Revision 6

#31254

Store at -20C

CST Logo
Orders:

877-616-CELL (2355)

[email protected]

Support:

877-678-TECH (8324)

3 Trask Lane | Danvers | Massachusetts | 01923 | USA

For Research Use Only. Not for Use in Diagnostic Procedures.

Applications:
W, W-S, IP, IHC-P, IF-F, IF-IC, ChIP

Reactivity:
H M R

Sensitivity:
Endogenous

MW (kDa):
62

Source/Isotype:
Rabbit IgG

UniProt ID:
#P01100

Entrez-Gene Id:
2353

Product Usage Information

For optimal ChIP results, use 10 μL of antibody and 10 μg of chromatin (approximately 4 × 106 cells) per IP. This antibody has been validated using SimpleChIP® Enzymatic Chromatin IP Kits.
Application Dilution
Western Blotting 1:1000
Simple Western™ 1:10 - 1:50
Immunoprecipitation 1:100
Immunohistochemistry (Paraffin) 1:100 - 1:400
Immunofluorescence (Frozen) 1:50 - 1:100
Immunofluorescence (Immunocytochemistry) 1:200 - 1:400
Chromatin IP 1:50

Storage

Supplied in 10 mM sodium HEPES (pH 7.5), 150 mM NaCl, 100 µg/mL BSA, 50% glycerol, and less than 0.02% sodium azide. Store at –20°C. Do not aliquot the antibody.

For a carrier free (BSA and azide free) version of this product see product #61396.

Specificity/Sensitivity

c-Fos (E2I7R) Rabbit Monoclonal Antibody recognizes endogenous levels of total c-Fos protein. This antibody does not cross-react with other Fos proteins, including FosB and FRA1. This antibody non-specifically stains fixed, frozen mouse spleen by immunofluorescence.

Source / Purification

Monoclonal antibody is produced by immunizing animals with a synthetic peptide corresponding to residues surrounding Ala286 of human c-Fos protein.

Background

The Fos family of nuclear oncogenes includes c-Fos, FosB, Fos-related antigen 1 (FRA1), and Fos-related antigen 2 (FRA2) (1). While most Fos proteins exist as a single isoform, the FosB protein exists as two isoforms: full-length FosB and a shorter form, FosB2 (Delta FosB), which lacks the carboxy-terminal 101 amino acids (1-3). The expression of Fos proteins is rapidly and transiently induced by a variety of extracellular stimuli, including growth factors, cytokines, neurotransmitters, polypeptide hormones, and stress. Fos proteins dimerize with Jun proteins (c-Jun, JunB, and JunD) to form Activator Protein-1 (AP-1), a transcription factor that binds to TRE/AP-1 elements and activates transcription. Fos and Jun proteins contain the leucine-zipper motif that mediates dimerization and an adjacent basic domain that binds to DNA. The various Fos/Jun heterodimers differ in their ability to transactivate AP-1 dependent genes. In addition to increased expression, phosphorylation of Fos proteins by Erk kinases in response to extracellular stimuli may further increase transcriptional activity (4-6). Phosphorylation of c-Fos at Ser32 and Thr232 by Erk5 increases protein stability and nuclear localization (5). Phosphorylation of FRA1 at Ser252 and Ser265 by Erk1/2 increases protein stability and leads to overexpression of FRA1 in cancer cells (6). Following growth factor stimulation, expression of FosB and c-Fos in quiescent fibroblasts is immediate, but very short-lived, with protein levels dissipating after several hours (7). FRA1 and FRA2 expression persists longer, and appreciable levels can be detected in asynchronously growing cells (8). Deregulated expression of c-Fos, FosB, or FRA2 can result in neoplastic cellular transformation; however, Delta FosB lacks the ability to transform cells (2,3).

Species Reactivity

Species reactivity is determined by testing in at least one approved application (e.g., western blot).

Western Blot Buffer

IMPORTANT: For western blots, incubate membrane with diluted primary antibody in 5% w/v BSA, 1X TBS, 0.1% Tween® 20 at 4°C with gentle shaking, overnight.

Applications Key

W: Western Blotting W-S: Simple Western™ IP: Immunoprecipitation IHC-P: Immunohistochemistry (Paraffin) IF-F: Immunofluorescence (Frozen) IF-IC: Immunofluorescence (Immunocytochemistry) ChIP: Chromatin IP

Cross-Reactivity Key

H: Human M: Mouse R: Rat

Trademarks and Patents

Cell Signaling Technology is a trademark of Cell Signaling Technology, Inc.

SimpleChIP is a registered trademark of Cell Signaling Technology, Inc.

All other trademarks are the property of their respective owners. Visit cellsignal.com/trademarks for more information.

Limited Uses

Except as otherwise expressly agreed in a writing signed by a legally authorized representative of CST, the following terms apply to Products provided by CST, its affiliates or its distributors. Any Customer's terms and conditions that are in addition to, or different from, those contained herein, unless separately accepted in writing by a legally authorized representative of CST, are rejected and are of no force or effect.

Products are labeled with For Research Use Only or a similar labeling statement and have not been approved, cleared, or licensed by the FDA or other regulatory foreign or domestic entity, for any purpose. Customer shall not use any Product for any diagnostic or therapeutic purpose, or otherwise in any manner that conflicts with its labeling statement. Products sold or licensed by CST are provided for Customer as the end-user and solely for research and development uses. Any use of Product for diagnostic, prophylactic or therapeutic purposes, or any purchase of Product for resale (alone or as a component) or other commercial purpose, requires a separate license from CST. Customer shall (a) not sell, license, loan, donate or otherwise transfer or make available any Product to any third party, whether alone or in combination with other materials, or use the Products to manufacture any commercial products, (b) not copy, modify, reverse engineer, decompile, disassemble or otherwise attempt to discover the underlying structure or technology of the Products, or use the Products for the purpose of developing any products or services that would compete with CST products or services, (c) not alter or remove from the Products any trademarks, trade names, logos, patent or copyright notices or markings, (d) use the Products solely in accordance with CST Product Terms of Sale and any applicable documentation, and (e) comply with any license, terms of service or similar agreement with respect to any third party products or services used by Customer in connection with the Products.

Orders: 877-616-CELL (2355) [email protected] Support: 877-678-TECH (8324) [email protected] Web: cellsignal.com
For Research Use Only. Not for Use in Diagnostic Procedures.

Revision 6

Cell Signaling Technology Logo
Western blot analysis of extracts from HeLa and RAW 264.7 cells serum-starved overnight, untreated (-) or stimulated with TPA (12-O-Tetradecanoylphorbol-13-Acetate) #4174 (4 hr; +), using c-Fos (E2I7R) XP® Rabbit mAb (upper) or β-Actin (D6A8) Rabbit mAb #8457 (lower).
Western Blotting Image 1: c-Fos (E2I7R) Rabbit Monoclonal Antibody
Western blot analysis of extracts from H-4-II-E cells serum-starved overnight, untreated (-) or stimulated with TPA (12-O-Tetradecanoylphorbol-13-Acetate) #4174 (4 hr; +), using c-Fos (E2I7R) XP® Rabbit mAb (upper) or β-Actin (D6A8) Rabbit mAb #8457 (lower).
Western Blotting Image 2: c-Fos (E2I7R) Rabbit Monoclonal Antibody
Simple Western™ analysis of lysates (0.1 mg/mL) from serum-starved HeLa cells treated with TPA (200 nM, 4 hours) using c-Fos (E2I7R) XP® Rabbit mAb #31254. The virtual lane view (left) shows the target band (as indicated) at 1:10 and 1:50 dilutions of primary antibody. The corresponding electropherogram view (right) plots chemiluminescence by molecular weight along the capillary at 1:10 (blue line) and 1:50 (green line) dilutions of primary antibody. This experiment was performed under reducing conditions on the Jess™ Simple Western instrument from ProteinSimple, a BioTechne brand, using the 12-230 kDa separation module.
Western Blotting Image 1: c-Fos (E2I7R) Rabbit Monoclonal Antibody
Orders: 877-616-CELL (2355) [email protected] Support: 877-678-TECH (8324) [email protected] Web: cellsignal.com
For Research Use Only. Not for Use in Diagnostic Procedures.

Revision 6

Cell Signaling Technology Logo
Immunoprecipitation of c-Fos protein from HeLa cell extracts that were serum-starved overnight and stimulated for 4 hours with TPA (12-O-Tetradecanoylphorbol-13-Acetate) #4174. Lane 1 is 10% input, lane 2 is Rabbit (DA1E) mAb IgG XP® Isotype Control #3900, and lane 3 is c-Fos (E2I7R) XP® Rabbit mAb. Western blot analysis was performed using c-Fos (E2I7R) XP® Rabbit mAb. Mouse Anti-Rabbit IgG (Light-Chain Specific) (D4W3E) mAb (HRP Conjugate) #93702 was used as a secondary antibody.
Immunoprecipitation Image 1: c-Fos (E2I7R) Rabbit Monoclonal Antibody
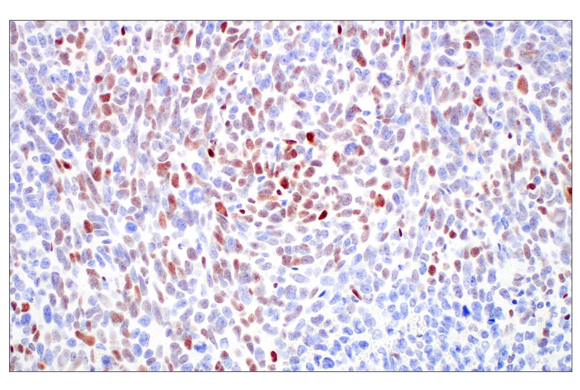
Immunohistochemical analysis of paraffin-embedded human esophageal adenocarcinoma using c-Fos (E2I7R) XP® Rabbit mAb.
Immunohistochemistry Image 1: c-Fos (E2I7R) Rabbit Monoclonal Antibody
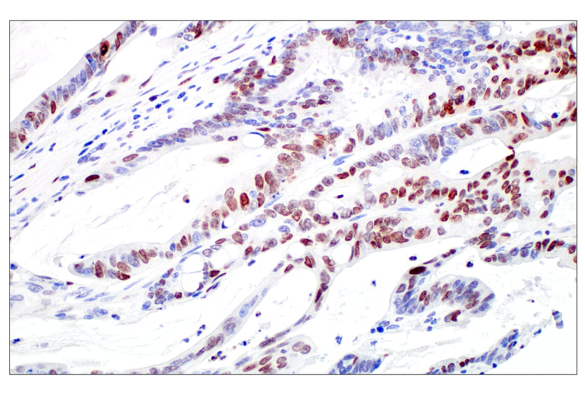
Immunohistochemical analysis of paraffin-embedded human colon adenocarcinoma using c-Fos (E2I7R) XP® Rabbit mAb.
Immunohistochemistry Image 2: c-Fos (E2I7R) Rabbit Monoclonal Antibody
Orders: 877-616-CELL (2355) [email protected] Support: 877-678-TECH (8324) [email protected] Web: cellsignal.com
For Research Use Only. Not for Use in Diagnostic Procedures.

Revision 6

Cell Signaling Technology Logo
Immunohistochemical analysis of paraffin-embedded human prostate adenocarcinoma using c-Fos (E2I7R) XP® Rabbit mAb.
Immunohistochemistry Image 3: c-Fos (E2I7R) Rabbit Monoclonal Antibody
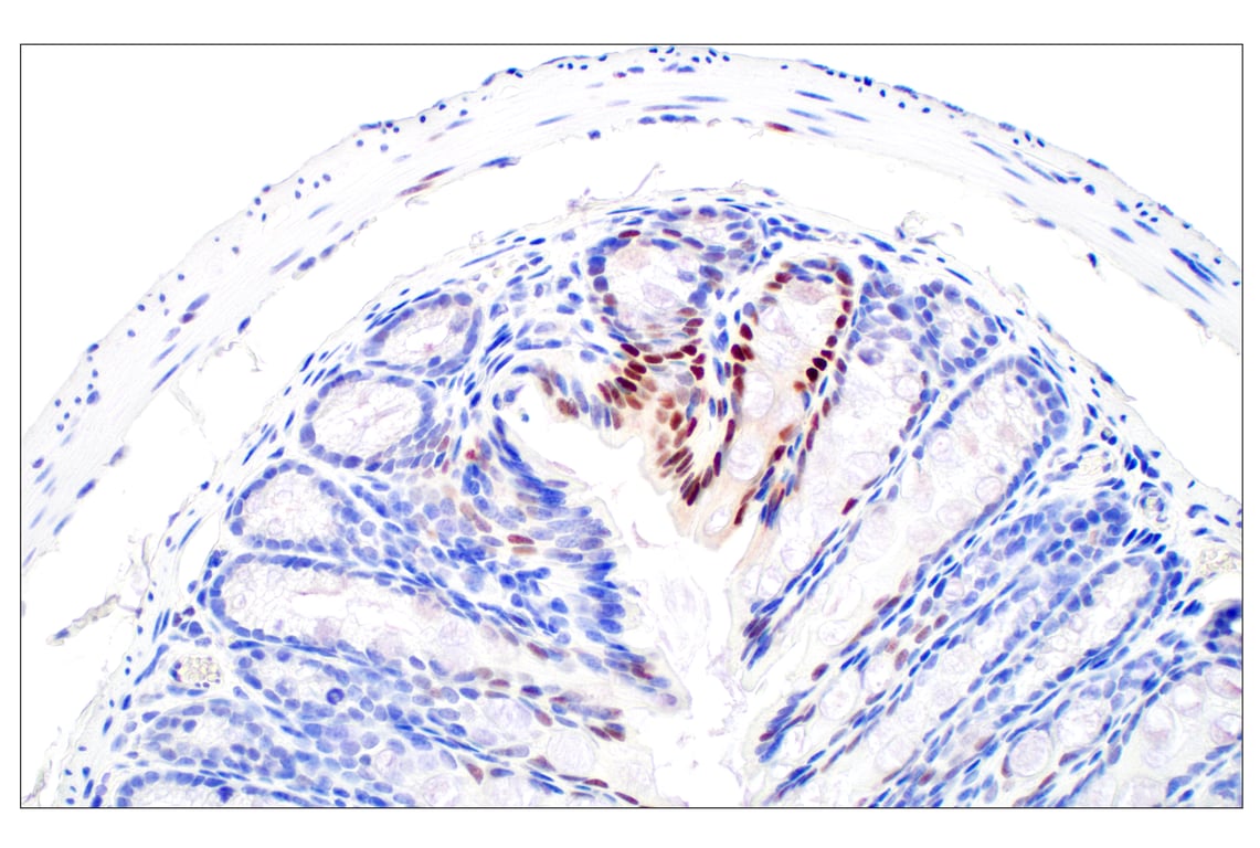
Immunohistochemical analysis of paraffin-embedded normal human colon using c-Fos (E2I7R) XP® Rabbit mAb.
Immunohistochemistry Image 4: c-Fos (E2I7R) Rabbit Monoclonal Antibody
Immunohistochemical analysis of paraffin-embedded normal human gallbladder using c-Fos (E2I7R) XP® Rabbit mAb.
Immunohistochemistry Image 5: c-Fos (E2I7R) Rabbit Monoclonal Antibody
Orders: 877-616-CELL (2355) [email protected] Support: 877-678-TECH (8324) [email protected] Web: cellsignal.com
For Research Use Only. Not for Use in Diagnostic Procedures.

Revision 6

Cell Signaling Technology Logo
Immunohistochemical analysis of paraffin-embedded normal human esophagus using c-Fos (E2I7R) XP® Rabbit mAb.
Immunohistochemistry Image 6: c-Fos (E2I7R) Rabbit Monoclonal Antibody
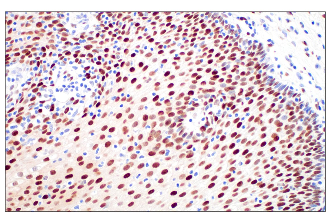
Immunohistochemical analysis of paraffin-embedded 4T1 syngeneic tumor using c-Fos (E2I7R) XP® Rabbit mAb.
Immunohistochemistry Image 7: c-Fos (E2I7R) Rabbit Monoclonal Antibody
Immunohistochemical analysis of paraffin-embedded Renca syngeneic tumor using c-Fos (E2I7R) XP® Rabbit mAb.
Immunohistochemistry Image 8: c-Fos (E2I7R) Rabbit Monoclonal Antibody
Orders: 877-616-CELL (2355) [email protected] Support: 877-678-TECH (8324) [email protected] Web: cellsignal.com
For Research Use Only. Not for Use in Diagnostic Procedures.

Revision 6

Cell Signaling Technology Logo
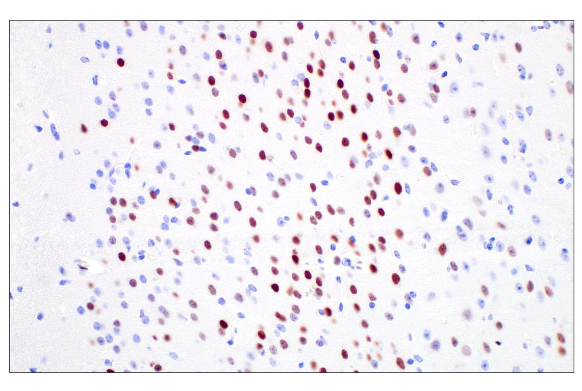
Immunohistochemical analysis of paraffin-embedded mouse brain using c-Fos (E2I7R) XP® Rabbit mAb.
Immunohistochemistry Image 9: c-Fos (E2I7R) Rabbit Monoclonal Antibody
Immunohistochemical analysis of paraffin-embedded mouse colon using c-Fos (E2I7R) XP® Rabbit mAb.
Immunohistochemistry Image 10: c-Fos (E2I7R) Rabbit Monoclonal Antibody
Immunohistochemical analysis of paraffin-embedded HeLa cell pellets, serum-starved overnight then either untreated (left) or treated with TPA (12-O-Tetradecanoylphorbol-13-Acetate) #4174 (200 nM, 4 hr; right), using c-Fos (E2I7R) XP® Rabbit mAb.
Immunohistochemistry Image 11: c-Fos (E2I7R) Rabbit Monoclonal Antibody
Orders: 877-616-CELL (2355) [email protected] Support: 877-678-TECH (8324) [email protected] Web: cellsignal.com
For Research Use Only. Not for Use in Diagnostic Procedures.

Revision 6

Cell Signaling Technology Logo
Confocal immunofluorescent analysis of fixed frozen mouse striatum labeled with c-Fos (E2I7R) XP® Rabbit mAb (left, red). Free secondary binding sites were then blocked with Rabbit (DA1E) mAb IgG XP® Isotype Control #3900 prior to co-labeling with EAAT2 (E3P5K) Rabbit mAb (Alexa Fluor® 488 Conjugate) #10767 (right, green) and DAPI #4083 (right, blue).
Immunofluorescence Image 1: c-Fos (E2I7R) Rabbit Monoclonal Antibody
Confocal immunofluorescent analysis of HeLa cells, serum-starved (left) or serum-starved and treated with TPA (12-O-Tetradecanoylphorbol-13-Acetate) #4174 (200 nM, 4 hr; right), using c-Fos (E2I7R) XP® Rabbit mAb (green) and DyLight 650 Phalloidin #12956 (red).
Immunofluorescence Image 1: c-Fos (E2I7R) Rabbit Monoclonal Antibody
Chromatin immunoprecipitations were performed with cross-linked chromatin from PC-12 cells starved overnight and treated with human β-NGF (50 ng/mL, 2 hr) and either c-Fos (E2I7R) XP® Rabbit mAb or Normal Rabbit IgG #2729, using SimpleChIP® Plus Enzymatic Chromatin IP Kit (Magnetic Beads) #9005. The enriched DNA was quantified by real-time PCR using SimpleChIP® Rat CCRN4L Promoter Primers #7983, rat DCLK1 promoter primers, and SimpleChIP® Rat GAPDH Promoter Primers #7964. The amount of immunoprecipitated DNA in each sample is represented as signal relative to the total amount of input chromatin, which is equivalent to one.
Chromatin Immunoprecipitation Image 1: c-Fos (E2I7R) Rabbit Monoclonal Antibody
Orders: 877-616-CELL (2355) [email protected] Support: 877-678-TECH (8324) [email protected] Web: cellsignal.com
For Research Use Only. Not for Use in Diagnostic Procedures.