Revision 1

#59187

Store at -20C

Beclin-1 Complex Antibody Sampler Kit

1 Kit

(6 x 20 microliters)

CST Logo
Orders:

877-616-CELL (2355)

[email protected]

Support:

877-678-TECH (8324)

3 Trask Lane | Danvers | Massachusetts | 01923 | USA

For Research Use Only. Not for Use in Diagnostic Procedures.

Product Includes Product # Quantity Mol. Wt Isotype/Source
Beclin-1 (D40C5) Rabbit Monoclonal Antibody349520 µl60 kDaRabbit IgG
PI3 Kinase Class III (D9A5) Rabbit Monoclonal Antibody426320 µl100 kDaRabbit
PIK3R4 Antibody1458020 µl153 kDaRabbit
Atg14 (D1A1N) Rabbit Monoclonal Antibody9675220 µl65 kDaRabbit IgG
UVRAG (D2Q1Z) Rabbit Monoclonal Antibody1311520 µl90 kDaRabbit IgG
Rubicon (D9F7) Rabbit Monoclonal Antibody846520 µl130 kDaRabbit IgG
Anti-rabbit IgG, HRP-linked Antibody7074100 µlGoat

Please visit cellsignal.com for individual component applications, species cross-reactivity, dilutions, protocols, and additional product information.

Description

The Beclin-1 Complex Antibody Sampler Kit provides an economical means of detecting proteins that are part of the Beclin-1 complexes. The kit includes enough antibodies to perform two western blot experiments with each primary antibody.

Storage

Supplied in 10 mM sodium HEPES (pH 7.5), 150 mM NaCl, 100 µg/ml BSA, 50% glycerol and less than 0.02% sodium azide. Store at –20°C. Do not aliquot the antibody.

Background

A number of studies have identified distinct complexes involving Beclin-1 and PI3K Kinase Class III with specific roles in autophagy and vesicle trafficking (1,2). These complexes commonly contain Beclin-1, PI3KC3/VSP34, and PIK3R4/VPS15 and function to catalyze the phosphorylation of phosphatidylinositol at the D3 position, producing phosphatidylinositol-3-phosphate. Specificity of PI3KC3 activity is regulated by additional binding partners. Complex 1 contains Atg14 which is required for early stages of autophagosome nucleation (3,4). Complex 2 lacks Atg14, but instead contains UVRAG, and is important for autophagosome maturation and endocytic trafficking (4-6). A third complex, containing both UVRAG and Rubicon, negatively regulates canonical autophagy (7,8). Importantly, this complex containing Rubicon is critical for a related process of LC3-associated phagocytosis (LAP) in which extracellular pathogens binding to cell surface receptors are engulfed by a single membrane phagosome and degraded by the lysosome (9,10).

Trademarks and Patents

Cell Signaling Technology is a trademark of Cell Signaling Technology, Inc.

All other trademarks are the property of their respective owners. Visit cellsignal.com/trademarks for more information.

Limited Uses

Except as otherwise expressly agreed in a writing signed by a legally authorized representative of CST, the following terms apply to Products provided by CST, its affiliates or its distributors. Any Customer's terms and conditions that are in addition to, or different from, those contained herein, unless separately accepted in writing by a legally authorized representative of CST, are rejected and are of no force or effect.

Products are labeled with For Research Use Only or a similar labeling statement and have not been approved, cleared, or licensed by the FDA or other regulatory foreign or domestic entity, for any purpose. Customer shall not use any Product for any diagnostic or therapeutic purpose, or otherwise in any manner that conflicts with its labeling statement. Products sold or licensed by CST are provided for Customer as the end-user and solely for research and development uses. Any use of Product for diagnostic, prophylactic or therapeutic purposes, or any purchase of Product for resale (alone or as a component) or other commercial purpose, requires a separate license from CST. Customer shall (a) not sell, license, loan, donate or otherwise transfer or make available any Product to any third party, whether alone or in combination with other materials, or use the Products to manufacture any commercial products, (b) not copy, modify, reverse engineer, decompile, disassemble or otherwise attempt to discover the underlying structure or technology of the Products, or use the Products for the purpose of developing any products or services that would compete with CST products or services, (c) not alter or remove from the Products any trademarks, trade names, logos, patent or copyright notices or markings, (d) use the Products solely in accordance with CST Product Terms of Sale and any applicable documentation, and (e) comply with any license, terms of service or similar agreement with respect to any third party products or services used by Customer in connection with the Products.

Orders: 877-616-CELL (2355) [email protected] Support: 877-678-TECH (8324) [email protected] Web: cellsignal.com
For Research Use Only. Not for Use in Diagnostic Procedures.

Revision 1

Cell Signaling Technology Logo
Western blot analysis of extracts from various cell lines using UVRAG (D2Q1Z) Rabbit mAb (upper) or β-Actin (D6A8) Rabbit mAb #8457 (lower). HCT 116 cells have been reported to contain a monoallelic frameshift mutation resulting in significantly reduced levels of endogenous UVRAG expression (11).
undefined Image 1: Beclin-1 Complex Antibody Sampler Kit
Western blot analysis of extracts from various cell lines using PIK3R4 Antibody.
undefined Image 2: Beclin-1 Complex Antibody Sampler Kit
Western blot analysis of extracts from various cell lines using Beclin-1 (D40C5) Rabbit mAb.
undefined Image 3: Beclin-1 Complex Antibody Sampler Kit
Orders: 877-616-CELL (2355) [email protected] Support: 877-678-TECH (8324) [email protected] Web: cellsignal.com
For Research Use Only. Not for Use in Diagnostic Procedures.

Revision 1

Cell Signaling Technology Logo
Western blot analysis of extracts from mouse brain and C6 cells using PI3 Kinase Class III (D9A5) Rabbit mAb.
undefined Image 4: Beclin-1 Complex Antibody Sampler Kit
After the primary antibody is bound to the target protein, a complex with HRP-linked secondary antibody is formed. The LumiGLO® is added and emits light during enzyme catalyzed decomposition.
undefined Image 5: Beclin-1 Complex Antibody Sampler Kit
Western blot analysis of extracts from various cell lines using Rubicon (D9F7) Rabbit mAb.
undefined Image 6: Beclin-1 Complex Antibody Sampler Kit
Orders: 877-616-CELL (2355) [email protected] Support: 877-678-TECH (8324) [email protected] Web: cellsignal.com
For Research Use Only. Not for Use in Diagnostic Procedures.

Revision 1

Cell Signaling Technology Logo
Western blot analysis of extracts from HCT 116 and HCT 116/Atg14 shRNA knockout cells using Atg14 (D1A1N) Rabbit mAb (upper) and β-Actin (D6A8) Rabbit mAb #84576 (lower). HCT 116/Atg14 shRNA cells were kindly provided by Dr. Do-Hyung Kim, University of Minnesota, Minneapolis, MN.
undefined Image 7: Beclin-1 Complex Antibody Sampler Kit
Western blot analysis of extracts from 293T cells, mock transfected (-) or transfected with a construct expressing human UVRAG (hUVRAG; +), using UVRAG (D2Q1Z) Rabbit mAb.
undefined Image 8: Beclin-1 Complex Antibody Sampler Kit
Western blot analysis of extracts from HeLa cells, transfected with 100 nM SignalSilence® Control siRNA (Unconjugated) #6568 (-), SignalSilence® Beclin-1 siRNA I #6222 (+) or SignalSilence® Beclin-1 siRNA II (+), using Beclin-1 (D40C5) XP® Rabbit mAb #3495 (upper) or α-Tubulin (11H10) Rabbit mAb #2125 (lower). The Beclin-1 (D40C5) XP® Rabbit mAb confirms silencing of Beclin-1 expression, while the α-Tubulin (11H10) Rabbit mAb is used to control for loading and specificity of Beclin-1 siRNA.
undefined Image 9: Beclin-1 Complex Antibody Sampler Kit
Orders: 877-616-CELL (2355) [email protected] Support: 877-678-TECH (8324) [email protected] Web: cellsignal.com
For Research Use Only. Not for Use in Diagnostic Procedures.

Revision 1

Cell Signaling Technology Logo
Western blot analysis of extracts from 293T cells, mock transfected (-) or transfected with human Rubicon (hRubicon, +), using Rubicon (D9F7) Rabbit mAb. Rubicon construct was kindly provided by Dr. Qing Zhong, University of California, Berkeley, CA.
undefined Image 10: Beclin-1 Complex Antibody Sampler Kit
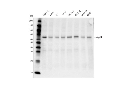
Western blot analysis of extracts from various cell lines using Atg14 (D1A1N) Rabbit mAb.
undefined Image 11: Beclin-1 Complex Antibody Sampler Kit
Immunoprecipitation of UVRAG from PANC-1 cell extracts using Rabbit (DA1E) mAb IgG XP® Isotype Control #3900 (lane 2) or UVRAG (D2Q1Z) Rabbit mAb (lane 3). Lane 1 is 10% input. Western blot analysis was performed using UVRAG (D2Q1Z) Rabbit mAb.
undefined Image 12: Beclin-1 Complex Antibody Sampler Kit
Orders: 877-616-CELL (2355) [email protected] Support: 877-678-TECH (8324) [email protected] Web: cellsignal.com
For Research Use Only. Not for Use in Diagnostic Procedures.

Revision 1

Cell Signaling Technology Logo
Immunoprecipitation of Atg14 from Neuro2A cell extracts. Lane 1 is 10% input, lane 2 is precipitated with Rabbit (DA1E) mAb IgG XP® Isotype Control #3900, and lane 3 is Atg14 (D1A1N) Rabbit mAb. Western blot was performed using Atg14 (D1A1N) Rabbit mAb.
undefined Image 13: Beclin-1 Complex Antibody Sampler Kit
Orders: 877-616-CELL (2355) [email protected] Support: 877-678-TECH (8324) [email protected] Web: cellsignal.com
For Research Use Only. Not for Use in Diagnostic Procedures.