Revision 3

#48111

Store at -20C

CST Logo
Orders:

877-616-CELL (2355)

[email protected]

Support:

877-678-TECH (8324)

3 Trask Lane | Danvers | Massachusetts | 01923 | USA

For Research Use Only. Not for Use in Diagnostic Procedures.

Applications:
W, IP, IHC-P, FC-FP

Reactivity:
H Mk

Sensitivity:
Endogenous

MW (kDa):
130

Source/Isotype:
Rabbit IgG

UniProt ID:
#P55285

Entrez-Gene Id:
1004

Product Usage Information

Application Dilution
Western Blotting 1:1000
Immunoprecipitation 1:50
Immunohistochemistry (Paraffin) 1:800
Flow Cytometry (Fixed/Permeabilized) 1:1600

Storage

Supplied in 10 mM sodium HEPES (pH 7.5), 150 mM NaCl, 100 µg/ml BSA, 50% glycerol and less than 0.02% sodium azide. Store at –20°C. Do not aliquot the antibody.

For a carrier free (BSA and azide free) version of this product see product #84079.

Specificity/Sensitivity

Cadherin-6 (D3T3I) Rabbit Monoclonal Antibody recognizes endogenous levels of total cadherin-6 protein. Staining of peripheral nerves and limited staining of immune cells has been observed. The specificity of this staining is unknown.

Source / Purification

Monoclonal antibody is produced by immunizing animals with a synthetic peptide corresponding to residues surrounding Asp761 of human cadherin-6 protein.

Background

Cadherins are a superfamily of transmembrane glycoproteins that contain cadherin repeats of approximately 100 residues in their extracellular domain. Cadherins mediate calcium-dependent cell-cell adhesion and play critical roles in normal tissue development (1). The classic cadherin subfamily includes N-, P-, R-, B-, and E-cadherins, as well as about ten other members that are found in adherens junctions, a cellular structure near the apical surface of polarized epithelial cells. The cytoplasmic domain of classical cadherins interacts with β-catenin, γ-catenin (also called plakoglobin), and p120 catenin. β-catenin and γ-catenin associate with α-catenin, which links the cadherin-catenin complex to the actin cytoskeleton (1,2). While β- and γ-catenin play structural roles in the junctional complex, p120 regulates cadherin adhesive activity and trafficking (1-4). Investigators consider E-cadherin an active suppressor of invasion and growth of many epithelial cancers (1-3). Research studies indicate that cancer cells have upregulated N-cadherin in addition to loss of E-cadherin. This change in cadherin expression is called the "cadherin switch." N-cadherin cooperates with the FGF receptor, leading to overexpression of MMP-9 and cellular invasion (3). Research studies have shown that in endothelial cells, VE-cadherin signaling, expression, and localization correlate with vascular permeability and tumor angiogenesis (5,6). Investigators have also demonstrated that expression of P-cadherin, which is normally present in epithelial cells, is also altered in ovarian and other human cancers (7,8).
Cadherin-6, also known as kidney cadherin (K-Cadherin, CDH6) is a type II classical cadherin. While it was reported to have a tumor suppressor function in cholangiocarcinoma (9), cadherin-6 expression was shown to be a marker of epithelial mesenchymal transition, and positively correlated with stage and metastasis of papillary thyroid carcinoma (10, 11). In related studies, cadherin-6 was shown to interact with GABARAP and related proteins to restrain autophagy, thereby promoting metastatic behavior (12). Cadherin-6 has since been proposed as an antibody-drug conjugate target for the treatment of ovarian and renal cancers (13).

Species Reactivity

Species reactivity is determined by testing in at least one approved application (e.g., western blot).

Western Blot Buffer

IMPORTANT: For western blots, incubate membrane with diluted primary antibody in 5% w/v BSA, 1X TBS, 0.1% Tween® 20 at 4°C with gentle shaking, overnight.

Applications Key

W: Western Blotting IP: Immunoprecipitation IHC-P: Immunohistochemistry (Paraffin) FC-FP: Flow Cytometry (Fixed/Permeabilized)

Cross-Reactivity Key

H: Human Mk: Monkey

Trademarks and Patents

Cell Signaling Technology is a trademark of Cell Signaling Technology, Inc.

All other trademarks are the property of their respective owners. Visit cellsignal.com/trademarks for more information.

Limited Uses

Except as otherwise expressly agreed in a writing signed by a legally authorized representative of CST, the following terms apply to Products provided by CST, its affiliates or its distributors. Any Customer's terms and conditions that are in addition to, or different from, those contained herein, unless separately accepted in writing by a legally authorized representative of CST, are rejected and are of no force or effect.

Products are labeled with For Research Use Only or a similar labeling statement and have not been approved, cleared, or licensed by the FDA or other regulatory foreign or domestic entity, for any purpose. Customer shall not use any Product for any diagnostic or therapeutic purpose, or otherwise in any manner that conflicts with its labeling statement. Products sold or licensed by CST are provided for Customer as the end-user and solely for research and development uses. Any use of Product for diagnostic, prophylactic or therapeutic purposes, or any purchase of Product for resale (alone or as a component) or other commercial purpose, requires a separate license from CST. Customer shall (a) not sell, license, loan, donate or otherwise transfer or make available any Product to any third party, whether alone or in combination with other materials, or use the Products to manufacture any commercial products, (b) not copy, modify, reverse engineer, decompile, disassemble or otherwise attempt to discover the underlying structure or technology of the Products, or use the Products for the purpose of developing any products or services that would compete with CST products or services, (c) not alter or remove from the Products any trademarks, trade names, logos, patent or copyright notices or markings, (d) use the Products solely in accordance with CST Product Terms of Sale and any applicable documentation, and (e) comply with any license, terms of service or similar agreement with respect to any third party products or services used by Customer in connection with the Products.

Orders: 877-616-CELL (2355) [email protected] Support: 877-678-TECH (8324) [email protected] Web: cellsignal.com
For Research Use Only. Not for Use in Diagnostic Procedures.

Revision 3

Cell Signaling Technology Logo
Western blot analysis of extracts from various cell lines using Cadherin-6 (D3T3I) Rabbit mAb (upper) and α-Actinin (D6F6) XP® Rabbit mAb #6487 (lower). Specificity of the antibody is confirmed by the absence of detectable signal in extracts from OV-90 and HCT-15 cells, which are negative for cadherin-6 expression.
Western Blotting Image 1: Cadherin-6 (D3T3I) Rabbit Monoclonal Antibody
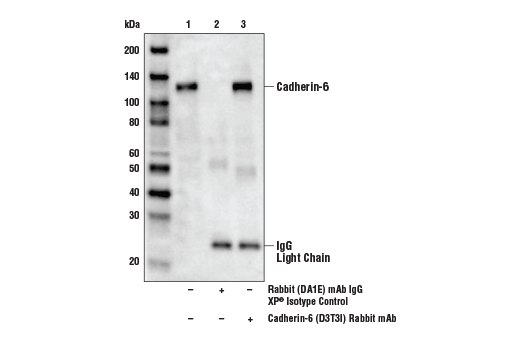
Immunoprecipitation of cadherin-6 from SK-OV-3 cell extracts. Lane 1 is 10% input, lane 2 is Rabbit (DA1E) IgG XP® Isotype Control #3900 and lane 3 is Cadherin-6 (D3T3I) Rabbit mAb. Western blot analysis eas performed using Cadherin-6 (D3T3I) Rabbit mAb. Mouse Anti-Rabbit IgG (Conformation Specific) (L27A9) mAb (HRP Conjugate) #5127 was used as the secondary antibody.
Immunoprecipitation Image 1: Cadherin-6 (D3T3I) Rabbit Monoclonal Antibody
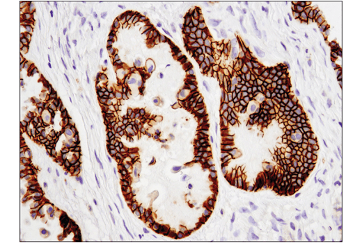
Immunohistochemical analysis of paraffin-embedded human serous ovarian carcinoma using Cadherin-6 (D3T3I) Rabbit mAb.
Immunohistochemistry Image 1: Cadherin-6 (D3T3I) Rabbit Monoclonal Antibody
Orders: 877-616-CELL (2355) [email protected] Support: 877-678-TECH (8324) [email protected] Web: cellsignal.com
For Research Use Only. Not for Use in Diagnostic Procedures.

Revision 3

Cell Signaling Technology Logo
Immunohistochemical analysis of paraffin-embedded Detroit-562 cell pellet (left, positive) or ACHN cell pellet (right, negative) using Cadherin-6 (D3T3I) Rabbit mAb.
Immunohistochemistry Image 2: Cadherin-6 (D3T3I) Rabbit Monoclonal Antibody
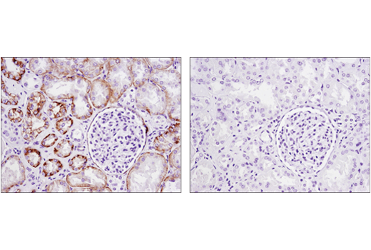
Immunohistochemical analysis of paraffin-embedded human kidney using Cadherin-6 (D3T3I) Rabbit mAb in the presence of control peptide (left) or antigen-specific peptide (right).
Immunohistochemistry Image 3: Cadherin-6 (D3T3I) Rabbit Monoclonal Antibody
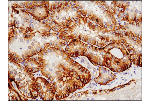
Immunohistochemical analysis of paraffin-embedded human renal cell carcinoma using Cadherin-6 (D3T3I) Rabbit mAb.
Immunohistochemistry Image 4: Cadherin-6 (D3T3I) Rabbit Monoclonal Antibody
Orders: 877-616-CELL (2355) [email protected] Support: 877-678-TECH (8324) [email protected] Web: cellsignal.com
For Research Use Only. Not for Use in Diagnostic Procedures.

Revision 3

Cell Signaling Technology Logo
Flow cytometric analysis of A172 cells (blue) and SKOV3 cells (green) using Cadherin-6 (D3T3I) Rabbit mAb (solid lines) or a concentration matched Rabbit (DA1E) mAb IgG XP® Isotype Control #3900 (dashed lines). Anti-rabbit IgG (H+L), F(ab')2 Fragment (Alexa Fluor® 488 Conjugate) #4412 was used as a secondary antibody.
Flow Cytometry Image 1: Cadherin-6 (D3T3I) Rabbit Monoclonal Antibody
Orders: 877-616-CELL (2355) [email protected] Support: 877-678-TECH (8324) [email protected] Web: cellsignal.com
For Research Use Only. Not for Use in Diagnostic Procedures.