Revision 5

#13176

Store at -20C

CST Logo
Orders:

877-616-CELL (2355)

[email protected]

Support:

877-678-TECH (8324)

3 Trask Lane | Danvers | Massachusetts | 01923 | USA

For Research Use Only. Not for Use in Diagnostic Procedures.

Applications:
W, IP, IHC-P, IF-F, IF-IC

Reactivity:
H M R

Sensitivity:
Endogenous

MW (kDa):
28

Source/Isotype:
Rabbit IgG

UniProt ID:
#P05937

Entrez-Gene Id:
793

Product Usage Information

Application Dilution
Western Blotting 1:1000
Immunoprecipitation 1:50
Immunohistochemistry (Paraffin) 1:800
Immunofluorescence (Frozen) 1:200
Immunofluorescence (Immunocytochemistry) 1:200

Storage

Supplied in 10 mM sodium HEPES (pH 7.5), 150 mM NaCl, 100 µg/ml BSA, 50% glycerol and less than 0.02% sodium azide. Store at –20°C. Do not aliquot the antibody.

For a carrier-free (BSA and azide free) version of this product see product #46343

Specificity/Sensitivity

Calbindin (D1I4Q) Rabbit Monoclonal Antibody recognizes endogenous levels of total calbindin protein.

Source / Purification

Monoclonal antibody is produced by immunizing animals with recombinant protein specific to the amino terminus of mouse calbindin protein.

Background

Calcium-binding proteins of different subfamilies regulate the second messenger calcium. Calbindin, calmodulin, S-100, parvalbumin, and troponin C are members of the low molecular weight calcium-binding protein family (1). Calbindin is expressed in discrete neuronal populations within the CNS and is thought to act as an intracellular calcium buffering protein. Most Purkinje cells express calbindin, which is expressed when neurons start to migrate and differentiate. In contrast, other calcium buffering proteins, such as parvalbumin, are expressed later during development and in parallel with increasing neuronal activity (2).

Species Reactivity

Species reactivity is determined by testing in at least one approved application (e.g., western blot).

Western Blot Buffer

IMPORTANT: For western blots, incubate membrane with diluted primary antibody in 5% w/v BSA, 1X TBS, 0.1% Tween® 20 at 4°C with gentle shaking, overnight.

Applications Key

W: Western Blotting IP: Immunoprecipitation IHC-P: Immunohistochemistry (Paraffin) IF-F: Immunofluorescence (Frozen) IF-IC: Immunofluorescence (Immunocytochemistry)

Cross-Reactivity Key

H: Human M: Mouse R: Rat

Trademarks and Patents

Cell Signaling Technology is a trademark of Cell Signaling Technology, Inc.

All other trademarks are the property of their respective owners. Visit cellsignal.com/trademarks for more information.

Limited Uses

Except as otherwise expressly agreed in a writing signed by a legally authorized representative of CST, the following terms apply to Products provided by CST, its affiliates or its distributors. Any Customer's terms and conditions that are in addition to, or different from, those contained herein, unless separately accepted in writing by a legally authorized representative of CST, are rejected and are of no force or effect.

Products are labeled with For Research Use Only or a similar labeling statement and have not been approved, cleared, or licensed by the FDA or other regulatory foreign or domestic entity, for any purpose. Customer shall not use any Product for any diagnostic or therapeutic purpose, or otherwise in any manner that conflicts with its labeling statement. Products sold or licensed by CST are provided for Customer as the end-user and solely for research and development uses. Any use of Product for diagnostic, prophylactic or therapeutic purposes, or any purchase of Product for resale (alone or as a component) or other commercial purpose, requires a separate license from CST. Customer shall (a) not sell, license, loan, donate or otherwise transfer or make available any Product to any third party, whether alone or in combination with other materials, or use the Products to manufacture any commercial products, (b) not copy, modify, reverse engineer, decompile, disassemble or otherwise attempt to discover the underlying structure or technology of the Products, or use the Products for the purpose of developing any products or services that would compete with CST products or services, (c) not alter or remove from the Products any trademarks, trade names, logos, patent or copyright notices or markings, (d) use the Products solely in accordance with CST Product Terms of Sale and any applicable documentation, and (e) comply with any license, terms of service or similar agreement with respect to any third party products or services used by Customer in connection with the Products.

Orders: 877-616-CELL (2355) [email protected] Support: 877-678-TECH (8324) [email protected] Web: cellsignal.com
For Research Use Only. Not for Use in Diagnostic Procedures.

Revision 5

Cell Signaling Technology Logo
Western blot analysis of extracts from various cell lines using Calbindin (D1I4Q) XP® Rabbit mAb (upper) and β-Actin (D6A8) Rabbit mAb #8457 (lower).
Western Blotting Image 1: Calbindin (D1I4Q) Rabbit Monoclonal Antibody
Immunoprecipitation of calbindin from mouse brain extracts using Rabbit (DA1E) mAb IgG XP®Isotype Control #3900 (lane 2) or Calbindin (D1I4Q) XP® Rabbit mAb (lane 3). Lane 1 is 10% input. Western blot analysis was performed using Calbindin (D1I4Q) XP® Rabbit mAb.
Immunoprecipitation Image 1: Calbindin (D1I4Q) Rabbit Monoclonal Antibody
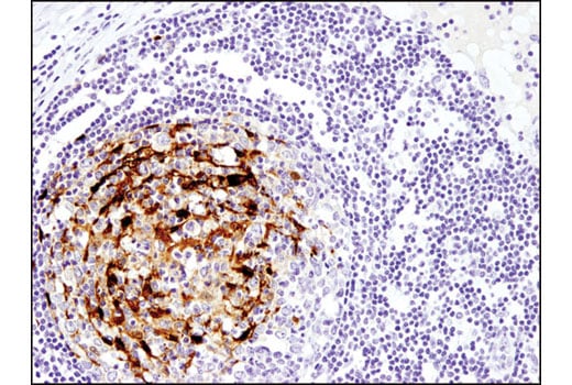
Immunohistochemical analysis of paraffin-embedded human lymph node using Calbindin (D1I4Q) XP® Rabbit mAb.
Immunohistochemistry Image 1: Calbindin (D1I4Q) Rabbit Monoclonal Antibody
Orders: 877-616-CELL (2355) [email protected] Support: 877-678-TECH (8324) [email protected] Web: cellsignal.com
For Research Use Only. Not for Use in Diagnostic Procedures.

Revision 5

Cell Signaling Technology Logo
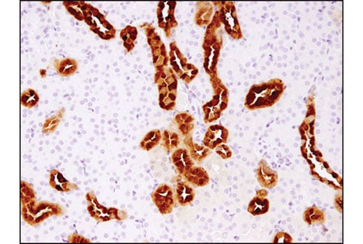
Immunohistochemical analysis of paraffin-embedded mouse kidney using Calbindin (D1I4Q) XP® Rabbit mAb.
Immunohistochemistry Image 2: Calbindin (D1I4Q) Rabbit Monoclonal Antibody
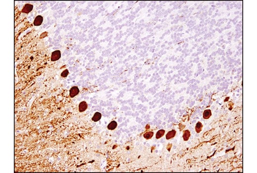
Immunohistochemical analysis of paraffin-embedded rat brain using Calbindin (D1I4Q) XP(R) Rabbit mAb.
Immunohistochemistry Image 3: Calbindin (D1I4Q) Rabbit Monoclonal Antibody
Confocal immunofluorescent analysis of normal rat brain using Calbindin (D1I4Q) XP® Rabbit mAb (green) and GFAP (GA5) Mouse mAb #3670 (red). Blue pseudocolor = DRAQ5® #4084 (fluorescent DNA dye).
Immunofluorescence Image 1: Calbindin (D1I4Q) Rabbit Monoclonal Antibody
Orders: 877-616-CELL (2355) [email protected] Support: 877-678-TECH (8324) [email protected] Web: cellsignal.com
For Research Use Only. Not for Use in Diagnostic Procedures.

Revision 5

Cell Signaling Technology Logo
Confocal immunofluorescent analysis of human iPSC-derived cortical glutamatergic neurons at 7 days in vitro using Calbindin (D1I4Q) XP® Rabbit mAb (green), β3-Tubulin (E9F3E) Mouse mAb #45058 (red), and DAPI #4083 (blue). iCell GlutaNeurons were kindly provided by FUJIFILM Cellular Dynamics, Inc.
Immunofluorescence Image 1: Calbindin (D1I4Q) Rabbit Monoclonal Antibody
Orders: 877-616-CELL (2355) [email protected] Support: 877-678-TECH (8324) [email protected] Web: cellsignal.com
For Research Use Only. Not for Use in Diagnostic Procedures.