Revision 1

#12854

Store at -20C

BAF Complex Antibody Sampler Kit

1 Kit

(6 x 20 microliters)

CST Logo
Orders:

877-616-CELL (2355)

[email protected]

Support:

877-678-TECH (8324)

3 Trask Lane | Danvers | Massachusetts | 01923 | USA

For Research Use Only. Not for Use in Diagnostic Procedures.

Product Includes Product # Quantity Mol. Wt Isotype/Source
ARID1A/BAF250A (D2A8U) Rabbit Monoclonal Antibody1235420 µl270 kDaRabbit IgG
Brg1 (A52) Antibody350820 µl220 kDaRabbit
BRM (D9E8B) Rabbit Monoclonal Antibody1196620 µl200 kDaRabbit IgG
SMARCB1/BAF47 (D8M1X) Rabbit Monoclonal Antibody9173520 µl44 kDaRabbit IgG
SMARCC1/BAF155 (D7F8S) Rabbit Monoclonal Antibody1195620 µl155 kDaRabbit IgG
SMARCC2/BAF170 (D8O9V) Rabbit Monoclonal Antibody1276020 µl162, 170 kDaRabbit IgG
Anti-rabbit IgG, HRP-linked Antibody7074100 µlGoat

Please visit cellsignal.com for individual component applications, species cross-reactivity, dilutions, protocols, and additional product information.

Description

The BAF Complex Antibody Sampler Kit provides an economical means of detecting total protein from the SWI/SNF family members including ARID1A/BAF250A, Brg1, BRM, SMARCC1/BAF155, SMARCC2/BAF170 and SMARCB1/BAF47. The kit contains enough primary antibody to perform two western blots per primary antibody.

Storage

Supplied in 10 mM sodium HEPES (pH 7.5), 150 mM NaCl, 100 µg/ml BSA, 50% glycerol and less than 0.02% sodium azide. Store at –20°C. Do not aliquot the antibody.

Background

ATP-dependent chromatin remodeling complexes play an essential role in the regulation of various nuclear processes, such as gene expression, DNA replication, and repair (1,2). The SWI/SNF chromatin remodeling complex consists of more than 10 subunits with a single molecule of the ATPase catalytic subunit BRM or BRG1, but not both. The activities of these two subunits drive the disruption of histone-DNA contacts that lead to changes in accessibility of crucial regulatory elements within chromatin (2-5). The BRM/BRG1 containing SWI/SNF complexes are recruited to target promoters by transcription factors, such as nuclear receptors, p53, RB, and BRCA1 to regulate gene activation, cell growth, the cell cycle, and differentiation processes (1,6-9). BRM and BRG1 are also considered to be tumor suppressors and their expression levels are severely reduced in several cancer cell lines (10-13). SMARCC1/BAF155, SMARCC2/BAF170, and SMARCB1/BAF47 are members of the core subunits of the SWI/SNF complex, which is necessary for efficient nucleosome remodeling by BRG1 in vitro (14). ARID1A/BAF250A is one of the accessory subunits of the SWI/SNF complex (15). SMARCC1, SMARCB1, and ARID1A are an essential part of the mouse embryonic stem cell specific SWI/SNF complex (esBAF). SMARCC1 is necessary for early embryogenesis, especially proper brain and visceral endoderm development (16-18). SMARCB1 is necessary for early embryogenesis and hepatocyte differentiation (19,20). ARID1A is critical for ES cell pluripotency and differentiation into mesoderm-derived cardiomyocytes and adipocytes (15). While SMARCC2 has been shown to be part of the SWI/SNF complex in non-pluripotent cells, it is absent in pluripotent embryonic stem (ES) cells. Expression of SMARCC2 has been shown to be up-regulated in neurons/neuronal progenitors upon differentiation of mouse ES cells with retinoic acid, and exogenous expression of SMARCC2 leads to loss of stem cell pluripotency and self renewal (21).

Trademarks and Patents

Cell Signaling Technology is a trademark of Cell Signaling Technology, Inc.

All other trademarks are the property of their respective owners. Visit cellsignal.com/trademarks for more information.

Limited Uses

Except as otherwise expressly agreed in a writing signed by a legally authorized representative of CST, the following terms apply to Products provided by CST, its affiliates or its distributors. Any Customer's terms and conditions that are in addition to, or different from, those contained herein, unless separately accepted in writing by a legally authorized representative of CST, are rejected and are of no force or effect.

Products are labeled with For Research Use Only or a similar labeling statement and have not been approved, cleared, or licensed by the FDA or other regulatory foreign or domestic entity, for any purpose. Customer shall not use any Product for any diagnostic or therapeutic purpose, or otherwise in any manner that conflicts with its labeling statement. Products sold or licensed by CST are provided for Customer as the end-user and solely for research and development uses. Any use of Product for diagnostic, prophylactic or therapeutic purposes, or any purchase of Product for resale (alone or as a component) or other commercial purpose, requires a separate license from CST. Customer shall (a) not sell, license, loan, donate or otherwise transfer or make available any Product to any third party, whether alone or in combination with other materials, or use the Products to manufacture any commercial products, (b) not copy, modify, reverse engineer, decompile, disassemble or otherwise attempt to discover the underlying structure or technology of the Products, or use the Products for the purpose of developing any products or services that would compete with CST products or services, (c) not alter or remove from the Products any trademarks, trade names, logos, patent or copyright notices or markings, (d) use the Products solely in accordance with CST Product Terms of Sale and any applicable documentation, and (e) comply with any license, terms of service or similar agreement with respect to any third party products or services used by Customer in connection with the Products.

Orders: 877-616-CELL (2355) [email protected] Support: 877-678-TECH (8324) [email protected] Web: cellsignal.com
For Research Use Only. Not for Use in Diagnostic Procedures.

Revision 1

Cell Signaling Technology Logo
Western blot analysis of extracts from various cell lines using SMARCC1/BAF155 (D7F8S) Rabbit mAb.
undefined Image 1: BAF Complex Antibody Sampler Kit
CUT&Tag was performed with NCCIT cells and SMARCC1/BAF155 (D7F8S) Rabbit mAb, using CUT&Tag Assay Kit #77552. DNA library was prepared using CUT&Tag Dual Index Primers and PCR Master Mix for Illumina Systems #47415. The figure shows binding across SOX2.
undefined Image 2: BAF Complex Antibody Sampler Kit
Western blot analysis of extracts from control HeLa cells (Lane 1) or HeLa cells with a targeted mutation in the gene encoding BRM (Lane 2) using BRM (D9E8B) XP® Rabbit mAb (upper) or β-Actin (D6A8) Rabbit mAb #8457 (lower). The change in BRM molecular weight in the mutated HeLa cells confirms the specificity of the antibody for BRM.
undefined Image 3: BAF Complex Antibody Sampler Kit
Orders: 877-616-CELL (2355) [email protected] Support: 877-678-TECH (8324) [email protected] Web: cellsignal.com
For Research Use Only. Not for Use in Diagnostic Procedures.

Revision 1

Cell Signaling Technology Logo
Immunohistochemical analysis of paraffin-embedded human prostate carcinoma using BRM (D9E8B) XP(R) Rabbit mAb.
undefined Image 4: BAF Complex Antibody Sampler Kit
Western blot analysis of extracts from various cell lines using ARID1A/BAF250A (D2A8U) Rabbit mAb.
undefined Image 5: BAF Complex Antibody Sampler Kit
Chromatin immunoprecipitations were performed with cross-linked chromatin from NCCIT cells and ARID1A/BAF250A (D2A8U) Rabbit mAb, using SimpleChIP® Plus Enzymatic Chromatin IP Kit (Magnetic Beads) #9005. DNA Libraries were prepared using DNA Library Prep Kit for Illumina (ChIP-seq, CUT&RUN) #56795. The figure shows binding across Oct-4/POU5F1, a known target gene of ARID1A (see additional figure containing ChIP-qPCR data).
undefined Image 6: BAF Complex Antibody Sampler Kit
Orders: 877-616-CELL (2355) [email protected] Support: 877-678-TECH (8324) [email protected] Web: cellsignal.com
For Research Use Only. Not for Use in Diagnostic Procedures.

Revision 1

Cell Signaling Technology Logo
Western blot analysis of extracts from various cell lines using SMARCC2/BAF170 (D8O9V) Rabbit mAb.
undefined Image 7: BAF Complex Antibody Sampler Kit
CUT&RUN was performed with MCF7 cells grown in phenol red free medium and 5% charcoal stripped FBS for 4 d followed by treatment with β-estradiol (10 nM, 45 min) and either SMARCC2/BAF170 (D8O9V) Rabbit mAb or SMARCB1/BAF47 (D8M1X) Rabbit mAb #91735, using CUT&RUN Assay Kit #86652. DNA Libraries were prepared using DNA Library Prep Kit for Illumina® (ChIP-seq, CUT&RUN) #56795. The figure shows binding across TMEM53, a known target gene of SMARCC2/BAF170 (see additional figure containing CUT&RUN-qPCR data).
undefined Image 8: BAF Complex Antibody Sampler Kit
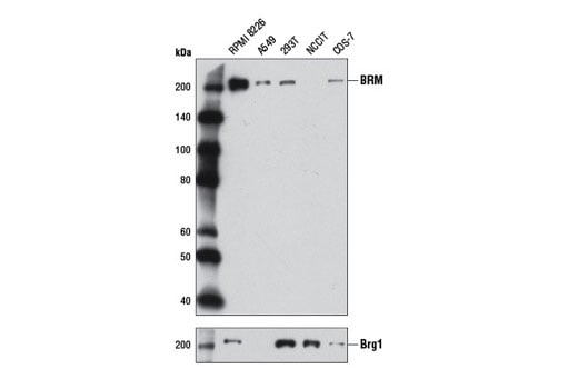
Western blot analysis of extracts of various cell lines using Brg1 (A52) Antibody.
undefined Image 9: BAF Complex Antibody Sampler Kit
Orders: 877-616-CELL (2355) [email protected] Support: 877-678-TECH (8324) [email protected] Web: cellsignal.com
For Research Use Only. Not for Use in Diagnostic Procedures.

Revision 1

Cell Signaling Technology Logo
After the primary antibody is bound to the target protein, a complex with HRP-linked secondary antibody is formed. The LumiGLO® is added and emits light during enzyme catalyzed decomposition.
undefined Image 10: BAF Complex Antibody Sampler Kit
Western blot analysis of extracts from various cell lines using SMARCB1/BAF47 (D8M1X) Rabbit mab (upper) or β-Actin (13E5) Rabbit mAb #4970 (lower).
undefined Image 11: BAF Complex Antibody Sampler Kit
Immunoprecipitation of SMARCC1/BAF155 from HeLa cell extracts using Rabbit (DA1E) mAb IgG XP® Isotype Control #3900 (lane 2) or SMARCC1/BAF155 (D7F8S) Rabbit mAb (lane 3). Lane 1 is 10% input. Western blot analysis was performed using SMARCC1/BAF155 (D7F8S) Rabbit mAb.
undefined Image 12: BAF Complex Antibody Sampler Kit
Orders: 877-616-CELL (2355) [email protected] Support: 877-678-TECH (8324) [email protected] Web: cellsignal.com
For Research Use Only. Not for Use in Diagnostic Procedures.

Revision 1

Cell Signaling Technology Logo
CUT&Tag was performed with NCCIT cells and SMARCC1/BAF155 (D7F8S) Rabbit mAb, using CUT&Tag Assay Kit #77552. DNA library was prepared using CUT&Tag Dual Index Primers and PCR Master Mix for Illumina Systems #47415. The figures show binding across chromosome 3 (upper), including SOX2 gene (lower).
undefined Image 13: BAF Complex Antibody Sampler Kit
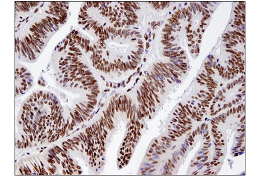
Immunohistochemical analysis of paraffin-embedded human colon carcinoma using BRM (D9E8B) XP(R) Rabbit mAb.
undefined Image 14: BAF Complex Antibody Sampler Kit
Western blot analysis of extracts from various cell lines using BRM (D9E8B) XP® Rabbit mAb (upper) or Brg1 (A52) Antibody #3508 (lower).
undefined Image 15: BAF Complex Antibody Sampler Kit
Orders: 877-616-CELL (2355) [email protected] Support: 877-678-TECH (8324) [email protected] Web: cellsignal.com
For Research Use Only. Not for Use in Diagnostic Procedures.

Revision 1

Cell Signaling Technology Logo
Western blot analysis of T-47D and Jurkat cell extracts using ARID1A/BAF250A (D2A8U) Rabbit mAb (upper) or ß-Actin (D6A8) Rabbit mAb #8457 (lower). Additional ARID1A/BAF250A degradation products may be detected in some cell extracts between 135kDa-250kDa, which are absent in the ARID1A/BAF250A negative T-47D cell line.
undefined Image 16: BAF Complex Antibody Sampler Kit
Chromatin immunoprecipitations were performed with cross-linked chromatin from NCCIT cells and ARID1A/BAF250A (D2A8U) Rabbit mAb, using SimpleChIP® Plus Enzymatic Chromatin IP Kit (Magnetic Beads) #9005. DNA Libraries were prepared using DNA Library Prep Kit for Illumina (ChIP-seq, CUT&RUN) #56795. The figure shows binding across chromosome 6 (upper), including Oct-4/POU5F1 (lower), a known target gene of ARID1A (see additional figure containing ChIP-qPCR data).
undefined Image 17: BAF Complex Antibody Sampler Kit
Immunoprecipitation of SMARCC2/BAF170 from PANC-1 cell extracts, using Rabbit (DA1E) mAb IgG XP® Isotype Control #3900 (lane 2) or SMARCC2/BAF170 (D8O9V) Rabbit mAb (lane 3). Lane 1 is 10% input. Western blot analysis was performed using SMARCC2/BAF170 (D8O9V) Rabbit mAb.
undefined Image 18: BAF Complex Antibody Sampler Kit
Orders: 877-616-CELL (2355) [email protected] Support: 877-678-TECH (8324) [email protected] Web: cellsignal.com
For Research Use Only. Not for Use in Diagnostic Procedures.

Revision 1

Cell Signaling Technology Logo
CUT&RUN was performed with MCF7 cells grown in phenol red free medium and 5% charcoal stripped FBS for 4 d followed by treatment with β-estradiol (10 nM, 45 min) and either SMARCC2/BAF170 (D8O9V) Rabbit mAb or SMARCB1/BAF47 (D8M1X) Rabbit mAb #91735, using CUT&RUN Assay Kit #86652. DNA Libraries were prepared using DNA Library Prep Kit for Illumina® (ChIP-seq, CUT&RUN) #56795. The figures show binding across chromosome 1 (upper), including TMEM53 (lower), a known target gene of SMARCC2/BAF170 (see additional figure containing CUT&RUN-qPCR data).
undefined Image 19: BAF Complex Antibody Sampler Kit
Confocal immunofluorescent analysis of 293 cells using Brg1 (A52) Antibody (green). Actin filaments have been labeled using DY-554 phalloidin (red).
undefined Image 20: BAF Complex Antibody Sampler Kit
Immunoprecipitation of SMARCB1/BAF47 from 293T cell extracts. Lane 1 is 10% input, lane 2 is Rabbit (DA1E) mAb XP® Isotype Control #3900, and lane 3 is SMARCB1/BAF47 (D8M1X) Rabbit mAb. Western blot analysis was performed usingSMARCB1/BAF47 (D8M1X) Rabbit mAb.
undefined Image 21: BAF Complex Antibody Sampler Kit
Orders: 877-616-CELL (2355) [email protected] Support: 877-678-TECH (8324) [email protected] Web: cellsignal.com
For Research Use Only. Not for Use in Diagnostic Procedures.

Revision 1

Cell Signaling Technology Logo
Chromatin immunoprecipitations were performed with cross-linked chromatin from MCF7 cells grown in phenol red free medium and 5% charcoal stripped FBS for 4 d, followed by treatment with β-estradiol (10 nM, 45 min) and either SMARCC1/BAF155 (D7F8S) Rabbit mAb, SMARCB1/BAF47 (D8M1X) Rabbit mAb #91735, or SS18 (D6I4Z) Rabbit mAb #21792, using SimpleChIP® Plus Enzymatic Chromatin IP Kit (Magnetic Beads) #9005. DNA Libraries were prepared using DNA Library Prep Kit for Illumina® (ChIP-seq, CUT&RUN) #56795. SMARCC1/BAF155, SMARCB1/BAF47, and SS18 are all subunits of SWI/SNF complex. The figure shows binding across pS2/TFF1, a known target gene of SWI/SNF complex (see additional figure containing ChIP-qPCR data).
undefined Image 22: BAF Complex Antibody Sampler Kit
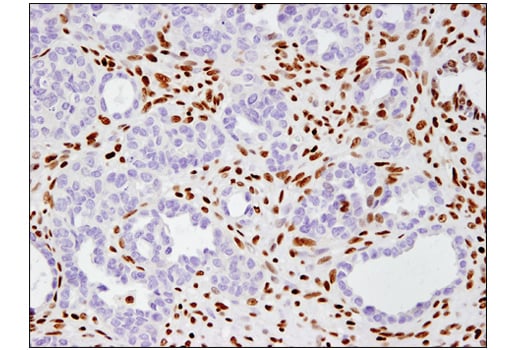
Immunohistochemical analysis of paraffin-embedded human clear cell adenocarcinoma of the ovary using BRM (D9E8B) XP(R) Rabbit mAb.
undefined Image 23: BAF Complex Antibody Sampler Kit
Chromatin immunoprecipitations were performed with cross-linked chromatin from NCCIT cells and either ARID1A/BAF250A (D2A8U) Rabbit mAb or Normal Rabbit IgG #2729 using SimpleChIP® Plus Enzymatic Chromatin IP Kit (Magnetic Beads) #9005. The enriched DNA was quantified by real-time PCR using SimpleChIP® Human Oct-4 Promoter Primers #4641, SimpleChIP® Human Sox2 Promoter Primers #4649, and SimpleChIP® Human α Satellite Repeat Primers #4486. The amount of immunoprecipitated DNA in each sample is represented as signal relative to the total amount of input chromatin, which is equivalent to one.
undefined Image 24: BAF Complex Antibody Sampler Kit
Orders: 877-616-CELL (2355) [email protected] Support: 877-678-TECH (8324) [email protected] Web: cellsignal.com
For Research Use Only. Not for Use in Diagnostic Procedures.

Revision 1

Cell Signaling Technology Logo
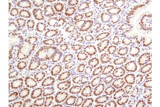
Immunohistochemical analysis of mouse colon using ARID1A/BAF250A (D2A8U) Rabbit mAb.
undefined Image 25: BAF Complex Antibody Sampler Kit
Chromatin immunoprecipitations were performed with cross-linked chromatin from MCF7 cells grown in phenol red-free medium and 5% charcoal-stripped FBS for 4 d followed by treatment with β-estradiol (10 nM, 45 min) and SMARCC2/BAF170 (D8O9V) Rabbit mAb, using SimpleChIP® Plus Enzymatic Chromatin IP Kit (Magnetic Beads) #9005. DNA Libraries were prepared using DNA Library Prep Kit for Illumina® (ChIP-seq, CUT&RUN) #56795. The figure shows binding across ESR1, a known target gene of SMARCC2/BAF170 (see additional figure containing ChIP-qPCR data).
undefined Image 26: BAF Complex Antibody Sampler Kit
CUT&RUN was performed with MCF7 cells grown in phenol red free medium and 5% charcoal stripped FBS for 4 d followed by treatment with β-estradiol (10 nM, 45 min) and SMARCC2/BAF170 (D8O9V) Rabbit mAb or Rabbit (DA1E) mAb IgG XP® Isotype Control (CUT&RUN) #66362, using CUT&RUN Assay Kit #86652. The enriched DNA was quantified by real-time PCR using SimpleChIP® Human pS2 Promoter Primers #9702, human TMEM53 promoter, SimpleChIP® Human α Satellite Repeat Primers #4486. The amount of immunoprecipitated DNA in each sample is represented as signal relative to the total amount of input chromatin, which is equivalent to one.
undefined Image 27: BAF Complex Antibody Sampler Kit
Orders: 877-616-CELL (2355) [email protected] Support: 877-678-TECH (8324) [email protected] Web: cellsignal.com
For Research Use Only. Not for Use in Diagnostic Procedures.

Revision 1

Cell Signaling Technology Logo
Immunohistochemical analysis of paraffin-embedded human colon carcinoma using SMARCB1/BAF47 (D8M1X) Rabbit mAb.
undefined Image 28: BAF Complex Antibody Sampler Kit
Chromatin immunoprecipitations were performed with cross-linked chromatin from MCF7 cells grown in phenol red free medium and 5% charcoal stripped FBS for 4 d, followed by treatment with β-estradiol (10 nM, 45 min) and either SMARCC1/BAF155 (D7F8S) Rabbit mAb, SMARCB1/BAF47 (D8M1X) Rabbit mAb #91735, or SS18 (D6I4Z) Rabbit mAb #21792, using SimpleChIP® Plus Enzymatic Chromatin IP Kit (Magnetic Beads) #9005. DNA Libraries were prepared using DNA Library Prep Kit for Illumina® (ChIP-seq, CUT&RUN) #56795. SMARCC1/BAF155, SMARCB1/BAF47, and SS18 are all subunits of SWI/SNF complex. The figure shows binding across chromosome 21 (upper), including pS2/TFF1 (lower), a known target gene of SWI/SNF complex (see additional figure containing ChIP-qPCR data).
undefined Image 29: BAF Complex Antibody Sampler Kit
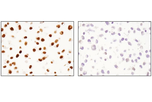
Immunohistochemical analysis of paraffin-embedded HeLa (left) and NCCIT (right) cell pellets using BRM (D9E8B) XP(R) Rabbit mAb.
undefined Image 30: BAF Complex Antibody Sampler Kit
Orders: 877-616-CELL (2355) [email protected] Support: 877-678-TECH (8324) [email protected] Web: cellsignal.com
For Research Use Only. Not for Use in Diagnostic Procedures.

Revision 1

Cell Signaling Technology Logo
Immunohistochemical analysis of paraffin-embedded cell pellets, COS-7 (left) or T-47D (right), using ARID1A/BAF250A (D2A8U) Rabbit mAb.
undefined Image 31: BAF Complex Antibody Sampler Kit
Chromatin immunoprecipitations were performed with cross-linked chromatin from MCF7 cells grown in phenol red-free medium and 5% charcoal-stripped FBS for 4 d followed by treatment with β-estradiol (10 nM, 45 min) and SMARCC2/BAF170 (D8O9V) Rabbit mAb, using SimpleChIP® Plus Enzymatic Chromatin IP Kit (Magnetic Beads) #9005. DNA Libraries were prepared using DNA Library Prep Kit for Illumina® (ChIP-seq, CUT&RUN) #56795. The figure shows binding across chromosome 6 (upper), including ESR1 (lower), a known target gene of SMARCC2/BAF170 (see additional figure containing ChIP-qPCR data).
undefined Image 32: BAF Complex Antibody Sampler Kit
Immunohistochemical analysis of paraffin-embedded mouse colon using SMARCB1/BAF47 (D8M1X) Rabbit mAb.
undefined Image 33: BAF Complex Antibody Sampler Kit
Orders: 877-616-CELL (2355) [email protected] Support: 877-678-TECH (8324) [email protected] Web: cellsignal.com
For Research Use Only. Not for Use in Diagnostic Procedures.

Revision 1

Cell Signaling Technology Logo
Chromatin immunoprecipitations were performed with cross-linked chromatin from MCF7 cells, grown in phenol red-free medium and 5% charcoal-stripped FBS for 4 d followed by treatment with β-estradiol (10 nM, 45 min), and either SMARCC1/BAF155 (D7F8S) Rabbit mAb or Normal Rabbit IgG #2729 using SimpleChIP® Plus Enzymatic Chromatin IP Kit (Magnetic Beads) #9005. The enriched DNA was quantified by real-time PCR using SimpleChIP® Human ESR1 Promoter Primers #9673, SimpleChIP® Human pS2 Promoter Primers #9702, and SimpleChIP® Human α Satellite Repeat Primers #4486. The amount of immunoprecipitated DNA in each sample is represented as signal relative to the total amount of input chromatin, which is equivalent to one.
undefined Image 34: BAF Complex Antibody Sampler Kit
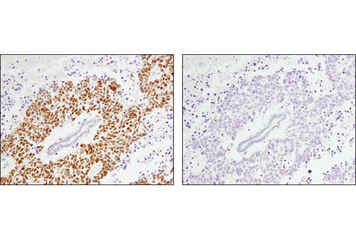
Immunohistochemical analysis of paraffin-embedded human lung adenosquamous carcinoma using ARID1A/BAF250A (D2A8U) Rabbit mAb in the presence of control peptide (left) or antigen-specific peptide (right).
undefined Image 35: BAF Complex Antibody Sampler Kit
Chromatin immunoprecipitations were performed with cross-linked chromatin from MCF7 cells, grown in phenol red-free medium and 5% charcoal-stripped FBS for 4 d followed by treatment with β-estradiol (10 nM, 45 min), and either SMARCC2/BAF170 (D8O9V) Rabbit mAb or Normal Rabbit IgG #2729 using SimpleChIP® Enzymatic Chromatin IP Kit (Magnetic Beads) #9003. The enriched DNA was quantified by real-time PCR using SimpleChIP® Human ESR1 Promoter Primers #9673, SimpleChIP® Human pS2 Promoter Primers #9702, and SimpleChIP® Human α Satellite Repeat Primers #4486. The amount of immunoprecipitated DNA in each sample is represented as signal relative to the total amount of input chromatin, which is equivalent to one.
undefined Image 36: BAF Complex Antibody Sampler Kit
Orders: 877-616-CELL (2355) [email protected] Support: 877-678-TECH (8324) [email protected] Web: cellsignal.com
For Research Use Only. Not for Use in Diagnostic Procedures.

Revision 1

Cell Signaling Technology Logo
Immunohistochemical analysis of paraffin-embedded endometrioid adenocarcinoma using SMARCB1/BAF47 (D8M1X) Rabbit mAb.
undefined Image 37: BAF Complex Antibody Sampler Kit
CUT&RUN was performed with NCCIT cells and SMARCC1/BAF155 (D7F8S) Rabbit mAb, using CUT&RUN Assay Kit #86652. DNA Libraries were prepared using DNA Library Prep Kit for Illumina® (ChIP-seq, CUT&RUN) #56795. The figure shows binding across Sox2, a known target gene of SMARCC1 (see additional figure containing CUT&RUN-qPCR data).
undefined Image 38: BAF Complex Antibody Sampler Kit
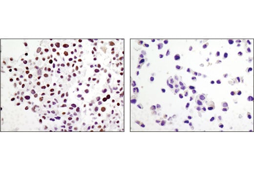
Immunohistochemical analysis of paraffin-embedded HeLa (left) and A204 (right) cell pellets using SMARCB1/BAF47 (D8M1X) Rabbit mAb.
undefined Image 39: BAF Complex Antibody Sampler Kit
Orders: 877-616-CELL (2355) [email protected] Support: 877-678-TECH (8324) [email protected] Web: cellsignal.com
For Research Use Only. Not for Use in Diagnostic Procedures.

Revision 1

Cell Signaling Technology Logo
CUT&RUN was performed with NCCIT cells and SMARCC1/BAF155 (D7F8S) Rabbit mAb, using CUT&RUN Assay Kit #86652. DNA Libraries were prepared using DNA Library Prep Kit for Illumina® (ChIP-seq, CUT&RUN) #56795. The figures show binding across chromosome 3 (upper), including Sox2 (lower), a known target gene of SMARCC1 (see additional figure containing CUT&RUN-qPCR data).
undefined Image 40: BAF Complex Antibody Sampler Kit
Confocal immunofluorescent analysis of HeLa (positive, left) and NCCIT (negative, right) cells using BRM (D9E8B) XP® Rabbit mAb (green) and β-Actin (8H10D10) Mouse mAb #3700 (red).
undefined Image 41: BAF Complex Antibody Sampler Kit
Immunohistochemical analysis of paraffin-embedded human lung carcinoma using SMARCB1/BAF47 (D8M1X) Rabbit mAb in the presence of control peptide (left) or antigen-specific peptide (right).
undefined Image 42: BAF Complex Antibody Sampler Kit
Orders: 877-616-CELL (2355) [email protected] Support: 877-678-TECH (8324) [email protected] Web: cellsignal.com
For Research Use Only. Not for Use in Diagnostic Procedures.

Revision 1

Cell Signaling Technology Logo
CUT&RUN was performed with NCCIT cells and either SMARCC1/BAF155 (D7F8S) Rabbit mAb or Rabbit (DA1E) mAb IgG XP® Isotype Control (CUT&RUN) #66362, using CUT&RUN Assay Kit #86652. The enriched DNA was quantified by real-time PCR using SimpleChIP® Human Oct-4 Promoter Primers #4641, SimpleChIP® Human Sox2 Promoter Primers #4649 and SimpleChIP® Human α Satellite Repeat Primers #4486. The amount of immunoprecipitated DNA in each sample is represented as signal relative to the total amount of input chromatin, which is equivalent to one.
undefined Image 43: BAF Complex Antibody Sampler Kit
Chromatin immunoprecipitations were performed with cross-linked chromatin from MCF7 cells grown in phenol red free medium and 5% charcoal stripped FBS for 4 d followed by treatment with β-estradiol (10 nM, 45 min) and either BRM (D9E8B) XP® Rabbit mAb or Normal Rabbit IgG #2729 using SimpleChIP® Enzymatic Chromatin IP Kit (Magnetic Beads) #9003. The enriched DNA was quantified by real-time PCR using SimpleChIP® Human ESR1 Promoter Primers #9673, SimpleChIP® Human pS2 Promoter Primers #9702, and SimpleChIP® Human α Satellite Repeat Primers #4486. The amount of immunoprecipitated DNA in each sample is represented as signal relative to the total amount of input chromatin, which is equivalent to one.
undefined Image 44: BAF Complex Antibody Sampler Kit
Chromatin immunoprecipitations were performed with cross-linked chromatin from MCF7 cells grown in phenol red free medium and 5% charcoal stripped FBS for 4 d, followed by treatment with β-estradiol (10 nM, 45 min) and either SMARCC1/BAF155 (D7F8S) Rabbit mAb #11956, SMARCB1/BAF47 (D8M1X) Rabbit mAb #91735, or SS18 (D6I4Z) Rabbit mAb #21792, using SimpleChIP® Plus Enzymatic Chromatin IP Kit (Magnetic Beads) #9005. DNA Libraries were prepared using DNA Library Prep Kit for Illumina® (ChIP-seq, CUT&RUN) #56795. SMARCC1/BAF155, SMARCB1/BAF47, and SS18 are all subunits of SWI/SNF complex. The figure shows binding across pS2/TFF1, a known target gene of SWI/SNF complex (see additional figure containing ChIP-qPCR data). For additional ChIP-seq tracks, please download the product data sheet.
undefined Image 45: BAF Complex Antibody Sampler Kit
Orders: 877-616-CELL (2355) [email protected] Support: 877-678-TECH (8324) [email protected] Web: cellsignal.com
For Research Use Only. Not for Use in Diagnostic Procedures.

Revision 1

Cell Signaling Technology Logo
Chromatin immunoprecipitations were performed with cross-linked chromatin from MCF7 cells grown in phenol red free medium and 5% charcoal stripped FBS for 4 d, followed by treatment with β-estradiol (10 nM, 45 min) and either SMARCC1/BAF155 (D7F8S) Rabbit mAb #11956, SMARCB1/BAF47 (D8M1X) Rabbit mAb, or SS18 (D6I4Z) Rabbit mAb #21792, using SimpleChIP® Plus Enzymatic Chromatin IP Kit (Magnetic Beads) #9005. DNA Libraries were prepared using DNA Library Prep Kit for Illumina® (ChIP-seq, CUT&RUN) #56795. SMARCC1/BAF155, SMARCB1/BAF47, and SS18 are all subunits of SWI/SNF complex. The figure shows binding across chromosome 21 (upper), including pS2/TFF1 (lower), a known target gene of SWI/SNF complex (see additional figure containing ChIP-qPCR data).
undefined Image 46: BAF Complex Antibody Sampler Kit
Chromatin immunoprecipitations were performed with cross-linked chromatin from MCF7 cells grown in phenol red free medium and 5% charcoal stripped FBS for 4 d followed by treatment with β-estradiol (10 nM, 45 min) and either SMARCB1/BAF47 (D8M1X) Rabbit mAb or Normal Rabbit IgG #2729 using SimpleChIP® Enzymatic Chromatin IP Kit (Magnetic Beads) #9003. The enriched DNA was quantified by real-time PCR using SimpleChIP® Human ESR1 Promoter Primers #9673, SimpleChIP® Human pS2 Promoter Primers #9702, and SimpleChIP® Human α Satellite Repeat Primers #4486. The amount of immunoprecipitated DNA in each sample is represented as signal relative to the total amount of input chromatin, which is equivalent to one.
undefined Image 47: BAF Complex Antibody Sampler Kit
CUT&RUN was performed with MCF7 cells grown in phenol red free medium and 5% charcoal stripped FBS for 4 days followed by treatment with β-estradiol (10 nM, 45 min) and SMARCB1/BAF47 (D8M1X) Rabbit mAb, using CUT&RUN Assay Kit #86652. DNA library was prepared using DNA Library Prep Kit for Illumina® (ChIP-seq, CUT&RUN) #56795. The figure shows binding across TFF1, a known target gene of SMARCB1 (see additional figure containing CUT&RUN-qPCR data).
undefined Image 48: BAF Complex Antibody Sampler Kit
Orders: 877-616-CELL (2355) [email protected] Support: 877-678-TECH (8324) [email protected] Web: cellsignal.com
For Research Use Only. Not for Use in Diagnostic Procedures.

Revision 1

Cell Signaling Technology Logo
Immunoprecipitation of BRM protein from HeLa cell extracts. Lane 1 is 10% input, lane 2 is Rabbit (DA1E) mAb IgG XP® Isotype Control #3900, and lane 3 is BRM (D9E8B) XP® Rabbit mAb. Western blot analysis was performed using BRM (D9E8B) XP® Rabbit mAb.
undefined Image 49: BAF Complex Antibody Sampler Kit
CUT&RUN was performed with MCF7 cells grown in phenol red free medium and 5% charcoal stripped FBS for 4 days followed by treatment with β-estradiol (10 nM, 45 min) and SMARCB1/BAF47 (D8M1X) Rabbit mAb, using CUT&RUN Assay Kit #86652. DNA Libraries were prepared using DNA Library Prep Kit for Illumina® (ChIP-seq, CUT&RUN) #56795. The figures show binding across chromosome 21 (upper), including TFF1 (lower), a known target gene of SMARCB1 (see additional figure containing CUT&RUN-qPCR data).
undefined Image 50: BAF Complex Antibody Sampler Kit
CUT&RUN was performed with MCF7 cells grown in phenol red free medium and 5% charcoal stripped FBS for 4 days followed by treatment with β-estradiol (10 nM, 45 min) and either SMARCB1/BAF47 (D8M1X) Rabbit mAb or Rabbit (DA1E) mAb IgG XP® Isotype Control (CUT&RUN) #66362, using CUT&RUN Assay Kit #86652. The enriched DNA was quantified by real-time PCR using SimpleChIP® Human ESR1 Promoter Primers #9673, SimpleChIP® Human pS2 Promoter Primers #9702, and SimpleChIP® Human α Satellite Repeat Primers #4486. The amount of immunoprecipitated DNA in each sample is represented as signal relative to the total amount of input chromatin, which is equivalent to one.
undefined Image 51: BAF Complex Antibody Sampler Kit
Orders: 877-616-CELL (2355) [email protected] Support: 877-678-TECH (8324) [email protected] Web: cellsignal.com
For Research Use Only. Not for Use in Diagnostic Procedures.

Revision 1

Cell Signaling Technology Logo
Simple Western™ analysis of lysates (1 mg/mL) from A549 cells using BRM (D9E8B) XP® Rabbit mAb #11966. The virtual lane view (left) shows the target band (as indicated) at 1:10 and 1:50 dilutions of primary antibody. The corresponding electropherogram view (right) plots chemiluminescence by molecular weight along the capillary at 1:10 (blue line) and 1:50 (green line) dilutions of primary antibody. This experiment was performed under reducing conditions on the Jess™ ​​​​​​​ Simple Western instrument from ProteinSimple, a BioTechne brand, using the 12-230 kDa separation module.
undefined Image 52: BAF Complex Antibody Sampler Kit
Orders: 877-616-CELL (2355) [email protected] Support: 877-678-TECH (8324) [email protected] Web: cellsignal.com
For Research Use Only. Not for Use in Diagnostic Procedures.