Revision 5

#14058

Store at -20C

CST Logo
Orders:

877-616-CELL (2355)

[email protected]

Support:

877-678-TECH (8324)

3 Trask Lane | Danvers | Massachusetts | 01923 | USA

For Research Use Only. Not for Use in Diagnostic Procedures.

Applications:
W, W-S, IHC-Bond, IHC-P

Reactivity:
H

Sensitivity:
Endogenous

MW (kDa):
90

Source/Isotype:
Rabbit IgG

UniProt ID:
#Q5ZPR3

Entrez-Gene Id:
80381

Product Usage Information

Application Dilution
Western Blotting 1:1000
Simple Western™ 1:10 - 1:50
IHC Leica Bond 1:50 - 1:200
Immunohistochemistry (Paraffin) 1:100 - 1:400

Storage

Supplied in 10 mM sodium HEPES (pH 7.5), 150 mM NaCl, 100 µg/ml BSA, 50% glycerol and less than 0.02% sodium azide. Store at –20°C. Do not aliquot the antibody.

For a carrier free (BSA and azide free) version of this product see product #58798.

Specificity/Sensitivity

B7-H3 (D9M2L) Rabbit Monoclonal Antibody recognizes endogenous levels of total B7-H3 protein.

Source / Purification

Monoclonal antibody is produced by immunizing animals with a synthetic peptide corresponding to residues surrounding Ala94 of human B7-H3 protein.

Background

B7 homolog 3 (B7-H3, CD276) is a member of the B7 family of cell surface ligands that regulate T cell activation and immune responses. B7-H3 protein contains two extracellular Ig-like V-type domains and two IgG-like C2-type domains, a transmembrane domain, and a short intracellular domain (1,2). Early research examining the biological process of B7-H3 suggested that B7-H3 is a positive regulator of T cell response (1). Subsequent research studies indicated that B7-H3 is a negative regulator of T cell response, and that the protein inhibits T cell proliferation (2,3). One possibility is that B7-H3 interacts with two distinct sets of receptors, resulting in seemingly opposite biological outcomes (2). B7-H3 is expressed by antigen presenting cells, activated T cells, and a few normal tissues, including placenta and prostate (1,4,5). Expression of B7-H3 is seen in several cancer types, including prostate, breast, colon, lung, and gastric cancers, and in endothelial cells from tumor associated vasculature (6-8).

Species Reactivity

Species reactivity is determined by testing in at least one approved application (e.g., western blot).

Western Blot Buffer

IMPORTANT: For western blots, incubate membrane with diluted primary antibody in 5% w/v BSA, 1X TBS, 0.1% Tween® 20 at 4°C with gentle shaking, overnight.

Applications Key

W: Western Blotting W-S: Simple Western™ IHC-Bond: IHC Leica Bond IHC-P: Immunohistochemistry (Paraffin)

Cross-Reactivity Key

H: Human

Trademarks and Patents

Cell Signaling Technology is a trademark of Cell Signaling Technology, Inc.

SignalStain is a registered trademark of Cell Signaling Technology, Inc.

All other trademarks are the property of their respective owners. Visit cellsignal.com/trademarks for more information.

Limited Uses

Except as otherwise expressly agreed in a writing signed by a legally authorized representative of CST, the following terms apply to Products provided by CST, its affiliates or its distributors. Any Customer's terms and conditions that are in addition to, or different from, those contained herein, unless separately accepted in writing by a legally authorized representative of CST, are rejected and are of no force or effect.

Products are labeled with For Research Use Only or a similar labeling statement and have not been approved, cleared, or licensed by the FDA or other regulatory foreign or domestic entity, for any purpose. Customer shall not use any Product for any diagnostic or therapeutic purpose, or otherwise in any manner that conflicts with its labeling statement. Products sold or licensed by CST are provided for Customer as the end-user and solely for research and development uses. Any use of Product for diagnostic, prophylactic or therapeutic purposes, or any purchase of Product for resale (alone or as a component) or other commercial purpose, requires a separate license from CST. Customer shall (a) not sell, license, loan, donate or otherwise transfer or make available any Product to any third party, whether alone or in combination with other materials, or use the Products to manufacture any commercial products, (b) not copy, modify, reverse engineer, decompile, disassemble or otherwise attempt to discover the underlying structure or technology of the Products, or use the Products for the purpose of developing any products or services that would compete with CST products or services, (c) not alter or remove from the Products any trademarks, trade names, logos, patent or copyright notices or markings, (d) use the Products solely in accordance with CST Product Terms of Sale and any applicable documentation, and (e) comply with any license, terms of service or similar agreement with respect to any third party products or services used by Customer in connection with the Products.

Orders: 877-616-CELL (2355) [email protected] Support: 877-678-TECH (8324) [email protected] Web: cellsignal.com
For Research Use Only. Not for Use in Diagnostic Procedures.

Revision 5

Cell Signaling Technology Logo
Western blot analysis of extracts from various cell lines using B7-H3 (D9M2L) XP® Rabbit mAb (upper) and β-Actin (D6A8) Rabbit mAb #8457 (lower).
Western Blotting Image 1: B7-H3 (D9M2L) Rabbit Monoclonal Antibody
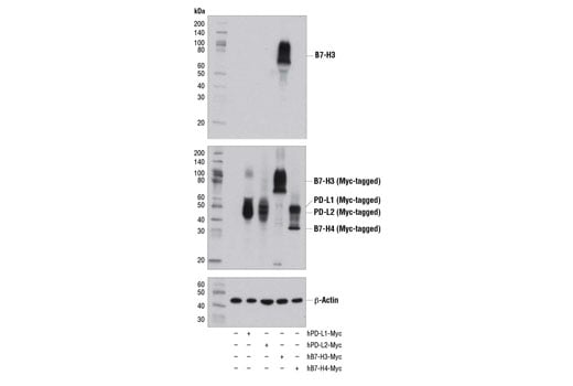
Western blot analysis of extracts from COS-7 cells, mock transfected (-) or transfected with constructs expressing Myc-tagged full-length human PD-L1, PD-L2, B7-H3, or B7-H4 protein (as indicated), using B7-H3 (D9M2L) XP® Rabbit mAb (upper), Myc-Tag (71D10) Rabbit mAb #2278 (middle), and β-Actin (D6A8) Rabbit mAb #8457 (lower).
Western Blotting Image 2: B7-H3 (D9M2L) Rabbit Monoclonal Antibody
Simple Western™️ analysis of lysates (1.0 mg/mL) from 786-O cells using B7-H3 (D9M2L) Rabbit mAb #14058. The virtual lane view (left) shows the target band (as indicated) at 1:10 and 1:50 dilutions of primary antibody. The corresponding electropherogram view (right) plots chemiluminescence by molecular weight along the capillary at 1:10 (blue line) and 1:50 (green line) dilutions of primary antibody. This experiment was performed under reducing conditions on the Jess™️ Simple Western instrument from ProteinSimple, a BioTechne brand, using the 12 – 230 kDa separation module.
Western Blotting Image 1: B7-H3 (D9M2L) Rabbit Monoclonal Antibody
Orders: 877-616-CELL (2355) [email protected] Support: 877-678-TECH (8324) [email protected] Web: cellsignal.com
For Research Use Only. Not for Use in Diagnostic Procedures.

Revision 5

Cell Signaling Technology Logo
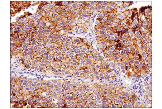
Immunohistochemical analysis of paraffin-embedded human non-small cell lung carcinoma using B7-H3 (D9M2L) XP® Rabbit mAb performed on the Leica® BOND™ Rx.
Immunohistochemistry Image 1: B7-H3 (D9M2L) Rabbit Monoclonal Antibody
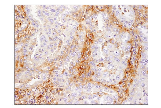
Immunohistochemical analysis of paraffin-embedded lung carcinoma using B7-H3 (D9M2L) XP® Rabbit mAb.
Immunohistochemistry Image 1: B7-H3 (D9M2L) Rabbit Monoclonal Antibody
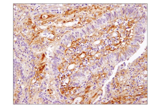
Immunohistochemical analysis of paraffin-embedded colon carcinoma using B7-H3 (D9M2L) XP® Rabbit mAb.
Immunohistochemistry Image 2: B7-H3 (D9M2L) Rabbit Monoclonal Antibody
Orders: 877-616-CELL (2355) [email protected] Support: 877-678-TECH (8324) [email protected] Web: cellsignal.com
For Research Use Only. Not for Use in Diagnostic Procedures.

Revision 5

Cell Signaling Technology Logo
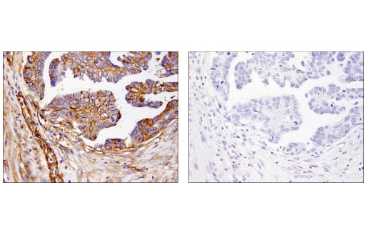
Immunohistochemical analysis of paraffin-embedded ovarian carcinoma using B7-H3 (D9M2L) XP® Rabbit mAb in the presence of control peptide (left) or antigen-specific peptide (right).
Immunohistochemistry Image 3: B7-H3 (D9M2L) Rabbit Monoclonal Antibody
Immunohistochemical analysis of paraffin-embedded LNCaP (left) and NCI-H69 (right) cell pellets using B7-H3 (D9M2L) XP® Rabbit mAb.
Immunohistochemistry Image 4: B7-H3 (D9M2L) Rabbit Monoclonal Antibody
Multiplex immunohistochemical analysis of paraffin-embedded human ovarian carcinoma using B7-H3 (D9M2L) XP® rabbit mAb (red), PD-1 (D4W2J) XP® rabbit mAb #86163 (green), B7-H4 (D1M8I) XP® rabbit mAb (cyan), LAG3 (D2G4O™) XP® rabbit mAb #15372 (magenta), TIM-3 (D5D5R™) XP® rabbit mAb #45208 (yellow), and VISTA (D1L2G™) XP® rabbit mAb #64953 (orange).
Immunohistochemistry Image 5: B7-H3 (D9M2L) Rabbit Monoclonal Antibody
Orders: 877-616-CELL (2355) [email protected] Support: 877-678-TECH (8324) [email protected] Web: cellsignal.com
For Research Use Only. Not for Use in Diagnostic Procedures.