Revision 4

#17819

Store at -20C

CST Logo
Orders:

877-616-CELL (2355)

[email protected]

Support:

877-678-TECH (8324)

3 Trask Lane | Danvers | Massachusetts | 01923 | USA

For Research Use Only. Not for Use in Diagnostic Procedures.

Applications:
W, IP, IHC-P, IF-F, IF-IC

Reactivity:
H M R

Sensitivity:
Endogenous

MW (kDa):
32

Source/Isotype:
Rabbit IgG

UniProt ID:
#P51911

Entrez-Gene Id:
1264

Product Usage Information

Application Dilution
Western Blotting 1:1000
Immunoprecipitation 1:200
Immunohistochemistry (Paraffin) 1:1000
Immunofluorescence (Frozen) 1:100
Immunofluorescence (Immunocytochemistry) 1:100

Storage

Supplied in 10 mM sodium HEPES (pH 7.5), 150 mM NaCl, 100 µg/ml BSA, 50% glycerol and less than 0.02% sodium azide. Store at –20°C. Do not aliquot the antibody.

For a carrier free (BSA and azide free) version of this product see product #27913.

Specificity/Sensitivity

Calponin 1 (D8L2T) Rabbit Monoclonal Antibody recognizes endogenous levels of total Calponin 1 protein.

Source / Purification

Monoclonal antibody is produced by immunizing animals with a synthetic peptide corresponding to residues surrounding Gly234 of human Calponin 1 protein.

Background

Calponin 1 is a member of the Calponin family, which consists of Calponins 1, 2, and 3. Calponin 1 is exquisitely expressed in smooth muscle cells of various tissues, where it interacts with filamentous F-actin to regulate smooth muscle contraction (1).

Species Reactivity

Species reactivity is determined by testing in at least one approved application (e.g., western blot).

Western Blot Buffer

IMPORTANT: For western blots, incubate membrane with diluted primary antibody in 5% w/v BSA, 1X TBS, 0.1% Tween® 20 at 4°C with gentle shaking, overnight.

Applications Key

W: Western Blotting IP: Immunoprecipitation IHC-P: Immunohistochemistry (Paraffin) IF-F: Immunofluorescence (Frozen) IF-IC: Immunofluorescence (Immunocytochemistry)

Cross-Reactivity Key

H: Human M: Mouse R: Rat

Trademarks and Patents

Cell Signaling Technology is a trademark of Cell Signaling Technology, Inc.

SignalStain is a registered trademark of Cell Signaling Technology, Inc.

All other trademarks are the property of their respective owners. Visit cellsignal.com/trademarks for more information.

Limited Uses

Except as otherwise expressly agreed in a writing signed by a legally authorized representative of CST, the following terms apply to Products provided by CST, its affiliates or its distributors. Any Customer's terms and conditions that are in addition to, or different from, those contained herein, unless separately accepted in writing by a legally authorized representative of CST, are rejected and are of no force or effect.

Products are labeled with For Research Use Only or a similar labeling statement and have not been approved, cleared, or licensed by the FDA or other regulatory foreign or domestic entity, for any purpose. Customer shall not use any Product for any diagnostic or therapeutic purpose, or otherwise in any manner that conflicts with its labeling statement. Products sold or licensed by CST are provided for Customer as the end-user and solely for research and development uses. Any use of Product for diagnostic, prophylactic or therapeutic purposes, or any purchase of Product for resale (alone or as a component) or other commercial purpose, requires a separate license from CST. Customer shall (a) not sell, license, loan, donate or otherwise transfer or make available any Product to any third party, whether alone or in combination with other materials, or use the Products to manufacture any commercial products, (b) not copy, modify, reverse engineer, decompile, disassemble or otherwise attempt to discover the underlying structure or technology of the Products, or use the Products for the purpose of developing any products or services that would compete with CST products or services, (c) not alter or remove from the Products any trademarks, trade names, logos, patent or copyright notices or markings, (d) use the Products solely in accordance with CST Product Terms of Sale and any applicable documentation, and (e) comply with any license, terms of service or similar agreement with respect to any third party products or services used by Customer in connection with the Products.

Orders: 877-616-CELL (2355) [email protected] Support: 877-678-TECH (8324) [email protected] Web: cellsignal.com
For Research Use Only. Not for Use in Diagnostic Procedures.

Revision 4

Cell Signaling Technology Logo
Western blot analysis of extracts from SNB75, C2C12, and 293T cells using Calponin 1 (D8L2T) XP® Rabbit mAb (upper) and GAPDH (D16H11) XP® Rabbit mAb #5174 (lower). 293T cells are negative as expected.
Western Blotting Image 1: Calponin 1 (D8L2T) Rabbit Monoclonal Antibody
Immunoprecipitation of Calponin 1 from SNB75 cell extracts. Lane 1 is 10% input, lane 2 is Rabbit (DA1E) mAb XP® Isotype Control #3900, and lane 3 is Calponin 1 (D8L2T) XP® Rabbit mAb. Western blot analysis was performed using Calponin 1 (D8L2T) XP® Rabbit mAb.
Immunoprecipitation Image 1: Calponin 1 (D8L2T) Rabbit Monoclonal Antibody
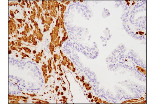
Immunohistochemical analysis of paraffin-embedded human clear cell adenocarcinoma of the ovary using Calponin 1 (D8L2T) XP® Rabbit mAb.
Immunohistochemistry Image 1: Calponin 1 (D8L2T) Rabbit Monoclonal Antibody
Orders: 877-616-CELL (2355) [email protected] Support: 877-678-TECH (8324) [email protected] Web: cellsignal.com
For Research Use Only. Not for Use in Diagnostic Procedures.

Revision 4

Cell Signaling Technology Logo
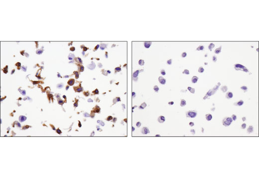
Immunohistochemical analysis of paraffin-embedded SNB75 cell pellet (left, positive) and MDA-MB-231 cell pellet (right, negative) using Calponin 1 (D8L2T) XP® Rabbit mAb.
Immunohistochemistry Image 2: Calponin 1 (D8L2T) Rabbit Monoclonal Antibody
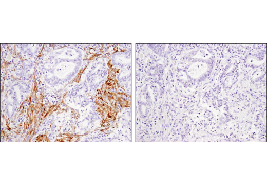
Immunohistochemical analysis of paraffin-embedded human invasive adenocarcinoma of the colon using Calponin 1 (D8L2T) XP® Rabbit mAb in the presence of control peptide (left) or antigen-specific peptide (right).
Immunohistochemistry Image 3: Calponin 1 (D8L2T) Rabbit Monoclonal Antibody
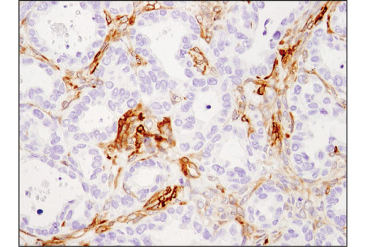
Immunohistochemical analysis of paraffin-embedded human prostate carcinoma using Calponin 1 (D8L2T) XP® Rabbit mAb.
Immunohistochemistry Image 4: Calponin 1 (D8L2T) Rabbit Monoclonal Antibody
Orders: 877-616-CELL (2355) [email protected] Support: 877-678-TECH (8324) [email protected] Web: cellsignal.com
For Research Use Only. Not for Use in Diagnostic Procedures.

Revision 4

Cell Signaling Technology Logo
Confocal immunofluorescent analysis of mouse colon (left) and skeletal muscle (right) using Calponin 1 (D8L2T) XP® Rabbit mAb (green). Blue pseudocolor = DRAQ5® #4084 (fluorescent DNA dye).
Immunofluorescence Image 1: Calponin 1 (D8L2T) Rabbit Monoclonal Antibody
Confocal immunofluorescent analysis of SNB75 cells (left, positive) and MCF10A cells (right, negative) using Calponin 1 (D8L2T) XP® Rabbit mAb (green). Actin filaments were labeled with DyLight™ 554 phalloidin #13054 (red). Blue pseudocolor = DRAQ5® #4084 (fluorescent DNA dye).
Immunofluorescence Image 1: Calponin 1 (D8L2T) Rabbit Monoclonal Antibody
Confocal immunofluorescent analysis of human iPSC-derived astrocyte cells at 14 days in vitro using Calponin 1 (D8L2T) XP® Rabbit mAb (green), GFAP (GA5) Mouse mAb #3670 (red), and DAPI #4083 (blue). iCell Astrocytes 2.0 were kindly provided by FUJIFILM Cellular Dynamics, Inc.
Immunofluorescence Image 2: Calponin 1 (D8L2T) Rabbit Monoclonal Antibody
Orders: 877-616-CELL (2355) [email protected] Support: 877-678-TECH (8324) [email protected] Web: cellsignal.com
For Research Use Only. Not for Use in Diagnostic Procedures.