Revision 7

#14572

Store at -20C

CST Logo
Orders:

877-616-CELL (2355)

[email protected]

Support:

877-678-TECH (8324)

3 Trask Lane | Danvers | Massachusetts | 01923 | USA

For Research Use Only. Not for Use in Diagnostic Procedures.

Applications:
W, IHC-Bond, IHC-P

Reactivity:
H

Sensitivity:
Endogenous

MW (kDa):
75

Source/Isotype:
Rabbit IgG

UniProt ID:
#Q7Z7D3

Entrez-Gene Id:
79679

Product Usage Information

Application Dilution
Western Blotting 1:1000
IHC Leica Bond 1:100 - 1:400
Immunohistochemistry (Paraffin) 1:100 - 1:400

Storage

Supplied in 10 mM sodium HEPES (pH 7.5), 150 mM NaCl, 100 µg/ml BSA, 50% glycerol and less than 0.02% sodium azide. Store at –20°C. Do not aliquot the antibody.

For a carrier free (BSA and azide free) version of this product see product #17188.

Specificity/Sensitivity

B7-H4 (D1M8I) Rabbit Monoclonal Antibody recognizes endogenous levels of total B7-H4 protein.

Source / Purification

Monoclonal antibody is produced by immunizing animals with a synthetic peptide corresponding to residues surrounding Ala141 of human B7-H4 protein.

Background

B7 homolog 4 (B7-H4, VTCN1) is a member of the B7 family of cell surface ligands that regulate T cell activation and immune responses (1-3). B7-H4 protein contains two extracellular Ig-like V-type domains, a transmembrane domain, and a short, two amino acid intracellular domain (3). The B7-H4 protein is shown to inhibit T cell activation, proliferation, and cytokine production (1,4,5). Although B7-H4 mRNA is widely expressed, B7-H4 protein is restricted to antigen-presenting cells and B cells (1). The B7-H4 protein is also found in several tumor types, including ovarian cancer and breast cancer (6). Research studies indicate that B7-H4 protein is present on the surface of ovarian tumor cells, and that targeted inhibition of B7-H4 using recombinant antibodies restores T cell activation pathways. These studies suggest some potential therapeutic value in blocking B7-H4 function and restoring T cell function in cancer patients (7,8).

Species Reactivity

Species reactivity is determined by testing in at least one approved application (e.g., western blot).

Western Blot Buffer

IMPORTANT: For western blots, incubate membrane with diluted primary antibody in 5% w/v BSA, 1X TBS, 0.1% Tween® 20 at 4°C with gentle shaking, overnight.

Applications Key

W: Western Blotting IHC-Bond: IHC Leica Bond IHC-P: Immunohistochemistry (Paraffin)

Cross-Reactivity Key

H: Human

Trademarks and Patents

Cell Signaling Technology is a trademark of Cell Signaling Technology, Inc.

SignalStain is a registered trademark of Cell Signaling Technology, Inc.

All other trademarks are the property of their respective owners. Visit cellsignal.com/trademarks for more information.

Limited Uses

Except as otherwise expressly agreed in a writing signed by a legally authorized representative of CST, the following terms apply to Products provided by CST, its affiliates or its distributors. Any Customer's terms and conditions that are in addition to, or different from, those contained herein, unless separately accepted in writing by a legally authorized representative of CST, are rejected and are of no force or effect.

Products are labeled with For Research Use Only or a similar labeling statement and have not been approved, cleared, or licensed by the FDA or other regulatory foreign or domestic entity, for any purpose. Customer shall not use any Product for any diagnostic or therapeutic purpose, or otherwise in any manner that conflicts with its labeling statement. Products sold or licensed by CST are provided for Customer as the end-user and solely for research and development uses. Any use of Product for diagnostic, prophylactic or therapeutic purposes, or any purchase of Product for resale (alone or as a component) or other commercial purpose, requires a separate license from CST. Customer shall (a) not sell, license, loan, donate or otherwise transfer or make available any Product to any third party, whether alone or in combination with other materials, or use the Products to manufacture any commercial products, (b) not copy, modify, reverse engineer, decompile, disassemble or otherwise attempt to discover the underlying structure or technology of the Products, or use the Products for the purpose of developing any products or services that would compete with CST products or services, (c) not alter or remove from the Products any trademarks, trade names, logos, patent or copyright notices or markings, (d) use the Products solely in accordance with CST Product Terms of Sale and any applicable documentation, and (e) comply with any license, terms of service or similar agreement with respect to any third party products or services used by Customer in connection with the Products.

Orders: 877-616-CELL (2355) [email protected] Support: 877-678-TECH (8324) [email protected] Web: cellsignal.com
For Research Use Only. Not for Use in Diagnostic Procedures.

Revision 7

Cell Signaling Technology Logo
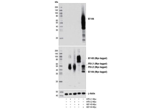
Western blot analysis of extracts from SK-BR-3, T-47D, and NCI-H1299 cells using B7-H4 (D1M8I) XP® Rabbit mAb (upper) or β-Actin (D6A8) Rabbit mAb #8457 (lower).
Western Blotting Image 1: B7-H4 (D1M8I) Rabbit Monoclonal Antibody
Western blot analysis of extracts from COS-7 cells, mock transfected (-) or transfected with a construct expressing Myc-tagged full-length human PD-L1, PD-L2, B7-H3, or B7-H4 protein (as indicated), using B7-H4 (D1M8I) XP® Rabbit mAb (upper), Myc-Tag (71D10) Rabbit mAb #2278 (middle), and β-Actin (D6A8) Rabbit mAb #8457 (lower).
Western Blotting Image 2: B7-H4 (D1M8I) Rabbit Monoclonal Antibody
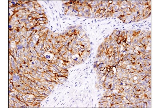
Immunohistochemical analysis of paraffin-embedded human breast ductal carcinoma using B7-H4 (D1M8I) XP® Rabbit mAb performed on the Leica® BOND™ Rx.
Immunohistochemistry Image 1: B7-H4 (D1M8I) Rabbit Monoclonal Antibody
Orders: 877-616-CELL (2355) [email protected] Support: 877-678-TECH (8324) [email protected] Web: cellsignal.com
For Research Use Only. Not for Use in Diagnostic Procedures.

Revision 7

Cell Signaling Technology Logo
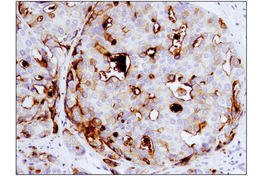
Immunohistochemical analysis of paraffin-embedded human granulosa cell tumor of the ovary using B7-H4 (D1M8I) XP® Rabbit mAb.
Immunohistochemistry Image 1: B7-H4 (D1M8I) Rabbit Monoclonal Antibody
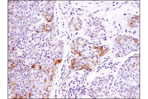
Immunohistochemical analysis of paraffin-embedded human lobular carcinoma of the breast using B7-H4 (D1M8I) XP® Rabbit mAb.
Immunohistochemistry Image 2: B7-H4 (D1M8I) Rabbit Monoclonal Antibody
Multiplex immunohistochemical analysis of paraffin-embedded human ovarian carcinoma using B7-H4 (D1M8I) XP® rabbit mAb (cyan), PD-1 (D4W2J) XP® rabbit mAb #86163 (green), B7-H3 (D9M2L) XP® rabbit mAb #14058 (red), LAG3 (D2G4O™) XP® rabbit mAb #15372 (magenta), TIM-3 (D5D5R™) XP® rabbit mAb #45208 (yellow), and VISTA (D1L2G™) XP® rabbit mAb #64953 (orange).
Immunohistochemistry Image 3: B7-H4 (D1M8I) Rabbit Monoclonal Antibody
Orders: 877-616-CELL (2355) [email protected] Support: 877-678-TECH (8324) [email protected] Web: cellsignal.com
For Research Use Only. Not for Use in Diagnostic Procedures.

Revision 7

Cell Signaling Technology Logo
Multiplex immunohistochemical analysis of paraffin-embedded human ovarian carcinoma using B7-H4 (D1M8I) XP® rabbit mAb (green), PD-L1 (E1L3N®) XP® rabbit mAb #13684 (red), CD8α (C8/144B) mouse mAb #70306 (magenta), FoxP3 (D2W8E™) rabbit mAb #98377 (yellow), and Pan-keratin (C11) mouse mAb #4545 (cyan).
Immunohistochemistry Image 4: B7-H4 (D1M8I) Rabbit Monoclonal Antibody
Immunohistochemical analysis of paraffin-embedded SK-BR-3 cell pellet (left, positive) or HeLa cell pellet (right, negative) using B7-H4 (D1M8I) XP® Rabbit mAb.
Immunohistochemistry Image 5: B7-H4 (D1M8I) Rabbit Monoclonal Antibody
Orders: 877-616-CELL (2355) [email protected] Support: 877-678-TECH (8324) [email protected] Web: cellsignal.com
For Research Use Only. Not for Use in Diagnostic Procedures.