Revision 1

#70583

Store at -20C

CST Logo
Orders:

877-616-CELL (2355)

[email protected]

Support:

877-678-TECH (8324)

3 Trask Lane | Danvers | Massachusetts | 01923 | USA

For Research Use Only. Not for Use in Diagnostic Procedures.

Applications:
W, IP

Reactivity:
H

Sensitivity:
Endogenous

MW (kDa):
55-65

Source/Isotype:
Rabbit IgG

UniProt ID:
#P22004

Entrez-Gene Id:
654

Product Usage Information

Application Dilution
Western Blotting 1:1000
Immunoprecipitation 1:50

Storage

Supplied in 10 mM sodium HEPES (pH 7.5), 150 mM NaCl, 100 µg/ml BSA, 50% glycerol and less than 0.02% sodium azide. Store at –20°C. Do not aliquot the antibody.

Specificity/Sensitivity

BMP6 (Precursor Specific) (D2V5Z) Rabbit Monoclonal Antibody recognizes endogenous levels of total precursor BMP6 protein. This antibody does not recognize mature BMP6 protein. This antibody also recognizes an unknown protein with a 26 kDa molecular weight.

Source / Purification

Monoclonal antibody is produced by immunizing animals with a synthetic peptide corresponding to residues surrounding Gln173 of human BMP6 protein.

Background

Bone morphogenetic proteins (BMPs) were first identified as molecules that can induce ectopic bone and cartilage formation (1,2). BMPs belong to the TGF-β superfamily, playing many diverse functions during development (3). BMPs are synthesized as precursor proteins and then processed by cleavage to release the C-terminal mature BMP. BMPs initiate signaling by binding to a receptor complex containing type I and type II serine/threonine receptor kinases that then phosphorylate Smad (mainly Smad1, 5, and 8), resulting in the translocation of Smad into the nucleus. BMP was also reported to activate MAPK pathways in some systems (3,4).
BMP6 plays a critical role in iron metabolism, ovulation, and aldosterone production (5-7). Recent studies have shown that hypermethylation of the BMP6 gene promoter decreases its expression in several cancer types, which contributes to tumor growth and progression (8-11).

Species Reactivity

Species reactivity is determined by testing in at least one approved application (e.g., western blot).

Western Blot Buffer

IMPORTANT: For western blots, incubate membrane with diluted primary antibody in 5% w/v nonfat dry milk, 1X TBS, 0.1% Tween® 20 at 4°C with gentle shaking, overnight.

Applications Key

W: Western Blotting IP: Immunoprecipitation

Cross-Reactivity Key

H: Human

Trademarks and Patents

Cell Signaling Technology is a trademark of Cell Signaling Technology, Inc.

All other trademarks are the property of their respective owners. Visit cellsignal.com/trademarks for more information.

Limited Uses

Except as otherwise expressly agreed in a writing signed by a legally authorized representative of CST, the following terms apply to Products provided by CST, its affiliates or its distributors. Any Customer's terms and conditions that are in addition to, or different from, those contained herein, unless separately accepted in writing by a legally authorized representative of CST, are rejected and are of no force or effect.

Products are labeled with For Research Use Only or a similar labeling statement and have not been approved, cleared, or licensed by the FDA or other regulatory foreign or domestic entity, for any purpose. Customer shall not use any Product for any diagnostic or therapeutic purpose, or otherwise in any manner that conflicts with its labeling statement. Products sold or licensed by CST are provided for Customer as the end-user and solely for research and development uses. Any use of Product for diagnostic, prophylactic or therapeutic purposes, or any purchase of Product for resale (alone or as a component) or other commercial purpose, requires a separate license from CST. Customer shall (a) not sell, license, loan, donate or otherwise transfer or make available any Product to any third party, whether alone or in combination with other materials, or use the Products to manufacture any commercial products, (b) not copy, modify, reverse engineer, decompile, disassemble or otherwise attempt to discover the underlying structure or technology of the Products, or use the Products for the purpose of developing any products or services that would compete with CST products or services, (c) not alter or remove from the Products any trademarks, trade names, logos, patent or copyright notices or markings, (d) use the Products solely in accordance with CST Product Terms of Sale and any applicable documentation, and (e) comply with any license, terms of service or similar agreement with respect to any third party products or services used by Customer in connection with the Products.

Orders: 877-616-CELL (2355) [email protected] Support: 877-678-TECH (8324) [email protected] Web: cellsignal.com
For Research Use Only. Not for Use in Diagnostic Procedures.

Revision 1

Cell Signaling Technology Logo
Western blot analysis of extracts from human placenta and A-204 cells using BMP6 (Precursor Specific) (D2V5Z) Rabbit mAb.
Western Blotting Image 1: BMP6 (Precursor Specific) (D2V5Z) Rabbit Monoclonal Antibody
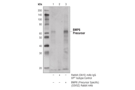
Immunoprecipitation of BMP6 from A-204 cell extracts. Lane 1 is 10% input, lane 2 is Rabbit (DA1E) mAb IgG XP® Isotype Control #3900, and lane 3 is BMP6 (Precursor Specific) (D2V5Z) Rabbit mAb. Western blot analysis was performed using

BMP6 (Precursor Specific) (D2V5Z) Rabbit mAb and Mouse Anti-rabbit IgG (Conformation Specific) (L27A9) mAb #3678.

Immunoprecipitation Image 1: BMP6 (Precursor Specific) (D2V5Z) Rabbit Monoclonal Antibody
Orders: 877-616-CELL (2355) [email protected] Support: 877-678-TECH (8324) [email protected] Web: cellsignal.com
For Research Use Only. Not for Use in Diagnostic Procedures.