Revision 1

#82318

Store at -20C

CST Logo
Orders:

877-616-CELL (2355)

[email protected]

Support:

877-678-TECH (8324)

3 Trask Lane | Danvers | Massachusetts | 01923 | USA

For Research Use Only. Not for Use in Diagnostic Procedures.

Applications:
W, IP

Reactivity:
H M R Mk

Sensitivity:
Endogenous

MW (kDa):
42

Source/Isotype:
Rabbit IgG

UniProt ID:
#O14874

Entrez-Gene Id:
10295

Product Usage Information

Application Dilution
Western Blotting 1:1000
Immunoprecipitation 1:100

Storage

Supplied in 10 mM sodium HEPES (pH 7.5), 150 mM NaCl, 100 µg/mL BSA, 50% glycerol, and less than 0.02% sodium azide. Store at –20°C. Do not aliquot the antibody.

Specificity/Sensitivity

BCKDK (E5B6J) Rabbit Monoclonal Antibody recognizes endogenous levels of total BCKDK protein.

Source / Purification

Monoclonal antibody is produced by immunizing animals with a synthetic peptide corresponding to residues near the carboxy terminus of human BCKDK protein.

Background

Branched-chain amino acids (BCAAs) leucine, isoleucine, and valine are essential amino acids in mammals, but elevated levels of BCAAs have been implicated in cardiovascular and metabolic disorders (1). The branched-chain α-keto acid dehydrogenase complex (BCKDH) catalyzes the rate-limiting step in the BCAA degradation pathway (2,3). Branched-chain α-keto acid decarboxylase (BCKDH-E1) is one of three enzymatic components in this complex (3). The α subunit of BCKDH-E1 (BCKDH-E1α) is critical for the regulation of BCKDH. Branched-chain α-keto acid dehydrogenase kinase (BCKDK) phosphorylates BCKDH-E1α (4). Phosphorylation of BCKDH-E1α plays a key role in regulating the enzymatic activity of this complex (3-6).

Species Reactivity

Species reactivity is determined by testing in at least one approved application (e.g., western blot).

Western Blot Buffer

IMPORTANT: For western blots, incubate membrane with diluted primary antibody in 5% w/v BSA, 1X TBS, 0.1% Tween® 20 at 4°C with gentle shaking, overnight.

Applications Key

W: Western Blotting IP: Immunoprecipitation

Cross-Reactivity Key

H: Human M: Mouse R: Rat Mk: Monkey

Trademarks and Patents

Cell Signaling Technology is a trademark of Cell Signaling Technology, Inc.

All other trademarks are the property of their respective owners. Visit cellsignal.com/trademarks for more information.

Limited Uses

Except as otherwise expressly agreed in a writing signed by a legally authorized representative of CST, the following terms apply to Products provided by CST, its affiliates or its distributors. Any Customer's terms and conditions that are in addition to, or different from, those contained herein, unless separately accepted in writing by a legally authorized representative of CST, are rejected and are of no force or effect.

Products are labeled with For Research Use Only or a similar labeling statement and have not been approved, cleared, or licensed by the FDA or other regulatory foreign or domestic entity, for any purpose. Customer shall not use any Product for any diagnostic or therapeutic purpose, or otherwise in any manner that conflicts with its labeling statement. Products sold or licensed by CST are provided for Customer as the end-user and solely for research and development uses. Any use of Product for diagnostic, prophylactic or therapeutic purposes, or any purchase of Product for resale (alone or as a component) or other commercial purpose, requires a separate license from CST. Customer shall (a) not sell, license, loan, donate or otherwise transfer or make available any Product to any third party, whether alone or in combination with other materials, or use the Products to manufacture any commercial products, (b) not copy, modify, reverse engineer, decompile, disassemble or otherwise attempt to discover the underlying structure or technology of the Products, or use the Products for the purpose of developing any products or services that would compete with CST products or services, (c) not alter or remove from the Products any trademarks, trade names, logos, patent or copyright notices or markings, (d) use the Products solely in accordance with CST Product Terms of Sale and any applicable documentation, and (e) comply with any license, terms of service or similar agreement with respect to any third party products or services used by Customer in connection with the Products.

Orders: 877-616-CELL (2355) [email protected] Support: 877-678-TECH (8324) [email protected] Web: cellsignal.com
For Research Use Only. Not for Use in Diagnostic Procedures.

Revision 1

Cell Signaling Technology Logo
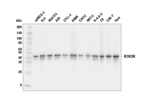
Western blot analysis of extracts from various cell lines using BCKDK (E5B6J) Rabbit mAb.
Western Blotting Image 1: BCKDK (E5B6J) Rabbit Monoclonal Antibody
Western blot analysis of extracts from various cell lines using BCKDK (E5B6J) Rabbit mAb.
Western Blotting Image 2: BCKDK (E5B6J) Rabbit Monoclonal Antibody
Immunoprecipitation of BCKDK protein from 293T cell extracts. Lane 1 is 10% input, lane 2 is Rabbit (DA1E) mAb IgG XP® Isotype Control #3900, and lane 3 is BCKDK (E5B6J) Rabbit mAb. Western blot analysis was performed using
BCKDK (E5B6J) Rabbit mAb. Anti-rabbit IgG, HRP-linked Antibody #7074 was used as a secondary antibody.
Immunoprecipitation Image 1: BCKDK (E5B6J) Rabbit Monoclonal Antibody
Orders: 877-616-CELL (2355) [email protected] Support: 877-678-TECH (8324) [email protected] Web: cellsignal.com
For Research Use Only. Not for Use in Diagnostic Procedures.