Revision 9

#15071

Store at -20C

CST Logo
Orders:

877-616-CELL (2355)

[email protected]

Support:

877-678-TECH (8324)

3 Trask Lane | Danvers | Massachusetts | 01923 | USA

For Research Use Only. Not for Use in Diagnostic Procedures.

Applications:
W, W-S, IP, IHC-Bond, IHC-P, IF-IC, FC-FP

Reactivity:
H

Sensitivity:
Endogenous

MW (kDa):
26

Source/Isotype:
Mouse IgG1

UniProt ID:
#P10415

Entrez-Gene Id:
596

Product Usage Information

Application Dilution
Western Blotting 1:1000
Simple Western™ 1:10 - 1:50
Immunoprecipitation 1:50
IHC Leica Bond 1:800 - 1:3200
Immunohistochemistry (Paraffin) 1:400 - 1:1600
Immunofluorescence (Immunocytochemistry) 1:50 - 1:200
Flow Cytometry (Fixed/Permeabilized) 1:200 - 1:800

Storage

Supplied in 10 mM sodium HEPES (pH 7.5), 150 mM NaCl, 100 µg/ml BSA, 50% glycerol and less than 0.02% sodium azide. Store at –20°C. Do not aliquot the antibody.

For a carrier-free (BSA and azide free) version of this product see product #17447

Specificity/Sensitivity

Bcl-2 (124) Mouse Monoclonal Antibody recognizes endogenous levels of total Bcl-2 protein.

Source / Purification

Monoclonal antibody is produced by immunizing animals with a synthetic peptide corresponding to residues surrounding Gly47 of human Bcl-2 protein.

Background

Bcl-2 exerts a survival function in response to a wide range of apoptotic stimuli through inhibition of mitochondrial cytochrome c release (1). It has been implicated in modulating mitochondrial calcium homeostasis and proton flux (2). Several phosphorylation sites have been identified within Bcl-2, including Thr56, Ser70, Thr74, and Ser87 (3). It has been suggested that these phosphorylation sites may be targets of the ASK1/MKK7/JNK1 pathway and that phosphorylation of Bcl-2 may be a marker for mitotic events (4,5). Mutation of Bcl-2 at Thr56 or Ser87 inhibits its anti-apoptotic activity during glucocorticoid-induced apoptosis of T lymphocytes (6). Interleukin-3 and JNK-induced Bcl-2 phosphorylation at Ser70 may be required for its enhanced anti-apoptotic functions (7).

Species Reactivity

Species reactivity is determined by testing in at least one approved application (e.g., western blot).

Western Blot Buffer

IMPORTANT: For western blots, incubate membrane with diluted primary antibody in 5% w/v BSA, 1X TBS, 0.1% Tween® 20 at 4°C with gentle shaking, overnight.

Applications Key

W: Western Blotting W-S: Simple Western™ IP: Immunoprecipitation IHC-Bond: IHC Leica Bond IHC-P: Immunohistochemistry (Paraffin) IF-IC: Immunofluorescence (Immunocytochemistry) FC-FP: Flow Cytometry (Fixed/Permeabilized)

Cross-Reactivity Key

H: Human

Trademarks and Patents

Cell Signaling Technology is a trademark of Cell Signaling Technology, Inc.

SignalStain is a registered trademark of Cell Signaling Technology, Inc.

All other trademarks are the property of their respective owners. Visit cellsignal.com/trademarks for more information.

Limited Uses

Except as otherwise expressly agreed in a writing signed by a legally authorized representative of CST, the following terms apply to Products provided by CST, its affiliates or its distributors. Any Customer's terms and conditions that are in addition to, or different from, those contained herein, unless separately accepted in writing by a legally authorized representative of CST, are rejected and are of no force or effect.

Products are labeled with For Research Use Only or a similar labeling statement and have not been approved, cleared, or licensed by the FDA or other regulatory foreign or domestic entity, for any purpose. Customer shall not use any Product for any diagnostic or therapeutic purpose, or otherwise in any manner that conflicts with its labeling statement. Products sold or licensed by CST are provided for Customer as the end-user and solely for research and development uses. Any use of Product for diagnostic, prophylactic or therapeutic purposes, or any purchase of Product for resale (alone or as a component) or other commercial purpose, requires a separate license from CST. Customer shall (a) not sell, license, loan, donate or otherwise transfer or make available any Product to any third party, whether alone or in combination with other materials, or use the Products to manufacture any commercial products, (b) not copy, modify, reverse engineer, decompile, disassemble or otherwise attempt to discover the underlying structure or technology of the Products, or use the Products for the purpose of developing any products or services that would compete with CST products or services, (c) not alter or remove from the Products any trademarks, trade names, logos, patent or copyright notices or markings, (d) use the Products solely in accordance with CST Product Terms of Sale and any applicable documentation, and (e) comply with any license, terms of service or similar agreement with respect to any third party products or services used by Customer in connection with the Products.

Orders: 877-616-CELL (2355) [email protected] Support: 877-678-TECH (8324) [email protected] Web: cellsignal.com
For Research Use Only. Not for Use in Diagnostic Procedures.

Revision 9

Cell Signaling Technology Logo
Western blot analysis of extracts from control HeLa cells (lane 1) or Bcl-2 knockout HeLa cells (lane 2) using Bcl-2 (124) Mouse mAb #15071 (upper), or β-actin (13E5) Rabbit mAb #4970 (lower). The absence of signal in the Bcl-2-knockout HeLa cells confirms specificity of the antibody for Bcl-2.
Western Blotting Image 1: Bcl-2 (124) Mouse Monoclonal Antibody
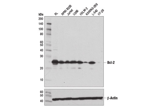
Western blot analysis of extracts from various cell lines using Bcl-2 (124) Mouse mAb (upper) and β-Actin (D6A8) Rabbit mAb #8457 (lower). KARPAS cell Line source: Dr Abraham Karpas at the University of Cambridge.
Western Blotting Image 2: Bcl-2 (124) Mouse Monoclonal Antibody
Simple Western™ analysis of lysates (1 mg/mL) from Jurkat cells using Bcl-2 (124) Mouse mAb #15071. The virtual lane view (left) shows the target band (as indicated) at 1:10 and 1:50 dilutions of primary antibody. The corresponding electropherogram view (right) plots chemiluminescence by molecular weight along the capillary at 1:10 (blue line) and 1:50 (green line) dilutions of primary antibody. This experiment was performed under reducing conditions on the Jess™ ​​​​​​​ Simple Western instrument from ProteinSimple, a BioTechne brand, using the 12-230 kDa separation module.

Western Blotting Image 1: Bcl-2 (124) Mouse Monoclonal Antibody
Orders: 877-616-CELL (2355) [email protected] Support: 877-678-TECH (8324) [email protected] Web: cellsignal.com
For Research Use Only. Not for Use in Diagnostic Procedures.

Revision 9

Cell Signaling Technology Logo
Immunoprecipitation of Bcl-2 from RL cell extracts using Mouse (G3A1) mAb IgG1 Isotype Control #5415 (lane 2) or Bcl-2 (124) Mouse mAb (lane 3). Lane 1 is 10% input. Western blot was performed using Bcl-2 (D55G8) Rabbit mAb (Human Specific) #4223.
Immunoprecipitation Image 1: Bcl-2 (124) Mouse Monoclonal Antibody
Immunohistochemical analysis of paraffin-embedded human ductal breast carcinoma using Bcl-2 (124) mouse mAb performed on the Leica® BOND™ Rx.
Immunohistochemistry Image 1: Bcl-2 (124) Mouse Monoclonal Antibody
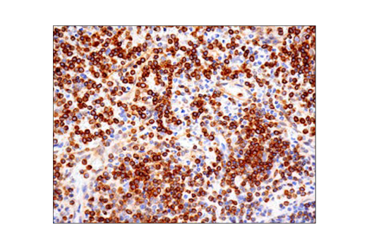
Immunohistochemical analysis of paraffin-embedded human non-Hodgkin’s lymphoma using Bcl-2 (124) mouse mAb performed on the Leica® BOND™ Rx. 
Immunohistochemistry Image 2: Bcl-2 (124) Mouse Monoclonal Antibody
Orders: 877-616-CELL (2355) [email protected] Support: 877-678-TECH (8324) [email protected] Web: cellsignal.com
For Research Use Only. Not for Use in Diagnostic Procedures.

Revision 9

Cell Signaling Technology Logo
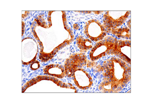
Immunohistochemical analysis of paraffin-embedded human ovarian clear cell carcinoma using Bcl-2 (124) mouse mAb performed on the Leica® BOND™ Rx.
Immunohistochemistry Image 3: Bcl-2 (124) Mouse Monoclonal Antibody
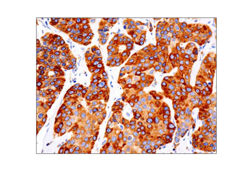
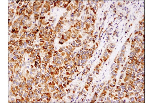
Immunohistochemical analysis of paraffin-embedded human breast carcinoma using Bcl-2 (124) Mouse mAb.
Immunohistochemistry Image 1: Bcl-2 (124) Mouse Monoclonal Antibody
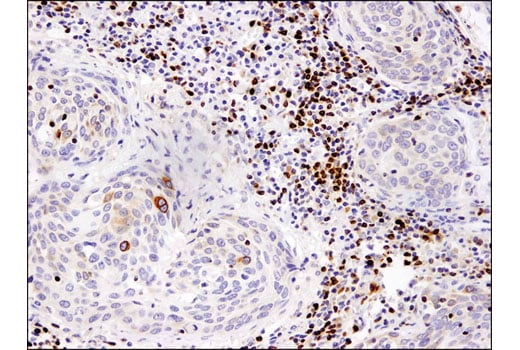
Immunohistochemical analysis of paraffin-embedded human lung carcinoma using Bcl-2 (124) Mouse mAb.
Immunohistochemistry Image 2: Bcl-2 (124) Mouse Monoclonal Antibody
Orders: 877-616-CELL (2355) [email protected] Support: 877-678-TECH (8324) [email protected] Web: cellsignal.com
For Research Use Only. Not for Use in Diagnostic Procedures.

Revision 9

Cell Signaling Technology Logo
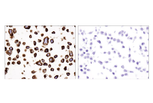
Immunohistochemical analysis of paraffin-embedded RL (positive, left) and HT-29 (negative, right) cell pellets using Bcl-2 (124) Mouse mAb.
Immunohistochemistry Image 3: Bcl-2 (124) Mouse Monoclonal Antibody
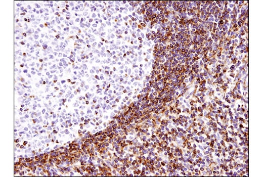
Immunohistochemical analysis of paraffin-embedded human tonsil using Bcl-2 (124) Mouse mAb.
Immunohistochemistry Image 4: Bcl-2 (124) Mouse Monoclonal Antibody
Confocal immunofluorescent analysis of RL cell pellet (left, positive) and HT-29 cells (right, negative) using Bcl-2 (124) Mouse mAb (green), AIF (D39D2) XP® Rabbit mAb #5318 (red), and ProLong Gold Antifade Reagent with DAPI #8961 (blue).
Immunofluorescence Image 1: Bcl-2 (124) Mouse Monoclonal Antibody
Orders: 877-616-CELL (2355) [email protected] Support: 877-678-TECH (8324) [email protected] Web: cellsignal.com
For Research Use Only. Not for Use in Diagnostic Procedures.

Revision 9

Cell Signaling Technology Logo
Flow cytometric analysis of HT-29 cells (blue) and RL cells (green) using Bcl-2 (124) Mouse mAb (solid lines) or a concentration-matched Mouse (G3A1) mAb IgG1 Isotype Control #5415 (dashed lines). Anti-mouse IgG (H+L), F(ab')2 Fragment (Alexa Fluor® 488 Conjugate) #4408 was used as a secondary antibody.
Flow Cytometry Image 1: Bcl-2 (124) Mouse Monoclonal Antibody
Orders: 877-616-CELL (2355) [email protected] Support: 877-678-TECH (8324) [email protected] Web: cellsignal.com
For Research Use Only. Not for Use in Diagnostic Procedures.