Revision 5

#47847

Store at -20C

CST Logo
Orders:

877-616-CELL (2355)

[email protected]

Support:

877-678-TECH (8324)

3 Trask Lane | Danvers | Massachusetts | 01923 | USA

For Research Use Only. Not for Use in Diagnostic Procedures.

Applications:
W, IHC-P, IF-IC, FC-FP

Reactivity:
H Mk

Sensitivity:
Endogenous

MW (kDa):
12

Source/Isotype:
Rabbit IgG

UniProt ID:
#P61769

Entrez-Gene Id:
567

Product Usage Information

This product is the carrier free version of product #12851. All data were generated using the same antibody clone in the standard formulation which contains BSA and glycerol.

This formulation is ideal for use with technologies requiring specialized or custom antibody labeling, including fluorophores, metals, lanthanides, and oligonucleotides. It is not recommended for ChIP, ChIP-seq, CUT&RUN, or CUT&Tag assays. If you require a carrier-free formulation for chromatin profiling, please contact us. Optimal dilutions/concentrations should be determined by the end user.

BSA and Azide Free antibodies are quality control tested by size exclusion chromatography (SEC) to determine antibody integrity.

Formulation

Supplied in 1X PBS (10 mM Na2HPO4, 3 mM KCl, 2 mM KH2PO4, and 140 mM NaCl (pH 7.8)). BSA and Azide Free.

For standard formulation of this product see product #12851.

Storage

Store at -20°C. This product will freeze at -20°C so it is recommended to aliquot into single-use vials to avoid multiple freeze/thaw cycles. A slight precipitate may be present and can be dissolved by gently vortexing. This will not interfere with antibody performance.

Specificity/Sensitivity

beta2-microglobulin (D8P1H) Rabbit Monoclonal Antibody (BSA and Azide Free) recognizes endogenous levels of total β2-microglobulin protein.

Source / Purification

Monoclonal antibody is produced by immunizing animals with a synthetic peptide corresponding to residues surrounding Val57 of human β2-microglobulin protein.

Background

β2-microglobulin (B2M) is a principal component of the Major Histocompatibility Complex (MHC) class I molecule, a ternary membrane protein complex that displays fragments derived from proteolyzed cytosolic proteins on the surface of cells for recognition by the surveillance immune system (1,2). As an integral component of the MHC class I complex, β2-microglobulin plays a critically important role in immune system function (3). It has important relevance to cancer biology research; for example, research studies have shown that nearly one-third of diffuse large B cell lymphomas contain mutations that inactivate β2-microglobulin gene function, thereby allowing tumor cells to escape immune detection (4). In addition, β2-microglobulin has been identified as an amyloid preprotein with collagen-binding affinity (5); its accumulation in osteoarthritic lesions of long-term dialysis patients is reportedly a contributing factor to the condition known as amyloid osteoarthropathy (6).

Species Reactivity

Species reactivity is determined by testing in at least one approved application (e.g., western blot).

Applications Key

W: Western Blotting IHC-P: Immunohistochemistry (Paraffin) IF-IC: Immunofluorescence (Immunocytochemistry) FC-FP: Flow Cytometry (Fixed/Permeabilized)

Cross-Reactivity Key

H: Human Mk: Monkey

Trademarks and Patents

Cell Signaling Technology is a trademark of Cell Signaling Technology, Inc.

All other trademarks are the property of their respective owners. Visit cellsignal.com/trademarks for more information.

Limited Uses

Except as otherwise expressly agreed in a writing signed by a legally authorized representative of CST, the following terms apply to Products provided by CST, its affiliates or its distributors. Any Customer's terms and conditions that are in addition to, or different from, those contained herein, unless separately accepted in writing by a legally authorized representative of CST, are rejected and are of no force or effect.

Products are labeled with For Research Use Only or a similar labeling statement and have not been approved, cleared, or licensed by the FDA or other regulatory foreign or domestic entity, for any purpose. Customer shall not use any Product for any diagnostic or therapeutic purpose, or otherwise in any manner that conflicts with its labeling statement. Products sold or licensed by CST are provided for Customer as the end-user and solely for research and development uses. Any use of Product for diagnostic, prophylactic or therapeutic purposes, or any purchase of Product for resale (alone or as a component) or other commercial purpose, requires a separate license from CST. Customer shall (a) not sell, license, loan, donate or otherwise transfer or make available any Product to any third party, whether alone or in combination with other materials, or use the Products to manufacture any commercial products, (b) not copy, modify, reverse engineer, decompile, disassemble or otherwise attempt to discover the underlying structure or technology of the Products, or use the Products for the purpose of developing any products or services that would compete with CST products or services, (c) not alter or remove from the Products any trademarks, trade names, logos, patent or copyright notices or markings, (d) use the Products solely in accordance with CST Product Terms of Sale and any applicable documentation, and (e) comply with any license, terms of service or similar agreement with respect to any third party products or services used by Customer in connection with the Products.

Orders: 877-616-CELL (2355) [email protected] Support: 877-678-TECH (8324) [email protected] Web: cellsignal.com
For Research Use Only. Not for Use in Diagnostic Procedures.

Revision 5

Cell Signaling Technology Logo
Western blot analysis of extracts from various cell lines using β2-microglobulin (D8P1H) Rabbit mAb (upper) and β-Actin (DA8) Rabbit mAb #8457 (lower). DLD-1 and Daudi cell lines are negative for β2-microglobulin due to genomic deletions at the β2-microglobulin locus. Data were generated using the standard formulation of this product.
Western Blotting Image 1: beta2-microglobulin (D8P1H) Rabbit Monoclonal Antibody (BSA and Azide Free)
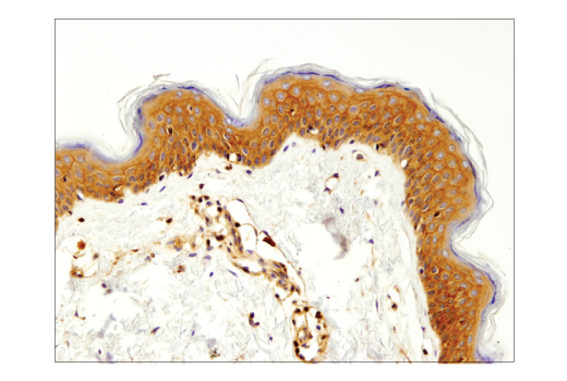
Immunohistochemical analysis of paraffin-embedded human skin using β2-microglobulin (D8P1H) Rabbit mAb. Data were generated using the standard formulation of this product.
Immunohistochemistry Image 1: beta2-microglobulin (D8P1H) Rabbit Monoclonal Antibody (BSA and Azide Free)
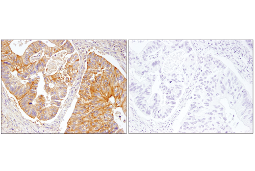
Immunohistochemical analysis of paraffin-embedded colon carcinoma using β2-microglobulin (D8P1H) Rabbit mAb in the presence of control peptide (left) or antigen-specific peptide (right). Data were generated using the standard formulation of this product.
Immunohistochemistry Image 2: beta2-microglobulin (D8P1H) Rabbit Monoclonal Antibody (BSA and Azide Free)
Orders: 877-616-CELL (2355) [email protected] Support: 877-678-TECH (8324) [email protected] Web: cellsignal.com
For Research Use Only. Not for Use in Diagnostic Procedures.

Revision 5

Cell Signaling Technology Logo
Immunohistochemical analysis of paraffin-embedded HeLa (left) and DLD-1 (right) cell pellets using β2-microglobulin (D8P1H) Rabbit mAb. Data were generated using the standard formulation of this product.
Immunohistochemistry Image 3: beta2-microglobulin (D8P1H) Rabbit Monoclonal Antibody (BSA and Azide Free)
Confocal immunofluorescent analysis of PANC-1 cells (left, positive) and DLD-1 cells (right, negative) using β2-microglobulin (D8P1H) Rabbit mAb (green) and DRAQ5® #4084 (fluorescent DNA dye) (blue). Data were generated using the standard formulation of this product.
Immunofluorescence Image 1: beta2-microglobulin (D8P1H) Rabbit Monoclonal Antibody (BSA and Azide Free)
Flow cytometric analysis of DLD-1 cells (blue) and HeLa cells (green) using β2-microglobulin (D8P1H) Rabbit mAb. Anti-rabbit IgG (H+L), F(ab')2 Fragment (Alexa Fluor® 647 Conjugate) #4414 was used as a secondary antibody. Data were generated using the standard formulation of this product.
Flow Cytometry Image 1: beta2-microglobulin (D8P1H) Rabbit Monoclonal Antibody (BSA and Azide Free)
Orders: 877-616-CELL (2355) [email protected] Support: 877-678-TECH (8324) [email protected] Web: cellsignal.com
For Research Use Only. Not for Use in Diagnostic Procedures.