Revision 1

#2951

Store at -20C

beta-Catenin Antibody Sampler Kit

1 Kit

(5 x 20 microliters)

CST Logo
Orders:

877-616-CELL (2355)

[email protected]

Support:

877-678-TECH (8324)

3 Trask Lane | Danvers | Massachusetts | 01923 | USA

For Research Use Only. Not for Use in Diagnostic Procedures.

Product Includes Product # Quantity Mol. Wt Isotype/Source
beta-Catenin (D10A8) Rabbit Monoclonal Antibody848020 µl92 kDaRabbit IgG
Phospho-beta-Catenin (Ser33/37/Thr41) Antibody956120 µl92 kDaRabbit
Phospho-beta-Catenin (Thr41/Ser45) Antibody956520 µl92 kDaRabbit
Phospho-beta-Catenin (Ser552) (D8E11) Rabbit Monoclonal Antibody565120 µl92 kDaRabbit IgG
Phospho-beta-Catenin (Ser675) (D2F1) Rabbit Monoclonal Antibody417620 µl92 kDaRabbit IgG
Anti-rabbit IgG, HRP-linked Antibody7074100 µlGoat

Please visit cellsignal.com for individual component applications, species cross-reactivity, dilutions, protocols, and additional product information.

Description

The β-Catenin Antibody Sampler Kit provides an economical means of detecting total β-catenin as well as β-catenin phosphorlylated at various residues. The kit contains enough primary and secondary antibody to perform two Western blots with each antibody.

Storage

Supplied in 10 mM sodium HEPES (pH 7.5), 150 mM NaCl, 100 µg/ml BSA, 50% glycerol and less than 0.02% sodium azide. Store at –20°C. Do not aliquot the antibody.

Background

β-catenin is a key downstream effector in the Wnt signaling pathway (1). It is implicated in two major biological processes in vertebrates: early embryonic development (2) and tumorigenesis (3). CK1 phosphorylates β-catenin at Ser45. This phosphorylation event primes β-catenin for subsequent phosphorylation by GSK-3β (4-6). GSK-3β destabilizes β-catenin by phosphorylating it at Ser33, Ser37, and Thr41 (7). Mutations at these sites result in the stabilization of β-catenin protein levels and have been found in many tumor cell lines (8).

Both Akt and PKA were shown to phosphorylate β-catenin at Ser552 and Ser675. Phosphorylation at Ser552 and Ser675 induces β-catenin accumulation in the nucleus and increases its transcriptional activity (9-12).

Trademarks and Patents

Cell Signaling Technology is a trademark of Cell Signaling Technology, Inc.

U.S. Patent No. 7,429,487, foreign equivalents, and child patents deriving therefrom.

All other trademarks are the property of their respective owners. Visit cellsignal.com/trademarks for more information.

Limited Uses

Except as otherwise expressly agreed in a writing signed by a legally authorized representative of CST, the following terms apply to Products provided by CST, its affiliates or its distributors. Any Customer's terms and conditions that are in addition to, or different from, those contained herein, unless separately accepted in writing by a legally authorized representative of CST, are rejected and are of no force or effect.

Products are labeled with For Research Use Only or a similar labeling statement and have not been approved, cleared, or licensed by the FDA or other regulatory foreign or domestic entity, for any purpose. Customer shall not use any Product for any diagnostic or therapeutic purpose, or otherwise in any manner that conflicts with its labeling statement. Products sold or licensed by CST are provided for Customer as the end-user and solely for research and development uses. Any use of Product for diagnostic, prophylactic or therapeutic purposes, or any purchase of Product for resale (alone or as a component) or other commercial purpose, requires a separate license from CST. Customer shall (a) not sell, license, loan, donate or otherwise transfer or make available any Product to any third party, whether alone or in combination with other materials, or use the Products to manufacture any commercial products, (b) not copy, modify, reverse engineer, decompile, disassemble or otherwise attempt to discover the underlying structure or technology of the Products, or use the Products for the purpose of developing any products or services that would compete with CST products or services, (c) not alter or remove from the Products any trademarks, trade names, logos, patent or copyright notices or markings, (d) use the Products solely in accordance with CST Product Terms of Sale and any applicable documentation, and (e) comply with any license, terms of service or similar agreement with respect to any third party products or services used by Customer in connection with the Products.

Orders: 877-616-CELL (2355) [email protected] Support: 877-678-TECH (8324) [email protected] Web: cellsignal.com
For Research Use Only. Not for Use in Diagnostic Procedures.

Revision 1

Cell Signaling Technology Logo
Western blot analysis of extracts from control HeLa cells (lane 1) or HeLa cells with a targeted mutation in the gene encoding β-Catenin (lane 2) using Phospho-β-Catenin (Ser675) (D2F1) XP® Rabbit mAb (upper), or GAPDH (D16H11) XP® Rabbit mAb #5174 (lower). The change in β-Catenin molecular weight in the mutated HeLa cells confirms the specificity of the antibody for β-Catenin.
undefined Image 1: beta-Catenin Antibody Sampler Kit
Western blot analysis of extracts from SK-N-MC and NTERA-2 cells, untreated or λ phosphatase-treated, using

Phospho-β-Catenin (Ser552) (D8E11) Rabbit mAb (upper) or β-Catenin (6B3) Rabbit mAb #9582 (lower).

undefined Image 2: beta-Catenin Antibody Sampler Kit
After the primary antibody is bound to the target protein, a complex with HRP-linked secondary antibody is formed. The LumiGLO® is added and emits light during enzyme catalyzed decomposition.
undefined Image 3: beta-Catenin Antibody Sampler Kit
Orders: 877-616-CELL (2355) [email protected] Support: 877-678-TECH (8324) [email protected] Web: cellsignal.com
For Research Use Only. Not for Use in Diagnostic Procedures.

Revision 1

Cell Signaling Technology Logo
Western blot analysis of extracts from control HeLa cells (lane 1) or HeLa cells with an apparent in-frame truncation mutation in the gene encoding β-Catenin (lane 2) using β-Catenin (D10A8) XP® Rabbit mAb, #8480 (upper) or β-actin (D6A8) Rabbit mAb #8457 (lower). The change in β-Catenin molecular weight in the mutated HeLa cells is consistent with an in-frame deletion.
undefined Image 4: beta-Catenin Antibody Sampler Kit
CUT&RUN was performed with HCT 116 cells and β-Catenin (D10A8) XP® Rabbit mAb, using CUT&RUN Assay Kit #86652. DNA library was prepared using DNA Library Prep Kit for Illumina® (ChIP-seq, CUT&RUN) #56795. The figure shows binding across Axin2, a known target gene of β-Catenin (see additional figure containing CUT&RUN-qPCR data).
undefined Image 5: beta-Catenin Antibody Sampler Kit
Immunohistochemical analysis of paraffin-embedded human prostate adenocarcinoma using ß-Catenin (D10A8) XP® Rabbit mAb performed on the Leica® BOND™ Rx.
undefined Image 6: beta-Catenin Antibody Sampler Kit
Orders: 877-616-CELL (2355) [email protected] Support: 877-678-TECH (8324) [email protected] Web: cellsignal.com
For Research Use Only. Not for Use in Diagnostic Procedures.

Revision 1

Cell Signaling Technology Logo
Western blot analysis of extracts from 293 cells, pretreated with 20 mM LiCl for 30 minutes and then with 50 nM calyculin A, using Phospho-β-Catenin (Ser33/37/Thr41) Antibody (upper) or β-Catenin Antibody #9562 (lower).
undefined Image 7: beta-Catenin Antibody Sampler Kit
Western blot analysis of extracts from 293 cells pretreated with 20 mM LiCl for 30 minutes and then with 50 nM calyculin A, using Phospho-β-Catenin (Thr41/Ser45) Antibody (upper) or β-Catenin Antibody #9562 (lower).
undefined Image 8: beta-Catenin Antibody Sampler Kit
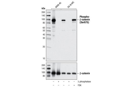
Western blot analysis of extracts from MKN-45 and SK-N-MC cells, untreated or treated with λ phosphatase for 1 hour or forskolin (FSK) for 30 minutes, using Phospho-β-Catenin (Ser675) (D2F1) XP® Rabbit mAb (upper) or β-Catenin (6B3) Rabbit mAb #9582 (lower).
undefined Image 9: beta-Catenin Antibody Sampler Kit
Orders: 877-616-CELL (2355) [email protected] Support: 877-678-TECH (8324) [email protected] Web: cellsignal.com
For Research Use Only. Not for Use in Diagnostic Procedures.

Revision 1

Cell Signaling Technology Logo
Western blot analysis of extracts from various cell lines using β-Catenin (D10A8) XP® Rabbit mAb.
undefined Image 10: beta-Catenin Antibody Sampler Kit
CUT&RUN was performed with HCT 116 cells and β-Catenin (D10A8) XP® Rabbit mAb, using CUT&RUN Assay Kit #86652. DNA Libraries were prepared using DNA Library Prep Kit for Illumina® (ChIP-seq, CUT&RUN) #56795. The figures show binding across chromosome 17 (upper), including Axin2 (lower), a known target gene of β-Catenin (see additional figure containing CUT&RUN-qPCR data).
undefined Image 11: beta-Catenin Antibody Sampler Kit
Immunohistochemical analysis of paraffin-embedded human colon adenocarcinoma using ß-Catenin (D10A8) XP® Rabbit mAb performed on the Leica® BOND™ Rx.
undefined Image 12: beta-Catenin Antibody Sampler Kit
Orders: 877-616-CELL (2355) [email protected] Support: 877-678-TECH (8324) [email protected] Web: cellsignal.com
For Research Use Only. Not for Use in Diagnostic Procedures.

Revision 1

Cell Signaling Technology Logo
Western blot analysis of extracts from SW480 cells using Phospho-β-Catenin (Ser33/37/Thr41) Antibody.
undefined Image 13: beta-Catenin Antibody Sampler Kit
Western blot analysis of extracts from SW480 cells using Phospho-β-Catenin (Thr41/Ser45) Antibody.
undefined Image 14: beta-Catenin Antibody Sampler Kit
Confocal immunofluorescent analysis of rat colon using Phospho-β-Catenin (Ser675) (D2F1) XP® Rabbit mAb (green). Actin filaments have been labeled with DY-554 Phalloidin (red). Blue pseudocolor = DRAQ5® #4084 (fluorescent DNA dye).
undefined Image 15: beta-Catenin Antibody Sampler Kit
Orders: 877-616-CELL (2355) [email protected] Support: 877-678-TECH (8324) [email protected] Web: cellsignal.com
For Research Use Only. Not for Use in Diagnostic Procedures.

Revision 1

Cell Signaling Technology Logo
CUT&RUN was performed with HCT 116 cells and either β-Catenin (D10A8) XP® Rabbit mAb or Rabbit (DA1E) mAb IgG XP® Isotype Control (CUT&RUN) #66362, using CUT&RUN Assay Kit #86652. The enriched DNA was quantified by real-time PCR using SimpleChIP® Human Axin2 Intron 1 Primers #8973, SimpleChIP® Human CaMK2D Intron 3 Primers #5111 and SimpleChIP® Human α Satellite Repeat Primers #4486. The amount of immunoprecipitated DNA in each sample is represented as signal relative to the total amount of input chromatin, which is equivalent to one.
undefined Image 16: beta-Catenin Antibody Sampler Kit
Immunohistochemical analysis of paraffin-embedded human serous adenocarcinoma of the ovary using ß-Catenin (D10A8) XP® Rabbit mAb performed on the Leica® BOND™ Rx.
undefined Image 17: beta-Catenin Antibody Sampler Kit
Confocal immunofluorescent analysis of HeLa cells, untreated (left), λ phosphatase-treated (middle), or untreated NCI-H28 cells (β-catenin null; right) using Phospho-β-Catenin (Ser675) (D2F1) XP® Rabbit mAb (green). Actin filaments have been labeled with DY-554 phalloidin (red). Blue pseudocolor = DRAQ5® #4084 (fluorescent DNA dye).
undefined Image 18: beta-Catenin Antibody Sampler Kit
Orders: 877-616-CELL (2355) [email protected] Support: 877-678-TECH (8324) [email protected] Web: cellsignal.com
For Research Use Only. Not for Use in Diagnostic Procedures.

Revision 1

Cell Signaling Technology Logo
Immunohistochemical analysis of paraffin-embedded human colon adenocarcinoma using ß-Catenin (D10A8) XP® Rabbit mAb.
undefined Image 19: beta-Catenin Antibody Sampler Kit
Immunohistochemical analysis of paraffin-embedded human lung carcinoma using β-Catenin (D10A8) XP® Rabbit mAb.
undefined Image 20: beta-Catenin Antibody Sampler Kit
Immunohistochemical analysis of paraffin-embedded human colon adenocarcinoma using ß-Catenin (D10A8) XP® Rabbit mAb.
undefined Image 21: beta-Catenin Antibody Sampler Kit
Orders: 877-616-CELL (2355) [email protected] Support: 877-678-TECH (8324) [email protected] Web: cellsignal.com
For Research Use Only. Not for Use in Diagnostic Procedures.

Revision 1

Cell Signaling Technology Logo
Immunohistochemical analysis of paraffin-embedded human colon carcinoma using β-Catenin (D10A8) XP® Rabbit mAb.
undefined Image 22: beta-Catenin Antibody Sampler Kit
Immunohistochemical analysis of paraffin-embedded human breast carcinoma using β-Catenin (D10A8) XP® Rabbit mAb.
undefined Image 23: beta-Catenin Antibody Sampler Kit
Immunohistochemical analysis of paraffin-embedded mouse colon using β-Catenin (D10A8) XP® Rabbit mAb in the presence of control peptide (left) or antigen-specific peptide (right).
undefined Image 24: beta-Catenin Antibody Sampler Kit
Orders: 877-616-CELL (2355) [email protected] Support: 877-678-TECH (8324) [email protected] Web: cellsignal.com
For Research Use Only. Not for Use in Diagnostic Procedures.

Revision 1

Cell Signaling Technology Logo
Immunohistochemical analysis of paraffin-embedded cell pellets, HeLa (left) or NCI-H28 (right), using β-Catenin (D10A8) XP® Rabbit mAb.
undefined Image 25: beta-Catenin Antibody Sampler Kit
Confocal immunofluorescent analysis of mouse colon using β-Catenin (D10A8) XP® Rabbit mAb (green). Actin filaments were labeled with DY-554 phalloidin (red). Blue pseudocolor = DRAQ5® #4084 (fluorescent DNA dye).
undefined Image 26: beta-Catenin Antibody Sampler Kit
Confocal immunofluorescent analysis of HeLa (left) and NCI-H28 (right) cells using β-Catenin (D10A8) XP® Rabbit mAb (green). Blue pseudocolor = DRAQ5® #4084 (fluorescent DNA dye).
undefined Image 27: beta-Catenin Antibody Sampler Kit
Orders: 877-616-CELL (2355) [email protected] Support: 877-678-TECH (8324) [email protected] Web: cellsignal.com
For Research Use Only. Not for Use in Diagnostic Procedures.

Revision 1

Cell Signaling Technology Logo
Flow cytometric analysis of NCI-H28 cells (green) and HeLa cells (blue) using β-Catenin (D10A8) XP® Rabbit mAb (solid lines) or concentration-matched Rabbit Isotype Control #3900 (dashed lines). Anti-rabbit IgG (H+L), F(ab')2 Fragment (Alexa Fluor® 488 Conjugate) #4412 was used as secondary antibody.
undefined Image 28: beta-Catenin Antibody Sampler Kit
Chromatin immunoprecipitations were performed with cross-linked chromatin from HCT116 cells and either β-Catenin (D10A8) XP® Rabbit mAb or Non-phospho (Active) β-Catenin (Ser33/37/Thr41) (D13A1) Rabbit mAb #8814, using SimpleChIP® Enzymatic Chromatin IP Kit (Magnetic Beads) #9005. DNA Libraries were prepared using DNA Library Prep Kit for Illumina® (ChIP-seq, CUT&RUN) #56795. The figure shows binding across AXIN2, a known target gene of β-Catenin (see additional figure containing ChIP-qPCR data).
undefined Image 29: beta-Catenin Antibody Sampler Kit
Chromatin immunoprecipitations were performed with cross-linked chromatin from HCT116 cells and either β-Catenin (D10A8) XP® Rabbit mAb or Non-phospho (Active) β-Catenin (Ser33/37/Thr41) (D13A1) Rabbit mAb #8814, using SimpleChIP® Enzymatic Chromatin IP Kit (Magnetic Beads) #9005. DNA Libraries were prepared using DNA Library Prep Kit for Illumina® (ChIP-seq, CUT&RUN) #56795. The figure shows binding across chromosome 17 (upper), including AXIN2 (lower), a known target gene of β-Catenin (see additional figure containing ChIP-qPCR data).
undefined Image 30: beta-Catenin Antibody Sampler Kit
Orders: 877-616-CELL (2355) [email protected] Support: 877-678-TECH (8324) [email protected] Web: cellsignal.com
For Research Use Only. Not for Use in Diagnostic Procedures.

Revision 1

Cell Signaling Technology Logo
Chromatin immunoprecipitations were performed with cross-linked chromatin from HCT 116 cells and either β-Catenin (D10A8) XP® Rabbit mAb or Normal Rabbit IgG #2729 using SimpleChIP® Enzymatic Chromatin IP Kit (Magnetic Beads) #9003. The enriched DNA was quantified by real-time PCR using SimpleChIP® Human Axin2 Intron 1 Primers #8973, SimpleChIP® Human CaMK2D Intron 3 Primers #5111, human c-Myc promoter primers, and SimpleChIP® Human α Satellite Repeat Primers #4486. The amount of immunoprecipitated DNA in each sample is represented as signal relative to the total amount of input chromatin, which is equivalent to one.
undefined Image 31: beta-Catenin Antibody Sampler Kit
Immunoprecipitation of Phospho-β-Catenin (Ser675) protein from SW620 + Calyculin A #9902 (50nM, 30 min) cell extracts. Lane 1 is 10% input, lane 2 is Rabbit (DA1E) mAb IgG XP® Isotype Control #3900, and lane 3 is Phospho-β-Catenin (Ser675) (D2F1) XP® Rabbit mAb. Western blot analysis was performed using Phospho-β-Catenin (Ser675) (D2F1) XP® Rabbit mAb.
undefined Image 32: beta-Catenin Antibody Sampler Kit
Immunoprecipitation of β-Catenin from HeLa cell extracts. Lane 1 is 10% input, lane 2 is precipitated with Rabbit (DA1E) mAb IgG XP® Isotype Control #3900, and lane 3 is β-Catenin (D10A8) XP® Rabbit mAb, #8480. Western blot was performed using β-Catenin (15B8) Mouse mAb, #37447.
undefined Image 33: beta-Catenin Antibody Sampler Kit
Orders: 877-616-CELL (2355) [email protected] Support: 877-678-TECH (8324) [email protected] Web: cellsignal.com
For Research Use Only. Not for Use in Diagnostic Procedures.

Revision 1

Cell Signaling Technology Logo
Simple Western™ analysis of lysates (0.1 mg/mL) from HeLa cells using β-Catenin (D10A8) XP® Rabbit mAb #8480. The virtual lane view (left) shows the target band (as indicated) at 1:10 and 1:50 dilutions of primary antibody. The corresponding electropherogram view (right) plots chemiluminescence by molecular weight along the capillary at 1:10 (blue line) and 1:50 (green line) dilutions of primary antibody. This experiment was performed under reducing conditions on the Jess™ ​​​​​​​ Simple Western instrument from ProteinSimple, a BioTechne brand, using the 12-230 kDa separation module.
undefined Image 34: beta-Catenin Antibody Sampler Kit
Orders: 877-616-CELL (2355) [email protected] Support: 877-678-TECH (8324) [email protected] Web: cellsignal.com
For Research Use Only. Not for Use in Diagnostic Procedures.