Revision 9

#13440

Store at -20C

CST Logo
Orders:

877-616-CELL (2355)

[email protected]

Support:

877-678-TECH (8324)

3 Trask Lane | Danvers | Massachusetts | 01923 | USA

For Research Use Only. Not for Use in Diagnostic Procedures.

Applications:
W, IP, IHC-P, ChIP, ChIP-seq, C&R, C&T, eCLIP

Reactivity:
H

Sensitivity:
Endogenous

MW (kDa):
200

Source/Isotype:
Rabbit IgG

UniProt ID:
#O60885

Entrez-Gene Id:
23476

Product Usage Information

For optimal ChIP and ChIP-seq results, use 10 μl of antibody and 10 μg of chromatin (approximately 4 x 106 cells) per IP. This antibody has been validated using SimpleChIP® Enzymatic Chromatin IP Kits.

The CUT&RUN dilution was determined using CUT&RUN Assay Kit #86652.

The CUT&Tag dilution was determined using CUT&Tag Assay Kit #77552.

Application Dilution
Western Blotting 1:1000
Immunoprecipitation 1:50
Immunohistochemistry (Paraffin) 1:20000 - 1:80000
Chromatin IP 1:50
Chromatin IP-seq 1:50
CUT&RUN 1:50
CUT&Tag 1:50
eCLIP 1:200
For more information about the RBP-eCLIP service please visit Eclipsebio.

Storage

Supplied in 10 mM sodium HEPES (pH 7.5), 150 mM NaCl, 100 µg/ml BSA, 50% glycerol and less than 0.02% sodium azide. Store at –20°C. Do not aliquot the antibody.

For a carrier free (BSA and azide free) version of this product see product #35632.

Specificity/Sensitivity

BRD4 (E2A7X) Rabbit Monoclonal Antibody recognizes endogenous levels of total BRD4 protein. This antibody specifically recognizes the BRD4 long isoform (UniProt #O60885-1) and does not recognize other BRD4 isoforms.

Species predicted to react based on 100% sequence homology

Bovine, Dog, Pig

Source / Purification

Monoclonal antibody is produced by immunizing animals with a synthetic peptide corresponding to residues surrounding Leu1129 of human BRD4 protein.

Background

Bromodomain-containing protein 4 (BRD4) is a member of the bromodomains and extra terminal (BET) family of proteins, which also includes BRD2, BRD3, and BRDT (1-3). BET family proteins contain two tandem bromodomains and an extra terminal (ET) domain, and bind acetyl lysine residues (3). BRD4 is a chromatin-binding protein with a preference for Lys14 on histone H3 as well as Lys5 and Lys12 on histone H4 (4). BRD4 chromatin binding occurs throughout the cell cycle, including condensed mitotic chromosomes, when the majority of genes are silenced (5). BRD4 association with chromatin during mitosis is thought to be an important part of the bookmarking mechanism to accelerate reactivation of the silenced genes upon exit from mitosis (2,6). BRD4 has been shown to facilitate transcription by recruiting the positive transcription elongation factor b (pTEFb) complex that phosphorylates Ser2 of the heptapeptide repeat of the carboxy-terminal domain of RNA polymerase II, promoting transcription elongation (3,7,8). In addition, BRD4 has been found to be part of the super elongation complex and the polymerase associated factor complex (PAFc) in MLL-fusion derived leukemia cell lines, demonstrating a role for BRD4 in the regulation of transcription elongation (9). Research studies have shown that BRD4 (and BET family proteins) may be promising therapeutic targets for various Myc-driven cancers, such as Burkitt’s lymphoma and certain acute myeloid leukemias (1,10,11). Investigators have found molecular inhibition of BET proteins to be effective in inducing apoptosis in various MLL-fusion driven leukemic cell lines by competing BRD3 and BRD4 from chromatin, leading to reduced expression of Bcl-2, Myc, and CDK6 (9). BET inhibition has also been shown to have antitumor activities against nuclear protein in testis (NUT) midline carcinoma cell lines and xenografts in mice where BRD4 is found to be a frequent translocation partner of the NUT protein (12). In addition, BRD4 regulates the expression of some inflammatory genes, and inhibition of BRD4 (and BET family proteins) chromatin binding causes reduced expression of a subset of inflammatory genes in macrophages, leading to protection against endotoxic shock and sepsis (13).

Species Reactivity

Species reactivity is determined by testing in at least one approved application (e.g., western blot).

Western Blot Buffer

IMPORTANT: For western blots, incubate membrane with diluted primary antibody in 5% w/v nonfat dry milk, 1X TBS, 0.1% Tween® 20 at 4°C with gentle shaking, overnight.

Applications Key

W: Western Blotting IP: Immunoprecipitation IHC-P: Immunohistochemistry (Paraffin) ChIP: Chromatin IP ChIP-seq: Chromatin IP-seq C&R: CUT&RUN C&T: CUT&Tag eCLIP: eCLIP

Cross-Reactivity Key

H: Human

Trademarks and Patents

Cell Signaling Technology is a trademark of Cell Signaling Technology, Inc.

SignalStain is a registered trademark of Cell Signaling Technology, Inc.

SimpleChIP is a registered trademark of Cell Signaling Technology, Inc.

All other trademarks are the property of their respective owners. Visit cellsignal.com/trademarks for more information.

Limited Uses

Except as otherwise expressly agreed in a writing signed by a legally authorized representative of CST, the following terms apply to Products provided by CST, its affiliates or its distributors. Any Customer's terms and conditions that are in addition to, or different from, those contained herein, unless separately accepted in writing by a legally authorized representative of CST, are rejected and are of no force or effect.

Products are labeled with For Research Use Only or a similar labeling statement and have not been approved, cleared, or licensed by the FDA or other regulatory foreign or domestic entity, for any purpose. Customer shall not use any Product for any diagnostic or therapeutic purpose, or otherwise in any manner that conflicts with its labeling statement. Products sold or licensed by CST are provided for Customer as the end-user and solely for research and development uses. Any use of Product for diagnostic, prophylactic or therapeutic purposes, or any purchase of Product for resale (alone or as a component) or other commercial purpose, requires a separate license from CST. Customer shall (a) not sell, license, loan, donate or otherwise transfer or make available any Product to any third party, whether alone or in combination with other materials, or use the Products to manufacture any commercial products, (b) not copy, modify, reverse engineer, decompile, disassemble or otherwise attempt to discover the underlying structure or technology of the Products, or use the Products for the purpose of developing any products or services that would compete with CST products or services, (c) not alter or remove from the Products any trademarks, trade names, logos, patent or copyright notices or markings, (d) use the Products solely in accordance with CST Product Terms of Sale and any applicable documentation, and (e) comply with any license, terms of service or similar agreement with respect to any third party products or services used by Customer in connection with the Products.

Orders: 877-616-CELL (2355) [email protected] Support: 877-678-TECH (8324) [email protected] Web: cellsignal.com
For Research Use Only. Not for Use in Diagnostic Procedures.

Revision 9

Cell Signaling Technology Logo
Western blot analysis of extracts from RL, 293T, and Jurkat cells using BRD4 (E2A7X) Rabbit mAb.
Western Blotting Image 1: BRD4 (E2A7X) Rabbit Monoclonal Antibody
Immunoprecipitation of BRD4 from RL cell extracts using Rabbit (DA1E) mAb IgG XP® Isotype Control #3900 (lane 2) or BRD4 (E2A7X) Rabbit mAb (lane 3). Lane 1 is 10% input. Western blot analysis was performed using BRD4 (E2A7X) Rabbit mAb.
Immunoprecipitation Image 1: BRD4 (E2A7X) Rabbit Monoclonal Antibody
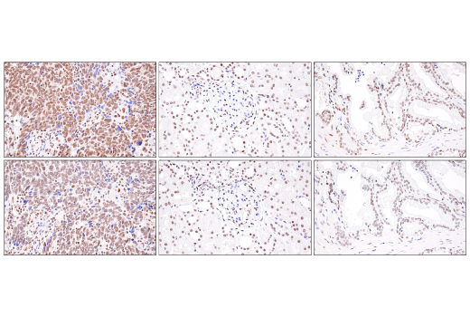
Immunohistochemical analysis of paraffin-embedded human squamous cell carcinoma of the tonsil (left), normal kidney (middle) or normal prostate (right) using BRD4 (E2A7X) Rabbit mAb (top) or BRD4 Rabbit mAb (bottom). These two antibodies detect unique, non-overlapping epitopes on human BRD4. The similar staining patterns obtained with both antibodies help to confirm the specificity of the staining. 
Immunohistochemistry Image 1: BRD4 (E2A7X) Rabbit Monoclonal Antibody
Orders: 877-616-CELL (2355) [email protected] Support: 877-678-TECH (8324) [email protected] Web: cellsignal.com
For Research Use Only. Not for Use in Diagnostic Procedures.

Revision 9

Cell Signaling Technology Logo
Immunohistochemical analysis of paraffin-embedded human colon carcinoma using BRD4 (E2A7X) Rabbit mAb.
Immunohistochemistry Image 2: BRD4 (E2A7X) Rabbit Monoclonal Antibody
Immunohistochemical analysis of paraffin-embedded human large cell neuroendocrine carcinoma of the lung using BRD4 (E2A7X) Rabbit mAb (left) compared to concentration-matched Rabbit (DA1E) mAb IgG XP® Isotype Control #3900 (right).
Immunohistochemistry Image 3: BRD4 (E2A7X) Rabbit Monoclonal Antibody
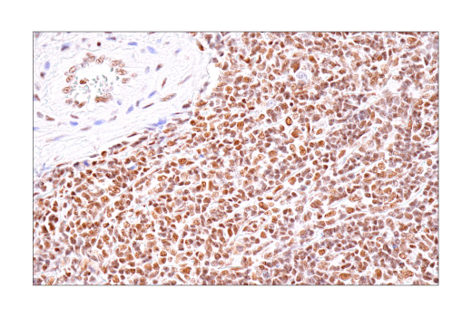
Immunohistochemical analysis of paraffin-embedded human non-Hodgkin lymphoma using BRD4 (E2A7X) Rabbit mAb.
Immunohistochemistry Image 4: BRD4 (E2A7X) Rabbit Monoclonal Antibody
Orders: 877-616-CELL (2355) [email protected] Support: 877-678-TECH (8324) [email protected] Web: cellsignal.com
For Research Use Only. Not for Use in Diagnostic Procedures.

Revision 9

Cell Signaling Technology Logo
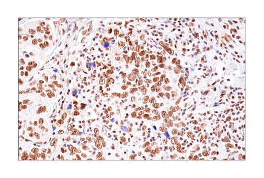
Immunohistochemical analysis of paraffin-embedded normal human pancreas using BRD4 (E2A7X) Rabbit mAb.
Immunohistochemistry Image 5: BRD4 (E2A7X) Rabbit Monoclonal Antibody
Chromatin immunoprecipitations were performed with cross-linked chromatin from MV-4-11 cells and BRD4 (E2A7X) Rabbit mAb, using SimpleChIP® Enzymatic Chromatin IP Kit (Magnetic Beads) #9003. DNA Libraries were prepared using DNA Library Prep Kit for Illumina® (ChIP-seq, CUT&RUN) #56795. The figure shows binding across MYC, a known target gene of BRD4 (see additional figure containing ChIP-qPCR data). For additional ChIP-seq tracks, please download the product data sheet.
Chromatin Immunoprecipitation Image 1: BRD4 (E2A7X) Rabbit Monoclonal Antibody
Chromatin immunoprecipitations were performed with cross-linked chromatin from MV-4-11 cells and BRD4 (E2A7X) Rabbit mAb, using SimpleChIP® Enzymatic Chromatin IP Kit (Magnetic Beads) #9003. DNA Libraries were prepared using DNA Library Prep Kit for Illumina® (ChIP-seq, CUT&RUN) #56795. The figure shows binding across chromosome 8 (upper), including MYC (lower), a known target gene of BRD4 (see additional figure containing ChIP-qPCR data).
Chromatin Immunoprecipitation Image 2: BRD4 (E2A7X) Rabbit Monoclonal Antibody
Orders: 877-616-CELL (2355) [email protected] Support: 877-678-TECH (8324) [email protected] Web: cellsignal.com
For Research Use Only. Not for Use in Diagnostic Procedures.

Revision 9

Cell Signaling Technology Logo
Chromatin immunoprecipitations were performed with cross-linked chromatin from MV-4-11 cells and either BRD4 (E2A7X) Rabbit mAb or Normal Rabbit IgG #2729, using SimpleChIP® Enzymatic Chromatin IP Kit (Magnetic Beads) #9003. The enriched DNA was quantified by real-time PCR using SimpleChIP® Human Bcl-2 Promoter Primers #12924, human c-Myc intron 1 primers, and SimpleChIP® Human α Satellite Repeat Primers #4486. The amount of immunoprecipitated DNA in each sample is represented as signal relative to the total amount of input chromatin, which is equivalent to one.
Chromatin Immunoprecipitation Image 3: BRD4 (E2A7X) Rabbit Monoclonal Antibody
CUT&RUN was performed with MV-4-11 cells and BRD4 (E2A7X) Rabbit mAb, using CUT&RUN Assay Kit #86652. DNA libraries were prepared using DNA Library Prep Kit for Illumina® (ChIP-seq, CUT&RUN) #56795. The figure shows binding across TEME53 gene, a known target gene of BRD4 (see additional figure containing CUT&RUN-qPCR data).
CUT & RUN Image 1: BRD4 (E2A7X) Rabbit Monoclonal Antibody
CUT&RUN was performed with MV-4-11 cells and BRD4 (E2A7X) Rabbit mAb, using CUT&RUN Assay Kit #86652. DNA libraries were prepared using DNA Library Prep Kit for Illumina® (ChIP-seq, CUT&RUN) #56795. The figure shows binding across LINC01132 gene (upper) and TEME53 gene (lower), a known target gene of BRD4 (see additional figure containing CUT&RUN-qPCR data).
CUT & RUN Image 2: BRD4 (E2A7X) Rabbit Monoclonal Antibody
Orders: 877-616-CELL (2355) [email protected] Support: 877-678-TECH (8324) [email protected] Web: cellsignal.com
For Research Use Only. Not for Use in Diagnostic Procedures.

Revision 9

Cell Signaling Technology Logo
CUT&RUN was performed with MV-4-11 cells and either BRD4 (E2A7X) Rabbit mAb or Rabbit (DA1E) mAb IgG XP® Isotype Control (CUT&RUN) #66362, using CUT&RUN Assay Kit #86652. The enriched DNA was quantified by real-time PCR using human TMEM53 exon 1 primers and human TBX15 downstream primers. The amount of immunoprecipitated DNA in each sample is represented as signal relative to the total amount of input chromatin, which is equivalent to one.
CUT & RUN Image 3: BRD4 (E2A7X) Rabbit Monoclonal Antibody
CUT&Tag was performed with MV-4-11 cells and BRD4 (E2A7X) Rabbit mAb, using CUT&Tag Assay Kit #77552. DNA library was prepared using CUT&Tag Dual Index Primers and PCR Master Mix for Illumina Systems #47415. The figure shows binding across the TMEM53 gene.
CUT & Tag Image 1: BRD4 (E2A7X) Rabbit Monoclonal Antibody
CUT&Tag was performed with MV-4-11 cells and BRD4 (E2A7X) Rabbit mAb, using CUT&Tag Assay Kit #77552. DNA library was prepared using CUT&Tag Dual Index Primers and PCR Master Mix for Illumina Systems #47415. The figures show binding across chromosome 1 (upper), including the TMEM53 gene (lower).
CUT & Tag Image 2: BRD4 (E2A7X) Rabbit Monoclonal Antibody
Orders: 877-616-CELL (2355) [email protected] Support: 877-678-TECH (8324) [email protected] Web: cellsignal.com
For Research Use Only. Not for Use in Diagnostic Procedures.

Revision 9

Cell Signaling Technology Logo
Enhanced cross-linking and immunoprecipitation (eCLIP) was performed with RNA from K-562 cells and BRD4 (E2A7X) Rabbit mAb using a protocol based on the RBP-eCLIP method from Eclipsebio. The figure shows binding across the TBCD transcript. Data is kindly provided by the laboratory of Dr. Gene Yeo and used with permission.
eCLIP Image 1: BRD4 (E2A7X) Rabbit Monoclonal Antibody
Orders: 877-616-CELL (2355) [email protected] Support: 877-678-TECH (8324) [email protected] Web: cellsignal.com
For Research Use Only. Not for Use in Diagnostic Procedures.