Revision 1

#26184

Store at -20C

CST Logo
Orders:

877-616-CELL (2355)

[email protected]

Support:

877-678-TECH (8324)

3 Trask Lane | Danvers | Massachusetts | 01923 | USA

For Research Use Only. Not for Use in Diagnostic Procedures.

Applications:
W, IHC-Bond, IHC-P, IF-IC, FC-FP

Reactivity:
H M R

Sensitivity:
Endogenous

MW (kDa):
12, 15, 23

Source/Isotype:
Rabbit IgG

UniProt ID:
#O43521

Entrez-Gene Id:
10018

Product Usage Information

This product is the carrier-free version of product #2933. All data were generated using the same antibody clone in the standard formulation which contains BSA and glycerol.

This formulation is ideal for use with technologies requiring specialized or custom antibody labeling, including fluorophores, metals, lanthanides, and oligonucleotides. It is not recommended for ChIP, ChIP-seq, CUT&RUN, or CUT&Tag assays. If you require a carrier-free formulation for chromatin profiling, please contact us. Optimal dilutions/concentrations should be determined by the end user.

BSA and Azide Free antibodies are quality control tested by size exclusion chromatography (SEC) to determine antibody integrity.

Formulation

Supplied in 1X PBS (10 mM Na2HPO4, 3 mM KCl, 2 mM KH2PO4, and 140 mM NaCl (pH 7.8)). BSA and Azide Free.

For standard formulation of this product see product #www.cellsignal.com/products/primary-antibodies/bim-c34c5-rabbit-mab/2933?_=1656008689479&Ntt=bim&tahead=true">2933.

Storage

Store at -20°C. This product will freeze at -20°C so it is recommended to aliquot into single-use vials to avoid multiple freeze/thaw cycles. A slight precipitate may be present and can be dissolved by gently vortexing. This will not interfere with antibody performance.

Specificity/Sensitivity

Bim (C34C5) Rabbit Monoclonal Antibody (BSA and Azide Free) detects endogenous levels of total Bim (EL, L and S isoforms) protein.

Species predicted to react based on 100% sequence homology

Monkey, Bovine, Dog, Pig

Source / Purification

Monoclonal antibody is produced by immunizing animals with a synthetic peptide corresponding to residues surrounding Pro25 of Bim.

Background

Bim/Bod is a pro-apoptotic protein belonging to the BH3-only group of Bcl-2 family members including Bad, Bid, Bik, Hrk, and Noxa that contain a BH3 domain but lack other conserved BH1 or BH2 domains (1,2). Bim induces apoptosis by binding to and antagonizing anti-apoptotic members of the Bcl-2 family. Interactions have been observed with Bcl-2, Bcl-xL, Mcl-1, Bcl-w, Bfl-1, and BHRF-1 (1,2). Bim functions in regulating apoptosis associated with thymocyte negative selection and following growth factor withdrawal, during which Bim expression is elevated (3-6). Three major isoforms of Bim are generated by alternative splicing: BimEL, BimL, and BimS (1). The shortest form, BimS, is the most cytotoxic and is generally only transiently expressed during apoptosis. The BimEL and BimL isoforms may be sequestered to the dynein motor complex through an interaction with the dynein light chain and released from this complex during apoptosis (7). Apoptotic activity of these longer isoforms may be regulated by phosphorylation (8,9). Environmental stress triggers Bim phosphorylation by JNK and results in its dissociation from the dynein complex and increased apoptotic activity.

Species Reactivity

Species reactivity is determined by testing in at least one approved application (e.g., western blot).

Applications Key

W: Western Blotting IHC-Bond: IHC Leica Bond IHC-P: Immunohistochemistry (Paraffin) IF-IC: Immunofluorescence (Immunocytochemistry) FC-FP: Flow Cytometry (Fixed/Permeabilized)

Cross-Reactivity Key

H: Human M: Mouse R: Rat

Trademarks and Patents

Cell Signaling Technology is a trademark of Cell Signaling Technology, Inc.

SignalStain is a registered trademark of Cell Signaling Technology, Inc.

U.S. Patent No. 7,429,487, foreign equivalents, and child patents deriving therefrom.

All other trademarks are the property of their respective owners. Visit cellsignal.com/trademarks for more information.

Limited Uses

Except as otherwise expressly agreed in a writing signed by a legally authorized representative of CST, the following terms apply to Products provided by CST, its affiliates or its distributors. Any Customer's terms and conditions that are in addition to, or different from, those contained herein, unless separately accepted in writing by a legally authorized representative of CST, are rejected and are of no force or effect.

Products are labeled with For Research Use Only or a similar labeling statement and have not been approved, cleared, or licensed by the FDA or other regulatory foreign or domestic entity, for any purpose. Customer shall not use any Product for any diagnostic or therapeutic purpose, or otherwise in any manner that conflicts with its labeling statement. Products sold or licensed by CST are provided for Customer as the end-user and solely for research and development uses. Any use of Product for diagnostic, prophylactic or therapeutic purposes, or any purchase of Product for resale (alone or as a component) or other commercial purpose, requires a separate license from CST. Customer shall (a) not sell, license, loan, donate or otherwise transfer or make available any Product to any third party, whether alone or in combination with other materials, or use the Products to manufacture any commercial products, (b) not copy, modify, reverse engineer, decompile, disassemble or otherwise attempt to discover the underlying structure or technology of the Products, or use the Products for the purpose of developing any products or services that would compete with CST products or services, (c) not alter or remove from the Products any trademarks, trade names, logos, patent or copyright notices or markings, (d) use the Products solely in accordance with CST Product Terms of Sale and any applicable documentation, and (e) comply with any license, terms of service or similar agreement with respect to any third party products or services used by Customer in connection with the Products.

Orders: 877-616-CELL (2355) [email protected] Support: 877-678-TECH (8324) [email protected] Web: cellsignal.com
For Research Use Only. Not for Use in Diagnostic Procedures.

Revision 1

Cell Signaling Technology Logo
Western blot analysis of extracts from Raji, A20, and RL cells using Bim (C34C5) Rabbit mAb. Data were generated using the standard formulation of this product.
Western Blotting Image 1: Bim (C34C5) Rabbit Monoclonal Antibody (BSA and Azide Free)
Western blot analysis of extracts from HeLa cells, transfected with 100 nM SignalSilence® Control siRNA (Fluorescein Conjugate) #6201 (-) or SignalSilence® Bim siRNA I #6461 or SignalSilence® Bim siRNA II (+), using Bim (C34C5) Rabbit mAb #2933 and α-Tubulin (11H10) Rabbit mAb #2125. Bim (C34C5) Rabbit mAb confirms silencing of Bim expression and α-Tubulin (11H10) Rabbit mAb is used to control for loading and specificity of Bim siRNA. Data were generated using the standard formulation of this product.
Western Blotting Image 2: Bim (C34C5) Rabbit Monoclonal Antibody (BSA and Azide Free)
Immunohistochemical analysis of paraffin-embedded human colon adenocarcinoma using Bim (C34C5) Rabbit mAb performed on the Leica® BOND™ Rx. Data were generated using the standard formulation of this product.
Immunohistochemistry Image 1: Bim (C34C5) Rabbit Monoclonal Antibody (BSA and Azide Free)
Orders: 877-616-CELL (2355) [email protected] Support: 877-678-TECH (8324) [email protected] Web: cellsignal.com
For Research Use Only. Not for Use in Diagnostic Procedures.

Revision 1

Cell Signaling Technology Logo
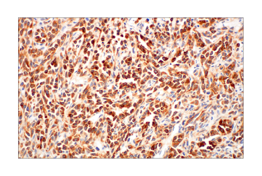
Immunohistochemical analysis of paraffin-embedded human non-small cell lung carcinoma using Bim (C34C5) Rabbit mAb performed on the Leica® BOND™ Rx. Data were generated using the standard formulation of this product.
Immunohistochemistry Image 2: Bim (C34C5) Rabbit Monoclonal Antibody (BSA and Azide Free)
Immunohistochemical analysis of paraffin-embedded human lung carcinoma using Bim (C34C5) Rabbit mAb. Data were generated using the standard formulation of this product.
Immunohistochemistry Image 1: Bim (C34C5) Rabbit Monoclonal Antibody (BSA and Azide Free)
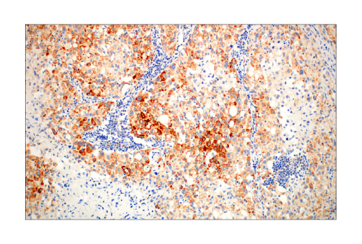
Immunohistochemical analysis of paraffin-embedded human lymphoma using Bim (C34C5) Rabbit mAb. Data were generated using the standard formulation of this product.
Immunohistochemistry Image 2: Bim (C34C5) Rabbit Monoclonal Antibody (BSA and Azide Free)
Orders: 877-616-CELL (2355) [email protected] Support: 877-678-TECH (8324) [email protected] Web: cellsignal.com
For Research Use Only. Not for Use in Diagnostic Procedures.

Revision 1

Cell Signaling Technology Logo
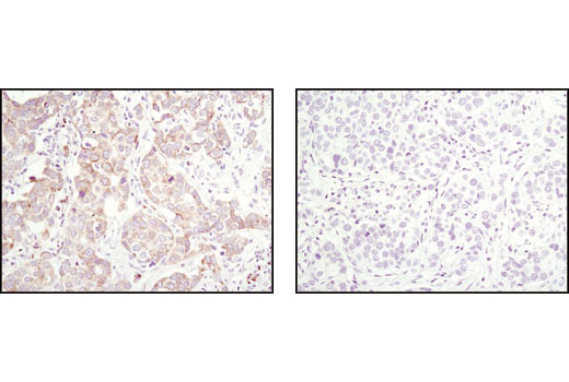
Immunohistochemical analysis of paraffin-embedded human breast carcinoma using Bim (C34C5) Rabbit mAb in the presence of control peptide (left) or antigen specific peptide (right). Data were generated using the standard formulation of this product.
Immunohistochemistry Image 3: Bim (C34C5) Rabbit Monoclonal Antibody (BSA and Azide Free)
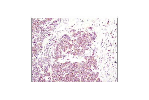
Immunohistochemical analysis of paraffin-embedded 4T1 syngeneic tumor using Bim (C34C5) Rabbit mAb. Data were generated using the standard formulation of this product.
Immunohistochemistry Image 4: Bim (C34C5) Rabbit Monoclonal Antibody (BSA and Azide Free)
Confocal immunofluorescent analysis of MCF7 cells using Bim Antibody (green) showing colocalization with mitochondria that have been labeled with MitoTracker® Red CMXRos (red). Blue pseudocolor = DRAQ5® #4084 (fluorescent DNA dye). Data were generated using the standard formulation of this product.
Immunofluorescence Image 1: Bim (C34C5) Rabbit Monoclonal Antibody (BSA and Azide Free)
Orders: 877-616-CELL (2355) [email protected] Support: 877-678-TECH (8324) [email protected] Web: cellsignal.com
For Research Use Only. Not for Use in Diagnostic Procedures.

Revision 1

Cell Signaling Technology Logo
Flow cytometric analysis of Raji cells using Bim (C34C5) Rabbit mAb (solid line) compared to concentration-matched Rabbit (DA1E) mAb IgG XP® Isotype Control #3900 (dashed line). Anti-rabbit IgG (H+L), F(ab')2 Fragment (Alexa Fluor® 488 Conjugate) #4412 was used as a secondary antibody. Data were generated using the standard formulation of this product.
Flow Cytometry Image 1: Bim (C34C5) Rabbit Monoclonal Antibody (BSA and Azide Free)
Orders: 877-616-CELL (2355) [email protected] Support: 877-678-TECH (8324) [email protected] Web: cellsignal.com
For Research Use Only. Not for Use in Diagnostic Procedures.