Revision 8

#37447

Store at -20C

CST Logo
Orders:

877-616-CELL (2355)

[email protected]

Support:

877-678-TECH (8324)

3 Trask Lane | Danvers | Massachusetts | 01923 | USA

For Research Use Only. Not for Use in Diagnostic Procedures.

Applications:
W, IHC-P, IF-IC

Reactivity:
H M R

Sensitivity:
Endogenous

MW (kDa):
92

Source/Isotype:
Mouse IgG1 kappa

UniProt ID:
#P35222

Entrez-Gene Id:
1499

Product Usage Information

Application Dilution
Western Blotting 1:1000
Immunohistochemistry (Paraffin) 1:400 - 1:1600
Immunofluorescence (Immunocytochemistry) 1:6400

Storage

Supplied in 10 mM PBS containing 0.05% BSA and 0.05% sodium azide. Stable for 36 months when stored at -20°C. This product will freeze at -20°C so it is recommended to aliquot into single-use vials to avoid multiple freeze/thaw cycles. A slight precipitate may be present, but will not interfere with antibody performance.

Specificity/Sensitivity

beta-Catenin (15B8) Mouse Monoclonal Antibody recognizes endogenous levels of total β-Catenin protein.

Source / Purification

Monoclonal antibody is produced by immunizing animals with a recombinant chicken β-Catenin protein.

Background

β-catenin is a key downstream effector in the Wnt signaling pathway (1). It is implicated in two major biological processes in vertebrates: early embryonic development (2) and tumorigenesis (3). CK1 phosphorylates β-catenin at Ser45. This phosphorylation event primes β-catenin for subsequent phosphorylation by GSK-3β (4-6). GSK-3β destabilizes β-catenin by phosphorylating it at Ser33, Ser37, and Thr41 (7). Mutations at these sites result in the stabilization of β-catenin protein levels and have been found in many tumor cell lines (8).

Species Reactivity

Species reactivity is determined by testing in at least one approved application (e.g., western blot).

Western Blot Buffer

IMPORTANT: For western blots, incubate membrane with diluted primary antibody in 5% w/v BSA, 1X TBS, 0.1% Tween® 20 at 4°C with gentle shaking, overnight.

Applications Key

W: Western Blotting IHC-P: Immunohistochemistry (Paraffin) IF-IC: Immunofluorescence (Immunocytochemistry)

Cross-Reactivity Key

H: Human M: Mouse R: Rat

Trademarks and Patents

Cell Signaling Technology is a trademark of Cell Signaling Technology, Inc.

SignalStain is a registered trademark of Cell Signaling Technology, Inc.

All other trademarks are the property of their respective owners. Visit cellsignal.com/trademarks for more information.

Limited Uses

Except as otherwise expressly agreed in a writing signed by a legally authorized representative of CST, the following terms apply to Products provided by CST, its affiliates or its distributors. Any Customer's terms and conditions that are in addition to, or different from, those contained herein, unless separately accepted in writing by a legally authorized representative of CST, are rejected and are of no force or effect.

Products are labeled with For Research Use Only or a similar labeling statement and have not been approved, cleared, or licensed by the FDA or other regulatory foreign or domestic entity, for any purpose. Customer shall not use any Product for any diagnostic or therapeutic purpose, or otherwise in any manner that conflicts with its labeling statement. Products sold or licensed by CST are provided for Customer as the end-user and solely for research and development uses. Any use of Product for diagnostic, prophylactic or therapeutic purposes, or any purchase of Product for resale (alone or as a component) or other commercial purpose, requires a separate license from CST. Customer shall (a) not sell, license, loan, donate or otherwise transfer or make available any Product to any third party, whether alone or in combination with other materials, or use the Products to manufacture any commercial products, (b) not copy, modify, reverse engineer, decompile, disassemble or otherwise attempt to discover the underlying structure or technology of the Products, or use the Products for the purpose of developing any products or services that would compete with CST products or services, (c) not alter or remove from the Products any trademarks, trade names, logos, patent or copyright notices or markings, (d) use the Products solely in accordance with CST Product Terms of Sale and any applicable documentation, and (e) comply with any license, terms of service or similar agreement with respect to any third party products or services used by Customer in connection with the Products.

Orders: 877-616-CELL (2355) [email protected] Support: 877-678-TECH (8324) [email protected] Web: cellsignal.com
For Research Use Only. Not for Use in Diagnostic Procedures.

Revision 8

Cell Signaling Technology Logo
Western blot analysis of extracts from HeLa, NCI-H28, NIH/3T3, and C6 cells using β-Catenin (15B8) Mouse mAb (upper) and GAPDH (D16H11) XP® Rabbit mAb #5174 (lower). As expected, NCI-H28 cells are negative for β-Catenin expression.
Western Blotting Image 1: beta-Catenin (15B8) Mouse Monoclonal Antibody
Immunohistochemical analysis of paraffin-embedded HeLa cell pellet (left, positive) or NCI-H28 cell pellet (right, negative) using β-Catenin (15B8) Mouse mAb.
Immunohistochemistry Image 1: beta-Catenin (15B8) Mouse Monoclonal Antibody
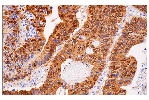
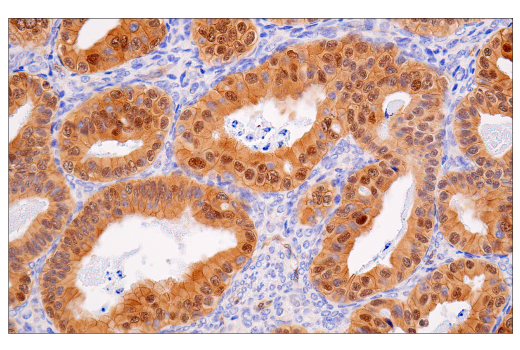
Immunohistochemical analysis of paraffin-embedded human colon carcinoma using β-Catenin (15B8) Mouse mAb.
Immunohistochemistry Image 2: beta-Catenin (15B8) Mouse Monoclonal Antibody
Orders: 877-616-CELL (2355) [email protected] Support: 877-678-TECH (8324) [email protected] Web: cellsignal.com
For Research Use Only. Not for Use in Diagnostic Procedures.

Revision 8

Cell Signaling Technology Logo
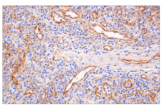
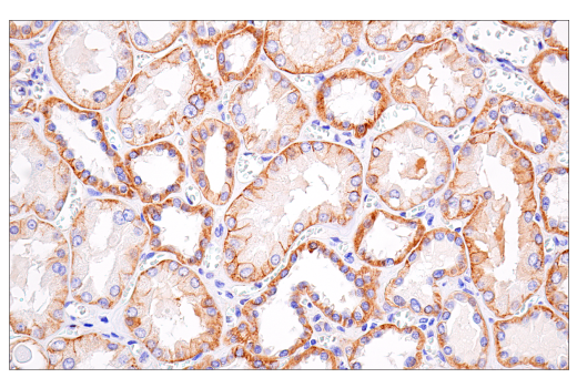
Immunohistochemical analysis of paraffin-embedded normal human kidney using β-Catenin (15B8) Mouse mAb.
Immunohistochemistry Image 3: beta-Catenin (15B8) Mouse Monoclonal Antibody
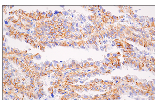
Immunohistochemical analysis of paraffin-embedded human squamous cell lung carcinoma using β-Catenin (15B8) Mouse mAb.
Immunohistochemistry Image 4: beta-Catenin (15B8) Mouse Monoclonal Antibody
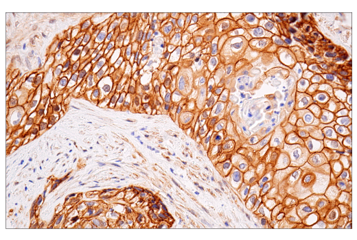
Immunohistochemical analysis of paraffin-embedded human non-small cell lung carcinoma using β-Catenin (15B8) Mouse mAb.
Immunohistochemistry Image 5: beta-Catenin (15B8) Mouse Monoclonal Antibody
Orders: 877-616-CELL (2355) [email protected] Support: 877-678-TECH (8324) [email protected] Web: cellsignal.com
For Research Use Only. Not for Use in Diagnostic Procedures.

Revision 8

Cell Signaling Technology Logo
Immunohistochemical analysis of paraffin-embedded human T-cell lymphoma using β-Catenin (15B8) Mouse mAb.
Immunohistochemistry Image 6: beta-Catenin (15B8) Mouse Monoclonal Antibody
Immunohistochemical analysis of paraffin-embedded human ovarian serous carcinoma using β-Catenin (15B8) Mouse mAb.
Immunohistochemistry Image 7: beta-Catenin (15B8) Mouse Monoclonal Antibody
Immunohistochemical analysis of paraffin-embedded human endometrioid adenocarcinoma using β-Catenin (15B8) Mouse mAb.
Immunohistochemistry Image 8: beta-Catenin (15B8) Mouse Monoclonal Antibody
Orders: 877-616-CELL (2355) [email protected] Support: 877-678-TECH (8324) [email protected] Web: cellsignal.com
For Research Use Only. Not for Use in Diagnostic Procedures.

Revision 8

Cell Signaling Technology Logo
Immunohistochemical analysis of paraffin-embedded normal human parathyroid using β-Catenin (15B8) Mouse mAb.
Immunohistochemistry Image 9: beta-Catenin (15B8) Mouse Monoclonal Antibody
Confocal immunofluorescent analysis of HeLa cells (left, positive) and NCI-H28 cells (right, negative) using β-Catenin (15B8) Mouse mAb (green). Actin filaments were labeled with DyLight™ 554 Phalloidin #13054 (red). Samples were mounted in ProLong® Gold Antifade Reagent with DAPI #8961 (blue).
Immunofluorescence Image 1: beta-Catenin (15B8) Mouse Monoclonal Antibody
Orders: 877-616-CELL (2355) [email protected] Support: 877-678-TECH (8324) [email protected] Web: cellsignal.com
For Research Use Only. Not for Use in Diagnostic Procedures.