +), using B-Raf (E3T5C) Mouse mAb (upper) or GAPDH (D16H11) XP® Rabbit mAb #5174 (lower). The reduction in B-Raf protein levels in SK-MEL-28 cells treated with the HSP90 inhibitor 17-AAG is consistent with expected results. 
Western Blotting Image 1: B-Raf (E3T5C) Mouse Monoclonal Antibody
Western blot analysis of extracts from various cell lines using B-Raf (E3T5C) Mouse mAb (upper) or GAPDH (D16H11) XP® Rabbit mAb #5174 (lower).
Western Blotting Image 2: B-Raf (E3T5C) Mouse Monoclonal Antibody
Immunoprecipitation of B-Raf protein from K-562 cell extracts. Lane 1 is 10% input, lane 2 is Mouse (E5Y6Q) mAb IgG2a Isotype Control #61656, and lane 3 is B-Raf (E3T5C) Mouse mAb. Western blot analysis was performed using B-Raf (D9T6S) Rabbit mAb #14814. Anti-rabbit IgG, HRP-linked Antibody #7074 was used as the secondary antibody.
Immunoprecipitation Image 1: B-Raf (E3T5C) Mouse Monoclonal Antibody
Orders: 877-616-CELL (2355) [email protected] Support: 877-678-TECH (8324) [email protected] Web: cellsignal.com
For Research Use Only. Not for Use in Diagnostic Procedures.

Revision 4

Cell Signaling Technology Logo
Immunohistochemical analysis of paraffin-embedded human urothelial carcinoma using B-Raf (E3T5C) Mouse mAb.
Immunohistochemistry Image 1: B-Raf (E3T5C) Mouse Monoclonal Antibody
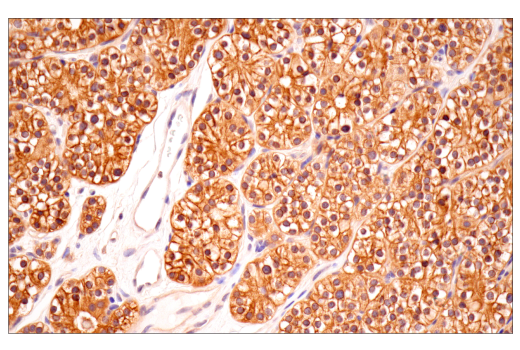
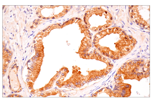
Immunohistochemical analysis of paraffin-embedded human prostate carcinoma using B-Raf (E3T5C) Mouse mAb.
Immunohistochemistry Image 2: B-Raf (E3T5C) Mouse Monoclonal Antibody
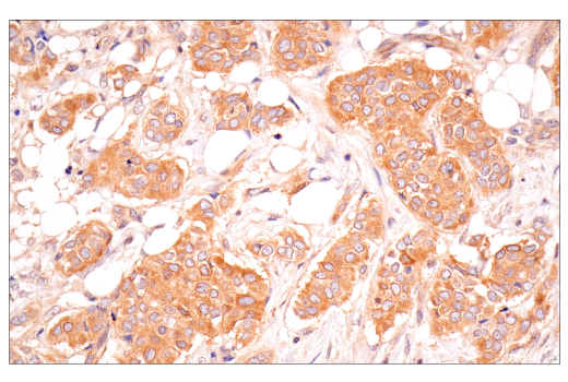
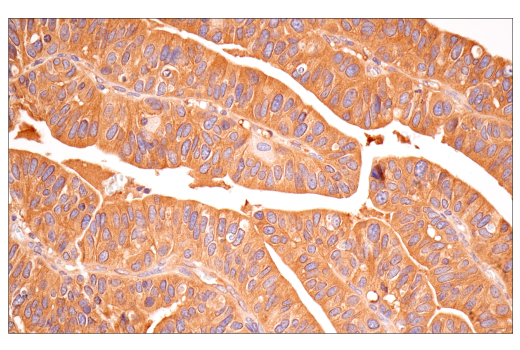
Immunohistochemical analysis of paraffin-embedded human ductal breast carcinoma using B-Raf (E3T5C) Mouse mAb.
Immunohistochemistry Image 3: B-Raf (E3T5C) Mouse Monoclonal Antibody
Orders: 877-616-CELL (2355) [email protected] Support: 877-678-TECH (8324) [email protected] Web: cellsignal.com
For Research Use Only. Not for Use in Diagnostic Procedures.

Revision 4

Cell Signaling Technology Logo
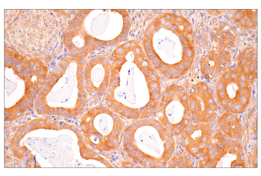
Immunohistochemical analysis of paraffin-embedded human endometrioid adenocarcinoma using B-Raf (E3T5C) Mouse mAb.
Immunohistochemistry Image 4: B-Raf (E3T5C) Mouse Monoclonal Antibody
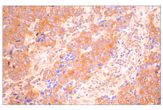
Immunohistochemical analysis of paraffin-embedded human small cell carcinoma of the salivary gland using B-Raf (E3T5C) Mouse mAb.
Immunohistochemistry Image 5: B-Raf (E3T5C) Mouse Monoclonal Antibody
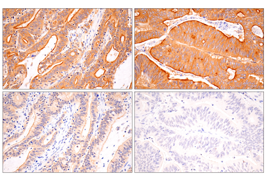
Immunohistochemical analysis of paraffin-embedded human colon carcinoma (left, B-Raf V600E positive) and human colon carcinoma (right, B-Raf V600E negative) using B-Raf (E3T5C) Mouse mAb (top) or B-Raf (V600E Mutant) (IHC600) Mouse mAb #29002 (bottom). Mutational status was confirmed by genomic sequencing.
Immunohistochemistry Image 6: B-Raf (E3T5C) Mouse Monoclonal Antibody
Orders: 877-616-CELL (2355) [email protected] Support: 877-678-TECH (8324) [email protected] Web: cellsignal.com
For Research Use Only. Not for Use in Diagnostic Procedures.

Revision 4

Cell Signaling Technology Logo
Immunohistochemical analysis of paraffin-embedded normal human parathyroid using B-Raf (E3T5C) Mouse mAb.
Immunohistochemistry Image 7: B-Raf (E3T5C) Mouse Monoclonal Antibody
Immunohistochemical analysis of paraffin-embedded normal human placenta using B-Raf (E3T5C) Mouse mAb.
Immunohistochemistry Image 8: B-Raf (E3T5C) Mouse Monoclonal Antibody
Immunohistochemical analysis of paraffin-embedded mouse hippocampus (left), pancreas (middle), and testis (right) using B-Raf (E3T5C) Mouse mAb (top) compared to secondary-only negative control (bottom).
Immunohistochemistry Image 9: B-Raf (E3T5C) Mouse Monoclonal Antibody
Orders: 877-616-CELL (2355) [email protected] Support: 877-678-TECH (8324) [email protected] Web: cellsignal.com
For Research Use Only. Not for Use in Diagnostic Procedures.

Revision 4

Cell Signaling Technology Logo
Immunohistochemical analysis of paraffin-embedded A-375 xenograft (left, B-Raf V600E positive) and MKN74 xenograft (right, B-Raf G466V positive) using B-Raf (E3T5C) Mouse mAb (top) or B-Raf (V600E Mutant) (IHC600) Mouse mAb #29002 (bottom).
Immunohistochemistry Image 10: B-Raf (E3T5C) Mouse Monoclonal Antibody
Immunohistochemical analysis of paraffin-embedded normal human testis using B-Raf (E3T5C) Mouse mAb (left) compared to concentration-matched Mouse (E5Y6Q) mAb IgG2a Isotype Control #61656 (right).
Immunohistochemistry Image 11: B-Raf (E3T5C) Mouse Monoclonal Antibody
Immunohistochemical analysis of paraffin-embedded SK-MEL-28 cell pellets, untreated (left) or treated with 17-AAG #8132 (1 μM, 4 hr; right), using B-Raf (E3T5C) Mouse mAb.
Immunohistochemistry Image 12: B-Raf (E3T5C) Mouse Monoclonal Antibody
Orders: 877-616-CELL (2355) [email protected] Support: 877-678-TECH (8324) [email protected] Web: cellsignal.com
For Research Use Only. Not for Use in Diagnostic Procedures.