Revision 10

#2764

Store at -20C

CST Logo
Orders:

877-616-CELL (2355)

[email protected]

Support:

877-678-TECH (8324)

3 Trask Lane | Danvers | Massachusetts | 01923 | USA

For Research Use Only. Not for Use in Diagnostic Procedures.

Applications:
W, W-S, IP, IHC-P, IF-IC, FC-FP

Reactivity:
H M R Mk

Sensitivity:
Endogenous

MW (kDa):
30

Source/Isotype:
Rabbit IgG

UniProt ID:
#Q07817

Entrez-Gene Id:
598

Product Usage Information

Application Dilution
Western Blotting 1:1000
Simple Western™ 1:50 - 1:250
Immunoprecipitation 1:100
Immunohistochemistry (Paraffin) 1:600 - 1:2400
Immunofluorescence (Immunocytochemistry) 1:200 - 1:800
Flow Cytometry (Fixed/Permeabilized) 1:200 - 1:800

Storage

Supplied in 10 mM sodium HEPES (pH 7.5), 150 mM NaCl, 100 µg/ml BSA, 50% glycerol and less than 0.02% sodium azide. Store at –20°C. Do not aliquot the antibody.

For a carrier free (BSA and azide free) version of this product see product #61060.

Specificity/Sensitivity

Bcl-xL (54H6) Rabbit Monoclonal Antibody detects endogenous levels of total Bcl-xL protein. This antibody does not cross-react with other Bcl-2 family members.

Source / Purification

Monoclonal antibody is produced by immunizing animals with a synthetic peptide corresponding to residues surrounding Asp61 of human Bcl-xL.

Background

Bcl-xL prevents apoptosis through two different mechanisms: heterodimerization with an apoptotic protein inhibits its apoptotic effect (1,2) and formation of mitochondrial outer membrane pores help maintain a normal membrane state under stressful conditions (3). Bcl-xL is phosphorylated by JNK following treatment with microtubule-damaging agents, such as paclitaxel, vinblastine, and nocodazole (4,5).

Species Reactivity

Species reactivity is determined by testing in at least one approved application (e.g., western blot).

Western Blot Buffer

IMPORTANT: For western blots, incubate membrane with diluted primary antibody in 5% w/v nonfat dry milk, 1X TBS, 0.1% Tween® 20 at 4°C with gentle shaking, overnight.

Applications Key

W: Western Blotting W-S: Simple Western™ IP: Immunoprecipitation IHC-P: Immunohistochemistry (Paraffin) IF-IC: Immunofluorescence (Immunocytochemistry) FC-FP: Flow Cytometry (Fixed/Permeabilized)

Cross-Reactivity Key

H: Human M: Mouse R: Rat Mk: Monkey

Trademarks and Patents

Cell Signaling Technology is a trademark of Cell Signaling Technology, Inc.

SignalSilence is a registered trademark of Cell Signaling Technology, Inc.

All other trademarks are the property of their respective owners. Visit cellsignal.com/trademarks for more information.

Limited Uses

Except as otherwise expressly agreed in a writing signed by a legally authorized representative of CST, the following terms apply to Products provided by CST, its affiliates or its distributors. Any Customer's terms and conditions that are in addition to, or different from, those contained herein, unless separately accepted in writing by a legally authorized representative of CST, are rejected and are of no force or effect.

Products are labeled with For Research Use Only or a similar labeling statement and have not been approved, cleared, or licensed by the FDA or other regulatory foreign or domestic entity, for any purpose. Customer shall not use any Product for any diagnostic or therapeutic purpose, or otherwise in any manner that conflicts with its labeling statement. Products sold or licensed by CST are provided for Customer as the end-user and solely for research and development uses. Any use of Product for diagnostic, prophylactic or therapeutic purposes, or any purchase of Product for resale (alone or as a component) or other commercial purpose, requires a separate license from CST. Customer shall (a) not sell, license, loan, donate or otherwise transfer or make available any Product to any third party, whether alone or in combination with other materials, or use the Products to manufacture any commercial products, (b) not copy, modify, reverse engineer, decompile, disassemble or otherwise attempt to discover the underlying structure or technology of the Products, or use the Products for the purpose of developing any products or services that would compete with CST products or services, (c) not alter or remove from the Products any trademarks, trade names, logos, patent or copyright notices or markings, (d) use the Products solely in accordance with CST Product Terms of Sale and any applicable documentation, and (e) comply with any license, terms of service or similar agreement with respect to any third party products or services used by Customer in connection with the Products.

Orders: 877-616-CELL (2355) [email protected] Support: 877-678-TECH (8324) [email protected] Web: cellsignal.com
For Research Use Only. Not for Use in Diagnostic Procedures.

Revision 10

Cell Signaling Technology Logo
Western blot analysis of extracts from Jurkat and HeLa (human), COS (monkey), NIH/3T3 and L929 (mouse), and PC12 and C6 (rat) cells, using Bcl-xL (54H6) Rabbit mAb.
Western Blotting Image 1: Bcl-xL (54H6) Rabbit Monoclonal Antibody
Western blot analysis of extracts from HeLa cells, transfected with 100 nM SignalSilence® Control siRNA (Unconjugated) #6568 (-), SignalSilence® BcL-xL siRNA I (+) or SignalSilence® Bcl-xL siRNA II #6363 (+), using Bcl-xL (54H6) Rabbit mAb #2764 (upper) or α-Tubulin (11H10) Rabbit mAb #2125 (lower). The Bcl-xL (54H6) Rabbit mAb confirms silencing of Bcl-xL expression, while the α-Tubulin (11H10) Rabbit mAb is used as a loading control.
Western Blotting Image 2: Bcl-xL (54H6) Rabbit Monoclonal Antibody
Simple Western™ analysis of lysates (1.0 mg/mL) from HeLa cells using Bcl-xL (54H6) Rabbit mAb #2764. The virtual lane view (left) shows a single target band (as indicated) at 1:10 and 1:50 dilutions of primary antibody. The corresponding electropherogram view (right) plots chemiluminescence by molecular weight along the capillary at 1:10 (blue line) and 1:50 (green line) dilutions of primary antibody. This experiment was performed under reducing conditions on the Jess™ Simple Western instrument from ProteinSimple, a BioTechne brand, using the 12-230 kDa separation module.
Western Blotting Image 1: Bcl-xL (54H6) Rabbit Monoclonal Antibody
Orders: 877-616-CELL (2355) [email protected] Support: 877-678-TECH (8324) [email protected] Web: cellsignal.com
For Research Use Only. Not for Use in Diagnostic Procedures.

Revision 10

Cell Signaling Technology Logo
Immunoprecipitation of Bcl-xL from Jurkat cell extracts, using Bcl-xL (54H6) Rabbit mAb. Lane 1 is the lysate control, lane 2 is antibody alone and lane 3 is antibody plus lysate.
Immunoprecipitation Image 1: Bcl-xL (54H6) Rabbit Monoclonal Antibody
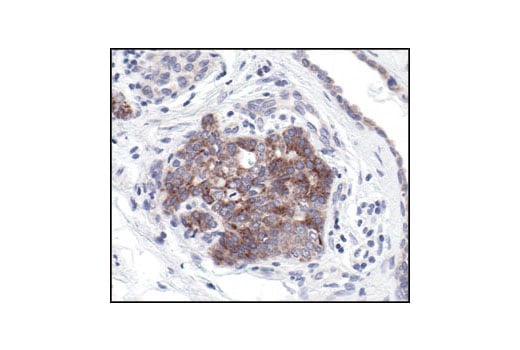
Immunohistochemical analysis of paraffin-embedded human lung carcinoma, using Bcl-xL (54H6) Rabbit mAb.
Immunohistochemistry Image 1: Bcl-xL (54H6) Rabbit Monoclonal Antibody
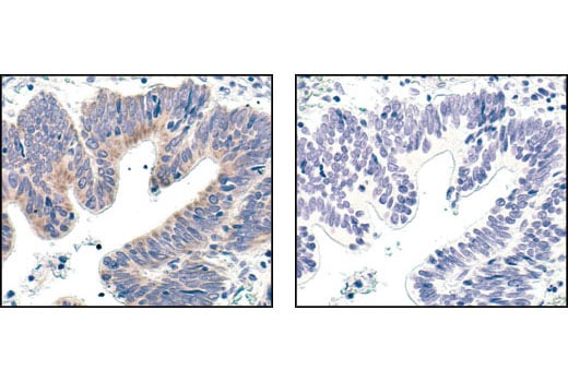
Immunohistochemical analysis of paraffin-embedded human colon carcinoma, using Bcl-xL (54H6) Rabbit mAb in the presence of control peptide (left) or Bcl-xL Blocking Peptide #1225 (right).
Immunohistochemistry Image 2: Bcl-xL (54H6) Rabbit Monoclonal Antibody
Orders: 877-616-CELL (2355) [email protected] Support: 877-678-TECH (8324) [email protected] Web: cellsignal.com
For Research Use Only. Not for Use in Diagnostic Procedures.

Revision 10

Cell Signaling Technology Logo
Immunohistochemical analysis of paraffin-embedded human prostate carcinoma, showing cytoplasmic localization, using Bcl-xL (54H6) Rabbit mAb.
Immunohistochemistry Image 3: Bcl-xL (54H6) Rabbit Monoclonal Antibody
Confocal immunofluorescent analysis of HeLa cells using Bcl-xL (54H6) Rabbit mAb (green). Blue pseudocolor = DRAQ5® #4084 (fluorescent DNA dye).
Immunofluorescence Image 1: Bcl-xL (54H6) Rabbit Monoclonal Antibody
Flow cytometric analysis of THP-1 cells (blue, moderate expression) and K-562 cells (green, high expression) using Bcl-xL (54H6) Rabbit mAb (solid lines) or a concentration-matched Rabbit (DA1E) mAb IgG XP® Isotype Control #3900 (dashed lines). Anti-rabbit IgG (H+L), F(ab')2 Fragment (Alexa Fluor® 488 Conjugate) #4412 was used as a secondary antibody.
Flow Cytometry Image 1: Bcl-xL (54H6) Rabbit Monoclonal Antibody
Orders: 877-616-CELL (2355) [email protected] Support: 877-678-TECH (8324) [email protected] Web: cellsignal.com
For Research Use Only. Not for Use in Diagnostic Procedures.