Revision 1

#79781

Store at -20C

CST Logo
Orders:

877-616-CELL (2355)

[email protected]

Support:

877-678-TECH (8324)

3 Trask Lane | Danvers | Massachusetts | 01923 | USA

For Research Use Only. Not for Use in Diagnostic Procedures.

Product Includes Product # Quantity Mol. Wt Isotype/Source
Phospho-Btk (Tyr223) (D1D2Z) Rabbit Monoclonal Antibody87457100 µl78 kDaRabbit IgG
Btk (D3H5) Rabbit Monoclonal Antibody8547100 µl77 kDaRabbit IgG

Please visit cellsignal.com for individual component applications, species cross-reactivity, dilutions, protocols, and additional product information.

UniProt ID:
#Q06187

Entrez-Gene Id:
695

Description

PhosphoPlus® Duets from Cell Signaling Technology (CST) provide a means to assess protein activation status. Each Duet contains an activation-state and total protein antibody to your target of interest. These antibodies have been selected from CST's product offering based upon superior performance in specified applications.

Storage

Supplied in 10 mM sodium HEPES (pH 7.5), 150 mM NaCl, 100 µg/ml BSA, 50% glycerol and less than 0.02% sodium azide. Store at –20°C. Do not aliquot the antibody.

Background

Bruton's tyrosine kinase (Btk) is a member of the Btk/Tec family of cytoplasmic tyrosine kinases. Like other Btk family members, it contains a pleckstrin homology (PH) domain and Src homology SH3 and SH2 domains. Btk plays an important role in B cell development (1,2). Activation of B cells by various ligands is accompanied by Btk membrane translocation mediated by its PH domain binding to phosphatidylinositol-3,4,5-trisphosphate (3-5). The membrane-localized Btk is active and associated with transient phosphorylation of two tyrosine residues, Tyr551 and Tyr223. Tyr551 in the activation loop is transphosphorylated by the Src family tyrosine kinases, leading to autophosphorylation at Tyr223 within the SH3 domain, which is necessary for full activation (6,7). The activation of Btk is negatively regulated by PKCβ through phosphorylation of Btk at Ser180, which results in reduced membrane recruitment, transphosphorylation, and subsequent activation (8). The PKC inhibitory signal is likely to be a key determinant of the B cell receptor signaling threshold to maintain optimal Btk activity (8).

Trademarks and Patents

Cell Signaling Technology is a trademark of Cell Signaling Technology, Inc.

PhosphoPlus is a registered trademark of Cell Signaling Technology, Inc.

All other trademarks are the property of their respective owners. Visit cellsignal.com/trademarks for more information.

Limited Uses

Except as otherwise expressly agreed in a writing signed by a legally authorized representative of CST, the following terms apply to Products provided by CST, its affiliates or its distributors. Any Customer's terms and conditions that are in addition to, or different from, those contained herein, unless separately accepted in writing by a legally authorized representative of CST, are rejected and are of no force or effect.

Products are labeled with For Research Use Only or a similar labeling statement and have not been approved, cleared, or licensed by the FDA or other regulatory foreign or domestic entity, for any purpose. Customer shall not use any Product for any diagnostic or therapeutic purpose, or otherwise in any manner that conflicts with its labeling statement. Products sold or licensed by CST are provided for Customer as the end-user and solely for research and development uses. Any use of Product for diagnostic, prophylactic or therapeutic purposes, or any purchase of Product for resale (alone or as a component) or other commercial purpose, requires a separate license from CST. Customer shall (a) not sell, license, loan, donate or otherwise transfer or make available any Product to any third party, whether alone or in combination with other materials, or use the Products to manufacture any commercial products, (b) not copy, modify, reverse engineer, decompile, disassemble or otherwise attempt to discover the underlying structure or technology of the Products, or use the Products for the purpose of developing any products or services that would compete with CST products or services, (c) not alter or remove from the Products any trademarks, trade names, logos, patent or copyright notices or markings, (d) use the Products solely in accordance with CST Product Terms of Sale and any applicable documentation, and (e) comply with any license, terms of service or similar agreement with respect to any third party products or services used by Customer in connection with the Products.

Orders: 877-616-CELL (2355) [email protected] Support: 877-678-TECH (8324) [email protected] Web: cellsignal.com
For Research Use Only. Not for Use in Diagnostic Procedures.

Revision 1

Cell Signaling Technology Logo
Western blot analysis of extracts from various cell lines using Btk (D3H5) Rabbit mAb.
undefined Image 1: PhosphoPlus<sup>®</sup> Btk (Tyr223) Antibody Duet
Western blot analysis of extracts from Daudi cells, serum-starved overnight, then vehicle-treated (lane 1), treated with anti-human IgM (12 μg/ml, 10 min; lane 2), or pre-treated with Ibrutinib #16483 (1 μM, 60 min) prior to anti-IgM treatment (lane 3), using Phospho-Btk (Tyr23) (D1D2Z) Rabbit mAb (upper) or Btk (D6H5) Rabbit mAb #8547 (lower).
undefined Image 2: PhosphoPlus<sup>®</sup> Btk (Tyr223) Antibody Duet
Immunohistochemical analysis of paraffin-embedded human squamous cell lung carcinoma using Btk (D3H5) Rabbit mAb performed on the Leica® Bond™ Rx.
undefined Image 3: PhosphoPlus<sup>®</sup> Btk (Tyr223) Antibody Duet
Orders: 877-616-CELL (2355) [email protected] Support: 877-678-TECH (8324) [email protected] Web: cellsignal.com
For Research Use Only. Not for Use in Diagnostic Procedures.

Revision 1

Cell Signaling Technology Logo
Immunoprecipitation of Phospho-Btk (Tyr223) from Ramos cells, serum-starved followed by treatment with anti-human IgM (12 μg/ml, 10 min) using Phospho-Btk (Tyr223) (D1D2Z) Rabbit mAb. Lane 1 is 10% input, lane 2 is Rabbit (DA1E) mAb IgG XP® Isotyope Control #3900, lane 3 is Phospho-Btk (Tyr223) (D1D2Z) Rabbit mAb (1:50), and lane 4 is Phospho-Btk (Tyr223) (D1D2Z) Rabbit mAb (1:100). Western blot analysis was performed using Phospho-Btk (Tyr223) (D1D2Z) Rabbit mAb. Anti-rabbit IgG, HRP-linked Antibody #7074 was used as the secondary antibody.
undefined Image 4: PhosphoPlus<sup>®</sup> Btk (Tyr223) Antibody Duet
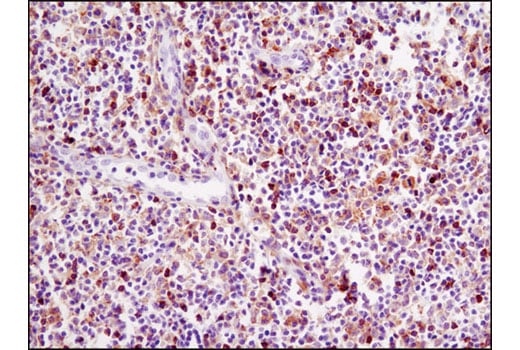
Immunohistochemical analysis of paraffin-embedded human colon carcinoma using Btk (D3H5) Rabbit mAb. Note staining of inflammatory cells.
undefined Image 5: PhosphoPlus<sup>®</sup> Btk (Tyr223) Antibody Duet
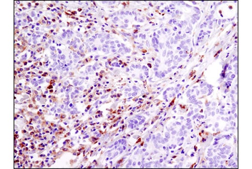
Immunohistochemical analysis of paraffin-embedded human B-cell lymphoma using Btk (D3H5) Rabbit mAb.
undefined Image 6: PhosphoPlus<sup>®</sup> Btk (Tyr223) Antibody Duet
Orders: 877-616-CELL (2355) [email protected] Support: 877-678-TECH (8324) [email protected] Web: cellsignal.com
For Research Use Only. Not for Use in Diagnostic Procedures.

Revision 1

Cell Signaling Technology Logo
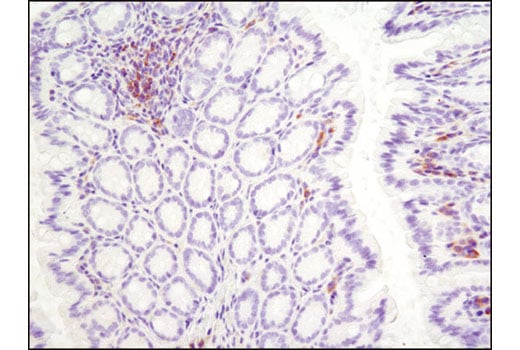
Immunohistochemical analysis of paraffin-embedded mouse colon using Btk (D3H5) Rabbit mAb.
undefined Image 7: PhosphoPlus<sup>®</sup> Btk (Tyr223) Antibody Duet
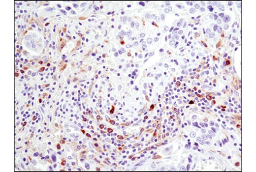
Immunohistochemical analysis of paraffin-embedded human ovarian carcinoma using Btk (D3H5) Rabbit mAb. Note staining of inflammatory cells.
undefined Image 8: PhosphoPlus<sup>®</sup> Btk (Tyr223) Antibody Duet
Immunohistochemical analysis of paraffin-embedded cell pellets, Ramos(left) or Jurkat (right), using Btk (D3H5) Rabbit mAb.
undefined Image 9: PhosphoPlus<sup>®</sup> Btk (Tyr223) Antibody Duet
Orders: 877-616-CELL (2355) [email protected] Support: 877-678-TECH (8324) [email protected] Web: cellsignal.com
For Research Use Only. Not for Use in Diagnostic Procedures.

Revision 1

Cell Signaling Technology Logo
Flow cytometric analysis of Daudi cells (green) and Jurkat cells (blue) using Btk (D3H5) Rabbit mAb (solid lines) or a concentration-matched Rabbit (DA1E) mAb IgG XP® Isotype Control #3900 (dashed lines). Anti-rabbit IgG (H+L), F(ab’)2 Fragment (Alexa Fluor® 488 Conjugate) #4412 was used as a secondary antibody.
undefined Image 10: PhosphoPlus<sup>®</sup> Btk (Tyr223) Antibody Duet
Human whole blood was fixed, lysed, and permeabilized as per the Cell Signaling Technology Flow Alternate Protocol and stained using Btk (D3H5) Rabbit mAb. Samples were co-stained using CD3-PE and CD19-APC to distinguish T and B cell subpopulations, respectively. B (red) and T (blue) cell population gates were applied to a histogram depicting the mean fluorescence intensity of Btk. Anti-rabbit IgG (H+L), F(ab')2 Fragment (Alexa Fluor® 488 Conjugate) #4412 was used as a secondary antibody.
undefined Image 11: PhosphoPlus<sup>®</sup> Btk (Tyr223) Antibody Duet
Simple Western™ analysis of lysates (0.1 mg/mL) from Raji cells using Btk (D3H5) Rabbit mAb #8547. The virtual lane view (left) shows a single target band (as indicated) at 1:10 and 1:50 dilutions of primary antibody. The corresponding electropherogram view (right) plots chemiluminescence by molecular weight along the capillary at 1:10 (blue line) and 1:50 (green line) dilutions of primary antibody. This experiment was performed under reducing conditions on the Jess™ Simple Western instrument from ProteinSimple, a BioTechne brand, using the 12-230 kDa separation module.
undefined Image 12: PhosphoPlus<sup>®</sup> Btk (Tyr223) Antibody Duet
Orders: 877-616-CELL (2355) [email protected] Support: 877-678-TECH (8324) [email protected] Web: cellsignal.com
For Research Use Only. Not for Use in Diagnostic Procedures.

Revision 1

Cell Signaling Technology Logo
Confocal immunofluorescent analysis of Daudi cell pellet (left, positive) and Jurkat cell pellet (right, negative) using Btk (D3H5) Rabbit mAb (green), Cytochrome c (6H2.B4) Mouse mAb #12963 (red), and DAPI #4083 (blue).
undefined Image 13: PhosphoPlus<sup>®</sup> Btk (Tyr223) Antibody Duet
Orders: 877-616-CELL (2355) [email protected] Support: 877-678-TECH (8324) [email protected] Web: cellsignal.com
For Research Use Only. Not for Use in Diagnostic Procedures.