Revision 3

#28527

Store at -20C

CST Logo
Orders:

877-616-CELL (2355)

[email protected]

Support:

877-678-TECH (8324)

3 Trask Lane | Danvers | Massachusetts | 01923 | USA

For Research Use Only. Not for Use in Diagnostic Procedures.

Applications:
W, IHC-P

Reactivity:
H M R

Sensitivity:
Endogenous

MW (kDa):
70

Source/Isotype:
Rabbit IgG

UniProt ID:
#P56817

Entrez-Gene Id:
23621

Product Usage Information

Application Dilution
Western Blotting 1:1000
Immunohistochemistry (Paraffin) 1:50

Storage

Supplied in 10 mM sodium HEPES (pH 7.5), 150 mM NaCl, 100 µg/mL BSA, 50% glycerol, and less than 0.02% sodium azide. Store at –20°C. Do not aliquot the antibody.

For a carrier free (BSA and azide free) version of this product see product #71301.

Specificity/Sensitivity

BACE1 (F4Z7X) Rabbit Monoclonal Antibody recognizes endogenous levels of total BACE1 protein. This antibody does not cross-react with BACE2 protein.

Source / Purification

Monoclonal antibody is produced by immunizing animals with a synthetic peptide corresponding to residues surrounding Asp192 of human BACE1 protein.

Background

β-secretase (BACE) is an aspartic acid proteinase that catalyzes the initial step in APP processing by cleaving and releasing a soluble, extracellular APP-β (sAPPβ) ectodomain and generating a membrane-bound, carboxy-terminal fragment consisting of 99 amino acids (CTF99). Additional processing of CTF99 by γ-secretase generates the amyloid β-peptide (Aβ) that forms aggregates in the brains of Alzheimer disease (AD) patients. BACE is an attractive target for inhibitors in AD therapy since it catalyzes the first and rate limiting step in amyloidogenic APP processing (1). Pro-BACE-1 is synthesized in the ER before it is transported to the trans-Golgi network to undergo maturation (2). BACE-1 functions as a dimer and is phosphorylated at Ser498 by casein kinase 1, which is necessary for recycling back to the membrane from the early endosome (3,4).

Species Reactivity

Species reactivity is determined by testing in at least one approved application (e.g., western blot).

Western Blot Buffer

IMPORTANT: For western blots, incubate membrane with diluted primary antibody in 5% w/v BSA, 1X TBS, 0.1% Tween® 20 at 4°C with gentle shaking, overnight.

Applications Key

W: Western Blotting IHC-P: Immunohistochemistry (Paraffin)

Cross-Reactivity Key

H: Human M: Mouse R: Rat

Trademarks and Patents

Cell Signaling Technology is a trademark of Cell Signaling Technology, Inc.

All other trademarks are the property of their respective owners. Visit cellsignal.com/trademarks for more information.

Limited Uses

Except as otherwise expressly agreed in a writing signed by a legally authorized representative of CST, the following terms apply to Products provided by CST, its affiliates or its distributors. Any Customer's terms and conditions that are in addition to, or different from, those contained herein, unless separately accepted in writing by a legally authorized representative of CST, are rejected and are of no force or effect.

Products are labeled with For Research Use Only or a similar labeling statement and have not been approved, cleared, or licensed by the FDA or other regulatory foreign or domestic entity, for any purpose. Customer shall not use any Product for any diagnostic or therapeutic purpose, or otherwise in any manner that conflicts with its labeling statement. Products sold or licensed by CST are provided for Customer as the end-user and solely for research and development uses. Any use of Product for diagnostic, prophylactic or therapeutic purposes, or any purchase of Product for resale (alone or as a component) or other commercial purpose, requires a separate license from CST. Customer shall (a) not sell, license, loan, donate or otherwise transfer or make available any Product to any third party, whether alone or in combination with other materials, or use the Products to manufacture any commercial products, (b) not copy, modify, reverse engineer, decompile, disassemble or otherwise attempt to discover the underlying structure or technology of the Products, or use the Products for the purpose of developing any products or services that would compete with CST products or services, (c) not alter or remove from the Products any trademarks, trade names, logos, patent or copyright notices or markings, (d) use the Products solely in accordance with CST Product Terms of Sale and any applicable documentation, and (e) comply with any license, terms of service or similar agreement with respect to any third party products or services used by Customer in connection with the Products.

Orders: 877-616-CELL (2355) [email protected] Support: 877-678-TECH (8324) [email protected] Web: cellsignal.com
For Research Use Only. Not for Use in Diagnostic Procedures.

Revision 3

Cell Signaling Technology Logo
Western blot analysis of extracts from various cell lines and tissues using BACE1 (F4Z7X) Rabbit mAb (upper) or GAPDH (D16H11) XP® Rabbit mAb #5174 (lower). Negative expression of BACE1 protein in RAW 264.7 cells is consistent with the predicted expression pattern.
Western Blotting Image 1: BACE1 (F4Z7X) Rabbit Monoclonal Antibody
Western blot analysis of extracts from 293T cells, mock transfected (lane 1), transiently transfected with plasmid encoding BACE1 protein (lane 2), and transiently transfected with plasmid encoding BACE2 protein (lane 3), using BACE1 (F4Z7X) Rabbit mAb (upper) or BACE2 (E3Y9Q) Rabbit mAb #80357 (lower).
Western Blotting Image 2: BACE1 (F4Z7X) Rabbit Monoclonal Antibody
Immunohistochemical analysis of paraffin-embedded human Alzheimer's brain using BACE1 (F4Z7X) Rabbit mAb.
Immunohistochemistry Image 1: BACE1 (F4Z7X) Rabbit Monoclonal Antibody
Orders: 877-616-CELL (2355) [email protected] Support: 877-678-TECH (8324) [email protected] Web: cellsignal.com
For Research Use Only. Not for Use in Diagnostic Procedures.

Revision 3

Cell Signaling Technology Logo
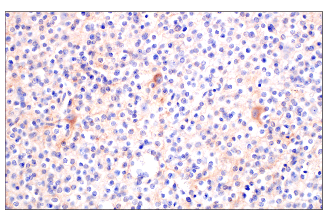
Immunohistochemical analysis of paraffin-embedded human anaplastic oligodendroglioma using BACE1 (F4Z7X) Rabbit mAb.
Immunohistochemistry Image 2: BACE1 (F4Z7X) Rabbit Monoclonal Antibody
Immunohistochemical analysis of paraffin-embedded human Pick's disease brain using BACE1 (F4Z7X) Rabbit mAb.
Immunohistochemistry Image 3: BACE1 (F4Z7X) Rabbit Monoclonal Antibody

Immunohistochemical analysis of paraffin-embedded mouse brain using BACE1 (F4Z7X) Rabbit mAb.

Immunohistochemistry Image 4: BACE1 (F4Z7X) Rabbit Monoclonal Antibody
Orders: 877-616-CELL (2355) [email protected] Support: 877-678-TECH (8324) [email protected] Web: cellsignal.com
For Research Use Only. Not for Use in Diagnostic Procedures.

Revision 3

Cell Signaling Technology Logo
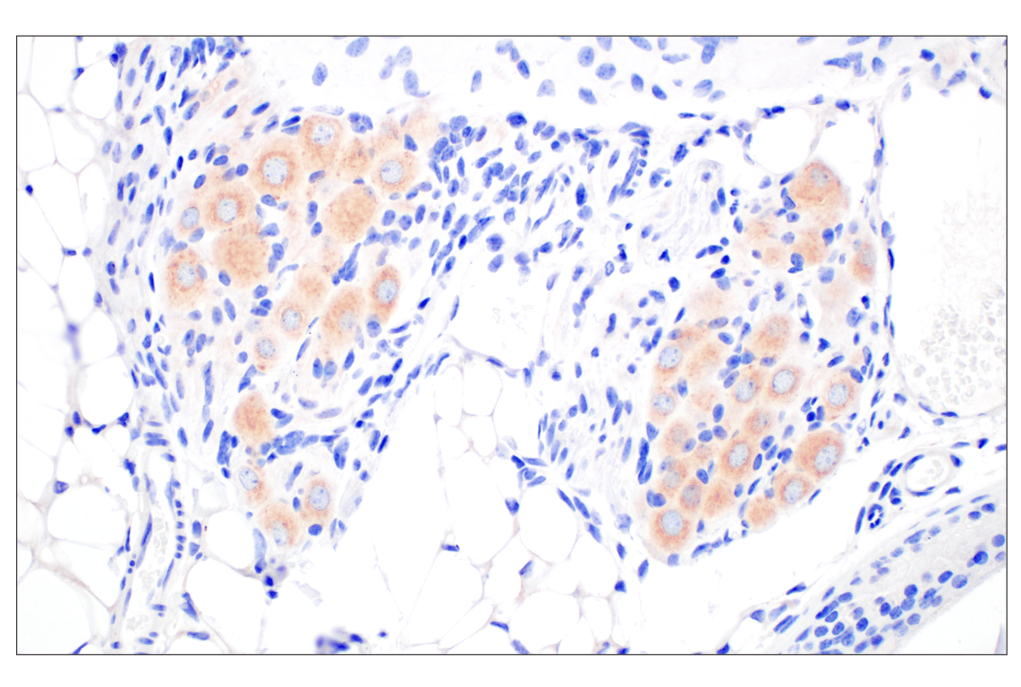
Immunohistochemical analysis of peripheral nerve adjacent to paraffin-embedded mouse prostate using BACE1 (F4Z7X) Rabbit mAb.
Immunohistochemistry Image 5: BACE1 (F4Z7X) Rabbit Monoclonal Antibody
Immunohistochemical analysis of paraffin-embedded NCI-H146 cell pellet (left, positive) or HeLa cell pellet (right, negative) using BACE1 (F4Z7X) Rabbit mAb.
Immunohistochemistry Image 6: BACE1 (F4Z7X) Rabbit Monoclonal Antibody
Immunohistochemical analysis of paraffin-embedded normal human pancreas using BACE1 (F4Z7X) Rabbit mAb (left) compared to concentration-matched Rabbit (DA1E) mAb IgG XP® Isotype Control #3900 (right). 
Immunohistochemistry Image 7: BACE1 (F4Z7X) Rabbit Monoclonal Antibody
Orders: 877-616-CELL (2355) [email protected] Support: 877-678-TECH (8324) [email protected] Web: cellsignal.com
For Research Use Only. Not for Use in Diagnostic Procedures.

Revision 3

Cell Signaling Technology Logo
Immunohistochemical analysis of paraffin-embedded MEF cell pellet (left, positive) or RAW 264.7 cell pellet (right, negative) using BACE1 (F4Z7X) Rabbit mAb.
Immunohistochemistry Image 8: BACE1 (F4Z7X) Rabbit Monoclonal Antibody
Orders: 877-616-CELL (2355) [email protected] Support: 877-678-TECH (8324) [email protected] Web: cellsignal.com
For Research Use Only. Not for Use in Diagnostic Procedures.