Revision 5

#89369

Store at -20C

CST Logo
Orders:

877-616-CELL (2355)

[email protected]

Support:

877-678-TECH (8324)

3 Trask Lane | Danvers | Massachusetts | 01923 | USA

For Research Use Only. Not for Use in Diagnostic Procedures.

Applications:
IHC-Bond, IHC-P

Reactivity:
H

Sensitivity:
Endogenous

MW (kDa):
90

Source/Isotype:
Rabbit IgG

UniProt ID:
#P41182

Entrez-Gene Id:
604

Product Usage Information

Application Dilution
IHC Leica Bond 1:200
Immunohistochemistry (Paraffin) 1:300

Storage

Supplied in 10 mM sodium HEPES (pH 7.5), 150 mM NaCl, 100 µg/ml BSA, 50% glycerol and less than 0.02% sodium azide. Store at –20°C. Do not aliquot the antibody.

For a carrier free (BSA and azide free) version of this product see product #56263.

Specificity/Sensitivity

BCL6 (E5I8I) Rabbit Monoclonal Antibody recognizes endogenous levels of total BCL6 protein. This antibody is predicted to detect both known isoforms of human BCL6. Non-specific, non-nuclear staining was observed in human and mouse smooth muscle. Additional non-specific staining was observed in other mouse tissues.

Source / Purification

Monoclonal antibody is produced by immunizing animals with a synthetic peptide corresponding to residues surrounding Pro319 of human BCL6 protein.

Background

Chromosomal translocations result in misregulation of the proto-oncogene BCL6 in patients with B cell-derived non-Hodgkin's lymphoma (1). The BCL6 gene is selectively expressed in mature B cells and encodes a nuclear phosphoprotein that belongs to the BTB/POZ zinc finger family of transcription factors (2,3). BCL6 protein can bind to target DNA sequences of Stat6 and, analogous to Stat6, modulate the expression of interleukin-4-induced genes (4). Furthermore, BCL6 restrains p53-dependent senescence, making BCL6-active tumors functionally p53-negative (5). The mitogen-activated protein kinases, Erk1 and Erk2, but not JNK, phosphorylate BCL6 at multiple sites. Phosphorylation of BCL6 at Ser333 and Ser343 results in degradation of BCL6 by the ubiquitin/proteasome pathway in B cells (6,7). In addition, BCL6 is acetylated and its transcriptional repressor function is inhibited by the transcriptional co-activator p300 (8).

Species Reactivity

Species reactivity is determined by testing in at least one approved application (e.g., western blot).

Applications Key

IHC-Bond: IHC Leica Bond IHC-P: Immunohistochemistry (Paraffin)

Cross-Reactivity Key

H: Human

Trademarks and Patents

Cell Signaling Technology is a trademark of Cell Signaling Technology, Inc.

SignalStain is a registered trademark of Cell Signaling Technology, Inc.

All other trademarks are the property of their respective owners. Visit cellsignal.com/trademarks for more information.

Limited Uses

Except as otherwise expressly agreed in a writing signed by a legally authorized representative of CST, the following terms apply to Products provided by CST, its affiliates or its distributors. Any Customer's terms and conditions that are in addition to, or different from, those contained herein, unless separately accepted in writing by a legally authorized representative of CST, are rejected and are of no force or effect.

Products are labeled with For Research Use Only or a similar labeling statement and have not been approved, cleared, or licensed by the FDA or other regulatory foreign or domestic entity, for any purpose. Customer shall not use any Product for any diagnostic or therapeutic purpose, or otherwise in any manner that conflicts with its labeling statement. Products sold or licensed by CST are provided for Customer as the end-user and solely for research and development uses. Any use of Product for diagnostic, prophylactic or therapeutic purposes, or any purchase of Product for resale (alone or as a component) or other commercial purpose, requires a separate license from CST. Customer shall (a) not sell, license, loan, donate or otherwise transfer or make available any Product to any third party, whether alone or in combination with other materials, or use the Products to manufacture any commercial products, (b) not copy, modify, reverse engineer, decompile, disassemble or otherwise attempt to discover the underlying structure or technology of the Products, or use the Products for the purpose of developing any products or services that would compete with CST products or services, (c) not alter or remove from the Products any trademarks, trade names, logos, patent or copyright notices or markings, (d) use the Products solely in accordance with CST Product Terms of Sale and any applicable documentation, and (e) comply with any license, terms of service or similar agreement with respect to any third party products or services used by Customer in connection with the Products.

Orders: 877-616-CELL (2355) [email protected] Support: 877-678-TECH (8324) [email protected] Web: cellsignal.com
For Research Use Only. Not for Use in Diagnostic Procedures.

Revision 5

Cell Signaling Technology Logo
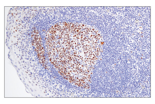
Immunohistochemical analysis of paraffin-embedded human diffuse large B-cell lymphoma using BCL6 (E5I8I) Rabbit mAb performed on the Leica® BOND™ Rx.
Immunohistochemistry Image 1: BCL6 (E5I8I) Rabbit Monoclonal Antibody
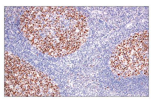
Immunohistochemical analysis of paraffin-embedded human non-Hodgkin lymphoma using BCL6 (E5I8I) Rabbit mAb performed on the Leica® BOND™ Rx.
Immunohistochemistry Image 2: BCL6 (E5I8I) Rabbit Monoclonal Antibody
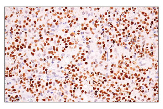
Immunohistochemical analysis of paraffin-embedded human uterine papillary serous carcinoma using BCL6 (E5I8I) Rabbit mAb performed on the Leica® BOND™ Rx.
Immunohistochemistry Image 3: BCL6 (E5I8I) Rabbit Monoclonal Antibody
Orders: 877-616-CELL (2355) [email protected] Support: 877-678-TECH (8324) [email protected] Web: cellsignal.com
For Research Use Only. Not for Use in Diagnostic Procedures.

Revision 5

Cell Signaling Technology Logo
Immunohistochemical analysis of paraffin-embedded human tonsil using BCL6 (E5I8I) Rabbit mAb performed on the Leica® BOND™ Rx.
Immunohistochemistry Image 4: BCL6 (E5I8I) Rabbit Monoclonal Antibody
Immunohistochemical analysis of paraffin-embedded human prostate adenocarcinoma using BCL6 (E5I8I) Rabbit mAb.
Immunohistochemistry Image 1: BCL6 (E5I8I) Rabbit Monoclonal Antibody
Immunohistochemical analysis of paraffin-embedded human tonsil using BCL6 (E5I8I) Rabbit mAb.
Immunohistochemistry Image 2: BCL6 (E5I8I) Rabbit Monoclonal Antibody
Orders: 877-616-CELL (2355) [email protected] Support: 877-678-TECH (8324) [email protected] Web: cellsignal.com
For Research Use Only. Not for Use in Diagnostic Procedures.

Revision 5

Cell Signaling Technology Logo
Immunohistochemical analysis of paraffin-embedded Ramos cell pellet (left, positive) or RD cell pellet (right, negative) using BCL6 (E5I8I) Rabbit mAb.
Immunohistochemistry Image 3: BCL6 (E5I8I) Rabbit Monoclonal Antibody
Orders: 877-616-CELL (2355) [email protected] Support: 877-678-TECH (8324) [email protected] Web: cellsignal.com
For Research Use Only. Not for Use in Diagnostic Procedures.