Revision 3

#12503

Store at -20C

CST Logo
Orders:

877-616-CELL (2355)

[email protected]

Support:

877-678-TECH (8324)

3 Trask Lane | Danvers | Massachusetts | 01923 | USA

For Research Use Only. Not for Use in Diagnostic Procedures.

Applications:
W, IP, IF-F, IF-IC

Reactivity:
H M R Mk

Sensitivity:
Endogenous

MW (kDa):
70-80 nonmuscle, 120-150 smooth muscle

Source/Isotype:
Rabbit IgG

UniProt ID:
#Q05682

Entrez-Gene Id:
800

Product Usage Information

Application Dilution
Western Blotting 1:1000
Immunoprecipitation 1:50
Immunofluorescence (Frozen) 1:50 - 1:200
Immunofluorescence (Immunocytochemistry) 1:200

Storage

Supplied in 10 mM sodium HEPES (pH 7.5), 150 mM NaCl, 100 µg/ml BSA, 50% glycerol and less than 0.02% sodium azide. Store at –20°C. Do not aliquot the antibody.

Specificity/Sensitivity

Caldesmon-1 (D5C8D) Rabbit Monoclonal Antibody recognizes endogenous levels of total caldesmon-1 protein. Based on sequence homology, this antibody is expected to cross-react with both the smooth muscle and nonmuscle isoforms.

Source / Purification

Monoclonal antibody is produced by immunizing animals with a synthetic peptide corresponding to residues near the carboxy terminus of human caldesmon-1 protein.

Background

Caldesmon-1 is an actin filament stabilizing protein involved in the regulation of cell contraction. Binding of caldesmon-1 to actin is weakened by phosphorylation and by calmodulin in the presence of calcium. Caldesmon-1 is encoded by a single gene, which is spliced to generate a widely distributed low molecular weight form and a smooth muscle specific high molecular weight form (1,2). Caldesmon-1 is phosphorylated by the cyclin dependent kinase cdc2 and Erk1/2 MAP kinase, both of which prevent the activity of caldesmon-1 (3-5). Phosphorylation of caldesmon-1 by cdc2 is required for passage of cells through mitosis (6). Phosphorylation by Erk1/2 is important in regulating smooth muscle contraction (7). Caldesmon-1 activity may play a role in the formation of podosomes, adhesion complexes associated with the secretion of matrix metalloproteases, invasion, and metastasis (reviewed in 5).

Species Reactivity

Species reactivity is determined by testing in at least one approved application (e.g., western blot).

Western Blot Buffer

IMPORTANT: For western blots, incubate membrane with diluted primary antibody in 5% w/v nonfat dry milk, 1X TBS, 0.1% Tween® 20 at 4°C with gentle shaking, overnight.

Applications Key

W: Western Blotting IP: Immunoprecipitation IF-F: Immunofluorescence (Frozen) IF-IC: Immunofluorescence (Immunocytochemistry)

Cross-Reactivity Key

H: Human M: Mouse R: Rat Mk: Monkey

Trademarks and Patents

Cell Signaling Technology is a trademark of Cell Signaling Technology, Inc.

All other trademarks are the property of their respective owners. Visit cellsignal.com/trademarks for more information.

Limited Uses

Except as otherwise expressly agreed in a writing signed by a legally authorized representative of CST, the following terms apply to Products provided by CST, its affiliates or its distributors. Any Customer's terms and conditions that are in addition to, or different from, those contained herein, unless separately accepted in writing by a legally authorized representative of CST, are rejected and are of no force or effect.

Products are labeled with For Research Use Only or a similar labeling statement and have not been approved, cleared, or licensed by the FDA or other regulatory foreign or domestic entity, for any purpose. Customer shall not use any Product for any diagnostic or therapeutic purpose, or otherwise in any manner that conflicts with its labeling statement. Products sold or licensed by CST are provided for Customer as the end-user and solely for research and development uses. Any use of Product for diagnostic, prophylactic or therapeutic purposes, or any purchase of Product for resale (alone or as a component) or other commercial purpose, requires a separate license from CST. Customer shall (a) not sell, license, loan, donate or otherwise transfer or make available any Product to any third party, whether alone or in combination with other materials, or use the Products to manufacture any commercial products, (b) not copy, modify, reverse engineer, decompile, disassemble or otherwise attempt to discover the underlying structure or technology of the Products, or use the Products for the purpose of developing any products or services that would compete with CST products or services, (c) not alter or remove from the Products any trademarks, trade names, logos, patent or copyright notices or markings, (d) use the Products solely in accordance with CST Product Terms of Sale and any applicable documentation, and (e) comply with any license, terms of service or similar agreement with respect to any third party products or services used by Customer in connection with the Products.

Orders: 877-616-CELL (2355) [email protected] Support: 877-678-TECH (8324) [email protected] Web: cellsignal.com
For Research Use Only. Not for Use in Diagnostic Procedures.

Revision 3

Cell Signaling Technology Logo
Western blot analysis of extracts from various cell lines using Caldesmon-1 (D5C8D) XP® Rabbit mAb (upper) or α-Actinin (D6F6) XP® Rabbit mAb #6487 (lower).
Western Blotting Image 1: Caldesmon-1 (D5C8D) Rabbit Monoclonal Antibody
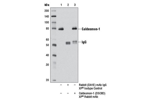
Immunoprecipitation of caldesmon-1 from HeLa cell extracts using Rabbit (DA1E) mAb IgG XP® Isotype Control #3900 (lane 2) or Caldesmon-1 (D5C8D) XP® Rabbit mAb (lane 3). Lane 1 is 10% input. Western blot analysis was performed using Caldesmon-1 (D5C8D) XP® Rabbit mAb.
Immunoprecipitation Image 1: Caldesmon-1 (D5C8D) Rabbit Monoclonal Antibody
Confocal immunofluorescent analysis of fixed frozen mouse ovary using Caldesmon-1 (D5C8D) XP® Rabbit mAb (green). Free secondary binding sites were then blocked with Rabbit (DA1E) mAb IgG XP® Isotype Control #3900 prior to co-labeling with α-Smooth Muscle Actin (D4K9N) XP® Rabbit mAb (Alexa Fluor® 555 Conjugate) #60839 (red) and ProLong Gold Antifade Reagent with DAPI #8961 (blue).
Immunofluorescence Image 1: Caldesmon-1 (D5C8D) Rabbit Monoclonal Antibody
Orders: 877-616-CELL (2355) [email protected] Support: 877-678-TECH (8324) [email protected] Web: cellsignal.com
For Research Use Only. Not for Use in Diagnostic Procedures.

Revision 3

Cell Signaling Technology Logo
Confocal immunofluorescent analysis of fixed frozen mouse kidney using Caldesmon-1 (D5C8D) XP® Rabbit mAb (green). Free secondary binding sites were then blocked with Rabbit (DA1E) mAb IgG XP® Isotype Control #3900 prior to co-labeling with α-Smooth Muscle Actin (D4K9N) XP® Rabbit mAb (Alexa Fluor® 555 Conjugate) #60839 (red) and ProLong Gold Antifade Reagent with DAPI #8961 (blue).
Immunofluorescence Image 2: Caldesmon-1 (D5C8D) Rabbit Monoclonal Antibody
Confocal immunofluorescent analysis of fixed frozen mouse spleen using Caldesmon-1 (D5C8D) XP® Rabbit mAb (green). Free secondary binding sites were then blocked with Rabbit (DA1E) mAb IgG XP® Isotype Control #3900 prior to co-labeling with α-Smooth Muscle Actin (D4K9N) XP® Rabbit mAb (Alexa Fluor® 555 Conjugate) #60839 (red) and ProLong Gold Antifade Reagent with DAPI #8961 (blue).
Immunofluorescence Image 3: Caldesmon-1 (D5C8D) Rabbit Monoclonal Antibody
Confocal immunofluorescent analysis of fixed frozen mouse colon using Caldesmon-1 (D5C8D) XP® Rabbit mAb (green). Free secondary binding sites were then blocked with Rabbit (DA1E) mAb IgG XP® Isotype Control #3900 prior to co-labeling with α-Smooth Muscle Actin (D4K9N) XP® Rabbit mAb (Alexa Fluor® 555 Conjugate) #60839 (red) and ProLong Gold Antifade Reagent with DAPI #8961 (blue).
Immunofluorescence Image 4: Caldesmon-1 (D5C8D) Rabbit Monoclonal Antibody
Orders: 877-616-CELL (2355) [email protected] Support: 877-678-TECH (8324) [email protected] Web: cellsignal.com
For Research Use Only. Not for Use in Diagnostic Procedures.

Revision 3

Cell Signaling Technology Logo
Confocal immunofluorescent analysis of HeLa (left) and MCF7 (right) cells using Caldesmon-1 (D5C8D) XP® Rabbit mAb (green). Blue pseudocolor = DRAQ5® #4084 (fluorescent DNA dye).
Immunofluorescence Image 1: Caldesmon-1 (D5C8D) Rabbit Monoclonal Antibody
Orders: 877-616-CELL (2355) [email protected] Support: 877-678-TECH (8324) [email protected] Web: cellsignal.com
For Research Use Only. Not for Use in Diagnostic Procedures.