Revision 1

#38142

Store at -20C

CST Logo
Orders:

877-616-CELL (2355)

[email protected]

Support:

877-678-TECH (8324)

3 Trask Lane | Danvers | Massachusetts | 01923 | USA

For Research Use Only. Not for Use in Diagnostic Procedures.

Applications:
W, IHC-Bond, IHC-P, FC-L

Reactivity:
H

Sensitivity:
Endogenous

MW (kDa):
28-40, 50-70

Source/Isotype:
Rabbit IgG

UniProt ID:
#Q10589

Entrez-Gene Id:
684

Product Usage Information

This product is the carrier free version of product #95940. All data were generated using the same antibody clone in the standard formulation which contains BSA and glycerol.

This formulation is ideal for use with technologies requiring specialized or custom antibody labeling, including fluorophores, metals, lanthanides, and oligonucleotides. It is not recommended for ChIP, ChIP-seq, CUT&RUN or CUT&Tag assays. If you require a carrier free formulation for chromatin profiling, please contact us. Optimal dilutions/concentrations should be determined by the end user.

BSA and Azide Free antibodies are quality control tested by size exclusion chromatography (SEC) to determine antibody integrity.

Formulation

Supplied in 1X PBS (10 mM Na2HPO4, 3 mM KCl, 2 mM KH2PO4, and 140 mM NaCl (pH 7.8)). BSA and Azide Free.

For standard formulation of this product see product #95940

Storage

Store at -20°C. This product will freeze at -20°C so it is recommended to aliquot into single-use vials to avoid multiple freeze/thaw cycles. A slight precipitate may be present and can be dissolved by gently vortexing. This will not interfere with antibody performance.

Specificity/Sensitivity

BST2 (E4N3W) Rabbit Monoclonal Antibody (BSA and Azide Free) recognizes endogenous levels of total BST2 protein. This clone shows a preference for the BST2 dimer by western blot.

Source / Purification

Monoclonal antibody is produced by immunizing animals with human BST2 recombinant protein.

Background

BST2 (CD317, Tetherin, HM1.24) is a type II transmembrane glycoprotein functioning as a major mediator of the innate immune defense against the dissemination of enveloped viruses by tethering virion on the cell surface (1). BST2 has an N-terminal cytoplasmic tail for endocytosis and cytoskeletal signaling, a transmembrane domain, an extracellular domain containing putative disulfide bonds and coiled-coil region for homodimer formation, and a C-terminal GPI domain for membrane anchoring (2,3). Both the transmembrane domain and the GPI domain can insert either into the cell membrane or the viral envelope membrane and hold them together to prevent viral release. Some viruses encode proteins, such as HIV-1 and Vpu, respectively, to act as antagonists to counteract BST2 (2,3). BST2 is overexpressed in gastrointestinal cancers, breast cancer, lung cancer, and multiple myeloma (4-7). BST2 monoclonal antibody targeting myeloma or lung cancer cells induces cellular cytotoxicity and cell death (ADCC, antibody-dependent cell-mediated cytotoxicity). Thus, BST2 serves as a potential target for tumor immunotherapy.

Species Reactivity

Species reactivity is determined by testing in at least one approved application (e.g., western blot).

Applications Key

W: Western Blotting IHC-Bond: IHC Leica Bond IHC-P: Immunohistochemistry (Paraffin) FC-L: Flow Cytometry (Live)

Cross-Reactivity Key

H: Human

Trademarks and Patents

Cell Signaling Technology is a trademark of Cell Signaling Technology, Inc.

All other trademarks are the property of their respective owners. Visit cellsignal.com/trademarks for more information.

Limited Uses

Except as otherwise expressly agreed in a writing signed by a legally authorized representative of CST, the following terms apply to Products provided by CST, its affiliates or its distributors. Any Customer's terms and conditions that are in addition to, or different from, those contained herein, unless separately accepted in writing by a legally authorized representative of CST, are rejected and are of no force or effect.

Products are labeled with For Research Use Only or a similar labeling statement and have not been approved, cleared, or licensed by the FDA or other regulatory foreign or domestic entity, for any purpose. Customer shall not use any Product for any diagnostic or therapeutic purpose, or otherwise in any manner that conflicts with its labeling statement. Products sold or licensed by CST are provided for Customer as the end-user and solely for research and development uses. Any use of Product for diagnostic, prophylactic or therapeutic purposes, or any purchase of Product for resale (alone or as a component) or other commercial purpose, requires a separate license from CST. Customer shall (a) not sell, license, loan, donate or otherwise transfer or make available any Product to any third party, whether alone or in combination with other materials, or use the Products to manufacture any commercial products, (b) not copy, modify, reverse engineer, decompile, disassemble or otherwise attempt to discover the underlying structure or technology of the Products, or use the Products for the purpose of developing any products or services that would compete with CST products or services, (c) not alter or remove from the Products any trademarks, trade names, logos, patent or copyright notices or markings, (d) use the Products solely in accordance with CST Product Terms of Sale and any applicable documentation, and (e) comply with any license, terms of service or similar agreement with respect to any third party products or services used by Customer in connection with the Products.

Orders: 877-616-CELL (2355) [email protected] Support: 877-678-TECH (8324) [email protected] Web: cellsignal.com
For Research Use Only. Not for Use in Diagnostic Procedures.

Revision 1

Cell Signaling Technology Logo
Western blot analysis of extracts from various cell lines using BST2 (E4N3W) XP® Rabbit mAb (upper) or β-Actin (D6A8) Rabbit mAb #8457 (lower). Negative expression of BST2 protein in DU 145 cells is consistent with the predicted expression pattern. Data were generated using the standard formulation of this product.
Western Blotting Image 1: BST2 (E4N3W) Rabbit Monoclonal Antibody (BSA and Azide Free)
Western blot analysis of extracts from Hep G2 cells, lysed with Blue Loading Buffer Pack #7722, using 1X Blue Loading Buffer (-) or 1X Blue Loading Buffer + 1X DTT (Dithiothreitol) #7016 (+), using BST2 (E4N3W) XP® Rabbit mAb (upper), BST2 (D5V5Z) Rabbit mAb #19277 (middle), or GAPDH (D16H11) XP® Rabbit mAb #5174 (lower). The DTT reducing agent demonstrates that BST2 (E4N3W) XP® Rabbit mAb shows a preference for the dimer, while BST2 (D5V5Z) Rabbit mAb #19277 shows a preference for the BST2 monomer. Data were generated using the standard formulation of this product.
Western Blotting Image 2: BST2 (E4N3W) Rabbit Monoclonal Antibody (BSA and Azide Free)
Western blot analysis of extracts from 293T cells, mock transfected (-) or transfected with a construct expressing Myc/DDK-tagged full-length human BST2 protein (hBST2-Myc/DDK; +), using BST2 (E4N3W) XP® Rabbit mAb (upper), Myc-Tag (71D10) Rabbit mAb #2278 (middle), or GAPDH (D16H11) XP® Rabbit mAb #5174 (lower). Data were generated using the standard formulation of this product.
Western Blotting Image 3: BST2 (E4N3W) Rabbit Monoclonal Antibody (BSA and Azide Free)
Orders: 877-616-CELL (2355) [email protected] Support: 877-678-TECH (8324) [email protected] Web: cellsignal.com
For Research Use Only. Not for Use in Diagnostic Procedures.

Revision 1

Cell Signaling Technology Logo
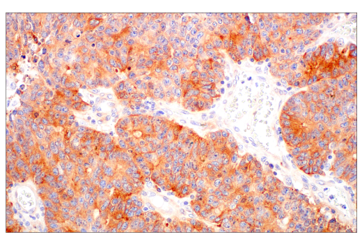
Immunohistochemical analysis of paraffin-embedded human endometroid adenocarcinoma using BST2 (E4N3W) XP® Rabbit mAb performed on the Leica® BOND™ Rx.   Data were generated using the standard formulation of this product.
Immunohistochemistry Image 1: BST2 (E4N3W) Rabbit Monoclonal Antibody (BSA and Azide Free)
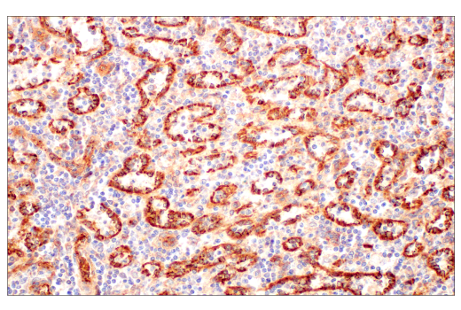
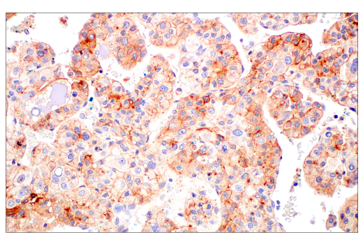
Immunohistochemical analysis of paraffin-embedded human hepatocellular carcinoma
 using BST2 (E4N3W) XP® Rabbit mAb. Data were generated using the standard formulation of this product.
Immunohistochemistry Image 1: BST2 (E4N3W) Rabbit Monoclonal Antibody (BSA and Azide Free)
Immunohistochemical analysis of paraffin-embedded human colon adenocarcinoma using BST2 (E4N3W) XP® Rabbit mAb. Data were generated using the standard formulation of this product.
Immunohistochemistry Image 2: BST2 (E4N3W) Rabbit Monoclonal Antibody (BSA and Azide Free)
Orders: 877-616-CELL (2355) [email protected] Support: 877-678-TECH (8324) [email protected] Web: cellsignal.com
For Research Use Only. Not for Use in Diagnostic Procedures.

Revision 1

Cell Signaling Technology Logo
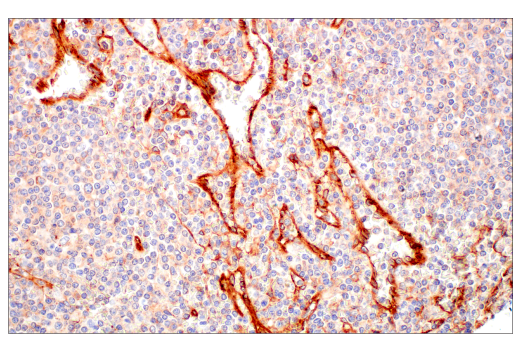
Immunohistochemical analysis of paraffin-embedded human non-Hodgkin lymphoma
 using BST2 (E4N3W) XP® Rabbit mAb. Data were generated using the standard formulation of this product.
Immunohistochemistry Image 3: BST2 (E4N3W) Rabbit Monoclonal Antibody (BSA and Azide Free)
Immunohistochemical analysis of paraffin-embedded normal human spleen using BST2 (E4N3W) XP® Rabbit mAb. Data were generated using the standard formulation of this product.
Immunohistochemistry Image 4: BST2 (E4N3W) Rabbit Monoclonal Antibody (BSA and Azide Free)
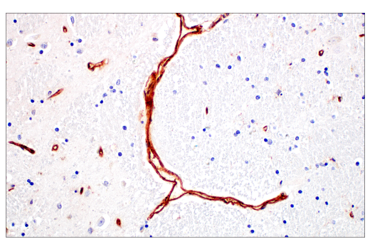
Immunohistochemical analysis of paraffin-embedded normal human brain using BST2 (E4N3W) XP® Rabbit mAb. Data were generated using the standard formulation of this product.
Immunohistochemistry Image 5: BST2 (E4N3W) Rabbit Monoclonal Antibody (BSA and Azide Free)
Orders: 877-616-CELL (2355) [email protected] Support: 877-678-TECH (8324) [email protected] Web: cellsignal.com
For Research Use Only. Not for Use in Diagnostic Procedures.

Revision 1

Cell Signaling Technology Logo
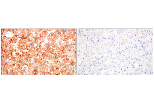
Immunohistochemical analysis of paraffin-embedded human hepatocellular carcinoma using BST2 (E4N3W) XP® Rabbit mAb (left) compared to concentration-matched Rabbit (DA1E) mAb IgG XP® Isotype Control #3900 (right).  Data were generated using the standard formulation of this product.
Immunohistochemistry Image 6: BST2 (E4N3W) Rabbit Monoclonal Antibody (BSA and Azide Free)
Immunohistochemical analysis of paraffin-embedded RPMI 8226 cell pellet (left, positive) or DU 145 cell pellet (right, negative) using BST2 (E4N3W) XP® Rabbit mAb. Data were generated using the standard formulation of this product.
Immunohistochemistry Image 7: BST2 (E4N3W) Rabbit Monoclonal Antibody (BSA and Azide Free)
Flow cytometric analysis of live DU 145 cells (blue) and RPMI 8226 cells (green) using BST2 (E4N3W) XP® Rabbit mAb (solid lines) or concentration-matched Rabbit (DA1E) mAb IgG XP® Isotype Control #3900 (dashed lines). Anti-rabbit IgG (H+L), F(ab')₂ Fragment (Alexa Fluor® 488 Conjugate) #4412 was used as a secondary antibody. Data were generated using the standard formulation of this product.
Flow Cytometry Image 1: BST2 (E4N3W) Rabbit Monoclonal Antibody (BSA and Azide Free)
Orders: 877-616-CELL (2355) [email protected] Support: 877-678-TECH (8324) [email protected] Web: cellsignal.com
For Research Use Only. Not for Use in Diagnostic Procedures.