Revision 1

#12814

Store at -20C

C/EBP Antibody Sampler Kit

1 Kit

(7 x 20 microliters)

CST Logo
Orders:

877-616-CELL (2355)

[email protected]

Support:

877-678-TECH (8324)

3 Trask Lane | Danvers | Massachusetts | 01923 | USA

For Research Use Only. Not for Use in Diagnostic Procedures.

Product Includes Product # Quantity Mol. Wt Isotype/Source
Phospho-C/EBP alpha (Ser21) Antibody284120 µl45 kDaRabbit
Phospho-C/EBP alpha (Thr222/226) Antibody284420 µl30, 42, 45 kDaRabbit
C/EBP alpha (D56F10) Rabbit Monoclonal Antibody817820 µl42, 28 kDaRabbit IgG
Phospho-C/EBP beta (Thr235) Antibody308420 µl20 (LIP), 46 (LAP), 48 (Full Length) kDaRabbit
C/EBP beta (LAP) Antibody308720 µl46 kDaRabbit
C/EBP delta Antibody231820 µl29 kDaRabbit
CHOP (D46F1) Rabbit Monoclonal Antibody555420 µl27 kDaRabbit IgG
Anti-rabbit IgG, HRP-linked Antibody7074100 µlGoat

Please visit cellsignal.com for individual component applications, species cross-reactivity, dilutions, protocols, and additional product information.

Description

The C/EBP Antibody Sampler Kit provides an economical means of evaluating the C/EBP family of transcription factors and several phosphorylation sites that are involved in its activation. The kit includes enough antibody to perform two western blot experiments with each primary antibody.

Storage

Supplied in 10 mM sodium HEPES (pH 7.5), 150 mM NaCl, 100 µg/ml BSA, 50% glycerol and less than 0.02% sodium azide. Store at –20°C. Do not aliquot the antibody.

Background

CCAAT/enhancer-binding proteins (C/EBPs) are transcription factors critical for cellular differentiation, terminal function, and inflammatory response. Six characterized family members (C/EBPα, β, δ, γ, ε, and ζ) are distributed in a variety of tissues (1). Translation from alternative start codons results in two C/EBPα isoforms (p42 and p30) that are strong transcriptional activators (2). Research studies indicate that insulin and insulin-like growth factor-I stimulate C/EBPα dephosphorylation, which may play a key role in insulin-induced repression of GLUT4 transcription (3). Phosphorylation of C/EBPα at Thr222, Thr226, and Ser230 by GSK-3 may be required for adipogenesis (4). The two forms of C/EBPβ, 38 kDa liver activating protein (LAP) and the 20 kDa liver inhibitory protein (LIP), may result from alternative translation. The 38 kDa LAP protein is a transcriptional activator while LIP may inhibit C/EBPβ transcriptional activity (5). Phosphorylation of C/EBPβ at distinct sites stimulates its transcriptional activity (6-8). Phosphorylation at the rat-specific site Ser105 in C/EBPβ appears essential for C/EBPβ activation in rat (9). C/EBPδ protein is highly expressed in adipose tissue, lung, and intestine (10). Increased expression of C/EBPδ mRNA levels during adipogenesis suggests that C/EBPδ plays an important role in positively regulating adipogenesis (10,11). C/EBPδ is expressed in the mammalian nervous system and plays an important role in long-term memory (10,12). CHOP is a C/EBP-homologous protein that inhibits C/EBP and LAP in a dominant-negative manner (13). CHOP expression is induced by cellular stresses, including starvation; induced CHOP suppresses cell cycle progression from G1 to S phase (14). During ER stress, the level of CHOP expression is elevated and CHOP functions to mediate programmed cell death (15).

Trademarks and Patents

Cell Signaling Technology is a trademark of Cell Signaling Technology, Inc.

All other trademarks are the property of their respective owners. Visit cellsignal.com/trademarks for more information.

Limited Uses

Except as otherwise expressly agreed in a writing signed by a legally authorized representative of CST, the following terms apply to Products provided by CST, its affiliates or its distributors. Any Customer's terms and conditions that are in addition to, or different from, those contained herein, unless separately accepted in writing by a legally authorized representative of CST, are rejected and are of no force or effect.

Products are labeled with For Research Use Only or a similar labeling statement and have not been approved, cleared, or licensed by the FDA or other regulatory foreign or domestic entity, for any purpose. Customer shall not use any Product for any diagnostic or therapeutic purpose, or otherwise in any manner that conflicts with its labeling statement. Products sold or licensed by CST are provided for Customer as the end-user and solely for research and development uses. Any use of Product for diagnostic, prophylactic or therapeutic purposes, or any purchase of Product for resale (alone or as a component) or other commercial purpose, requires a separate license from CST. Customer shall (a) not sell, license, loan, donate or otherwise transfer or make available any Product to any third party, whether alone or in combination with other materials, or use the Products to manufacture any commercial products, (b) not copy, modify, reverse engineer, decompile, disassemble or otherwise attempt to discover the underlying structure or technology of the Products, or use the Products for the purpose of developing any products or services that would compete with CST products or services, (c) not alter or remove from the Products any trademarks, trade names, logos, patent or copyright notices or markings, (d) use the Products solely in accordance with CST Product Terms of Sale and any applicable documentation, and (e) comply with any license, terms of service or similar agreement with respect to any third party products or services used by Customer in connection with the Products.

Orders: 877-616-CELL (2355) [email protected] Support: 877-678-TECH (8324) [email protected] Web: cellsignal.com
For Research Use Only. Not for Use in Diagnostic Procedures.

Revision 1

Cell Signaling Technology Logo
Western blot analysis of extract from differentiated 3T3-L1 cells, using C/EBPδ Antibody.
undefined Image 1: C/EBP Antibody Sampler Kit
Western blot analysis of extracts of COS cells untransfected (lane 1), or transfected with wild-type mouse C/EBPalpha (lane 2), S21A (lane 3), and S21D (lane 4) mutants, using Phospho-C/EBPalpha (Ser21) Antibody (upper) or C/EBPalpha Antibody (lower). (Provided by Dr. Hanna Radomska, Beth Israel Deaconess Medical Center, Boston, MA).
undefined Image 2: C/EBP Antibody Sampler Kit
Western blot analysis of extracts from U937 cells treated with either LiCl or NaCl for the indicated times, using Phopho-C/EBPalpha (Thr222/226) Antibody (upper) and C/EBPalpha antibody (lower). C/EBPalpha phosphorylation at Thr222/226 is abolished by the specific GSK3 inhibitor LiCl, but not by NaCl, indicating that phosphorylation at these sites are depends on GSK3 kinase.
undefined Image 3: C/EBP Antibody Sampler Kit
Orders: 877-616-CELL (2355) [email protected] Support: 877-678-TECH (8324) [email protected] Web: cellsignal.com
For Research Use Only. Not for Use in Diagnostic Procedures.

Revision 1

Cell Signaling Technology Logo
Western blot analysis of extracts from NCI-H1666 cells using Phospho-C/EBPβ (Thr235) Antibody (upper), C/EBPβ (LAP) Antibody #3087 (middle), or GAPDH (D16H11) XP® Rabbit mAb #5174 (lower). Following western transfer, membranes were mock treated (-) or treated with calf intestinal phosphatase (CIP) (250 units/ml, 2 hr; +) at 37ºC to demonstrate phospho-specificity of the antibody.
undefined Image 4: C/EBP Antibody Sampler Kit
Western blot analysis of extracts from COS cells, untransfected or transfected with human or mouse C/EBPbeta (LAP), using C/EBPbeta (LAP) Antibody.
undefined Image 5: C/EBP Antibody Sampler Kit
Western blot analysis of extracts from C2C12 cells, untreated or tunicamycin-treated (2 μg/ml, 8 hr), using CHOP (D46F1) Rabbit mAb (upper) or β-Actin Antibody #4967 (lower).
undefined Image 6: C/EBP Antibody Sampler Kit
Orders: 877-616-CELL (2355) [email protected] Support: 877-678-TECH (8324) [email protected] Web: cellsignal.com
For Research Use Only. Not for Use in Diagnostic Procedures.

Revision 1

Cell Signaling Technology Logo
After the primary antibody is bound to the target protein, a complex with HRP-linked secondary antibody is formed. The LumiGLO® is added and emits light during enzyme catalyzed decomposition.
undefined Image 7: C/EBP Antibody Sampler Kit
Western blot analysis of extracts from Hep G2 and LNCaP cells using C/EBPα (D56F10) XP® Rabbit mAb.
undefined Image 8: C/EBP Antibody Sampler Kit
Western blot analysis of extracts from mouse adipocytes treated with insulin for the indicated times, using Phospho-C/EBPalpha (Ser21) Antibody.
undefined Image 9: C/EBP Antibody Sampler Kit
Orders: 877-616-CELL (2355) [email protected] Support: 877-678-TECH (8324) [email protected] Web: cellsignal.com
For Research Use Only. Not for Use in Diagnostic Procedures.

Revision 1

Cell Signaling Technology Logo
Western blot analysis of extracts from adipocytes (differentiated 3T3-L1) treated with insulin for the indicated times, using Phospho-C/EBPbeta (Thr235) Antibody.
undefined Image 10: C/EBP Antibody Sampler Kit
Western blot analysis of extracts from NIH/3T3-L1, differentiated for the indicated times, using C/EBPbeta (LAP) Antibody.
undefined Image 11: C/EBP Antibody Sampler Kit
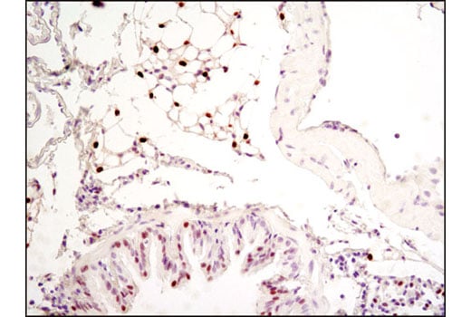
Immunohistochemical analysis of paraffin-embedded mouse lung using C/EBPα (D56F10) XP® Rabbit mAb.
undefined Image 12: C/EBP Antibody Sampler Kit
Orders: 877-616-CELL (2355) [email protected] Support: 877-678-TECH (8324) [email protected] Web: cellsignal.com
For Research Use Only. Not for Use in Diagnostic Procedures.

Revision 1

Cell Signaling Technology Logo
Immunohistochemical analysis of paraffin-embedded cell pellets, THP-1 (left) or Jurkat (right), using C/EBPα (D56F10) XP® Rabbit mAb.
undefined Image 13: C/EBP Antibody Sampler Kit
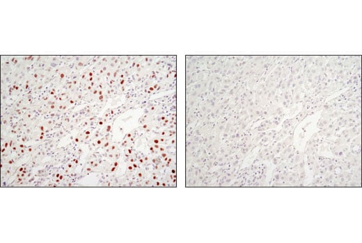
Immunohistochemical analysis of paraffin-embedded human hepatocellular carcinoma using C/EBPα (D56F10) XP® Rabbit mAb in the presence of control peptide (left) or antigen-specific peptide (right).
undefined Image 14: C/EBP Antibody Sampler Kit
Immunohistochemical analysis of paraffin-embedded human tonsil using C/EBPα (D56F10) XP® Rabbit mAb.
undefined Image 15: C/EBP Antibody Sampler Kit
Orders: 877-616-CELL (2355) [email protected] Support: 877-678-TECH (8324) [email protected] Web: cellsignal.com
For Research Use Only. Not for Use in Diagnostic Procedures.

Revision 1

Cell Signaling Technology Logo
Confocal immunofluorescent analysis of THP-1 (left) and Jurkat (right) cells using C/EBPα (D56F10) XP® Rabbit mAb (green). Actin filaments were labeled with DY-554 phalloidin (red). Blue pseudocolor = DRAQ5® #4084 (fluorescent DNA dye).
undefined Image 16: C/EBP Antibody Sampler Kit
Confocal immunofluorescent analysis of differentiated 3T3-L1 cells using C/EBPα (D56F10) XP® Rabbit mAb (green). Actin filaments were labeled with DY-554 phalloidin (red). Blue pseudocolor = DRAQ5® #4084 (fluorescent DNA dye).
undefined Image 17: C/EBP Antibody Sampler Kit
Flow cytometric analysis of THP-1 cells using C/EBP-α (D56F10) XP® Rabbit mAb (blue) compared to concentration-mathced Rabbit (DA1E) mAb IgG XP® Isotype Contol #3900 (red). Anti-rabbit IgG (H+L), F(ab')2 Fragment (Alexa Fluor® 488 Conjugate) #4412 was used as a secondary antibody
undefined Image 18: C/EBP Antibody Sampler Kit
Orders: 877-616-CELL (2355) [email protected] Support: 877-678-TECH (8324) [email protected] Web: cellsignal.com
For Research Use Only. Not for Use in Diagnostic Procedures.

Revision 1

Cell Signaling Technology Logo
Simple WesternTM analysis of lysates (1 mg/ml) from C2C12 + Tunimycin cells using CHOP (D46F1) Rabbit mAb #5554. The virtual lane view (left) shows the target band (as indicated) at 1:10 and 1:50 dilutions of primary antibody. The corresponding electropherogram view (right) plots chemiluminescence by molecular weight along the capillary at 1:10 (blue line) and 1:50 (green line) dilutions of primary antibody. This experiment was performed under reducing conditions on the JessTM Simple Western instrument from ProteinSimple, a BioTechne brand, using the 2-40kDa.
undefined Image 19: C/EBP Antibody Sampler Kit
Orders: 877-616-CELL (2355) [email protected] Support: 877-678-TECH (8324) [email protected] Web: cellsignal.com
For Research Use Only. Not for Use in Diagnostic Procedures.