Revision 8

#4970

Store at -20C

CST Logo
Orders:

877-616-CELL (2355)

[email protected]

Support:

877-678-TECH (8324)

3 Trask Lane | Danvers | Massachusetts | 01923 | USA

For Research Use Only. Not for Use in Diagnostic Procedures.

Applications:
W, W-S, IHC-P, IF-F, IF-IC, FC-FP

Reactivity:
H M R Mk B Pg

Sensitivity:
Endogenous

MW (kDa):
45

Source/Isotype:
Rabbit IgG

UniProt ID:
#P60709

Entrez-Gene Id:
60

Product Usage Information

Application Dilution
Western Blotting 1:1000
Simple Western™ 1:10 - 1:50
Immunohistochemistry (Paraffin) 1:50 - 1:200
Immunofluorescence (Frozen) 1:100 - 1:400
Immunofluorescence (Immunocytochemistry) 1:100 - 1:400
Flow Cytometry (Fixed/Permeabilized) 1:100 - 1:400

Storage

Supplied in 10 mM sodium HEPES (pH 7.5), 150 mM NaCl, 100 µg/ml BSA, 50% glycerol and less than 0.02% sodium azide. Store at –20°C. Do not aliquot the antibody.

For a carrier free (BSA and azide free) version of this product see product #93473.

Specificity/Sensitivity

beta-Actin (13E5) Rabbit Monoclonal Antibody detects endogenous levels of total β-actin protein. Despite the high sequence identity between the cytoplasmic actin isoforms, β-actin and cytoplasmic γ-actin, This antibody does not cross-react with cytoplasmic γ-actin, or any other actin isoforms.

Species predicted to react based on 100% sequence homology

Hamster, Chicken, Dog, Horse, Rabbit

Source / Purification

Monoclonal antibody is produced by immunizing animals with a synthetic peptide corresponding to residues near the amino-terminus of human β-actin protein.

Background

Actin, a ubiquitous eukaryotic protein, is the major component of the cytoskeleton. At least six isoforms are known in mammals. Nonmuscle β- and γ-actin, also known as cytoplasmic actin, are ubiquitously expressed, controlling cell structure and motility (1). While all actin isoforms are highly homologous, cytoplasmic β- and γ-actin protein sequences differ by only four biochemically similar amino acids (2). For this reason, antibodies raised to β-actin may cross-react with γ-actin, and vice versa. α-cardiac and α-skeletal actin are expressed in striated cardiac and skeletal muscles, respectively; two smooth muscle actins, α- and γ-actin, are found primarily in vascular smooth muscle and enteric smooth muscle, respectively. These actin isoforms regulate the contractile potential of muscle cells (1). Actin exists mainly as a fibrous polymer, F-actin. In response to cytoskeletal reorganizing signals during processes such as cytokinesis, endocytosis, or stress, cofilin promotes fragmentation and depolymerization of F-actin, resulting in an increase in the monomeric globular form, G-actin (3). The ARP2/3 complex stabilizes F-actin fragments and promotes formation of new actin filaments (3). Research studies have shown that actin is hyperphosphorylated in primary breast tumors (4). Cleavage of actin under apoptotic conditions has been observed in vitro and in cardiac and skeletal muscle, as shown in research studies (5-7). Actin cleavage by caspase-3 may accelerate ubiquitin/proteasome-dependent muscle proteolysis (7).

Species Reactivity

Species reactivity is determined by testing in at least one approved application (e.g., western blot).

Western Blot Buffer

IMPORTANT: For western blots, incubate membrane with diluted primary antibody in 5% w/v BSA, 1X TBS, 0.1% Tween® 20 at 4°C with gentle shaking, overnight.

Applications Key

W: Western Blotting W-S: Simple Western™ IHC-P: Immunohistochemistry (Paraffin) IF-F: Immunofluorescence (Frozen) IF-IC: Immunofluorescence (Immunocytochemistry) FC-FP: Flow Cytometry (Fixed/Permeabilized)

Cross-Reactivity Key

H: Human M: Mouse R: Rat Mk: Monkey B: Bovine Pg: Pig

Trademarks and Patents

Cell Signaling Technology is a trademark of Cell Signaling Technology, Inc.

All other trademarks are the property of their respective owners. Visit cellsignal.com/trademarks for more information.

Limited Uses

Except as otherwise expressly agreed in a writing signed by a legally authorized representative of CST, the following terms apply to Products provided by CST, its affiliates or its distributors. Any Customer's terms and conditions that are in addition to, or different from, those contained herein, unless separately accepted in writing by a legally authorized representative of CST, are rejected and are of no force or effect.

Products are labeled with For Research Use Only or a similar labeling statement and have not been approved, cleared, or licensed by the FDA or other regulatory foreign or domestic entity, for any purpose. Customer shall not use any Product for any diagnostic or therapeutic purpose, or otherwise in any manner that conflicts with its labeling statement. Products sold or licensed by CST are provided for Customer as the end-user and solely for research and development uses. Any use of Product for diagnostic, prophylactic or therapeutic purposes, or any purchase of Product for resale (alone or as a component) or other commercial purpose, requires a separate license from CST. Customer shall (a) not sell, license, loan, donate or otherwise transfer or make available any Product to any third party, whether alone or in combination with other materials, or use the Products to manufacture any commercial products, (b) not copy, modify, reverse engineer, decompile, disassemble or otherwise attempt to discover the underlying structure or technology of the Products, or use the Products for the purpose of developing any products or services that would compete with CST products or services, (c) not alter or remove from the Products any trademarks, trade names, logos, patent or copyright notices or markings, (d) use the Products solely in accordance with CST Product Terms of Sale and any applicable documentation, and (e) comply with any license, terms of service or similar agreement with respect to any third party products or services used by Customer in connection with the Products.

Orders: 877-616-CELL (2355) [email protected] Support: 877-678-TECH (8324) [email protected] Web: cellsignal.com
For Research Use Only. Not for Use in Diagnostic Procedures.

Revision 8

Cell Signaling Technology Logo
Western blot analysis of cell extracts from various cell lines using beta-Actin (13E5) Rabbit mAb.
Western Blotting Image 1: beta-Actin (13E5) Rabbit Monoclonal Antibody
Western blot analysis of recombinant Actin isoforms using β-Actin (13E5) Rabbit mAb (upper) and Pan-Actin Antibody #4968 (lower).
Western Blotting Image 2: beta-Actin (13E5) Rabbit Monoclonal Antibody
Simple Western™ analysis of lysates (0.1 mg/mL) from HeLa cells using ß-Actin (13E5) Rabbit mAb #4970. The virtual lane view (left) shows the target band (as indicated) at 1:10 and 1:50 dilutions of primary antibody. The corresponding electropherogram view (right) plots chemiluminescence by molecular weight along the capillary at 1:10 (blue line) and 1:50 (green line) dilutions of primary antibody. This experiment was performed under reducing conditions on the Jess™ Simple Western instrument from ProteinSimple, a BioTechne brand, using the 12-230 kDa separation module.
Western Blotting Image 1: beta-Actin (13E5) Rabbit Monoclonal Antibody
Orders: 877-616-CELL (2355) [email protected] Support: 877-678-TECH (8324) [email protected] Web: cellsignal.com
For Research Use Only. Not for Use in Diagnostic Procedures.

Revision 8

Cell Signaling Technology Logo
Immunohistochemical analysis of paraffin-embedded human heart using beta-Actin (13E5) Rabbit mAb. Note the lack of staining of cardiac actin.
Immunohistochemistry Image 1: beta-Actin (13E5) Rabbit Monoclonal Antibody
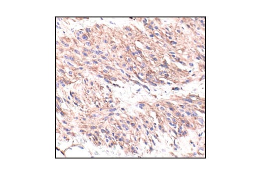
Immunohistochemical analysis of paraffin-embedded human leiomyoma using beta-Actin (13E5) Rabbit mAb.
Immunohistochemistry Image 2: beta-Actin (13E5) Rabbit Monoclonal Antibody
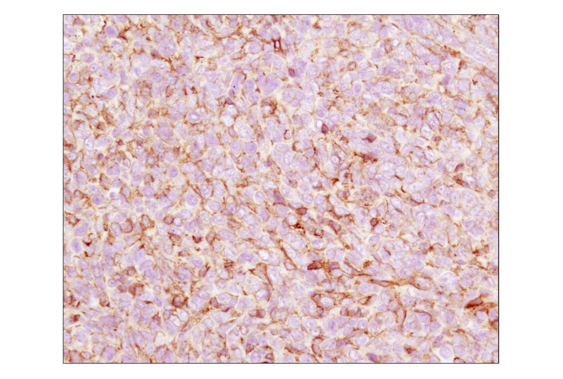
Immunohistochemical analysis of paraffin-embedded 4T1 syngeneic mouse tumor using β-actin (13E5) Rabbit mAb.
Immunohistochemistry Image 3: beta-Actin (13E5) Rabbit Monoclonal Antibody
Orders: 877-616-CELL (2355) [email protected] Support: 877-678-TECH (8324) [email protected] Web: cellsignal.com
For Research Use Only. Not for Use in Diagnostic Procedures.

Revision 8

Cell Signaling Technology Logo
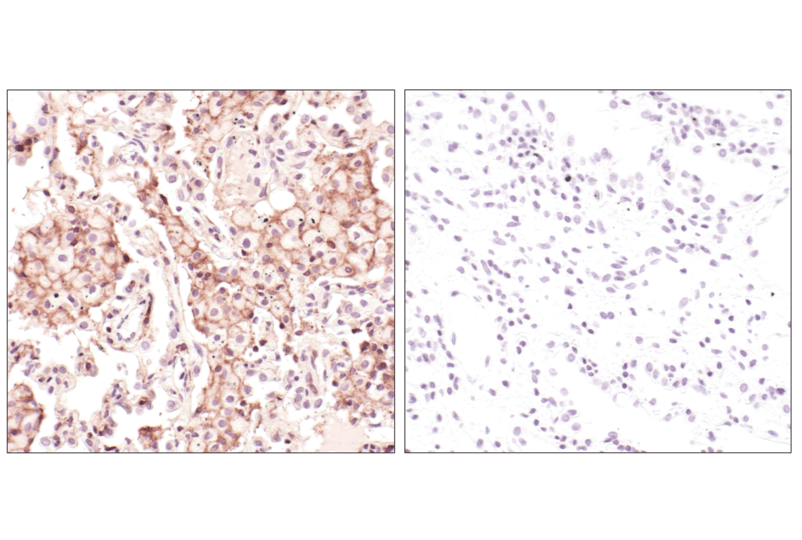
Immunohistochemical analysis of paraffin-embedded human lung carcinoma using beta-Actin (13E5) Rabbit mAb in the presence of control peptide (left) or beta-Actin Blocking Peptide #1025 (right).
Immunohistochemistry Image 4: beta-Actin (13E5) Rabbit Monoclonal Antibody
Immunohistochemical analysis of paraffin-embedded human skeletal muscle using beta-Actin (13E5) Rabbit mAb. Note the lack of staining of skeletal muscle actin.
Immunohistochemistry Image 5: beta-Actin (13E5) Rabbit Monoclonal Antibody
Confocal immunofluorescent analysis of fixed, frozen mouse pancreas at low magnification (left) and high magnification (right) using β-Actin (13E5) Rabbit mAb #4970 (red) and DAPI #4083 (blue).
Immunofluorescence Image 1: beta-Actin (13E5) Rabbit Monoclonal Antibody
Orders: 877-616-CELL (2355) [email protected] Support: 877-678-TECH (8324) [email protected] Web: cellsignal.com
For Research Use Only. Not for Use in Diagnostic Procedures.

Revision 8

Cell Signaling Technology Logo
Confocal immunofluorescent analysis of COS-7 cells using β-Actin (13E5) Rabbit mAb (green). Blue pseudocolor = DRAQ5® #4084 (fluorescent DNA dye).
Immunofluorescence Image 1: beta-Actin (13E5) Rabbit Monoclonal Antibody
Flow cytometric analysis of HeLa cells using β-Actin (13E5) Rabbit mAb (solid line) compared to concentration-matched Rabbit (DA1E) mAb IgG XP® Isotype Control #3900 (dashed line). Anti-rabbit IgG (H+L), F(ab')2 Fragment (Alexa Fluor® 488 Conjugate) #4412 was used as a secondary antibody.
Flow Cytometry Image 1: beta-Actin (13E5) Rabbit Monoclonal Antibody
Orders: 877-616-CELL (2355) [email protected] Support: 877-678-TECH (8324) [email protected] Web: cellsignal.com
For Research Use Only. Not for Use in Diagnostic Procedures.