Revision 4

#30651

Store at -20C

CST Logo
Orders:

877-616-CELL (2355)

[email protected]

Support:

877-678-TECH (8324)

3 Trask Lane | Danvers | Massachusetts | 01923 | USA

For Research Use Only. Not for Use in Diagnostic Procedures.

Applications:
W, IP, IHC-Bond, IHC-P

Reactivity:
M

Sensitivity:
Endogenous

MW (kDa):
30

Source/Isotype:
Rabbit IgG

UniProt ID:
#P14106

Entrez-Gene Id:
12260

Product Usage Information

Application Dilution
Western Blotting 1:1000
Immunoprecipitation 1:200
IHC Leica Bond 1:400 - 1:1600
Immunohistochemistry (Paraffin) 1:200 - 1:800

Storage

Supplied in 10 mM sodium HEPES (pH 7.5), 150 mM NaCl, 100 µg/mL BSA, 50% glycerol, and less than 0.02% sodium azide. Store at –20°C. Do not aliquot the antibody.

For a carrier free (BSA and azide free) version of this product see product #43159.

Specificity/Sensitivity

C1QB (E3U6X) Rabbit Monoclonal Antibody recognizes endogenous levels of total C1QB protein.

Source / Purification

Monoclonal antibody is produced by immunizing animals with a synthetic peptide corresponding to residues near the carboxy terminus of mouse C1QB protein.

Background

C1q is a key subcomponent of the classical complement activation pathway during the innate immune response, and it provides a link to the adaptive immune response (1), as the best-known ligands for C1q are the Fc regions of aggregated IgG and IgM molecules in immune complexes (2). Functional C1q is a complex heterotrimer consisting of the products of three genes: C1QA, C1QB, and C1QC (2). C1q is involved in autoimmunity, infection, inflammatory diseases, and tumors (3). C1q is constitutively synthesized by monocytes, macrophages, dendritic cells (DCs), and microglia, and decreased C1q levels are present in several autoimmune conditions (3,4).

Species Reactivity

Species reactivity is determined by testing in at least one approved application (e.g., western blot).

Western Blot Buffer

IMPORTANT: For western blots, incubate membrane with diluted primary antibody in 5% w/v BSA, 1X TBS, 0.1% Tween® 20 at 4°C with gentle shaking, overnight.

Applications Key

W: Western Blotting IP: Immunoprecipitation IHC-Bond: IHC Leica Bond IHC-P: Immunohistochemistry (Paraffin)

Cross-Reactivity Key

M: Mouse

Trademarks and Patents

Cell Signaling Technology is a trademark of Cell Signaling Technology, Inc.

All other trademarks are the property of their respective owners. Visit cellsignal.com/trademarks for more information.

Limited Uses

Except as otherwise expressly agreed in a writing signed by a legally authorized representative of CST, the following terms apply to Products provided by CST, its affiliates or its distributors. Any Customer's terms and conditions that are in addition to, or different from, those contained herein, unless separately accepted in writing by a legally authorized representative of CST, are rejected and are of no force or effect.

Products are labeled with For Research Use Only or a similar labeling statement and have not been approved, cleared, or licensed by the FDA or other regulatory foreign or domestic entity, for any purpose. Customer shall not use any Product for any diagnostic or therapeutic purpose, or otherwise in any manner that conflicts with its labeling statement. Products sold or licensed by CST are provided for Customer as the end-user and solely for research and development uses. Any use of Product for diagnostic, prophylactic or therapeutic purposes, or any purchase of Product for resale (alone or as a component) or other commercial purpose, requires a separate license from CST. Customer shall (a) not sell, license, loan, donate or otherwise transfer or make available any Product to any third party, whether alone or in combination with other materials, or use the Products to manufacture any commercial products, (b) not copy, modify, reverse engineer, decompile, disassemble or otherwise attempt to discover the underlying structure or technology of the Products, or use the Products for the purpose of developing any products or services that would compete with CST products or services, (c) not alter or remove from the Products any trademarks, trade names, logos, patent or copyright notices or markings, (d) use the Products solely in accordance with CST Product Terms of Sale and any applicable documentation, and (e) comply with any license, terms of service or similar agreement with respect to any third party products or services used by Customer in connection with the Products.

Orders: 877-616-CELL (2355) [email protected] Support: 877-678-TECH (8324) [email protected] Web: cellsignal.com
For Research Use Only. Not for Use in Diagnostic Procedures.

Revision 4

Cell Signaling Technology Logo
Western blot analysis of extracts from J774A.1, NIH/3T3, and Neuro-2a cells using C1QB (E3U6X) Rabbit mAb (upper) or β-Actin (D6A8) Rabbit mAb #8457 (lower). Negative expression of C1QB protein in NIH/3T3 and Neuro-2a cells is consistent with the predicted expression pattern.
Western Blotting Image 1: C1QB (E3U6X) Rabbit Monoclonal Antibody
Immunoprecipitation of C1QB protein from J774A.1 cell extracts. Lane 1 is 10% input, lane 2 is Rabbit (DA1E) mAb IgG XP® Isotype Control #3900, and lane 3 is C1QB (E3U6X) Rabbit mAb. Western blot analysis was performed using C1QB (E3U6X) Rabbit mAb. Anti-rabbit IgG, HRP-linked Antibody #7074 was used as a secondary antibody.
Immunoprecipitation Image 1: C1QB (E3U6X) Rabbit Monoclonal Antibody
Immunohistochemical analysis of paraffin-embedded Renca syngeneic tumor using C1QB (E3U6X) Rabbit mAb performed on the Leica BOND RX.
Immunohistochemistry Image 1: C1QB (E3U6X) Rabbit Monoclonal Antibody
Orders: 877-616-CELL (2355) [email protected] Support: 877-678-TECH (8324) [email protected] Web: cellsignal.com
For Research Use Only. Not for Use in Diagnostic Procedures.

Revision 4

Cell Signaling Technology Logo

Immunohistochemical analysis of paraffin-embedded mouse liver using C1QB (E3U6X) Rabbit mAb performed on the Leica BOND RX.

Immunohistochemistry Image 2: C1QB (E3U6X) Rabbit Monoclonal Antibody

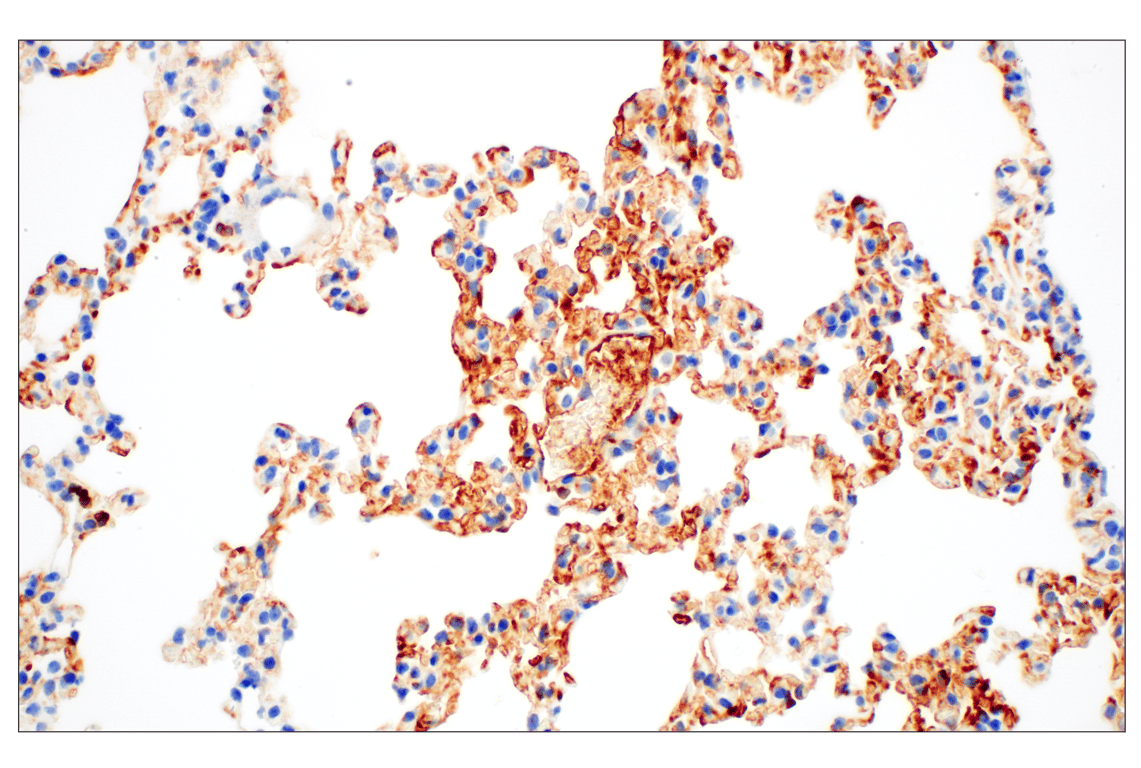
Immunohistochemical analysis of paraffin-embedded mouse lung using C1QB (E3U6X) Rabbit mAb performed on the Leica BOND RX.

Immunohistochemistry Image 3: C1QB (E3U6X) Rabbit Monoclonal Antibody

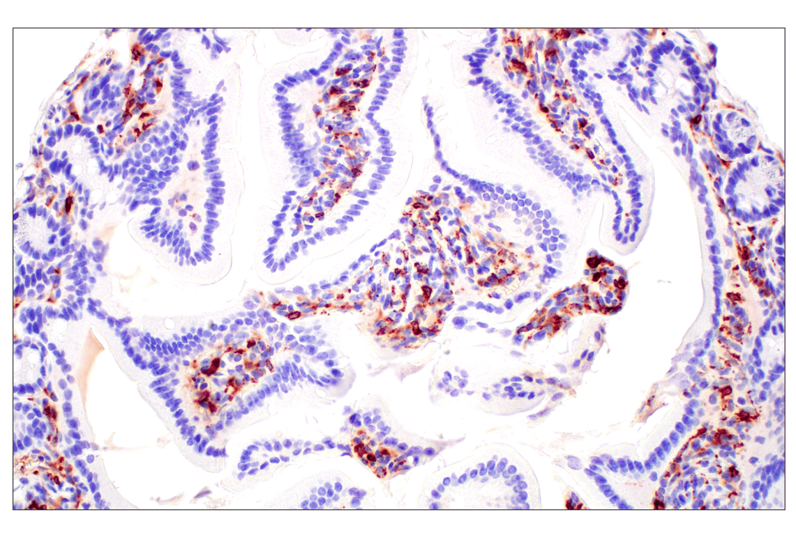
Immunohistochemical analysis of paraffin-embedded mouse small intestine using C1QB (E3U6X) Rabbit mAb.

Immunohistochemistry Image 1: C1QB (E3U6X) Rabbit Monoclonal Antibody
Orders: 877-616-CELL (2355) [email protected] Support: 877-678-TECH (8324) [email protected] Web: cellsignal.com
For Research Use Only. Not for Use in Diagnostic Procedures.

Revision 4

Cell Signaling Technology Logo
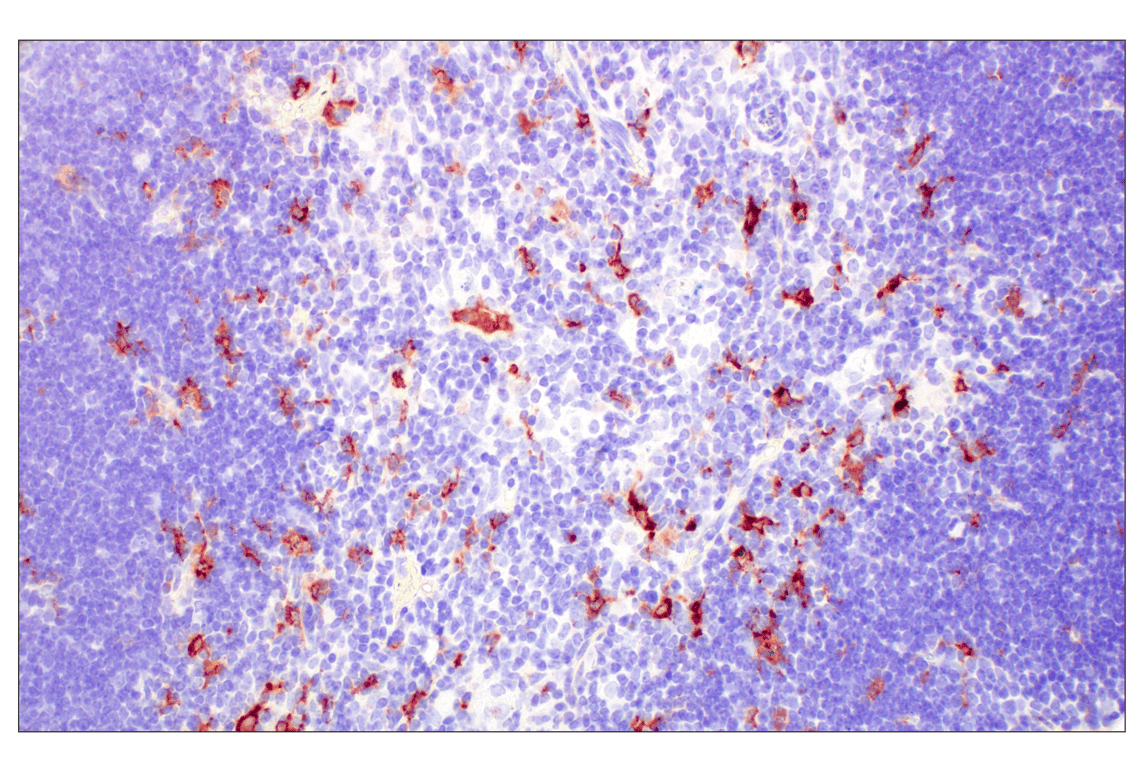
Immunohistochemical analysis of paraffin-embedded mouse thymus using C1QB (E3U6X) Rabbit mAb.
Immunohistochemistry Image 2: C1QB (E3U6X) Rabbit Monoclonal Antibody
Immunohistochemical analysis of paraffin-embedded mouse ovary using C1QB (E3U6X) Rabbit mAb.
Immunohistochemistry Image 3: C1QB (E3U6X) Rabbit Monoclonal Antibody

Immunohistochemical analysis of paraffin-embedded mouse brain using C1QB (E3U6X) Rabbit mAb.

Immunohistochemistry Image 4: C1QB (E3U6X) Rabbit Monoclonal Antibody
Orders: 877-616-CELL (2355) [email protected] Support: 877-678-TECH (8324) [email protected] Web: cellsignal.com
For Research Use Only. Not for Use in Diagnostic Procedures.

Revision 4

Cell Signaling Technology Logo
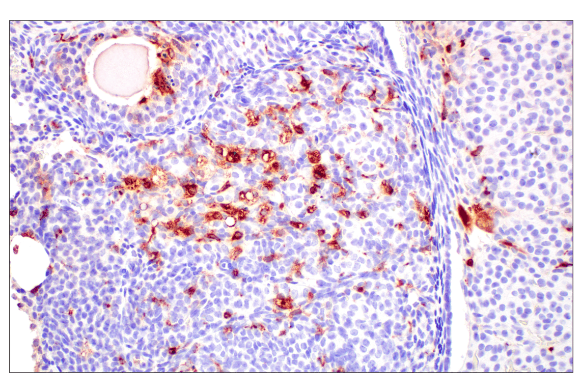
Immunohistochemical analysis of paraffin-embedded mouse spleen using C1QB (E3U6X) Rabbit mAb.
Immunohistochemistry Image 5: C1QB (E3U6X) Rabbit Monoclonal Antibody
Immunohistochemical analysis of paraffin-embedded mouse spleen using C1QB (E3U6X) Rabbit mAb (left) compared to concentration-matched Rabbit (DA1E) mAb IgG XP® Isotype Control #3900.
Immunohistochemistry Image 6: C1QB (E3U6X) Rabbit Monoclonal Antibody
Immunohistochemical analysis of paraffin-embedded J774A.1 cell pellet (left, positive) or Neuro-2a cell pellet (right, negative) using C1QB (E3U6X) Rabbit mAb.
Immunohistochemistry Image 7: C1QB (E3U6X) Rabbit Monoclonal Antibody
Orders: 877-616-CELL (2355) [email protected] Support: 877-678-TECH (8324) [email protected] Web: cellsignal.com
For Research Use Only. Not for Use in Diagnostic Procedures.