Revision 12

#94988

Store at -20C

CST Logo
Orders:

877-616-CELL (2355)

[email protected]

Support:

877-678-TECH (8324)

3 Trask Lane | Danvers | Massachusetts | 01923 | USA

For Research Use Only. Not for Use in Diagnostic Procedures.

Applications:
W, IHC-Bond, IHC-P, IF-IC, FC-FP, ELISA+

Reactivity:
H M

Sensitivity:
Endogenous

MW (kDa):
77

Source/Isotype:
Rabbit IgG

UniProt ID:
#Q06187

Entrez-Gene Id:
695

Product Usage Information

This product is the carrier free version of product #8547. All data were generated using the same antibody clone in the standard formulation which contains BSA and glycerol.

This formulation is ideal for use with technologies requiring specialized or custom antibody labeling, including fluorophores, metals, lanthanides, and oligonucleotides. It is not recommended for ChIP, ChIP-seq, CUT&RUN, or CUT&Tag assays. If you require a carrier-free formulation for chromatin profiling, please contact us. Optimal dilutions/concentrations should be determined by the end user.

BSA and Azide Free antibodies are quality control tested by size exclusion chromatography (SEC) to determine antibody integrity.

Formulation

Supplied in 1X PBS (10 mM Na2HPO4, 3 mM KCl, 2 mM KH2PO4, and 140 mM NaCl (pH 7.8)). BSA and Azide Free.

For standard formulation of this product see product #8547.

Storage

Store at -20°C. This product will freeze at -20°C so it is recommended to aliquot into single-use vials to avoid multiple freeze/thaw cycles. A slight precipitate may be present and can be dissolved by gently vortexing. This will not interfere with antibody performance.

Specificity/Sensitivity

Btk (D3H5) Rabbit Monoclonal Antibody (BSA and Azide Free) recognizes endogenous levels of total Btk protein.

Species predicted to react based on 100% sequence homology

Rat, Hamster, Bovine, Dog, Pig, Horse, Chimpanzee

Source / Purification

Monoclonal antibody is produced by immunizing animals with a synthetic peptide corresponding to residues surrounding Asp195 of human Btk protein.

Background

Bruton's tyrosine kinase (Btk) is a member of the Btk/Tec family of cytoplasmic tyrosine kinases. Like other Btk family members, it contains a pleckstrin homology (PH) domain and Src homology SH3 and SH2 domains. Btk plays an important role in B cell development (1,2). Activation of B cells by various ligands is accompanied by Btk membrane translocation mediated by its PH domain binding to phosphatidylinositol-3,4,5-trisphosphate (3-5). The membrane-localized Btk is active and associated with transient phosphorylation of two tyrosine residues, Tyr551 and Tyr223. Tyr551 in the activation loop is transphosphorylated by the Src family tyrosine kinases, leading to autophosphorylation at Tyr223 within the SH3 domain, which is necessary for full activation (6,7). The activation of Btk is negatively regulated by PKCβ through phosphorylation of Btk at Ser180, which results in reduced membrane recruitment, transphosphorylation, and subsequent activation (8). The PKC inhibitory signal is likely to be a key determinant of the B cell receptor signaling threshold to maintain optimal Btk activity (8).

Species Reactivity

Species reactivity is determined by testing in at least one approved application (e.g., western blot).

Applications Key

W: Western Blotting IHC-Bond: IHC Leica Bond IHC-P: Immunohistochemistry (Paraffin) IF-IC: Immunofluorescence (Immunocytochemistry) FC-FP: Flow Cytometry (Fixed/Permeabilized) ELISA+: ELISA and/or ELISA-like Assays

Cross-Reactivity Key

H: Human M: Mouse

Trademarks and Patents

Cell Signaling Technology is a trademark of Cell Signaling Technology, Inc.

All other trademarks are the property of their respective owners. Visit cellsignal.com/trademarks for more information.

Limited Uses

Except as otherwise expressly agreed in a writing signed by a legally authorized representative of CST, the following terms apply to Products provided by CST, its affiliates or its distributors. Any Customer's terms and conditions that are in addition to, or different from, those contained herein, unless separately accepted in writing by a legally authorized representative of CST, are rejected and are of no force or effect.

Products are labeled with For Research Use Only or a similar labeling statement and have not been approved, cleared, or licensed by the FDA or other regulatory foreign or domestic entity, for any purpose. Customer shall not use any Product for any diagnostic or therapeutic purpose, or otherwise in any manner that conflicts with its labeling statement. Products sold or licensed by CST are provided for Customer as the end-user and solely for research and development uses. Any use of Product for diagnostic, prophylactic or therapeutic purposes, or any purchase of Product for resale (alone or as a component) or other commercial purpose, requires a separate license from CST. Customer shall (a) not sell, license, loan, donate or otherwise transfer or make available any Product to any third party, whether alone or in combination with other materials, or use the Products to manufacture any commercial products, (b) not copy, modify, reverse engineer, decompile, disassemble or otherwise attempt to discover the underlying structure or technology of the Products, or use the Products for the purpose of developing any products or services that would compete with CST products or services, (c) not alter or remove from the Products any trademarks, trade names, logos, patent or copyright notices or markings, (d) use the Products solely in accordance with CST Product Terms of Sale and any applicable documentation, and (e) comply with any license, terms of service or similar agreement with respect to any third party products or services used by Customer in connection with the Products.

Orders: 877-616-CELL (2355) [email protected] Support: 877-678-TECH (8324) [email protected] Web: cellsignal.com
For Research Use Only. Not for Use in Diagnostic Procedures.

Revision 12

Cell Signaling Technology Logo
Western blot analysis of extracts from various cell lines using Btk (D3H5) Rabbit mAb. Data were generated using the standard formulation of this product.
Western Blotting Image 1: Btk (D3H5) Rabbit Monoclonal Antibody (BSA and Azide Free)
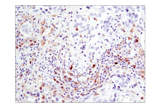
Immunohistochemical analysis of paraffin-embedded human squamous cell lung carcinoma using Btk (D3H5) Rabbit mAb performed on the Leica® Bond™ Rx. Data were generated using the standard formulation of this product.
Immunohistochemistry Image 1: Btk (D3H5) Rabbit Monoclonal Antibody (BSA and Azide Free)
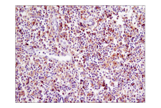
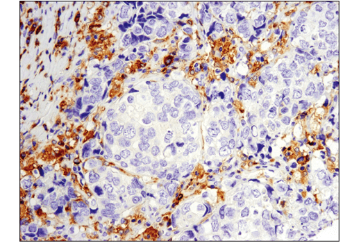
Immunohistochemical analysis of paraffin-embedded human B-cell lymphoma using Btk (D3H5) Rabbit mAb. Data were generated using the standard formulation of this product.
Immunohistochemistry Image 1: Btk (D3H5) Rabbit Monoclonal Antibody (BSA and Azide Free)
Orders: 877-616-CELL (2355) [email protected] Support: 877-678-TECH (8324) [email protected] Web: cellsignal.com
For Research Use Only. Not for Use in Diagnostic Procedures.

Revision 12

Cell Signaling Technology Logo
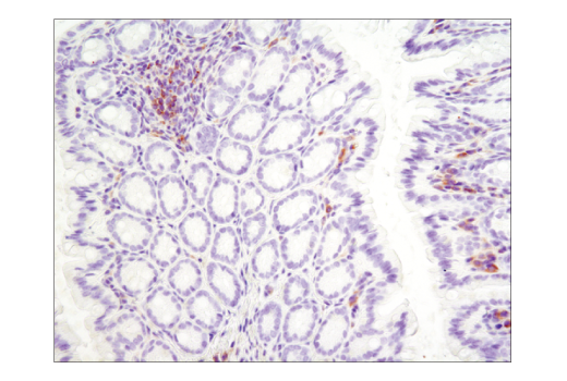
Immunohistochemical analysis of paraffin-embedded mouse colon using Btk (D3H5) Rabbit mAb. Data were generated using the standard formulation of this product.
Immunohistochemistry Image 2: Btk (D3H5) Rabbit Monoclonal Antibody (BSA and Azide Free)
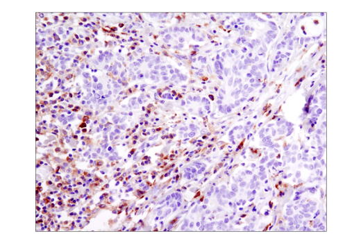
Immunohistochemical analysis of paraffin-embedded human ovarian carcinoma using Btk (D3H5) Rabbit mAb. Note staining of inflammatory cells. Data were generated using the standard formulation of this product.
Immunohistochemistry Image 3: Btk (D3H5) Rabbit Monoclonal Antibody (BSA and Azide Free)
Immunohistochemical analysis of paraffin-embedded human colon carcinoma using Btk (D3H5) Rabbit mAb. Note staining of inflammatory cells. Data were generated using the standard formulation of this product.
Immunohistochemistry Image 4: Btk (D3H5) Rabbit Monoclonal Antibody (BSA and Azide Free)
Orders: 877-616-CELL (2355) [email protected] Support: 877-678-TECH (8324) [email protected] Web: cellsignal.com
For Research Use Only. Not for Use in Diagnostic Procedures.

Revision 12

Cell Signaling Technology Logo
Immunohistochemical analysis of paraffin-embedded cell pellets, Ramos (left) or Jurkat (right), using Btk (D3H5) Rabbit mAb. Data were generated using the standard formulation of this product.
Immunohistochemistry Image 5: Btk (D3H5) Rabbit Monoclonal Antibody (BSA and Azide Free)
Human whole blood was fixed, lysed, and permeabilized as per the Cell Signaling Technology Flow Alternate Protocol and stained using Btk (D3H5) Rabbit mAb. Samples were co-stained using CD3-PE and CD19-APC to distinguish T and B cell subpopulations, respectively. B (red) and T (blue) cell population gates were applied to a histogram depicting the mean fluorescence intensity of Btk. Anti-rabbit IgG (H+L), F(ab')2 Fragment (Alexa Fluor® 488 Conjugate) #4412 was used as a secondary antibody. Data were generated using the standard formulation of this product.
Flow Cytometry Image 1: Btk (D3H5) Rabbit Monoclonal Antibody (BSA and Azide Free)
Flow cytometric analysis of Daudi cells (green) and Jurkat cells (blue) using Btk (D3H5) Rabbit mAb (solid lines) or a concentration-matched Rabbit (DA1E) mAb IgG XP® Isotype Control #3900 (dashed lines). Anti-rabbit IgG (H+L), F(ab’)2 Fragment (Alexa Fluor® 488 Conjugate) #4412 was used as a secondary antibody. Data were generated using the standard formulation of this product.
Flow Cytometry Image 2: Btk (D3H5) Rabbit Monoclonal Antibody (BSA and Azide Free)
Orders: 877-616-CELL (2355) [email protected] Support: 877-678-TECH (8324) [email protected] Web: cellsignal.com
For Research Use Only. Not for Use in Diagnostic Procedures.

Revision 12

Cell Signaling Technology Logo
Data using Total Btk Matched Antibody Pair #39651 are shown. The two antibodies function as a capture-target-detection sandwich (#42879 and #94988, respectively) to detect endogenous protein expression in positive and negative controls.
ELISA and/or ELISA-like Assays Image 1: Btk (D3H5) Rabbit Monoclonal Antibody (BSA and Azide Free)
Orders: 877-616-CELL (2355) [email protected] Support: 877-678-TECH (8324) [email protected] Web: cellsignal.com
For Research Use Only. Not for Use in Diagnostic Procedures.