Revision 3

#50799

Store at -20C

CST Logo
Orders:

877-616-CELL (2355)

[email protected]

Support:

877-678-TECH (8324)

3 Trask Lane | Danvers | Massachusetts | 01923 | USA

For Research Use Only. Not for Use in Diagnostic Procedures.

Applications:
W, IP, IHC-Bond, IHC-P, IF-IC

Reactivity:
H Mk

Sensitivity:
Endogenous

MW (kDa):
220

Source/Isotype:
Rabbit IgG

UniProt ID:
#P38398

Entrez-Gene Id:
672

Product Usage Information

Application Dilution
Western Blotting 1:1000
Immunoprecipitation 1:50
IHC Leica Bond 1:150 - 1:600
Immunohistochemistry (Paraffin) 1:150 - 1:600
Immunofluorescence (Immunocytochemistry) 1:50 - 1:200

Storage

Supplied in 10 mM sodium HEPES (pH 7.5), 150 mM NaCl, 100 µg/mL BSA, 50% glycerol, and less than 0.02% sodium azide. Store at –20°C. Do not aliquot the antibody.

For a carrier free (BSA and azide free) version of this product see product #20225.

Specificity/Sensitivity

BRCA1 (E5S9G) Rabbit Monoclonal Antibody recognizes endogenous levels of total BRCA1 protein. Non-specific staining of kidney tubules was observed by immunohistochemistry.

Source / Purification

Monoclonal antibody is produced by immunizing animals with recombinant protein specific to the carboxy terminus of human BRCA1 protein.

Background

The breast cancer susceptibility proteins BRCA1 and BRCA2 are frequently mutated in cases of hereditary breast and ovarian cancers and have roles in multiple processes related to DNA damage, repair, cell cycle progression, transcription, ubiquitination, and apoptosis (1-4). BRCA2 has been shown to be required for localization of Rad51 to sites of double-stranded breaks (DSBs) in DNA, and cells lacking BRCA1 and BRCA2 cannot repair DSBs through the Rad51-dependent process of homologous recombination (HR) (5). Numerous DNA damage-induced phosphorylation sites on BRCA1 have been identified, including Ser988, 1189, 1387, 1423, 1457, 1524, and 1542, and kinases activated in a cell cycle-dependent manner, including Aurora A and CDK2, can also phosphorylate BRCA1 at Ser308 and Ser1497, respectively (6-10). Cell cycle-dependent phosphorylation of BRCA2 at Ser3291 by CDKs has been proposed as a mechanism to switch off HR as cells progress beyond S-phase by blocking the carboxy-terminal Rad51 binding site (11).

Species Reactivity

Species reactivity is determined by testing in at least one approved application (e.g., western blot).

Western Blot Buffer

IMPORTANT: For western blots, incubate membrane with diluted primary antibody in 5% w/v BSA, 1X TBS, 0.1% Tween® 20 at 4°C with gentle shaking, overnight.

Applications Key

W: Western Blotting IP: Immunoprecipitation IHC-Bond: IHC Leica Bond IHC-P: Immunohistochemistry (Paraffin) IF-IC: Immunofluorescence (Immunocytochemistry)

Cross-Reactivity Key

H: Human Mk: Monkey

Trademarks and Patents

Cell Signaling Technology is a trademark of Cell Signaling Technology, Inc.

All other trademarks are the property of their respective owners. Visit cellsignal.com/trademarks for more information.

Limited Uses

Except as otherwise expressly agreed in a writing signed by a legally authorized representative of CST, the following terms apply to Products provided by CST, its affiliates or its distributors. Any Customer's terms and conditions that are in addition to, or different from, those contained herein, unless separately accepted in writing by a legally authorized representative of CST, are rejected and are of no force or effect.

Products are labeled with For Research Use Only or a similar labeling statement and have not been approved, cleared, or licensed by the FDA or other regulatory foreign or domestic entity, for any purpose. Customer shall not use any Product for any diagnostic or therapeutic purpose, or otherwise in any manner that conflicts with its labeling statement. Products sold or licensed by CST are provided for Customer as the end-user and solely for research and development uses. Any use of Product for diagnostic, prophylactic or therapeutic purposes, or any purchase of Product for resale (alone or as a component) or other commercial purpose, requires a separate license from CST. Customer shall (a) not sell, license, loan, donate or otherwise transfer or make available any Product to any third party, whether alone or in combination with other materials, or use the Products to manufacture any commercial products, (b) not copy, modify, reverse engineer, decompile, disassemble or otherwise attempt to discover the underlying structure or technology of the Products, or use the Products for the purpose of developing any products or services that would compete with CST products or services, (c) not alter or remove from the Products any trademarks, trade names, logos, patent or copyright notices or markings, (d) use the Products solely in accordance with CST Product Terms of Sale and any applicable documentation, and (e) comply with any license, terms of service or similar agreement with respect to any third party products or services used by Customer in connection with the Products.

Orders: 877-616-CELL (2355) [email protected] Support: 877-678-TECH (8324) [email protected] Web: cellsignal.com
For Research Use Only. Not for Use in Diagnostic Procedures.

Revision 3

Cell Signaling Technology Logo
Western blot analysis of extracts from HeLa, HT-29, and UWB1.289 cells using BRCA1 (E5S9G) Rabbit mAb (upper) or α-Actinin (D6F6) XP® Rabbit mAb #6487 (lower). Negative expression of BRCA1 in UWB1.289 cells is consistent with the predicted expression pattern.
Western Blotting Image 1: BRCA1 (E5S9G) Rabbit Monoclonal Antibody
Immunoprecipitation of BRCA1 protein from HT-29 cell extracts. Lane 1 is 10% input, lane 2 is Rabbit (DA1E) mAb IgG XP® Isotype Control #3900, and lane 3 is BRCA1 (E5S9G) Rabbit mAb. Western blot analysis was performed using BRCA1 (E5S9G) Rabbit mAb. was used as the secondary antibody. Anti-rabbit IgG, HRP-linked Antibody #7074 was used as a secondary antibody.
Immunoprecipitation Image 1: BRCA1 (E5S9G) Rabbit Monoclonal Antibody
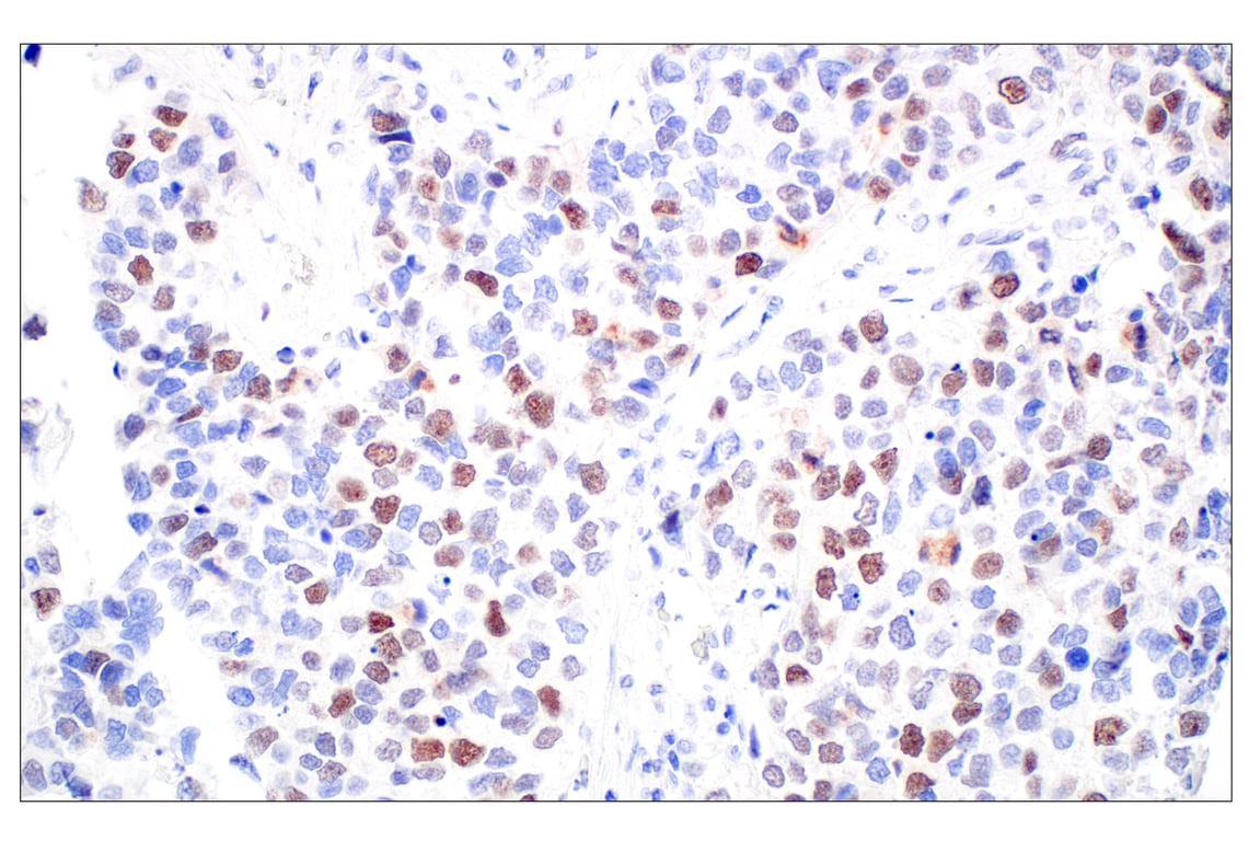
Immunohistochemical analysis of paraffin-embedded human papillary carcinoma of the breast using BRCA1 (E5S9G) Rabbit mAb.
Immunohistochemistry Image 1: BRCA1 (E5S9G) Rabbit Monoclonal Antibody
Orders: 877-616-CELL (2355) [email protected] Support: 877-678-TECH (8324) [email protected] Web: cellsignal.com
For Research Use Only. Not for Use in Diagnostic Procedures.

Revision 3

Cell Signaling Technology Logo
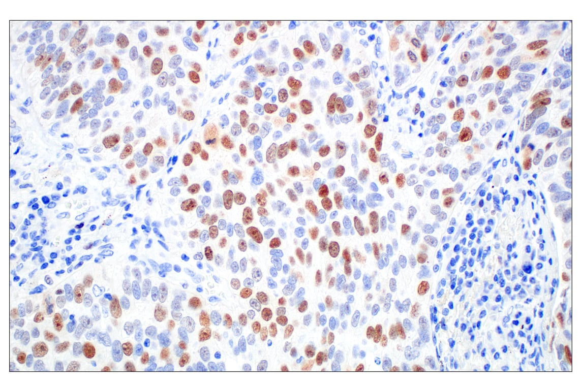
Immunohistochemical analysis of paraffin-embedded human ductal breast carcinoma using BRCA1 (E5S9G) Rabbit mAb performed on the Leica BOND RX.
Immunohistochemistry Image 1: BRCA1 (E5S9G) Rabbit Monoclonal Antibody
Immunohistochemical analysis of paraffin-embedded human squamous cell carcinoma of the cervix using BRCA1 (E5S9G) Rabbit mAb performed on the Leica BOND RX.
Immunohistochemistry Image 2: BRCA1 (E5S9G) Rabbit Monoclonal Antibody
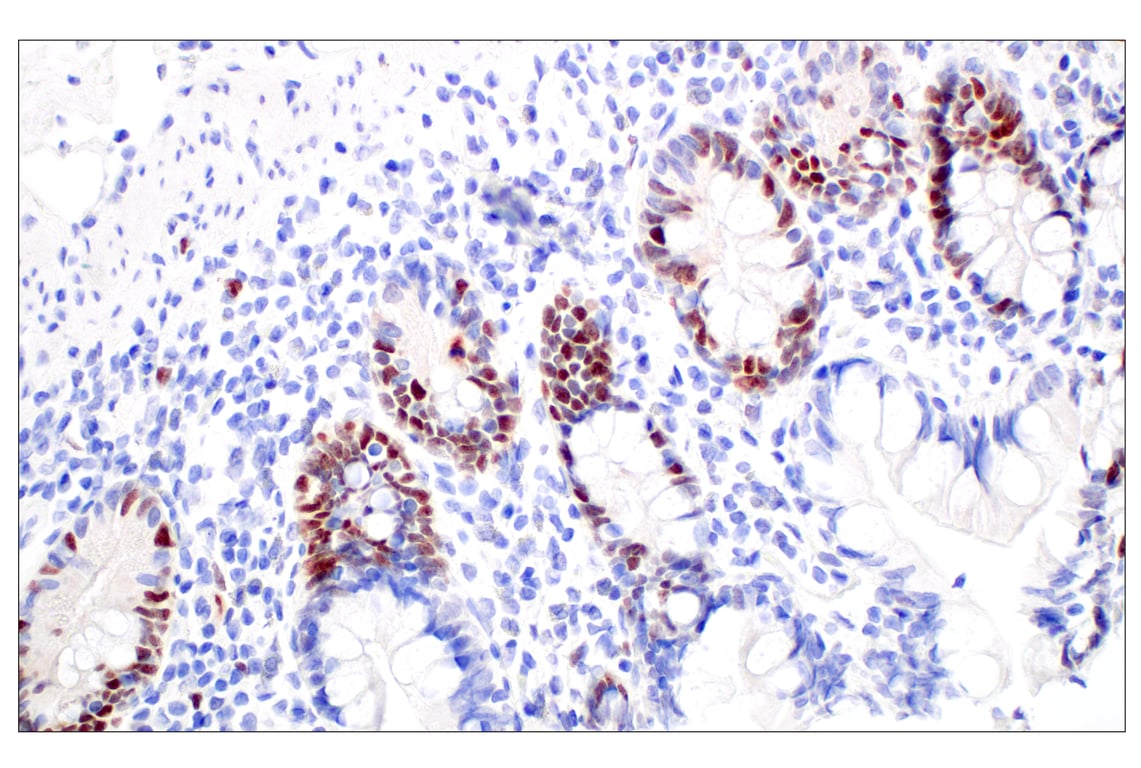
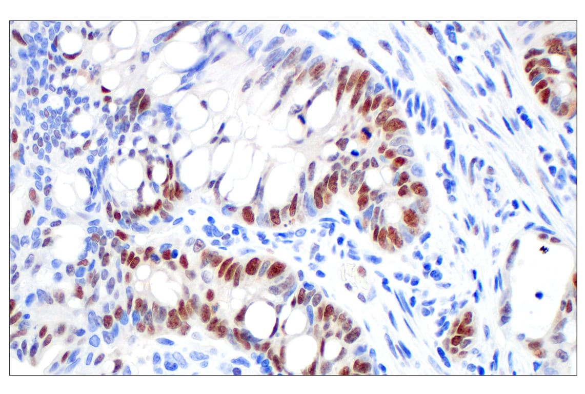
Immunohistochemical analysis of paraffin-embedded human colon adenocarcinoma using BRCA1 (E5S9G) Rabbit mAb performed on the Leica BOND RX.
Immunohistochemistry Image 3: BRCA1 (E5S9G) Rabbit Monoclonal Antibody
Orders: 877-616-CELL (2355) [email protected] Support: 877-678-TECH (8324) [email protected] Web: cellsignal.com
For Research Use Only. Not for Use in Diagnostic Procedures.

Revision 3

Cell Signaling Technology Logo
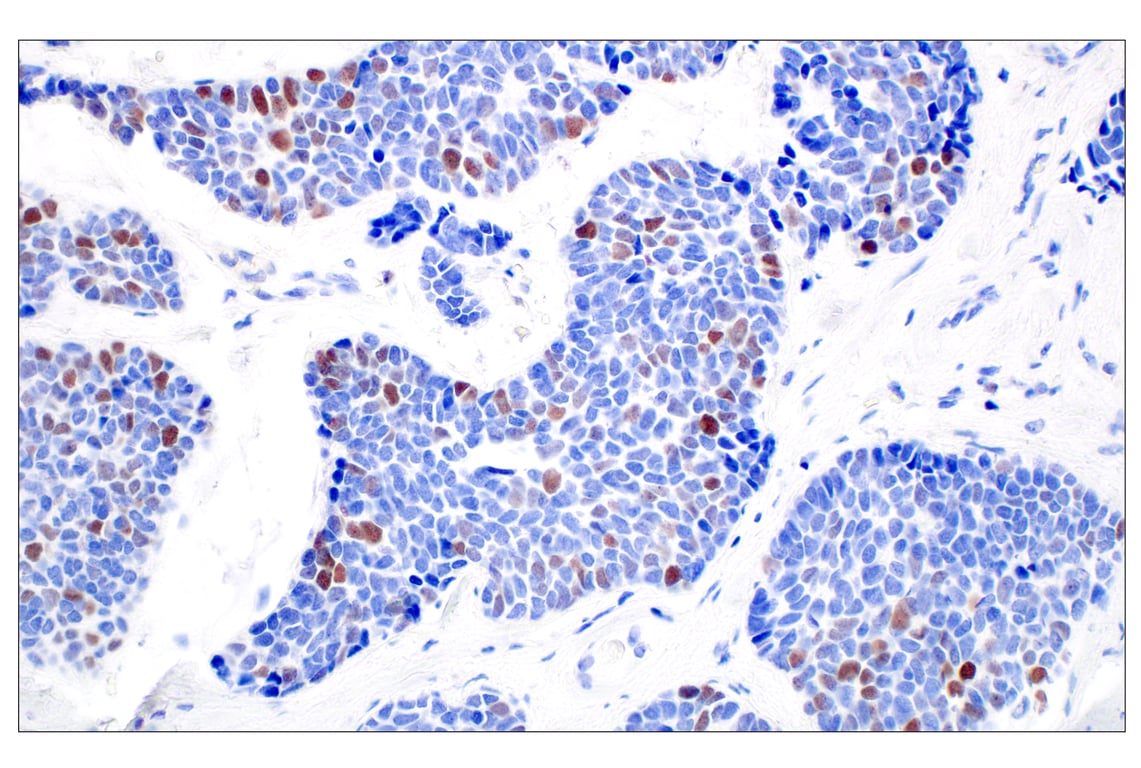
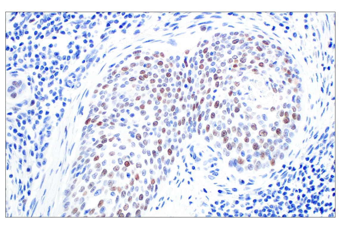
Immunohistochemical analysis of paraffin-embedded human squamous cell lung carcinoma using BRCA1 (E5S9G) Rabbit mAb performed on the Leica BOND RX.
Immunohistochemistry Image 4: BRCA1 (E5S9G) Rabbit Monoclonal Antibody
Immunohistochemical analysis of paraffin-embedded human ductal breast carcinoma using BRCA1 (E5S9G) Rabbit mAb.
Immunohistochemistry Image 5: BRCA1 (E5S9G) Rabbit Monoclonal Antibody
Immunohistochemical analysis of paraffin-embedded human adenoid cystic carcinoma of the salivary gland using BRCA1 (E5S9G) Rabbit mAb.
Immunohistochemistry Image 6: BRCA1 (E5S9G) Rabbit Monoclonal Antibody
Orders: 877-616-CELL (2355) [email protected] Support: 877-678-TECH (8324) [email protected] Web: cellsignal.com
For Research Use Only. Not for Use in Diagnostic Procedures.

Revision 3

Cell Signaling Technology Logo
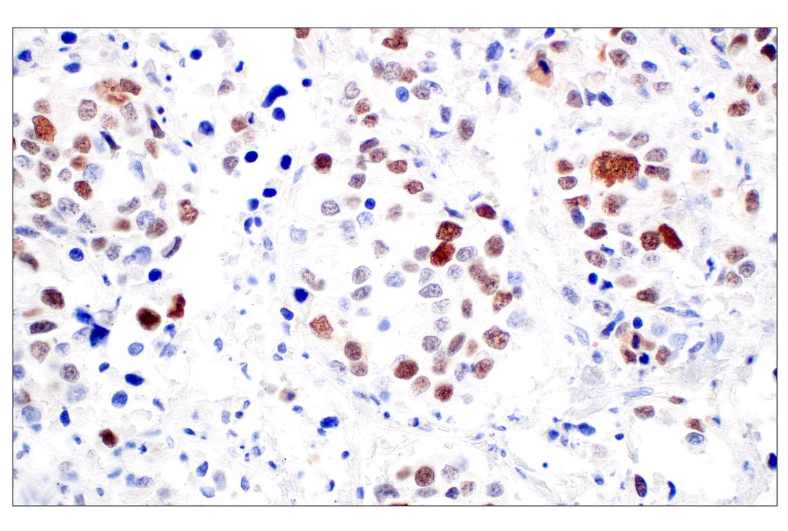
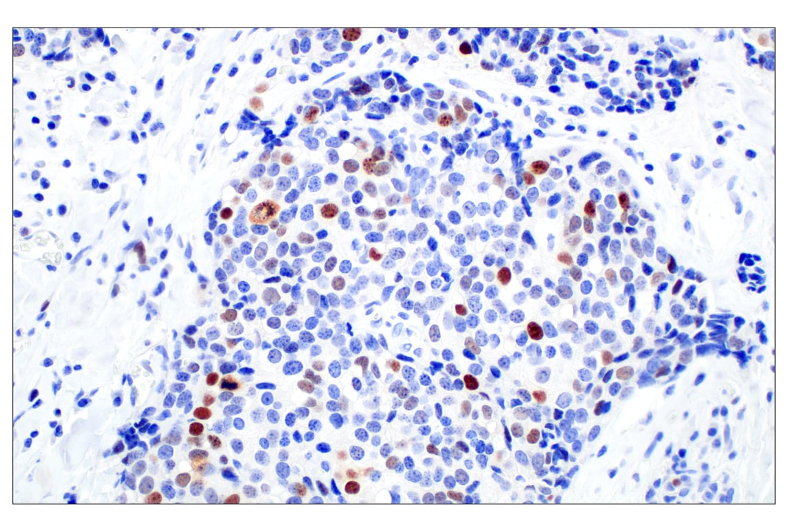
Immunohistochemical analysis of paraffin-embedded human large cell neuroendocrine lung carcinoma using BRCA1 (E5S9G) Rabbit mAb.
Immunohistochemistry Image 7: BRCA1 (E5S9G) Rabbit Monoclonal Antibody
Immunohistochemical analysis of paraffin-embedded normal human small intestine using BRCA1 (E5S9G) Rabbit mAb.
Immunohistochemistry Image 8: BRCA1 (E5S9G) Rabbit Monoclonal Antibody
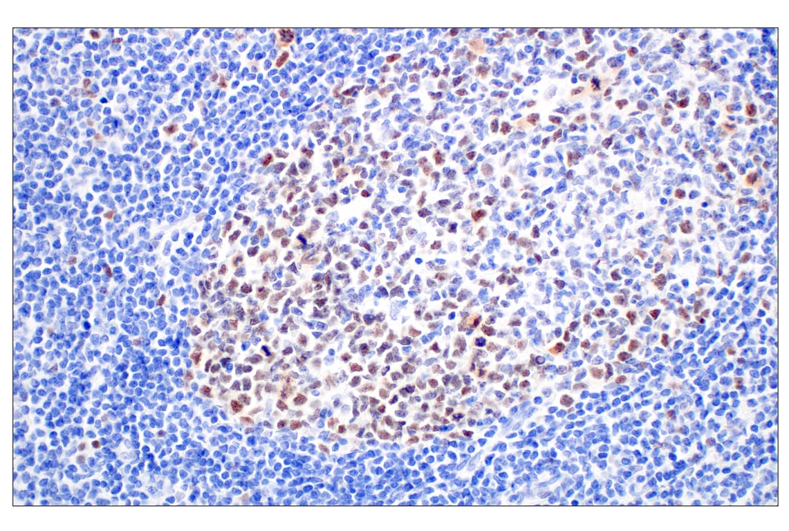
Immunohistochemical analysis of paraffin-embedded human tonsil using BRCA1 (E5S9G) Rabbit mAb.
Immunohistochemistry Image 9: BRCA1 (E5S9G) Rabbit Monoclonal Antibody
Orders: 877-616-CELL (2355) [email protected] Support: 877-678-TECH (8324) [email protected] Web: cellsignal.com
For Research Use Only. Not for Use in Diagnostic Procedures.

Revision 3

Cell Signaling Technology Logo
Immunohistochemical analysis of paraffin-embedded human ductal breast carcinoma using BRCA1 (E5S9G) Rabbit mAb (left) compared to concentration-matched Rabbit (DA1E) mAb IgG XP® Isotype Control #3900 (right).
Immunohistochemistry Image 10: BRCA1 (E5S9G) Rabbit Monoclonal Antibody
Immunohistochemical analysis of paraffin-embedded HT-29 cell pellet (left, positive) or UWB1.289 cell pellet (right, negative) using BRCA1 (E5S9G) Rabbit mAb.
Immunohistochemistry Image 11: BRCA1 (E5S9G) Rabbit Monoclonal Antibody
Confocal immunofluorescent analysis of HT-29 cells (left, positive) or UWB1.289 cells (right, negative) using BRCA1 (E5S9G) Rabbit mAb (green), DyLight 650 Phalloidin #12956 (red), and Chk2 (1C12) Mouse mAb #3440 (blue).
Immunofluorescence Image 1: BRCA1 (E5S9G) Rabbit Monoclonal Antibody
Orders: 877-616-CELL (2355) [email protected] Support: 877-678-TECH (8324) [email protected] Web: cellsignal.com
For Research Use Only. Not for Use in Diagnostic Procedures.