Revision 1

#42977

Store at -20C

CST Logo
Orders:

877-616-CELL (2355)

[email protected]

Support:

877-678-TECH (8324)

3 Trask Lane | Danvers | Massachusetts | 01923 | USA

For Research Use Only. Not for Use in Diagnostic Procedures.

Applications:
W, IHC-P

Reactivity:
H

Sensitivity:
Endogenous

MW (kDa):
20

Source/Isotype:
Rabbit IgG

UniProt ID:
#Q07812

Entrez-Gene Id:
581

Product Usage Information

This product is the carrier free version of product #5023. All data were generated using the same antibody clone in the standard formulation which contains BSA and glycerol.

This formulation is ideal for use with technologies requiring specialized or custom antibody labeling, including fluorophores, metals, lanthanides, and oligonucleotides. It is not recommended for ChIP, ChIP-seq, CUT&RUN or CUT&Tag assays. If you require a carrier free formulation for chromatin profiling, please contact us. Optimal dilutions/concentrations should be determined by the end user.

BSA and Azide Free antibodies are quality control tested by size exclusion chromatography (SEC) to determine antibody integrity.

Formulation

Supplied in 1X PBS (10 mM Na2HPO4, 3 mM KCl, 2 mM KH2PO4, and 140 mM NaCl (pH 7.8)). BSA and Azide Free.

For standard formulation of this product see product #5023

Storage

Store at -20°C. This product will freeze at -20°C so it is recommended to aliquot into single-use vials to avoid multiple freeze/thaw cycles. A slight precipitate may be present and can be dissolved by gently vortexing. This will not interfere with antibody performance.

Specificity/Sensitivity

Bax (D2E11) Rabbit Monoclonal Antibody (BSA and Azide Free) detects endogenous levels of total Bax protein.

Source / Purification

Monoclonal antibody is produced by immunizing animals with a synthetic peptide corresponding to residues surrounding Leu45 of human Bax protein.

Background

The Bcl-2 family consists of a number of evolutionarily conserved proteins containing Bcl-2 homology domains (BH) that regulate apoptosis through control of mitochondrial membrane permeability and release of cytochrome c (1-3). Four BH domains have been identified (BH1-4) that mediate protein interactions. The family can be separated into three groups based upon function and sequence homology: pro-survival members include Bcl-2, Bcl-xL, Mcl-1, A1 and Bcl-w; pro-apoptotic proteins include Bax, Bak and Bok; and "BH3 only" proteins Bad, Bik, Bid, Puma, Bim, Bmf, Noxa and Hrk. Interactions between death-promoting and death-suppressing Bcl-2 family members has led to a rheostat model in which the ratio of pro-apoptotic and anti-apoptotic proteins controls cell fate (4). Thus, pro-survival members exert their behavior by binding to and antagonizing death-promoting members. In general, the "BH3-only members" can bind to and antagonize the pro-survival proteins leading to increased apoptosis (5). While some redundancy of this system likely exists, tissue specificity, transcriptional and post-translational regulation of many of these family members can account for distinct physiological roles.
Bax is a key component for cellular induced apoptosis through mitochondrial stress (6). Upon apoptotic stimulation, Bax forms oligomers and translocates from the cytosol to the mitochondrial membrane (7). Through interactions with pore proteins on the mitochondrial membrane, Bax increases the membrane's permeability, which leads to the release of cytochrome c from mitochondria, activation of caspase-9 and initiation of the caspase activation pathway for apoptosis (8,9).

Species Reactivity

Species reactivity is determined by testing in at least one approved application (e.g., western blot).

Applications Key

W: Western Blotting IHC-P: Immunohistochemistry (Paraffin)

Cross-Reactivity Key

H: Human

Trademarks and Patents

Cell Signaling Technology is a trademark of Cell Signaling Technology, Inc.

All other trademarks are the property of their respective owners. Visit cellsignal.com/trademarks for more information.

Limited Uses

Except as otherwise expressly agreed in a writing signed by a legally authorized representative of CST, the following terms apply to Products provided by CST, its affiliates or its distributors. Any Customer's terms and conditions that are in addition to, or different from, those contained herein, unless separately accepted in writing by a legally authorized representative of CST, are rejected and are of no force or effect.

Products are labeled with For Research Use Only or a similar labeling statement and have not been approved, cleared, or licensed by the FDA or other regulatory foreign or domestic entity, for any purpose. Customer shall not use any Product for any diagnostic or therapeutic purpose, or otherwise in any manner that conflicts with its labeling statement. Products sold or licensed by CST are provided for Customer as the end-user and solely for research and development uses. Any use of Product for diagnostic, prophylactic or therapeutic purposes, or any purchase of Product for resale (alone or as a component) or other commercial purpose, requires a separate license from CST. Customer shall (a) not sell, license, loan, donate or otherwise transfer or make available any Product to any third party, whether alone or in combination with other materials, or use the Products to manufacture any commercial products, (b) not copy, modify, reverse engineer, decompile, disassemble or otherwise attempt to discover the underlying structure or technology of the Products, or use the Products for the purpose of developing any products or services that would compete with CST products or services, (c) not alter or remove from the Products any trademarks, trade names, logos, patent or copyright notices or markings, (d) use the Products solely in accordance with CST Product Terms of Sale and any applicable documentation, and (e) comply with any license, terms of service or similar agreement with respect to any third party products or services used by Customer in connection with the Products.

Orders: 877-616-CELL (2355) [email protected] Support: 877-678-TECH (8324) [email protected] Web: cellsignal.com
For Research Use Only. Not for Use in Diagnostic Procedures.

Revision 1

Cell Signaling Technology Logo
Western blot analysis of extracts from control HeLa cells (lane 1) or Bax knockout HeLa cells (lane 2) using Bax (D2E11) Rabbit mAb #5023 (upper), or β-actin (13E5) Rabbit mAb #4970 (lower). The absence of signal in the Bax-knockout HeLa cells confirms specificity of the antibody for Bax. Data were generated using the standard formulation of this product.
Western Blotting Image 1: Bax (D2E11) Rabbit Monoclonal Antibody (BSA and Azide Free)
Western blot analysis of extracts from various cell lines using Bax (D2E11) Rabbit mAb. Brimmel et al. demonstated that Jurkat cells lack Bax protein expression (10). Data were generated using the standard formulation of this product.
Western Blotting Image 2: Bax (D2E11) Rabbit Monoclonal Antibody (BSA and Azide Free)
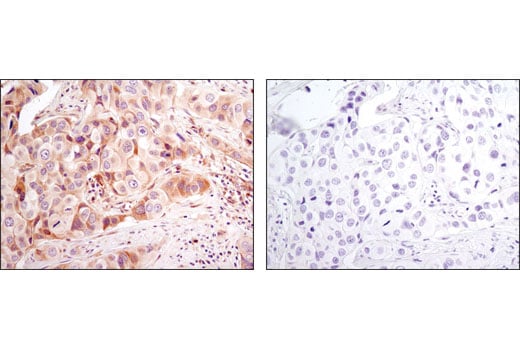
Immunohistochemical analysis of paraffin-embedded human breast caricnoma using Bax (D2E11) Rabbit mAb in the presence of control peptide (upper) or antigen-specific peptide (lower). Data were generated using the standard formulation of this product.
Immunohistochemistry Image 1: Bax (D2E11) Rabbit Monoclonal Antibody (BSA and Azide Free)
Orders: 877-616-CELL (2355) [email protected] Support: 877-678-TECH (8324) [email protected] Web: cellsignal.com
For Research Use Only. Not for Use in Diagnostic Procedures.