Revision 9

#9165

Store at -20C

CST Logo
Orders:

877-616-CELL (2355)

[email protected]

Support:

877-678-TECH (8324)

3 Trask Lane | Danvers | Massachusetts | 01923 | USA

For Research Use Only. Not for Use in Diagnostic Procedures.

Applications:
W, W-S, IP, IHC-P, IF-IC, FC-FP, ChIP, ChIP-seq, C&R

Reactivity:
H M R Mk

Sensitivity:
Endogenous

MW (kDa):
43, 48

Source/Isotype:
Rabbit IgG

UniProt ID:
#P05412

Entrez-Gene Id:
3725

Product Usage Information

For optimal ChIP and ChIP-seq results, use 10 μl of antibody and 10 μg of chromatin (approximately 4 x 106 cells) per IP. This antibody has been validated using SimpleChIP® Enzymatic Chromatin IP Kits.

The CUT&RUN dilution was determined using CUT&RUN Assay Kit #86652.
Application Dilution
Western Blotting 1:1000
Simple Western™ 1:10 - 1:50
Immunoprecipitation 1:50
Immunohistochemistry (Paraffin) 1:150 - 1:600
Immunofluorescence (Immunocytochemistry) 1:200 - 1:400
Flow Cytometry (Fixed/Permeabilized) 1:50 - 1:200
Chromatin IP 1:50
Chromatin IP-seq 1:50
CUT&RUN 1:100

Storage

Supplied in 10 mM sodium HEPES (pH 7.5), 150 mM NaCl, 100 µg/ml BSA, 50% glycerol and less than 0.02% sodium azide. Store at –20°C. Do not aliquot the antibody.

For a carrier free (BSA and azide free) version of this product see product #26325.

Specificity/Sensitivity

c-Jun (60A8) Rabbit Monoclonal Antibody detects endogenous levels of total c-Jun protein, regardless of phosphorylation state.

Source / Purification

Monoclonal antibody is produced by immunizing animals with a GST-c-Jun protein corresponding to the amino-terminal sequence of human c-Jun.

Background

c-Jun is a member of the Jun family containing c-Jun, JunB, and JunD, and is a component of the transcription factor activator protein-1 (AP-1). AP-1 is composed of dimers of Fos, Jun, and ATF family members and binds to and activates transcription at TRE/AP-1 elements (reviewed in 1). Extracellular signals, including growth factors, chemokines, and stress, activate AP-1-dependent transcription. The transcriptional activity of c-Jun is regulated by phosphorylation at Ser63 and Ser73 through SAPK/JNK (reviewed in 2). Knockout studies in mice have shown that c-Jun is essential for embryogenesis (3), and subsequent studies have demonstrated roles for c-Jun in various tissues and developmental processes, including axon regeneration (4), liver regeneration (5), and T cell development (6). AP-1 regulated genes exert diverse biological functions, including cell proliferation, differentiation, and apoptosis, as well as transformation, invasion and metastasis, depending on cell type and context (7-9). Other target genes regulate survival, as well as hypoxia and angiogenesis (8,10). Research studies have implicated c-Jun as a promising therapeutic target for cancer, vascular remodeling, acute inflammation, and rheumatoid arthritis (11,12).

Species Reactivity

Species reactivity is determined by testing in at least one approved application (e.g., western blot).

Western Blot Buffer

IMPORTANT: For western blots, incubate membrane with diluted primary antibody in 5% w/v BSA, 1X TBS, 0.1% Tween® 20 at 4°C with gentle shaking, overnight.

Applications Key

W: Western Blotting W-S: Simple Western™ IP: Immunoprecipitation IHC-P: Immunohistochemistry (Paraffin) IF-IC: Immunofluorescence (Immunocytochemistry) FC-FP: Flow Cytometry (Fixed/Permeabilized) ChIP: Chromatin IP ChIP-seq: Chromatin IP-seq C&R: CUT&RUN

Cross-Reactivity Key

H: Human M: Mouse R: Rat Mk: Monkey

Trademarks and Patents

Cell Signaling Technology is a trademark of Cell Signaling Technology, Inc.

Alexa Fluor is a registered trademark of Life Technologies Corporation.

All other trademarks are the property of their respective owners. Visit cellsignal.com/trademarks for more information.

Limited Uses

Except as otherwise expressly agreed in a writing signed by a legally authorized representative of CST, the following terms apply to Products provided by CST, its affiliates or its distributors. Any Customer's terms and conditions that are in addition to, or different from, those contained herein, unless separately accepted in writing by a legally authorized representative of CST, are rejected and are of no force or effect.

Products are labeled with For Research Use Only or a similar labeling statement and have not been approved, cleared, or licensed by the FDA or other regulatory foreign or domestic entity, for any purpose. Customer shall not use any Product for any diagnostic or therapeutic purpose, or otherwise in any manner that conflicts with its labeling statement. Products sold or licensed by CST are provided for Customer as the end-user and solely for research and development uses. Any use of Product for diagnostic, prophylactic or therapeutic purposes, or any purchase of Product for resale (alone or as a component) or other commercial purpose, requires a separate license from CST. Customer shall (a) not sell, license, loan, donate or otherwise transfer or make available any Product to any third party, whether alone or in combination with other materials, or use the Products to manufacture any commercial products, (b) not copy, modify, reverse engineer, decompile, disassemble or otherwise attempt to discover the underlying structure or technology of the Products, or use the Products for the purpose of developing any products or services that would compete with CST products or services, (c) not alter or remove from the Products any trademarks, trade names, logos, patent or copyright notices or markings, (d) use the Products solely in accordance with CST Product Terms of Sale and any applicable documentation, and (e) comply with any license, terms of service or similar agreement with respect to any third party products or services used by Customer in connection with the Products.

Orders: 877-616-CELL (2355) [email protected] Support: 877-678-TECH (8324) [email protected] Web: cellsignal.com
For Research Use Only. Not for Use in Diagnostic Procedures.

Revision 9

Cell Signaling Technology Logo
Western blot analysis of extracts from control HeLa cells (lane 1) or c-Jun knockout HeLa cells (lane 2) using c-Jun (60A8) Rabbit mAb #9165. The absence of signal in the c-Jun knockout HeLa cells confirms specificity of the antibody for c-Jun.
Western Blotting Image 1: c-Jun (60A8) Rabbit Monoclonal Antibody
Western blot analysis of extracts from NIH/3T3 and SK-N-MC cells, untreated or UV-treated, using c-Jun (60A8) Rabbit mAb.
Western Blotting Image 2: c-Jun (60A8) Rabbit Monoclonal Antibody

Simple Western™ analysis of lysates (0.1 mg/mL) from HeLa cells treated with UV (100 mJ/cm2; 2H recovery) using c-Jun (60A8) Rabbit mAb #9165. The virtual lane view (left) shows the target band (as indicated) at 1:10 and 1:50 dilutions of primary antibody. The corresponding electropherogram view (right) plots chemiluminescence by molecular weight along the capillary at 1:10 (blue line) and 1:50 (green line) dilutions of primary antibody. This experiment was performed under reducing conditions on the Jess™ ​​​​​​​ Simple Western instrument from ProteinSimple, a BioTechne brand, using the 12-230 kDa separation module.

Western Blotting Image 1: c-Jun (60A8) Rabbit Monoclonal Antibody
Orders: 877-616-CELL (2355) [email protected] Support: 877-678-TECH (8324) [email protected] Web: cellsignal.com
For Research Use Only. Not for Use in Diagnostic Procedures.

Revision 9

Cell Signaling Technology Logo
Immunohistochemical analysis of paraffin-embedded human astrocytoma, using c-Jun (60A8) Rabbit mAb.
Immunohistochemistry Image 1: c-Jun (60A8) Rabbit Monoclonal Antibody
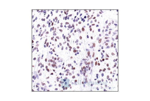
Immunohistochemical analysis of paraffin-embedded human colon carcinoma, using c-Jun (60A8) Rabbit mAb.
Immunohistochemistry Image 2: c-Jun (60A8) Rabbit Monoclonal Antibody
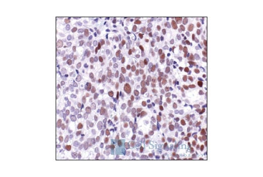
Immunohistochemical analysis of paraffin-embedded human ovarian carcinoma, using c-Jun (60A8) Rabbit mAb.
Immunohistochemistry Image 3: c-Jun (60A8) Rabbit Monoclonal Antibody
Orders: 877-616-CELL (2355) [email protected] Support: 877-678-TECH (8324) [email protected] Web: cellsignal.com
For Research Use Only. Not for Use in Diagnostic Procedures.

Revision 9

Cell Signaling Technology Logo
Confocal immunofluorescent analysis of HeLa cells, using c-Jun (60A8) Rabbit mAb (green). Actin filaments have been labeled with Alexa Fluor® 555 phalloidin (red).
Immunofluorescence Image 1: c-Jun (60A8) Rabbit Monoclonal Antibody
Flow cytometric analysis of Jurkat cells using c-Jun (60A8) Rabbit mAb (solid line) compared to concentration-matched Rabbit (DA1E) mAb IgG XP® Isotype Control #3900 (dashed line). Anti-rabbit IgG (H+L), F(ab')2 Fragment (Alexa Fluor® 488 Conjugate) #4412 was used as a secondary antibody.
Flow Cytometry Image 1: c-Jun (60A8) Rabbit Monoclonal Antibody
Chromatin immunoprecipitations were performed with cross-linked chromatin from PC-12 cells starved overnight and treated with β-NGF #5221 (50ng/ml) for 2h and c-Jun (60A8) Rabbit mAb, using SimpleChIP® Plus Enzymatic Chromatin IP Kit (Magnetic Beads) #9005. DNA Library Prep Kit for Illumina® (ChIP-seq, CUT&RUN) #56795. The figure shows binding across Dclk1, a known target gene of c-Jun (see additional figure containing ChIP-qPCR data).
Chromatin Immunoprecipitation Image 1: c-Jun (60A8) Rabbit Monoclonal Antibody
Orders: 877-616-CELL (2355) [email protected] Support: 877-678-TECH (8324) [email protected] Web: cellsignal.com
For Research Use Only. Not for Use in Diagnostic Procedures.

Revision 9

Cell Signaling Technology Logo
Chromatin immunoprecipitations were performed with cross-linked chromatin from PC-12 cells starved overnight and treated with β-NGF #5221 (50ng/ml) for 2h and c-Jun (60A8) Rabbit mAb, using SimpleChIP® Plus Enzymatic Chromatin IP Kit (Magnetic Beads) #9005. DNA Library Prep Kit for Illumina® (ChIP-seq, CUT&RUN) #56795. The figure shows binding across chromosome 2 (upper), including Dclk1 (lower), a known target gene of c-Jun (see additional figure containing ChIP-qPCR data).
Chromatin Immunoprecipitation Image 2: c-Jun (60A8) Rabbit Monoclonal Antibody
Chromatin immunoprecipitations were performed with cross-linked chromatin from PC-12 cells starved overnight and treated with β-NGF #5221 (50ng/ml) for 2h and either of c-Jun (60A8) Rabbit mAb or Normal Rabbit IgG #2729 using SimpleChIP® Enzymatic Chromatin IP Kit (Magnetic Beads) #9003. The enriched DNA was quantified by real-time PCR using SimpleChIP® Rat CCRN4L Promoter Primers #7983, rat DCLK1 promoter primers, and SimpleChIP® Rat GAPDH Promoter Primers #7964. The amount of immunoprecipitated DNA in each sample is represented as signal relative to the total amount of input chromatin, which is equivalent to one.
Chromatin Immunoprecipitation Image 3: c-Jun (60A8) Rabbit Monoclonal Antibody
CUT&RUN was performed with PC-12 cells starved overnight and treated with β-NGF #5221 (50ng/mL) for 2h and c-Jun (60A8) Rabbit mAb or Rabbit (DA1E) mAb IgG XP® Isotype Control (CUT&RUN) #66362, using CUT&RUN Assay Kit #86652. The enriched DNA was quantified by real-time PCR using rat Adck4 promoter primers, rat Dclk1 promoter primers, and rat Noct downstream primers. The amount of immunoprecipitated DNA in each sample is represented as signal relative to the total amount of input chromatin, which is equivalent to one.
CUT & RUN Image 1: c-Jun (60A8) Rabbit Monoclonal Antibody
Orders: 877-616-CELL (2355) [email protected] Support: 877-678-TECH (8324) [email protected] Web: cellsignal.com
For Research Use Only. Not for Use in Diagnostic Procedures.

Revision 9

Cell Signaling Technology Logo
CUT&RUN was performed with PC-12 cells starved overnight and treated with β-NGF #5221 (50ng/mL) for 2h and c-Jun (60A8) Rabbit mAb, using CUT&RUN Assay Kit #86652. DNA Library was prepared using DNA Library Prep Kit for Illumina® (ChIP-seq, CUT&RUN) #56795. The figure shows binding across the Adck4 gene.
CUT & RUN Image 2: c-Jun (60A8) Rabbit Monoclonal Antibody
CUT&RUN was performed with PC-12 cells starved overnight and treated with β-NGF #5221 (50ng/mL) for 2h and c-Jun (60A8) Rabbit mAb, using CUT&RUN Assay Kit #86652. DNA Library was prepared using DNA Library Prep Kit for Illumina® (ChIP-seq, CUT&RUN) #56795. The figures show binding across chromosome 1 (upper), including the Adck4 gene (lower).
CUT & RUN Image 3: c-Jun (60A8) Rabbit Monoclonal Antibody
Orders: 877-616-CELL (2355) [email protected] Support: 877-678-TECH (8324) [email protected] Web: cellsignal.com
For Research Use Only. Not for Use in Diagnostic Procedures.