Revision 4

#45058

Store at -20C

CST Logo
Orders:

877-616-CELL (2355)

[email protected]

Support:

877-678-TECH (8324)

3 Trask Lane | Danvers | Massachusetts | 01923 | USA

For Research Use Only. Not for Use in Diagnostic Procedures.

Applications:
W, W-S, IHC-P, IF-F, IF-IC

Reactivity:
H M R

Sensitivity:
Endogenous

MW (kDa):
55

Source/Isotype:
Mouse IgG1 kappa

UniProt ID:
#Q13509

Entrez-Gene Id:
10381

Product Usage Information

Application Dilution
Western Blotting 1:1000
Simple Western™ 1:10 - 1:50
Immunohistochemistry (Paraffin) 1:50 - 1:200
Immunofluorescence (Frozen) 1:200 - 1:400
Immunofluorescence (Immunocytochemistry) 1:50 - 1:200

Storage

Supplied in 10 mM sodium HEPES (pH 7.5), 150 mM NaCl, 100 µg/mL BSA, 50% glycerol, and less than 0.02% sodium azide. Store at –20°C. Do not aliquot the antibody.

For a carrier free (BSA and azide free) version of this product see product #77349.

Specificity/Sensitivity

beta3-Tubulin (E9F3E) Mouse Monoclonal Antibody recognizes endogenous levels of total β3-tubulin protein. This antibody does not cross-react with tubulin isoforms expressed in non-neuronal cells.

Source / Purification

Monoclonal antibody is produced by immunizing animals with a synthetic peptide corresponding to residues near the carboxy terminus of human β3-tubulin protein.

Background

The cytoskeleton consists of three types of cytosolic fibers: microtubules, microfilaments (actin filaments), and intermediate filaments. Globular tubulin subunits comprise the microtubule building block, with α/β-tubulin heterodimers forming the tubulin subunit common to all eukaryotic cells. γ-tubulin is required to nucleate polymerization of tubulin subunits to form microtubule polymers. Many cell movements are mediated by microtubule action, including the beating of cilia and flagella, cytoplasmic transport of membrane vesicles, chromosome alignment during meiosis/mitosis, and nerve-cell axon migration. These movements result from competitive microtubule polymerization and depolymerization or through the actions of microtubule motor proteins (1).

β3-tubulin (TUBB3) is one of six β-tubulin isoforms and is expressed highly during fetal and postnatal development (axon guidance and maturation) (2). Its expression levels decrease in the adult central nervous system (CNS) but remain high in the peripheral nervous system (PNS) (3). Microtubules enriched in β3-tubulin are more dynamic than those composed of other β-tubulin isoforms (4). Research studies have shown that mutations in the β3-tubulin gene TUBB3 cause ocular motility defects and other nervous system disorders. Furthermore, β3-tubulin is present in neoplastic but not in normal differentiated glial cells. Thus, β3-tubulin is a great neuronal marker (5).

Species Reactivity

Species reactivity is determined by testing in at least one approved application (e.g., western blot).

Western Blot Buffer

IMPORTANT: For western blots, incubate membrane with diluted primary antibody in 5% w/v nonfat dry milk, 1X TBS, 0.1% Tween® 20 at 4°C with gentle shaking, overnight.

Applications Key

W: Western Blotting W-S: Simple Western™ IHC-P: Immunohistochemistry (Paraffin) IF-F: Immunofluorescence (Frozen) IF-IC: Immunofluorescence (Immunocytochemistry)

Cross-Reactivity Key

H: Human M: Mouse R: Rat

Trademarks and Patents

Cell Signaling Technology is a trademark of Cell Signaling Technology, Inc.

All other trademarks are the property of their respective owners. Visit cellsignal.com/trademarks for more information.

Limited Uses

Except as otherwise expressly agreed in a writing signed by a legally authorized representative of CST, the following terms apply to Products provided by CST, its affiliates or its distributors. Any Customer's terms and conditions that are in addition to, or different from, those contained herein, unless separately accepted in writing by a legally authorized representative of CST, are rejected and are of no force or effect.

Products are labeled with For Research Use Only or a similar labeling statement and have not been approved, cleared, or licensed by the FDA or other regulatory foreign or domestic entity, for any purpose. Customer shall not use any Product for any diagnostic or therapeutic purpose, or otherwise in any manner that conflicts with its labeling statement. Products sold or licensed by CST are provided for Customer as the end-user and solely for research and development uses. Any use of Product for diagnostic, prophylactic or therapeutic purposes, or any purchase of Product for resale (alone or as a component) or other commercial purpose, requires a separate license from CST. Customer shall (a) not sell, license, loan, donate or otherwise transfer or make available any Product to any third party, whether alone or in combination with other materials, or use the Products to manufacture any commercial products, (b) not copy, modify, reverse engineer, decompile, disassemble or otherwise attempt to discover the underlying structure or technology of the Products, or use the Products for the purpose of developing any products or services that would compete with CST products or services, (c) not alter or remove from the Products any trademarks, trade names, logos, patent or copyright notices or markings, (d) use the Products solely in accordance with CST Product Terms of Sale and any applicable documentation, and (e) comply with any license, terms of service or similar agreement with respect to any third party products or services used by Customer in connection with the Products.

Orders: 877-616-CELL (2355) [email protected] Support: 877-678-TECH (8324) [email protected] Web: cellsignal.com
For Research Use Only. Not for Use in Diagnostic Procedures.

Revision 4

Cell Signaling Technology Logo
Western blot analysis of extracts from various tissues and cell lines using β3-Tubulin (E9F3E) Mouse mAb (upper) or β-Actin (D6A8) Rabbit mAb #8457 (lower). Negative expression of β3-tubulin protein in MDA-MB-453 cells is consistent with the predicted expression pattern.
Western Blotting Image 1: beta3-Tubulin (E9F3E) Mouse Monoclonal Antibody
Simple Western™ analysis of lysates (0.1 mg/mL) from mouse brain tissue using β3-Tubulin (E9F3E) Mouse mAb #45058. The virtual lane view (left) shows the target band (as indicated) at 1:10 and 1:50 dilutions of primary antibody. The corresponding electropherogram view (right) plots chemiluminescence by molecular weight along the capillary at 1:10 (blue line) and 1:50 (green line) dilutions of primary antibody. This experiment was performed under reducing conditions on the Jess™ Simple Western instrument from ProteinSimple, a BioTechne brand, using the 12-230 kDa separation module.
Western Blotting Image 1: beta3-Tubulin (E9F3E) Mouse Monoclonal Antibody
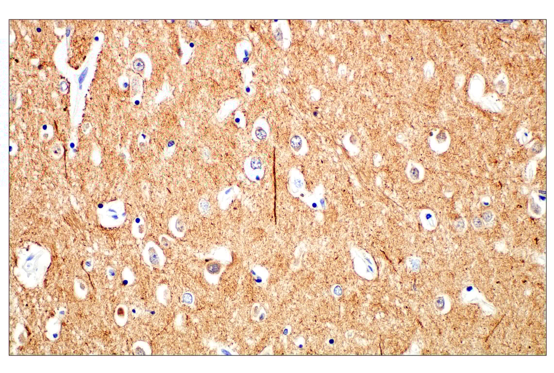
Immunohistochemical analysis of paraffin-embedded normal human brain using β3-Tubulin (E9F3E) Mouse mAb.
Immunohistochemistry Image 1: beta3-Tubulin (E9F3E) Mouse Monoclonal Antibody
Orders: 877-616-CELL (2355) [email protected] Support: 877-678-TECH (8324) [email protected] Web: cellsignal.com
For Research Use Only. Not for Use in Diagnostic Procedures.

Revision 4

Cell Signaling Technology Logo
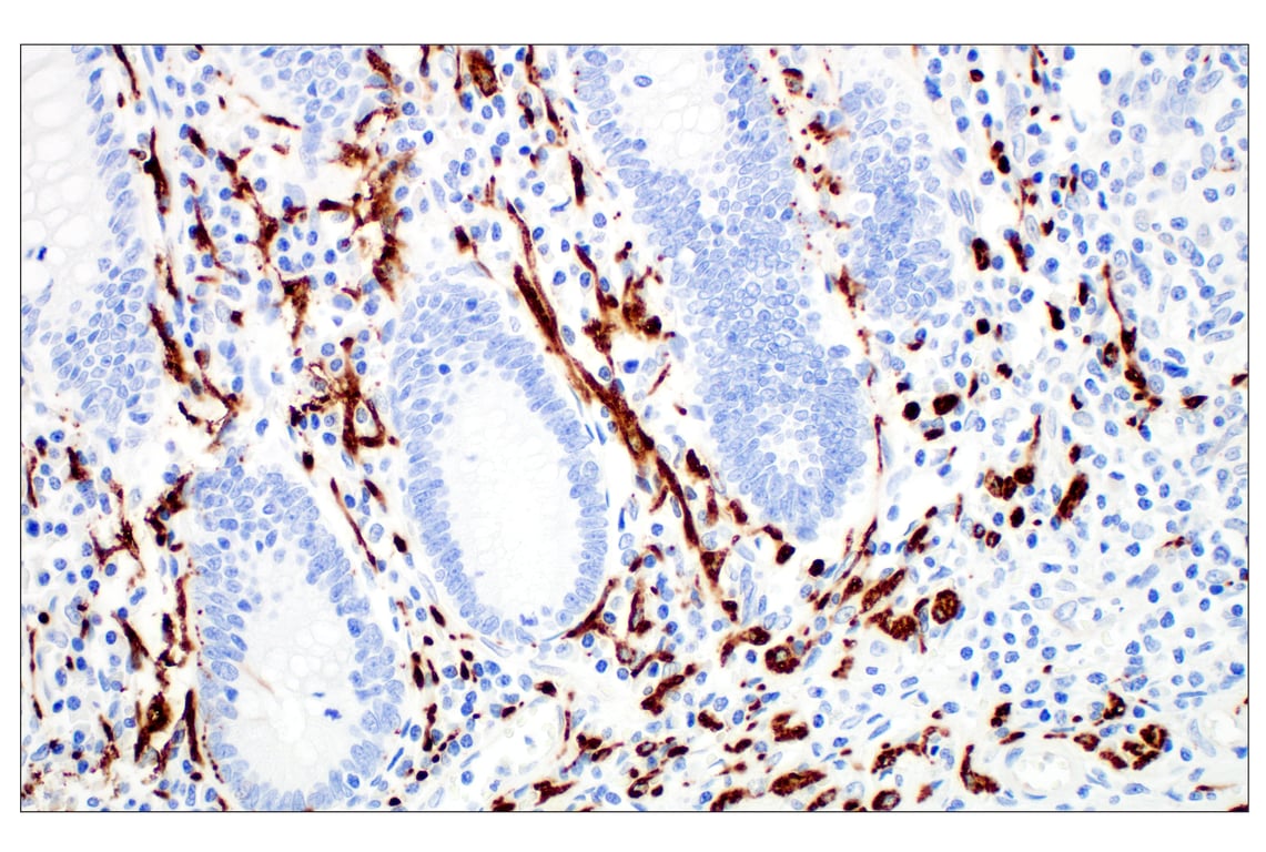
Immunohistochemical analysis of paraffin-embedded peripheral nerve within human prostate adenocarcinoma using β3-Tubulin (E9F3E) Mouse mAb.
Immunohistochemistry Image 2: beta3-Tubulin (E9F3E) Mouse Monoclonal Antibody
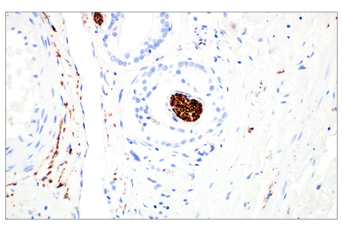
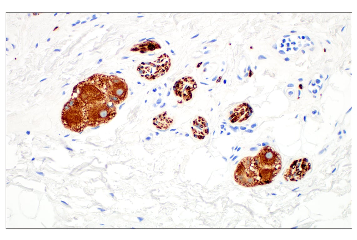
Immunohistochemical analysis of paraffin-embedded peripheral nerve adjacent to normal human stomach using β3-Tubulin (E9F3E) Mouse mAb.
Immunohistochemistry Image 3: beta3-Tubulin (E9F3E) Mouse Monoclonal Antibody
Immunohistochemical analysis of paraffin-embedded human appendix using β3-Tubulin (E9F3E) Mouse mAb.
Immunohistochemistry Image 4: beta3-Tubulin (E9F3E) Mouse Monoclonal Antibody
Orders: 877-616-CELL (2355) [email protected] Support: 877-678-TECH (8324) [email protected] Web: cellsignal.com
For Research Use Only. Not for Use in Diagnostic Procedures.

Revision 4

Cell Signaling Technology Logo
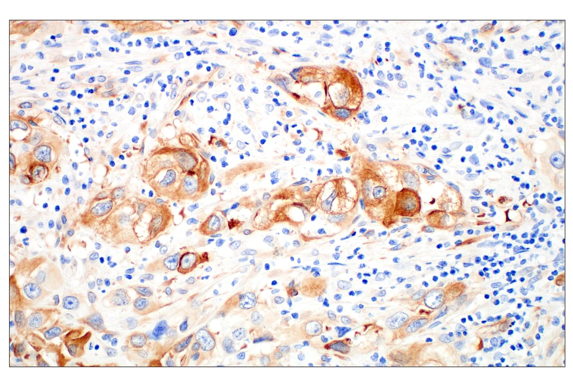
Immunohistochemical analysis of paraffin-embedded human urothelial carcinoma using β3-Tubulin (E9F3E) Mouse mAb.
Immunohistochemistry Image 5: beta3-Tubulin (E9F3E) Mouse Monoclonal Antibody
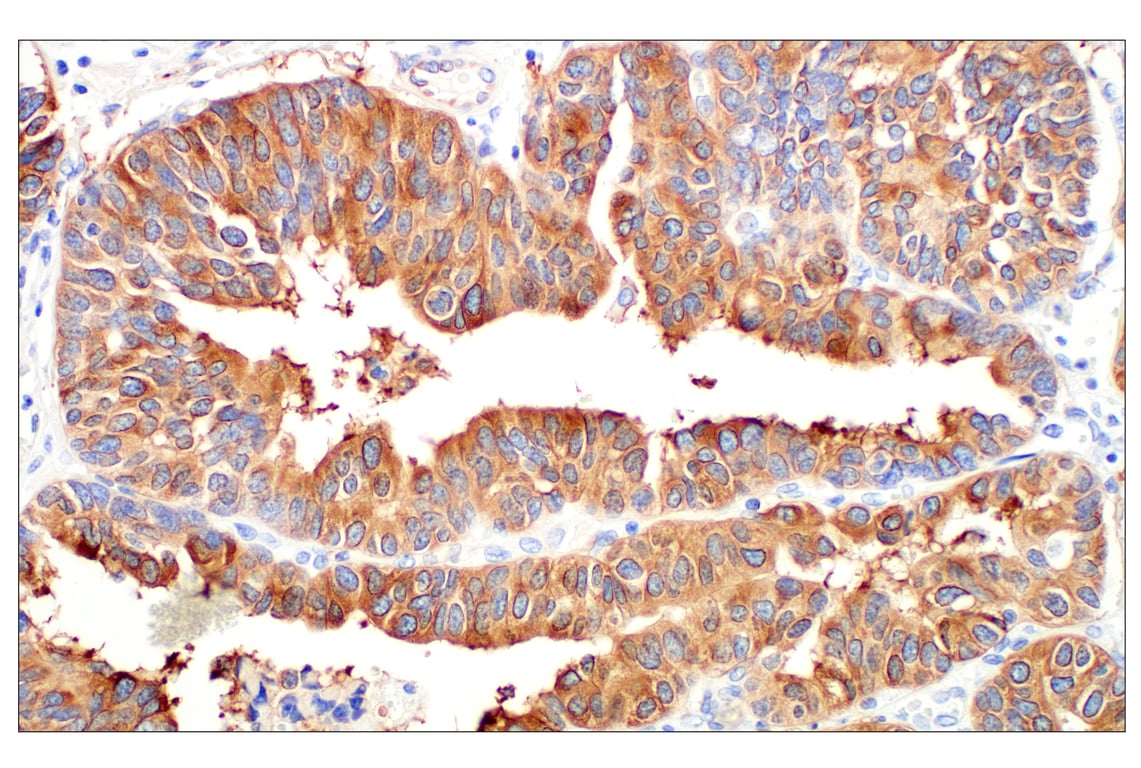
Immunohistochemical analysis of paraffin-embedded human papillary thyroid carcinoma using β3-Tubulin (E9F3E) Mouse mAb.
Immunohistochemistry Image 6: beta3-Tubulin (E9F3E) Mouse Monoclonal Antibody
Immunohistochemical analysis of paraffin-embedded human soft tissue squamous cell carcinoma using β3-Tubulin (E9F3E) Mouse mAb.
Immunohistochemistry Image 7: beta3-Tubulin (E9F3E) Mouse Monoclonal Antibody
Orders: 877-616-CELL (2355) [email protected] Support: 877-678-TECH (8324) [email protected] Web: cellsignal.com
For Research Use Only. Not for Use in Diagnostic Procedures.

Revision 4

Cell Signaling Technology Logo
Immunohistochemical analysis of paraffin-embedded peripheral nerve adjacent to normal human small intestine using β3-Tubulin (E9F3E) Mouse mAb (left) compared to concentration-matched Mouse (G3A1) mAb IgG1 Isotype Control #5415 (right). 
Immunohistochemistry Image 8: beta3-Tubulin (E9F3E) Mouse Monoclonal Antibody
Immunohistochemical analysis of paraffin-embedded HL-60 cell pellet (left, positive) or NCI-H1963 cell pellet (right, negative) using β3-Tubulin (E9F3E) Mouse mAb.
Immunohistochemistry Image 9: beta3-Tubulin (E9F3E) Mouse Monoclonal Antibody
Confocal immunofluorescent analysis of fixed frozen mouse retina, labeled with β3-Tubulin (E9F3E) Mouse mAb (left, green, Mouse IgG1), Lamin A/C (4C11) Mouse mAb #4777 (right, red, Mouse IgG2a), and ProLong Gold Antifade Reagent with DAPI #8961 (right, blue).
Immunofluorescence Image 1: beta3-Tubulin (E9F3E) Mouse Monoclonal Antibody
Orders: 877-616-CELL (2355) [email protected] Support: 877-678-TECH (8324) [email protected] Web: cellsignal.com
For Research Use Only. Not for Use in Diagnostic Procedures.

Revision 4

Cell Signaling Technology Logo
Confocal immunofluorescent analysis of fixed frozen mouse brain, labeled with β3-Tubulin (E9F3E) Mouse mAb (left, green, Mouse IgG1), Myelin Basic Protein (E9P7U) Mouse mAb #83683 (right, yellow, Mouse IgG2b), Lamin A/C (4C11) Mouse mAb #4777 (right, red, Mouse IgG2a), and ProLong Gold Antifade Reagent with DAPI #8961 (right, blue).
Immunofluorescence Image 2: beta3-Tubulin (E9F3E) Mouse Monoclonal Antibody
Confocal immunofluorescent analysis of BT-549 cells (left, positive) and MDA-MB-453 cells (right, negative) using β3-Tubulin (E9F3E) Mouse mAb (green), DyLight 650 Phalloidin #12956 (red), and DAPI #4083 (blue).
Immunofluorescence Image 1: beta3-Tubulin (E9F3E) Mouse Monoclonal Antibody
Orders: 877-616-CELL (2355) [email protected] Support: 877-678-TECH (8324) [email protected] Web: cellsignal.com
For Research Use Only. Not for Use in Diagnostic Procedures.