Revision 7

#43095

Store at -20C

CST Logo
Orders:

877-616-CELL (2355)

[email protected]

Support:

877-678-TECH (8324)

3 Trask Lane | Danvers | Massachusetts | 01923 | USA

For Research Use Only. Not for Use in Diagnostic Procedures.

Applications:
W, IHC-P, IF-IC, FC-FP

Reactivity:
H Mk

Sensitivity:
Endogenous

MW (kDa):
46 (LAP), 48 (Full Length)

Source/Isotype:
Rabbit IgG

UniProt ID:
#P17676

Entrez-Gene Id:
1051

Product Usage Information

Application Dilution
Western Blotting 1:1000
Immunohistochemistry (Paraffin) 1:400 - 1:1600
Immunofluorescence (Immunocytochemistry) 1:400 - 1:1600
Flow Cytometry (Fixed/Permeabilized) 1:3200 - 1:6400

Storage

Supplied in 10 mM sodium HEPES (pH 7.5), 150 mM NaCl, 100 µg/ml BSA, 50% glycerol and less than 0.02% sodium azide. Store at –20°C. Do not aliquot the antibody.

For a carrier free (BSA and azide free) version of this product see product #76191.

Specificity/Sensitivity

C/EBP beta (E2K1U) Rabbit Monoclonal Antibody recognizes endogenous levels of total C/EBPβ protein. This antibody does not cross-react with C/EBPα protein.

Source / Purification

Monoclonal antibody is produced by immunizing animals with a synthetic peptide corresponding to residues surrounding Gly67 of human C/EBPβ protein.

Background

C/EBPβ is a member of the transcription factor family of CCAAT/enhancer-binding proteins (C/EBPs) that are critical for cellular differentiation and function (1). There are various N-terminally truncated C/EBPβ isoforms: full-length C/EBPβ, C/EBPβ-LAP (liver-enriched activator protein), and C/EBPβ-LIP (liver-enriched inhibitory protein). In triple-negative breast cancer cells, aerobic glycolysis was shown to control the expression of C/EBPβ-LAP, which in turn stimulates the expression of granulocyte colony-stimulating factor (G-CSF) and granulocyte macrophage colony-stimulating factor (GM-CSF). These factors are secreted from the cancer cells to promote myeloid-derived suppressor cell (MDSC) development in the tumor microenvironment, thereby suppressing anti-tumor immunity (2). In addition, research studies showed that decreased C/EBPβ-LIP expression delays age-related phenotypes in mice, suggesting a potential role for C/EBPβ-LIP in aging (3).

Species Reactivity

Species reactivity is determined by testing in at least one approved application (e.g., western blot).

Western Blot Buffer

IMPORTANT: For western blots, incubate membrane with diluted primary antibody in 5% w/v nonfat dry milk, 1X TBS, 0.1% Tween® 20 at 4°C with gentle shaking, overnight.

Applications Key

W: Western Blotting IHC-P: Immunohistochemistry (Paraffin) IF-IC: Immunofluorescence (Immunocytochemistry) FC-FP: Flow Cytometry (Fixed/Permeabilized)

Cross-Reactivity Key

H: Human Mk: Monkey

Trademarks and Patents

Cell Signaling Technology is a trademark of Cell Signaling Technology, Inc.

Alexa Fluor is a registered trademark of Life Technologies Corporation.

All other trademarks are the property of their respective owners. Visit cellsignal.com/trademarks for more information.

Limited Uses

Except as otherwise expressly agreed in a writing signed by a legally authorized representative of CST, the following terms apply to Products provided by CST, its affiliates or its distributors. Any Customer's terms and conditions that are in addition to, or different from, those contained herein, unless separately accepted in writing by a legally authorized representative of CST, are rejected and are of no force or effect.

Products are labeled with For Research Use Only or a similar labeling statement and have not been approved, cleared, or licensed by the FDA or other regulatory foreign or domestic entity, for any purpose. Customer shall not use any Product for any diagnostic or therapeutic purpose, or otherwise in any manner that conflicts with its labeling statement. Products sold or licensed by CST are provided for Customer as the end-user and solely for research and development uses. Any use of Product for diagnostic, prophylactic or therapeutic purposes, or any purchase of Product for resale (alone or as a component) or other commercial purpose, requires a separate license from CST. Customer shall (a) not sell, license, loan, donate or otherwise transfer or make available any Product to any third party, whether alone or in combination with other materials, or use the Products to manufacture any commercial products, (b) not copy, modify, reverse engineer, decompile, disassemble or otherwise attempt to discover the underlying structure or technology of the Products, or use the Products for the purpose of developing any products or services that would compete with CST products or services, (c) not alter or remove from the Products any trademarks, trade names, logos, patent or copyright notices or markings, (d) use the Products solely in accordance with CST Product Terms of Sale and any applicable documentation, and (e) comply with any license, terms of service or similar agreement with respect to any third party products or services used by Customer in connection with the Products.

Orders: 877-616-CELL (2355) [email protected] Support: 877-678-TECH (8324) [email protected] Web: cellsignal.com
For Research Use Only. Not for Use in Diagnostic Procedures.

Revision 7

Cell Signaling Technology Logo
Western blot analysis of extracts from U-87 MG, A-172, and TT cells using C/EBPβ (E2K1U) Rabbit mAb (upper) and GAPDH (D16H11) XP® #5174 (lower). The higher expression of C/EBPβ in U-87 MG cells, lower expression of C/EBPβ in A-172 cells, and the absence of detectable C/EBPβ in TT cells is consistent with RNAseq data, confirming the specificity of the antibody for C/EBPβ.
Western Blotting Image 1: C/EBP beta (E2K1U) Rabbit Monoclonal Antibody
Immunohistochemical analysis of paraffin-embedded human ductal breast carcinoma using C/EBPβ (E2K1U) Rabbit mAb.
Immunohistochemistry Image 1: C/EBP beta (E2K1U) Rabbit Monoclonal Antibody
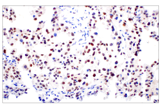
Immunohistochemical analysis of paraffin-embedded human ovarian serous carcinoma using C/EBPβ (E2K1U) Rabbit mAb.
Immunohistochemistry Image 2: C/EBP beta (E2K1U) Rabbit Monoclonal Antibody
Orders: 877-616-CELL (2355) [email protected] Support: 877-678-TECH (8324) [email protected] Web: cellsignal.com
For Research Use Only. Not for Use in Diagnostic Procedures.

Revision 7

Cell Signaling Technology Logo
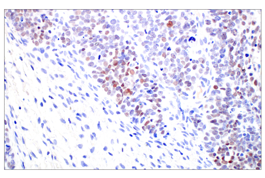
Immunohistochemical analysis of paraffin-embedded human T-cell lymphoma using C/EBPβ (E2K1U) Rabbit mAb.
Immunohistochemistry Image 3: C/EBP beta (E2K1U) Rabbit Monoclonal Antibody
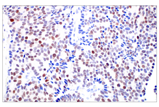
Immunohistochemical analysis of paraffin-embedded human ovarian clear cell carcinoma using C/EBPβ (E2K1U) Rabbit mAb.
Immunohistochemistry Image 4: C/EBP beta (E2K1U) Rabbit Monoclonal Antibody
Immunohistochemical analysis of paraffin-embedded normal human skin using C/EBPβ (E2K1U) Rabbit mAb.
Immunohistochemistry Image 5: C/EBP beta (E2K1U) Rabbit Monoclonal Antibody
Orders: 877-616-CELL (2355) [email protected] Support: 877-678-TECH (8324) [email protected] Web: cellsignal.com
For Research Use Only. Not for Use in Diagnostic Procedures.

Revision 7

Cell Signaling Technology Logo
Immunohistochemical analysis of paraffin-embedded normal human placenta using C/EBPβ (E2K1U) Rabbit mAb (left) compared to concentration-matched Rabbit (DA1E) mAb IgG XP® Isotype Control #3900 (right). 
Immunohistochemistry Image 6: C/EBP beta (E2K1U) Rabbit Monoclonal Antibody
Immunohistochemical analysis of paraffin-embedded U-87 MG cell pellet (left, positive) or TT cell pellet (right, negative) using C/EBPβ (E2K1U) Rabbit mAb.
Immunohistochemistry Image 7: C/EBP beta (E2K1U) Rabbit Monoclonal Antibody
Confocal immunofluorescent analysis of U-87 MG cells (left, high-expressing), A-172 cells (middle, low-expressing), and TT cells (right, negative) using C/EBPβ (E2K1U) Rabbit mAb (green), DyLight™ 554 Phalloidin #13054 (red), and ProLong® Gold Antifade Reagent with DAPI #8961 (blue).
Immunofluorescence Image 1: C/EBP beta (E2K1U) Rabbit Monoclonal Antibody
Orders: 877-616-CELL (2355) [email protected] Support: 877-678-TECH (8324) [email protected] Web: cellsignal.com
For Research Use Only. Not for Use in Diagnostic Procedures.

Revision 7

Cell Signaling Technology Logo
Flow cytometric analysis of TT cells (blue, negative) and U-87 MG cells (green, positive) using C/EBPβ (E2K1U) Rabbit mAb (solid lines) or concentration-matched Rabbit (DA1E) mAb IgG XP® Isotype Control #3900 (dashed lines). Anti-rabbit IgG (H+L), F(ab')2 Fragment (Alexa Fluor® 488 Conjugate) #4412 was used as a secondary antibody.
Flow Cytometry Image 1: C/EBP beta (E2K1U) Rabbit Monoclonal Antibody
Orders: 877-616-CELL (2355) [email protected] Support: 877-678-TECH (8324) [email protected] Web: cellsignal.com
For Research Use Only. Not for Use in Diagnostic Procedures.